1/28
Looks like no tags are added yet.
Name | Mastery | Learn | Test | Matching | Spaced | Call with Kai |
|---|
No analytics yet
Send a link to your students to track their progress
ARTHROSE
= maladie ostéo-articulaire : atteinte des 4 tissus composant l’articulation synoviale = cartilage articulaire, os sous-chondral, membrane synoviale et capsule -> coxarthose, gonarthrose, arthrose digitale…
=> POGO :
- pincement de l’interligne articulaire
- ostéocondensation sous-chondrale
- géodes sous-chondrales
- ostéophytose marginale
Diag par radio, scanner, IRM

SPONDYLODISCITE INFECTIEUSE
= infection d’un disque intervertébral et des corps vertébraux adjacents
Radio : normale (début) puis décalage radio-clinique 3-4sem
IRM (exam réf diag précoce) : hypersignal du disque et des plateaux vertébraux adjacents, abcès périvertébraux ou épidurite → séquences STIR ou T1 après inj gado / hyposignal en T1
Scanner = si IRM CI, guidage ponction-biopsie discovertébrale
Scintigraphie et TEP-scanner : si IRM CI

ARTHRITE SEPTIQUE
= prolifération intra-articulaire d’un micro-organisme cultivable → urgence dia +++ (dégradation cartilagineuse rapide avec séquelles + risque de septie sévère
Diag :
radio : pincement diffus de l’interligne articulaire avecérosion osseuses sous-chondrales, sans ostéophytes si abs de ttt

Ostéoporose
= maladie généralisée du squelette, caractérisée par une résistance osseuse (= densité + qualité) diminuée prédisposant à un risque élevé de fracture (patho, trauma et contrainte)
Diag par mesure de la DMO
Bilan radio du rachis dorso-lombaire en cas de perte de taille significative (>4cm)

ARTHROPATHIE MICROCRISTALLINE
= maladies à dépôts intra-articulaires ou péri-articulaires de micro-cristaux (urate monosodique → goutte / pyrophosphate de Ca → chondrocalcinose / apatite → rhumatisme à apatite)
Diag :
radio :dépôts calciques radio-opaques, péri-articulaires pour les accès apatitiques OU intra-articulaires pour le rhumatisme à PPP
Écho articulaire : goutte
GOUTTE
= maladie de surcharge en urates, chronique, réversible
Radio :
Arthropathie uratique chronique tardivement (géodes ou encoches épiphysaires, conservation prolongée de l’interligne articulaire et ostéophytose marginale)
Écho articulaire :
aspect en « double contour » : dépôt uratique surface cartilage
Tophus goutteux infra-cliniques

CHONDROCALCINOSE
= dépôt de cristaux de PPC dans les tissus articulaires (cartilage hyalin et fibrocartilage), généralement genou et poignet
Radio :
Mains/poignets F
Genou F + P + DFP + Schuss
Bassin F
→ dépôts cartilagineux = opacités linéaires restant à distance et parallèles à la limite de l’os sous-chondral (tête humérale/fémorale)
→ dépôts fibro-cartilagineux « GPS » :
Genoux : opacités triangulaires sur les ménisques
Poignets : ligament triangulaire du carpe, cartilages intra-carpiens
Symphyse pubienne : calcifications linéaires verticale

RHUMATISME APATITIQUE
= dépôt dans les structures péri-articulaires (tendons, capsules articulaires et bourses séreuses) de cristaux apatites, généralement épaule, hanche, main, doigts/poignets
Radio :
Opacité calcique arrondie, homogène, sans corticale

Hernie discale
=lésion atteignant le rachis et caractérisée par le déplacement d’une partie d’une disque intervertébral hors des limites de sa position initiale → ouverture de l’anneau fibreux laissant passer une partie du noyau pulpeux

