1/32
Looks like no tags are added yet.
Name | Mastery | Learn | Test | Matching | Spaced | Call with Kai |
|---|
No analytics yet
Send a link to your students to track their progress

Tkanka tłuszczowa z wypłukaną deutoplazmą


Aparat Golgiego w komórkach nerwowych zwoju międzykręgowego


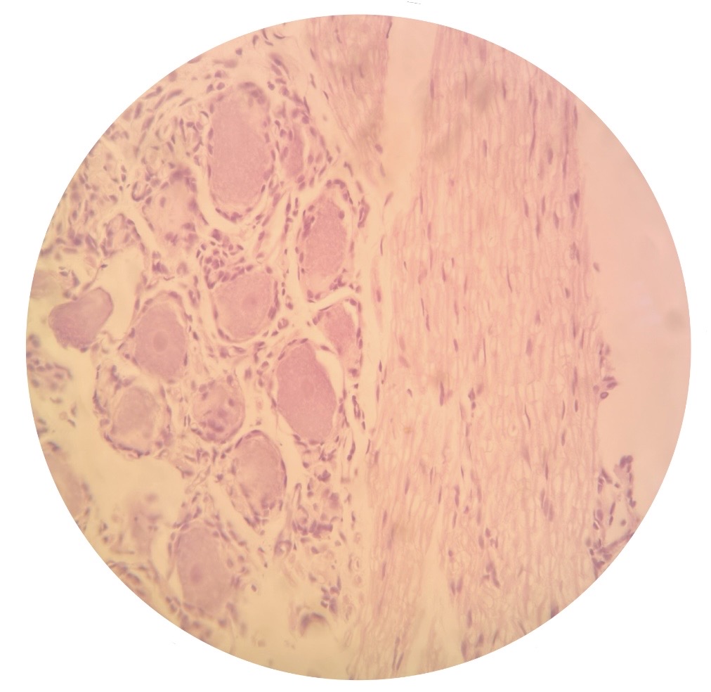
Tłuszcz (deutoplazma) w komórkach tkanki tłuszczowej żółtej


Fagocytoza komórek drożdży przez granulocyty obojętnochłonne


Mitoza w komórkach roślinnych


Nabłonek jednowarstwowy płaski z krezki


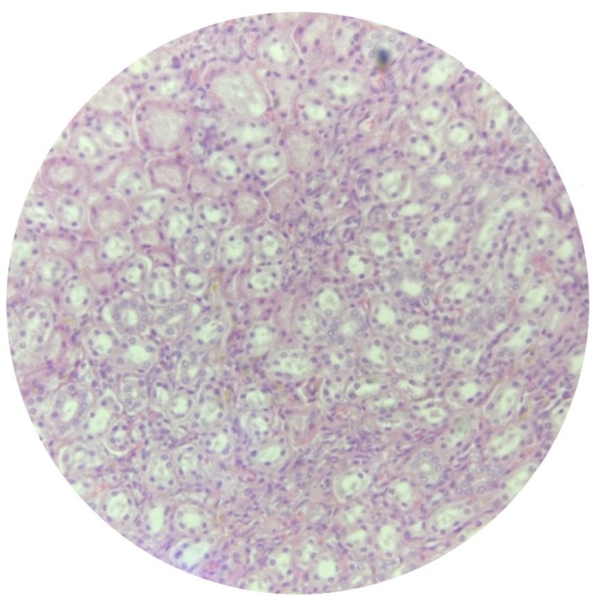
Nabłonek jednowarstwowy sześcienny z kanalików nerki


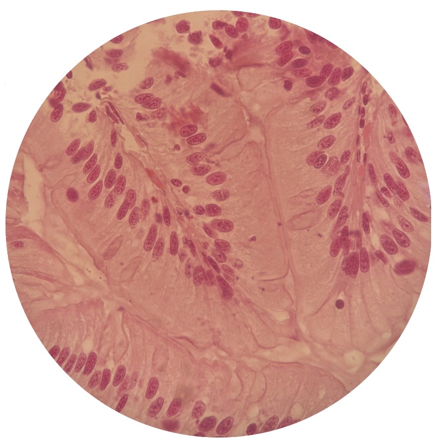
Nabłonek jednowarstwowy walcowaty z rąbkiem szczoteczkowym (prążkowanym) z kosmków jelita cienkiego


