diagnostic imagingw

0.0(0)
studied byStudied by 0 people
0.0(0)
full-widthCall with Kai
GameKnowt Play
New
learnLearn
examPractice Test
spaced repetitionSpaced Repetition
heart puzzleMatch
flashcardsFlashcards
Card Sorting

1/30

encourage image

There's no tags or description

Looks like no tags are added yet.

Study Analytics
Name
Mastery
Learn
Test
Matching
Spaced

No study sessions yet.

31 Terms

1
New cards
<p>what view is this</p>

what view is this

APOM

2
New cards
<p>what view is this</p>

what view is this

APLC

3
New cards

central ray level of APLC

C4

4
New cards
term image

LCN

5
New cards

LCN central ray level

C4

6
New cards
term image

LCF

LCE

7
New cards

value for intersegmental instability of cervical spine

motion > 3.5 mm

angular 11 degrees

8
New cards

right anterior oblique = ___ side intervertebral foramen

same

(right)

9
New cards

right posterior oblique = ___ side intervertebral foramen

opposite

(left)

10
New cards

AP thoracic view central ray

straight through xiphoid process

11
New cards
term image

AP thoracic view

12
New cards
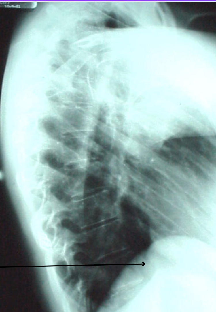
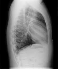
term image

lateral thoracic view

13
New cards

lateral thoracic view central ray is centered at

C7

14
New cards
<p>right AP oblique</p>

right AP oblique

left pedicle

15
New cards
<p>right PA oblique</p>

right PA oblique

left intervertebral foramen

16
New cards
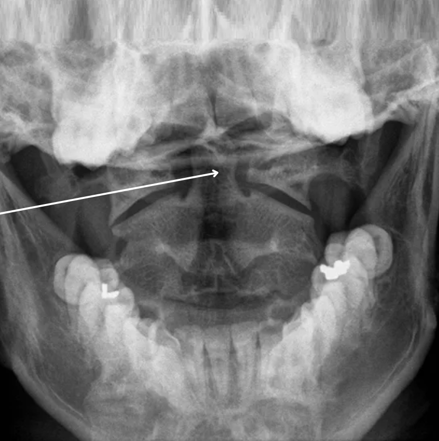
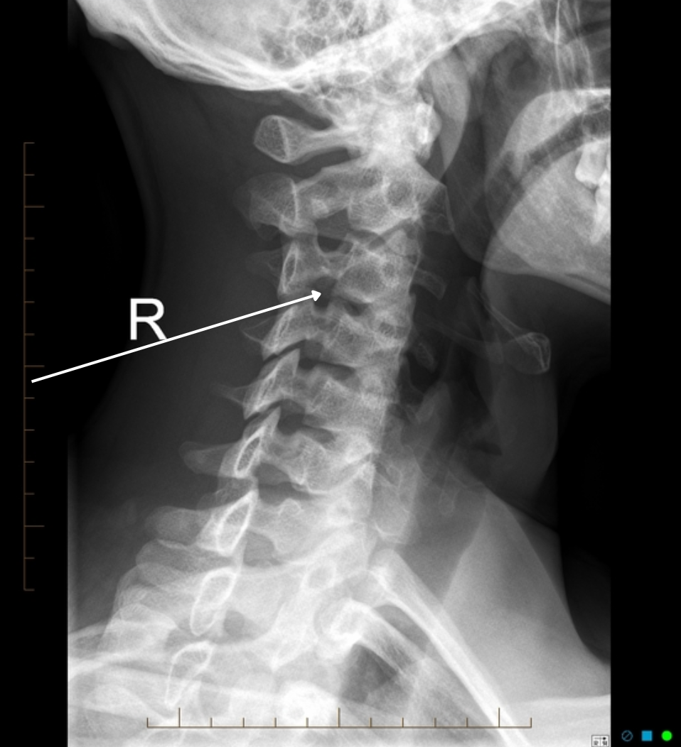
term image

right ucinate process

17
New cards
<p></p>

C3 body

18
New cards
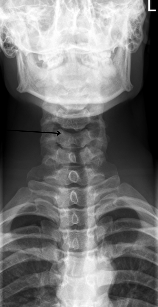
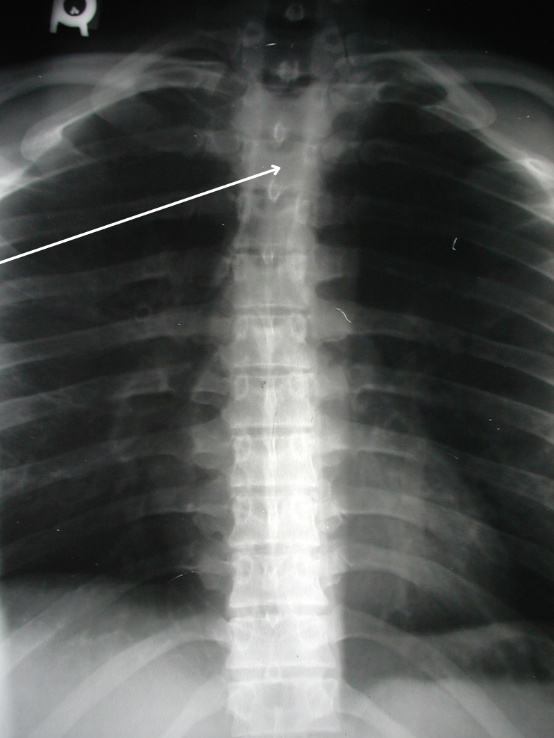
term image