POLYARTHRITE RHUMATOÏDE
= réponse immunitaire incontrôlée : production d’auto-anticorps comprenant le facteur rhumatoïde (FR) et les auto-anticorps anti-protéines citrullinées (ACPA), réactions inflammatoire membrane synoviale (synovite)
Radio :
normale si PR débutante
Mains et poignets : F
Pieds : F+ 3/4
Autres articulations douloureuses : F + P
Thorax:bilan pré-T
Lésions structurales : érosions osseuses, pincement des interlignes articulaires (carpe, MCP, IPP et MTP)
Écho : recherche épanchement liquidien intra-articulaire, synovite, ténosynovite, érosions osseuses infra-radio

SPONDYLOARTHRITES
SPA = ensemble de maladies inflammatoires qui partageant manifestations et terrain génétique
4 syndromes :
syndrome pelvi-rachidien ou axial (rachis et sacro-iliite)
Syndrome enthésopathique
Syndrome articulaire périphérique
Syndrome extra-articulaire
Radio :
rachis cervical, thoracique et lombaire (face + profil) et bassin (face)
syndesmophyte : ossification d'une enthèse vertébrale, spécifique d'une SpA (aspect fin et direction verticale) pouvant aller jusqu'à la « colonne bambou »
sacro-iliite : aspect « flou » des berges articulaires, condensation, érosions pouvant aller jusqu'à la fusion complète
calcanéite inflammatoire
IRM rachis thoraco-lombaire +caro-iliaques = remaniements inflammatoires précédant les modifications radio

Condensation
= augmentation de la densité osseuse
→ diffuse :méta osseuses, hémopathies, intox au fluor, maladie de paget

Déminéralisation
= diminution de la densité osseuse
→ diffuse : ostéoporose, hyper parathyroïdie
→ localisée : tumeurs, ostéite, algoneurodystrophine
→ enaires multiples : méta, myélome, dysplasie fibreuse

Pincement
= diminution de l’épaisseur de l’interligne
→ focal: pathologie mécanique (arthrose)
→ global : destruction globale du cartilage articulaire, en relation avec une pathologie nflammatoire (arthrite septique, rhumatisme inflammatoire ou micro-cristallin)

Liseré calcique
= chondrocalcinose
→ maladie liée au dépôts de cristaux de pyrophosphate de calcium
→ dépôts fins et linéaires, localisés dans le cartilage hyalin et notamment le
fibrocartilage,
→ « GPS » : genou, poignet, symphyse pubienne

Érosion
=ostéolyse
→ intra-articulaire : centrale (touchant l'os sous-chondral) ou marginal
→ para-articulaire (à distance de la capsule synoviale) : goutte

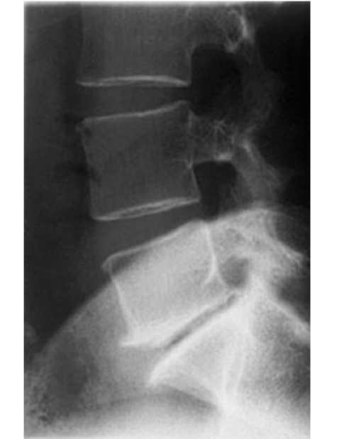
Fracture vertébrale ostéoporotique
→ localisation < TH6,
→ aspect homogène avec de profil, un aspect cunéiforme (diminution de la haute itérieure du corps vertébral), concave ou biconvexe ou en galette (diminution de hauteurs antérieures, moyennes et postérieures)
→ conservation de la corticale et de l'arc postérieur

Fracture vertébrale maligne
→ localisation > TH6
→ aspect hétérogène, désorganisé, asymétrique de la trame osseuse
→ lyse du mur postérieur et atteinte des parties molles péri-vertébrales
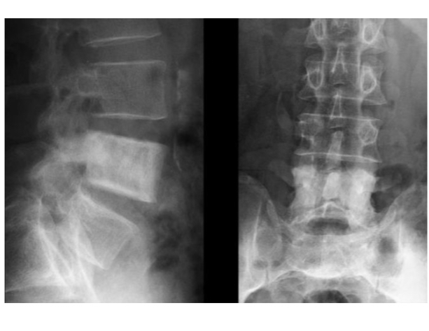
Discopathie dégénérative L5-S1
pincement discal
Ostéophytes antérieurs

