1/27
Looks like no tags are added yet.
Name | Mastery | Learn | Test | Matching | Spaced | Call with Kai |
|---|
No analytics yet
Send a link to your students to track their progress

HERMAFRODITISMO LATERAL
un ovario en un lado y un testiculo en el otro

PSEUDOHERMAFRODITISMO (síndrome de inversión sexual)
tienen uno u otro tipo de gonada y los genitales del sexo opuesto
genetica: XY SRY, o sindrome intersexual acorne
endocrina: falta de testosterona o resistencia a androgenos

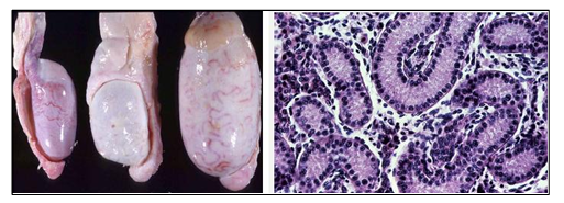
HIPOPLASIA TESTICULAR
testiculos solo sertori

CRIPTORQUIDIA
fracaso para descender al escroto de uno o ambos testículos
unilateral mas frecuente
testiculo en cavidad abdominal o canal inguinal, la Tª elevada impide su desarrollo (hipoplasia)

ATROFIA Y DEGENERACIÓN
macro es igual a hipoplasia
micro hay descamacion, vacuolización citoplasmática, celulas gigantes…

CALCIFICACIÓN (rumiantes)
calcio en interior de tubulos con celulas descamas
estrias blanquecinas
secundario a hipoplasia o atrofia testicular

HIDROCELE

CONGESTIÓN E INFARTACIÓN
machos con cordñon espermatico largo o testiculos hiperftóficos
perros con criptorquidia

ORQUITIS: inflamacion del testiculo
PERIORQUITIS: inflamacion de la tunica albugina

INFLAMACION AGUDA PURULENTA

GRANULOMA ESPERMATICO (orquitis autoinmune)
granulomas de cuerpo extraño por salida de espermatozoides

BRUCELOSIS
aumento tamaño con inflamacion purulenta y necrotica (aguda)
granulomas, fibrosis alrededor (periorquitis) y degeneracion y atrofia (cronica)

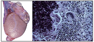
Tumor de células de Sertoli o SERTOLINOMA
mas frecuente (40%)
produce estrogenos (feminización: ginecomastia, prepucio péndulo)
proliferación intratubular de celulas alargadas


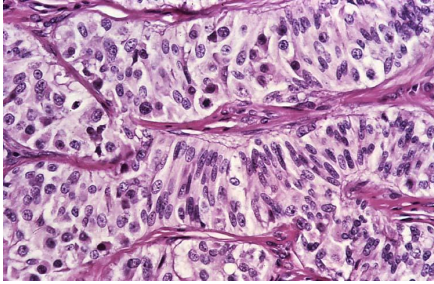
SEMINOMAS
tumor de ceulas germinales (30% perros)
nodulos blanquecinos
secretores adrógens o estrogenos
nucleos grandes


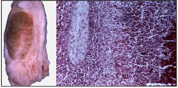
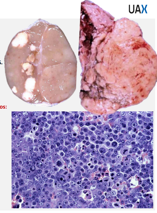
Tumor de Leydig o LEYDIGOMA
de células intersticiales
nódulos anaranjados y hemorragias
celulas intersticuales acidofilas con vacuolas lipidicas
secretoras de testosterona (androgenos)

TERATOMA

MESOTELIOMA (maligno)

EPEDIDIMITIS
puede producir una orquitis

VARICOCELE
dilatacion de la vena espermática del plexo pampiniforme

HIPERPLASIA PROSTATICA BENIGNA

FRENILLO PENEANO PERSISTENTE
frenillo se une a la parte ventral del glande

FIMOSIS
estrechamiento del orificio de salida del prepucio

PARAFIMOSIS
estrangulamiento del glande por inflamacion del prepucio

INFLAMACIONES PENE
BALANITIS (Inflamación Del Pene o Glande)
POSTITIS (Inflamación Del Prepucio)
BALANOPOSTITIS

LINFOSARCOMA DE STICKER (Tumor venéreo transmisible canino)
base del pene, formaciones exofilicas irregulares
celulas redondeadas

OVOTESTIS
organo combinado: uni o bilateral

Tumor de Leydig o LEYDIGOMA
de células intersticiales
nódulos anaranjados y hemorragias
celulas intersticuales acidofilas con vacuolas lipidicas
secretoras de testosterona (androgenos)

GRANULOMA ESPERMATICO
aplasia conductos→ retencion semen → espermatocele = granuloma espermatico