1/11
Looks like no tags are added yet.
Name | Mastery | Learn | Test | Matching | Spaced | Call with Kai |
|---|
No analytics yet
Send a link to your students to track their progress
What is fragility fracture
Fracture that is caused by minor trauma

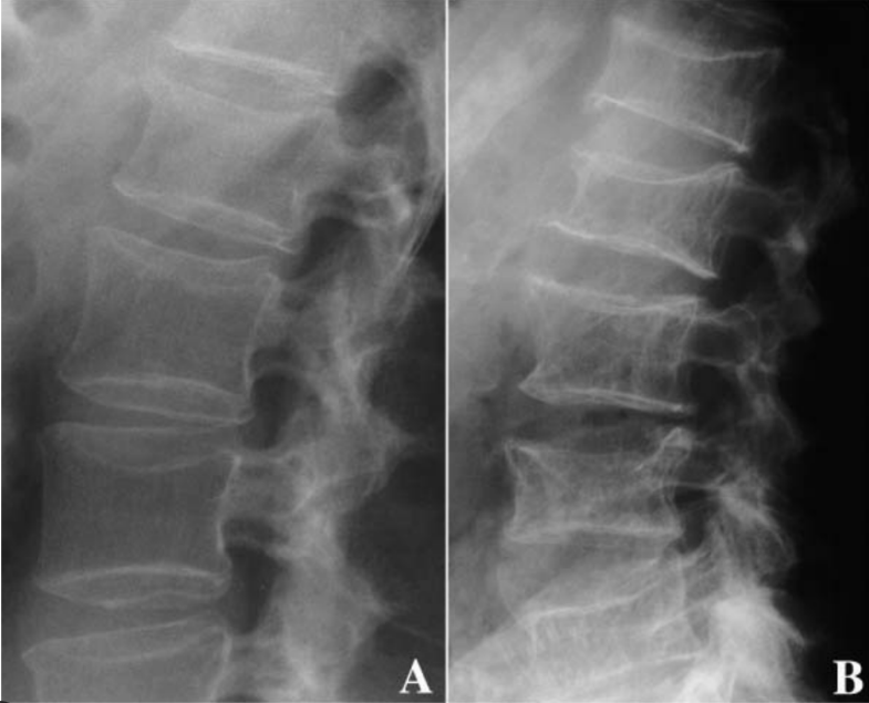
What is abnormal
B shows vertebral fractures since the anterior part of vertebrae is collapsed compared to posterior part
What score is used to diagnose in a DEXA scan
For old person: Use the lowest T score; for young adult use lowest Z score ; look at either L1-L4 or L2-L4
What are the T score ranges
T score <= -2.5 = osteoporosis; T score >= -1.0 = normal
What is the difference between T and Z score
T score is an average for young adult; Z score is compared by age
Indication for BMD
Women aged over 65, men over 70; post menopausal women <65 and men 50-70 years old
Risk factor of osteoporosis
Fragility fracture, on steroid drug, alcoholism/smoking, secondary cause, menopause, CKD, major weight loss, low BMI
Why is low BMI a risk factor for osteoporosis
For bone to be strong there need to be injury → Caused by weight bearing; low BMI = low weight = low weight bearing
What demographic has the highest rate of osteoporotic fracture
T score -1 to -2
Based on FRAX score what is considered high risk
Osteoporotic fracture risk >=20% or hip fracture risk >=3%
What are the pro and con of QCT
Con: more radiation, scanner variability changes HU; pro: useful for scoliosis and obesity, spinal degeneration does not affect result
What defines severe osteoporosis
T score <= -2.5 + risk factor