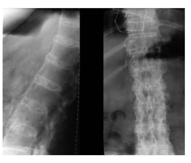
Maladie de Hodgkin
condensation diffuse d’un corps vertébral
Vertèbre « ivoire »

Spondyloarthrite ankylosante
syndesmophytes à plusieurs étages
Aspects de « colonne bambou »

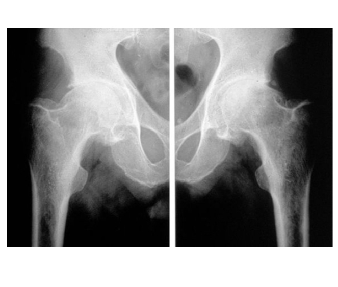
Coxarthrose bilatérale
pincement supéro-externe de l’interligne coxo-fémorale bilatérale

Coxarthrose destructrice rapide
pincement supéro-externe de l’interligne coxo-fémorale

Gonarthrose FT externe
pincement de l’interligne FT externe
Ostéophytes externes

Chondrocalcinose articulaire
calcif linéaires des ménisques

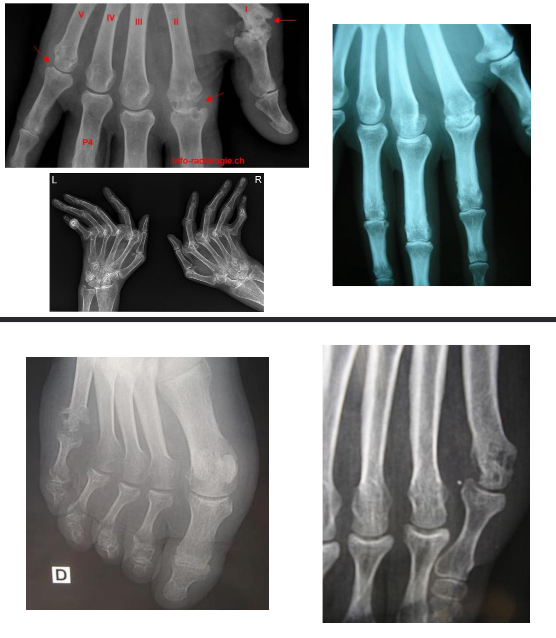
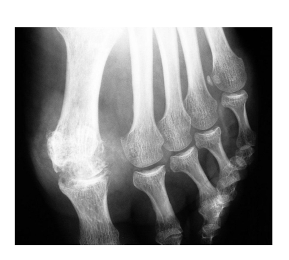
Goutte chronique
pincement global +condensation 1ere MTP
Érosions
Infiltration des parties molles

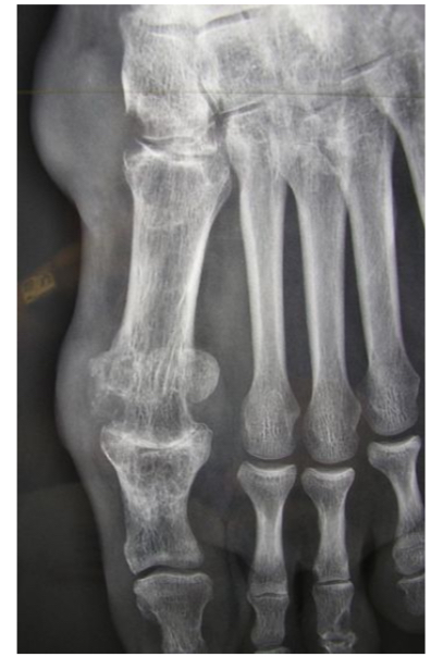
Goutte chronique
pincement global 1ere MTP
Érosions multiples
Tophus sous-cut

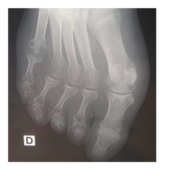
PR
destruction articulaire de la 5e MTP avec érosions multiples

Spondyloarthrite de la berge articulaire sacro-iliaque
inflammation des articulations sacro-iliaques