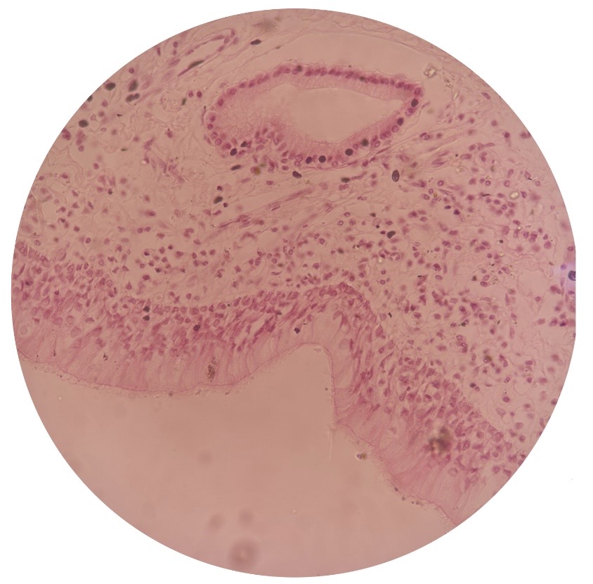
Nabłonek wielorzędowy migawkowy z tchawicy


Nabłonek wielowarstwowy przejściowy z pęcherza moczowego


Nabłonek wielowarstwowy płaski nierogowaciejący z rogówki oka


Tkanka łączna włóknista wiotka z krezki


Tkanka łączna zwarta o regularnym układzie włókien kolagenowych - fragment ścięgna białego


Tkanka łączna siateczkowata z węzła chłonnego


Tkanka chrzęstna szklista z wyrostka mieczykowatego mostka


Tkanka chrzęstna włóknista z tarczki międzykręgowej


Tkanka chrzęstna sprężysta z nagłośni


Tkanka kostna zwarta blaszkowata - kość typu Haversa z trzonu kości długiej


Tkanka mięśniowa poprzecznie prążkowana szkieletowa


Tkanka mięśniowa gładka


Tkanka mięśniowa poprzecznie prążkowana serca


Izolowane włókna nerwowe dwuosłonkowe


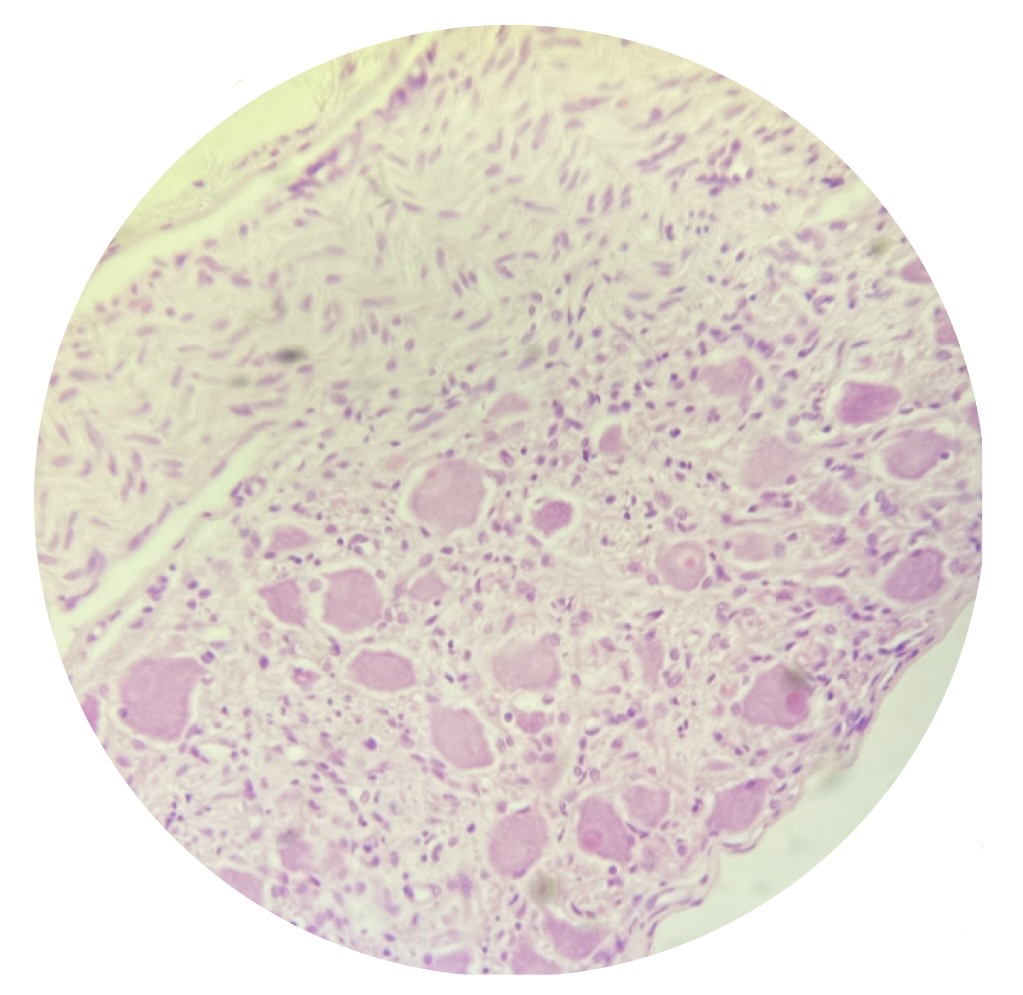
Izolowane komórki nerwowe wielobiegunowe z rogów przednich rdzenia kręgowego


