1/386
Looks like no tags are added yet.
Name | Mastery | Learn | Test | Matching | Spaced | Call with Kai |
|---|
No analytics yet
Send a link to your students to track their progress
tunica externa (adventitia)

tunica media

tunica interna (intima)

aortic arch

left subclavian artery

right subclavian artery

left brachiocephalic vein

right brachiocephalic vein

left jugular vein

internal jugular vein (same on both sides)

external jugular vein (same on both sides)

right jugular vein

brachiocephalic trunk
pointing to the red structure

left common carotid artery

right common carotid artery

superior vena cava

right coronary artery

left coronary artery

anterior interventricular artery

great cardiac vein

middle cardiac vein

right marginal artery

circumflex artery
pointing to the red structure

posterior interventricular artery
pointing to the red structure

small cardiac vein

coronary sinus

descending (abdominal) aorta

superior mesenteric artery

left gonadal artery

right gonadal artery

gastric artery

hepatic artery

hepatic vein

left gonadal vein
pointing to the blue structure that wraps around the red structure

right gonadal vein
11 (pointing to the blue structure)

gastric vein

celiac trunk

inferior mesenteric artery
5

left renal artery
pointing to the red structure

right renal artery
pointing to the red structure

splenic artery

inferior vena cava

left renal vein

right renal vein

hepatic portal vein

splenic vein
pointing to the blue structure

brachial artery (know it is the same on the right and left)

radial artery (know it is the same on the right and left)

axillary vein (know it is the same on the right and left)

basilic vein (know it is the same on the right and left)

median cubital vein (know it is the same on the right and left)

axillary artery (know it is the same on the right and left)
pointing to the red structure

ulnar artery (know it is the same on the right and left)

superficial palmar arch (know it is the same on the right and left)

left subclavian vein

right subclavian vein

cephalic vein (know it is the same on the right and left)

common iliac artery (know it is the same on the right and left)

internal iliac artery (know it is the same on the right and left)
pointing to the red structure

anterior tibial artery (know it is the same on the right and left)

dorsalis pedis artery (know it is the same on the right and left)

external iliac vein (know it is the same on the right and left)

great saphenous vein (know it is the same on the right and left)

dorsal venous arch (know it is the same on the right and left)
pointing to the blue structure

external iliac artery (know it is the same on the right and left)

femoral artery (know it is the same on the right and left)

posterior tibial artery (know it is the same on the right and left)

common iliac vein (know it is the same on the right and left)

internal iliac vein (know it is the same on the right and left)

popliteal artery (know it is the same on the right and left)

