1/4
Looks like no tags are added yet.
Name | Mastery | Learn | Test | Matching | Spaced | Call with Kai |
|---|
No analytics yet
Send a link to your students to track their progress
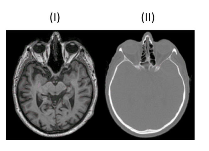
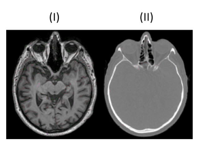
MRT (Bild I)
Strahlenfrei
hohe Bildqualität
Weichteildarstellung
Flexibilität bei Schnittführung

MRT (Bild I) typische Merkmale
Erzeugung Graustufenbildern basierend auf Anregung der Wasserstoffprotonen im Gewebe
T1-Wichtung: Hervorhebung fetthaltiger Strukturen → Knochen schwarz, Fettgewebe weiß
T2-Wichtung: Hervorhebung wasserhaltiger Strukturen → Liquor weiß, weiße Substanz dunkelgrau

CT (Bild II)
Schnittbilder
rotierender CT
Benutzt Röntgen
Computergestütze Rekonstruktion
Umfassende Bildgebung

CT (Bild II) typische Merkmale
Weniger Kontrast bei Weichgewebe
Weiße Knochen

Der lineare Schwächungskoeffizient µ der Lunge für diagnostische Röntgenstrahlung beträgt aufgrund der niedrigen mittleren Dichte des Gewebes nur circa 30% des Wertes µ für Wasser. Berechnen Sie hieraus den mittleren Hounsfield-Wert von Lunge in einem CT-Bild.
-700 HU