Pień nerwowy


Kora móżdżku


Zwój nerwowy rdzeniowy


Zwój nerwowy współczulny układu autonomicznego


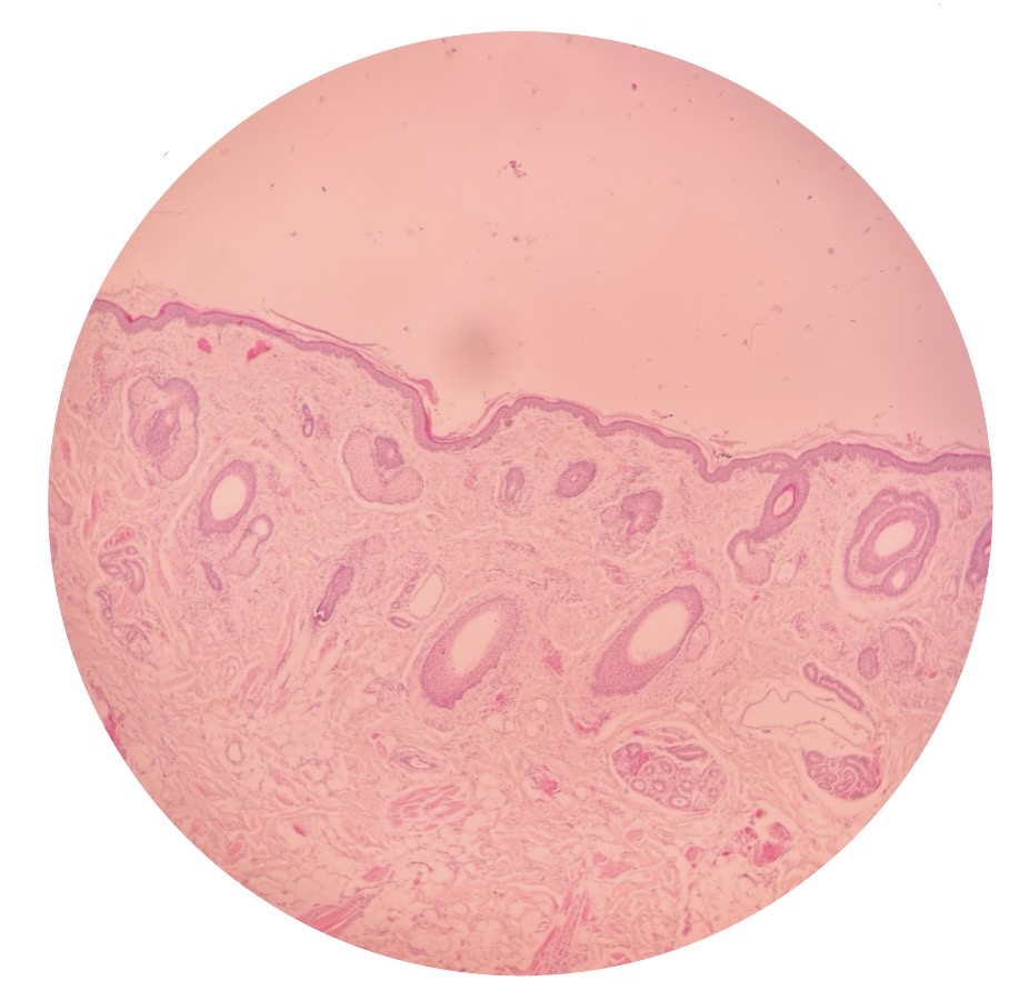
Skóra nieowłosiona


Skóra owłosiona


Warga


Pępowina


Łożysko - dojrzałe


Worek płodowy