lateral masses of atlas

19
New cards
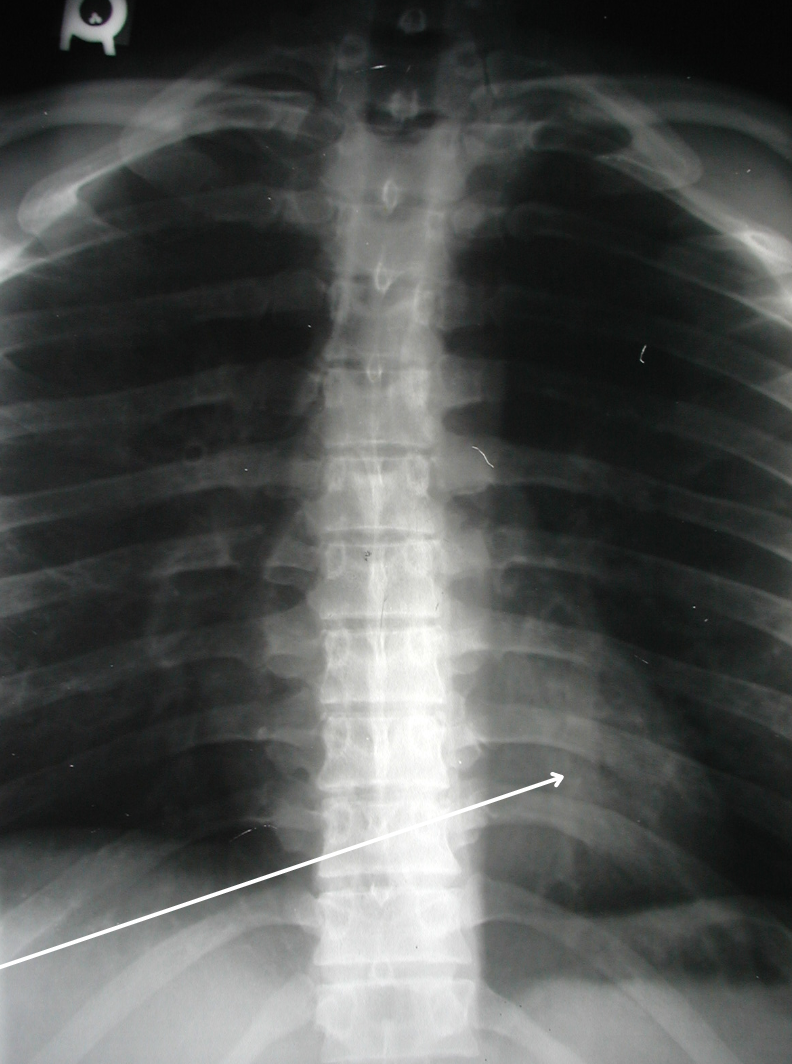
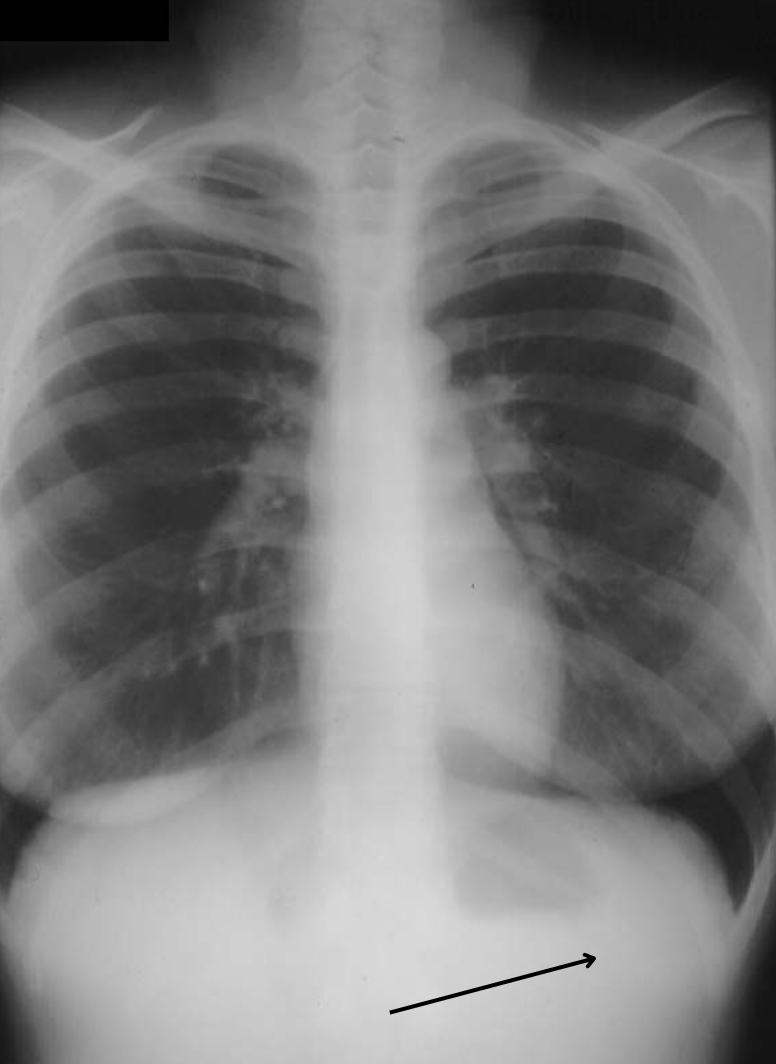
term image

left border of heart

20
New cards

cervical and lumbar curves

lordosis

21
New cards

thoracic and sacral curves

kyphosis

22
New cards
term image

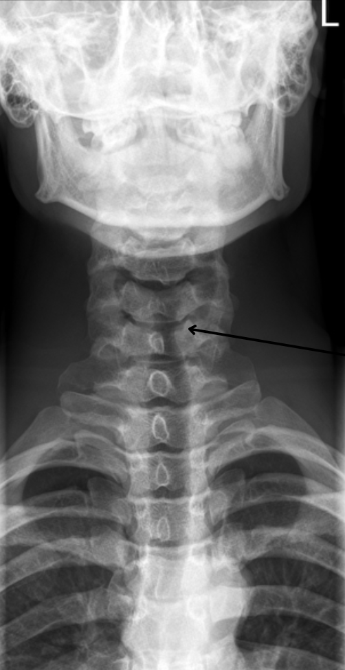
left ucinate process C6

23
New cards

cervical view for best view of IVF

cervical oblique

24
New cards

right PA oblique shows ___ IVF

left

25
New cards

why take lateral flexion/extension cervical views

assess translation between vertebral segments

26
New cards
<p><br></p>


odontoid process/dens

27
New cards
term image

trachea

28
New cards
term image

heart

29
New cards
term image

diaphragm

30
New cards
term image

costophrenic angle

31
New cards
<p>left or right hemidiaphragm</p>

left or right hemidiaphragm

left