1/22
Looks like no tags are added yet.
Name | Mastery | Learn | Test | Matching | Spaced | Call with Kai |
|---|
No analytics yet
Send a link to your students to track their progress
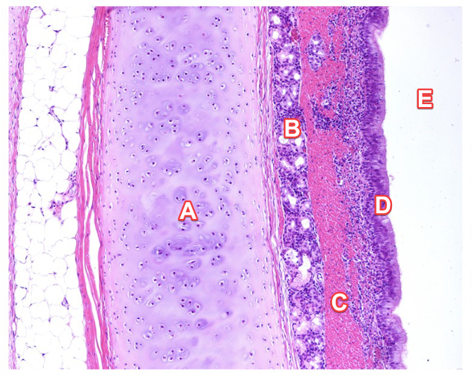
trachea
What is Label 16 the histology slide of?

lumen
In the histology slide of the trachea, Label A is the…

mucosa
In the histology slide of the trachea, Label B is the…
(This is the ciliated pseudostratified columnar epithelium)

submucosa
In the histology slide of the trachea, Label C is the…

hyaline
In the histology slide of the trachea, Label D is the…
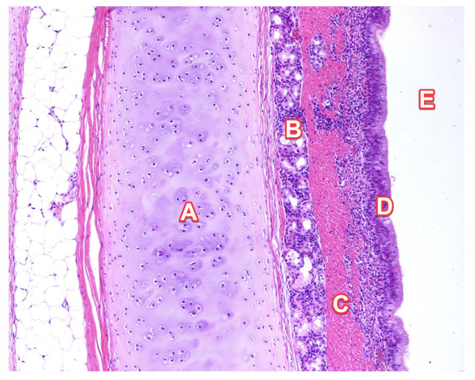
mucosa
In the zoomed-in histology slide of the trachea, Label A is the…

submucosa
In the zoomed-in histology slide of the trachea, Label B is the…

hyaline
In the histology slide of the trachea, Label A is the…

submucosa
In the histology slide of the trachea, Label C is the…

mucosa
In the histology slide of the trachea, Label D is the…

lumen
In the histology slide of the trachea, Label E is the…

bronchus
The picture is a histology slide of the…

cartilage plate
In the histology slide of the bronchus, Label A is the

epithelium
In the histology slide of the bronchus, Label C is the

smooth muscle
In the histology slide of the bronchus, Label D is the

alveola
The picture is a histology slide of the…

respiratory bronchiole
In the histology slide of the alveola, Label A is the

alveolar duct
In the histology slide of the alveola, Label B is the

alveolus
In the histology slide of the alveola, Label C is the

respiratory bronchiole
In the alveolar histology slide, Label A is the

alveolar sac
In the alveolar histology slide, Label B is the

alveolar ducts
In the alveolar histology slide, Label C is the

alveola
In the alveolar histology slide, Label D is the