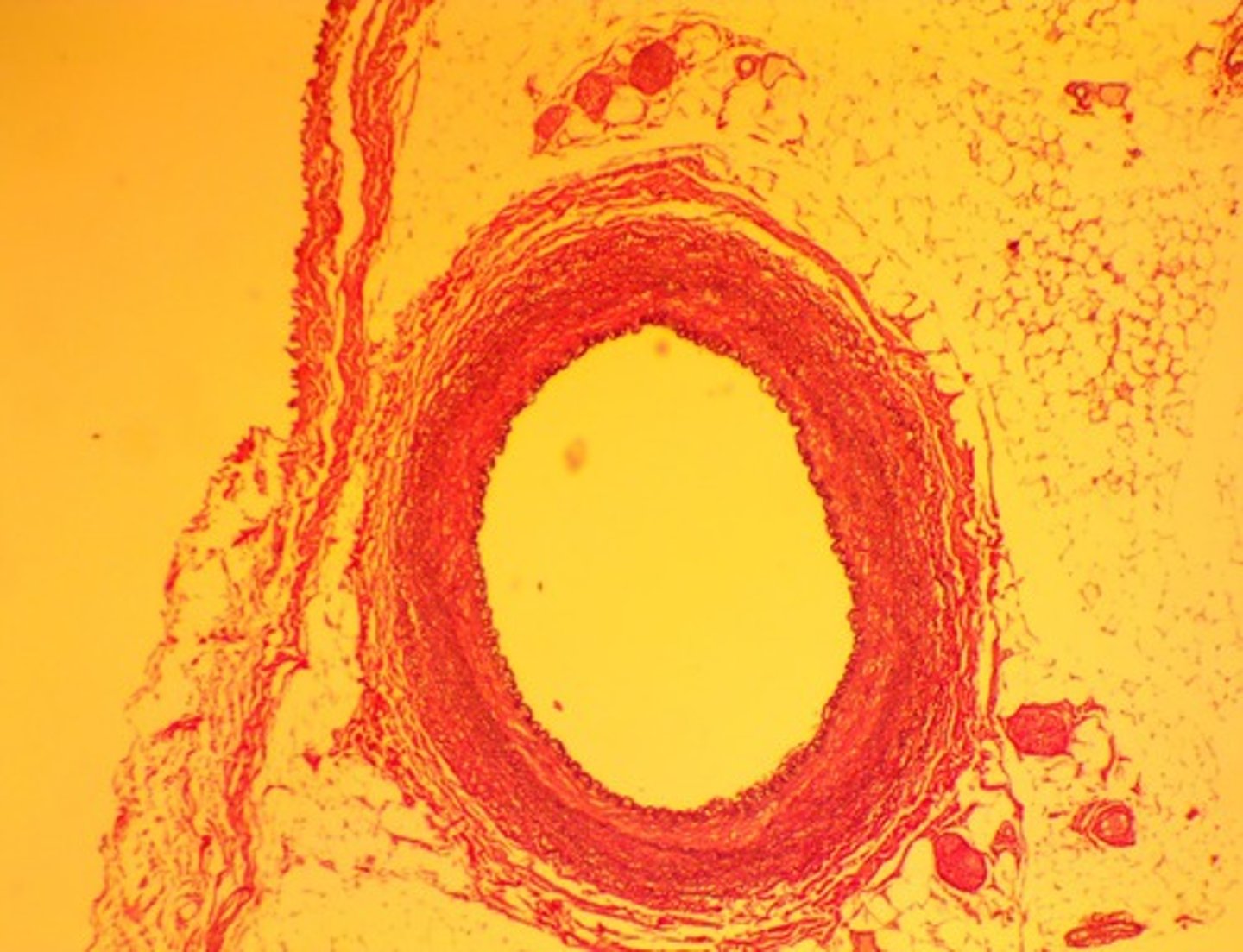
artery (microscopic)

vein (microscopic)
B

head, neck, and arms
What do the subclavian arteries supply?
head and brain
What do the common carotid arteries supply?
head, neck, upper extremities
What does the brachiocephalic trunk supply?
merge to form superior vena cava which drains into right atrium
What do the brachiocephalic veins drain into?
right atrium of heart
What does the superior vena cava drain into?
subclavian veins
What do the jugular veins drain into?
heart muscle
What do the coronary arteries supply?
left ventricle of heart
What does the anterior interventricular artery supply?
lateral portion of the right ventricle
What does the right marginal artery supply?
outer side and back of heart
What does the circumflex artery supply?
parts of the interventricular septum, inferior surface of right ventricle, and portion of inferior surface of left ventricle
What does the inferior interventricular artery supply?
right atrium of heart (cs)
What does the coronary sinus drain into?
left end of the coronary sinus
What does the great cardiac vein drain into?
coronary sinus or directly into the right atrium
What does the middle cardiac vein drain into?
coronary sinus (scv)
What does the small cardiac vein drain into?
spinal cord, esophagus, etc.
What does the descending (abdominal) aorta supply?
pancreas, parts of small and large intestines
What does the superior mesenteric artery supply?
ovaries (female) or testes (male)
What do the gonadal arteries supply?
stomach, spleen, pancreas
What does the gastric artery supply?
liver, gallbladder, pancreas, part of large intestine, and part of stomach
What does the hepatic artery supply?
inferior vena cava (hv)
What does the hepatic vein drain into?
usually inferior vena cava (rgov)
What does the right gonadal vein drain into?
left renal vein (lgov)
What does the left gonadal vein drain into?
hepatic portal vein (gav)
What does the gastric vein drain into?
most of the abdominal organs (spleen, stomach, liver, etc.) due to its many branches
What does the celiac trunk supply?
parts of the colon and rectum
What does the inferior mesenteric artery supply?
kidneys
What do the renal arteries supply?
stomach, spleen, pancreas (spa)
What does the splenic artery supply?