1/20
Looks like no tags are added yet.
Name | Mastery | Learn | Test | Matching | Spaced | Call with Kai |
|---|
No analytics yet
Send a link to your students to track their progress
what are the four GENERAL tissue types?
Connective tissue, Epithelial tissue, Nervous tissue, Muscular tissue.
what are the CHARACTERISTICS of EPITHELIAL tissue
avascular, thin lining of most organs, has a apical and basal layer, are in closely packed layers
What are the functions of EPITHELIAL tissue
protection, lubrication, repair, absorption, filtration, secretion or excretion

what tissue is this
simple squamous epithelium
where can simple squamous epithelium be found and what are its functions
simple squamous epithelium can be found in alveoli (air sacs). They are adapted for secretion and absorption

what kind of tissue is this
Simple cuboidal epithelium
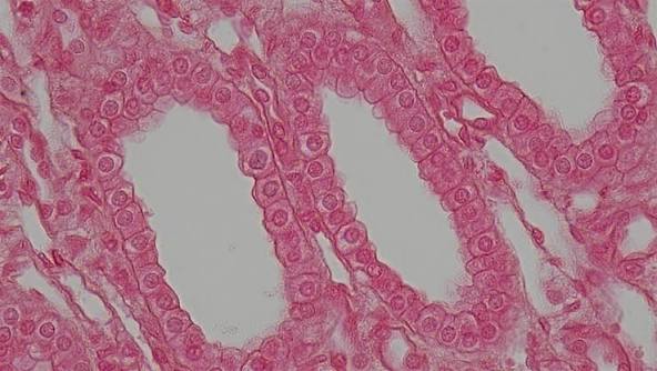
Where can simple cuboidal epithelium be found and what is its function
simple cuboidal epithelium makes kidney tubules and is adapted for secretion and absorption.

whar kind of tissue is this
simple columnar epithelium
where can columnar epithelial tissue be found and what are its functions?
found in the lining of the GI tract and offers protection through the secretion of mucus, can be ciliated in the uterine tube lining

what kind of tissue is this?
This is Pseudostratified ciliated columnar epithelium
where can Pseudostratified ciliated columnar epithelium be found and what are its functions
it can be found in the lining of the respiratory tract, adapted for secretion of mucus and protection

what kind of tissue is this?
This is stratified squamous epithelium
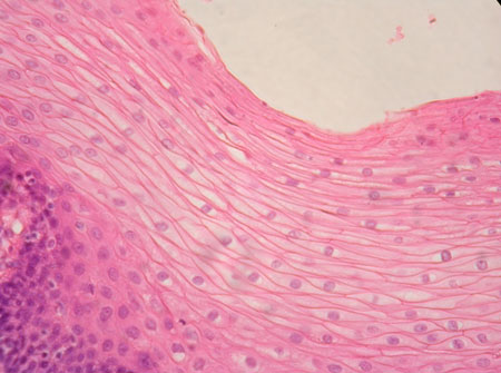
where can Stratified squamous epithelium be found and what are its functions.
stratified squamous epithelium can be found on the superficial layer of the skin and its function is to protect

what kind of tissue is this
This is transitional epithelium
where is transitional epithelium found and what are its functions
transitional epithelium is found in the lining of the ureter, urinary bladder, it is adapted for stretching
What are the CHARACTERISTICS of connective tissue
a large amount of cellular matrix in between cells, cells are usually scattered, there can also be many blood vessels
what are the FUNCTIONS of connective tissue
protection, storage, bind various body parts, support the body as a whole and its organs

what kind of tissue is this
loose connective tissue
where can loose connective tissue be found and what are its functions
loose connective tissue can be found around nerves and blood vessels, they fill in spaces and bind muscle, and support epithelial

what kind of tissue is this?
This is dense regular connective tissue
where can dense regular connective tissue be found and what are its functions