tissues

0.0(0)
Studied by 1 person
call kaiCall Kai
learnLearn
examPractice Test
spaced repetitionSpaced Repetition
heart puzzleMatch
flashcardsFlashcards
GameKnowt Play
Card Sorting

1/15

flashcard set

Earn XP

Description and Tags

Last updated 10:13 PM on 9/17/22
Name
Mastery
Learn
Test
Matching
Spaced
Call with Kai

No analytics yet

Send a link to your students to track their progress

16 Terms

1
New cards
Areolar Connective
Location: Widely distributed under the epithelia of the body
Function: defends against infections
Things to remember: Gel-like Matrix
Location: Widely distributed under the epithelia of the body 
Function: defends against infections 
Things to remember: Gel-like Matrix
2
New cards
Adipose Connective
Location: breast
Function: stores energy
things to pay attention to: nuclei/fat storage
Location: breast
Function: stores energy
things to pay attention to: nuclei/fat storage
3
New cards
Hyaline Cartilage
Location: end of long bones
Function: decreasing friction
things to pay attention to: looks like grape jelly & eyes
Location: end of long bones 
Function: decreasing friction
things to pay attention to: looks like grape jelly & eyes
4
New cards
Elastic Cartilage
Location: external ear
Function: flexible support
things to pay attention to: looks like eyes & hair
Location: external ear
Function: flexible support
things to pay attention to: looks like eyes & hair
5
New cards
Fibrocartilage
Location: Knees
Function: absorb shock
things to pay attention to: looks like an art painting
Location: Knees
Function: absorb shock
things to pay attention to: looks like an art painting
6
New cards
Bone
Location: inside of the bones/ribs
function: stores calcium/movement
things to pay attention to: looks like a bullseye
Location: inside of the bones/ribs 
function: stores calcium/movement 
things to pay attention to: looks like a bullseye
7
New cards
Smooth Muscle
Location: walls of hollow organs
Function: propels substances
things to pay attention to: looks like hairs
Location: walls of hollow organs 
Function: propels substances 
things to pay attention to: looks like hairs
8
New cards
Striated Skeletal Muscle
Location: attached to bones/skin
Function: voluntary movement
things to pay attention to: looks like steak
Location: attached to bones/skin
Function: voluntary movement 
things to pay attention to: looks like steak
9
New cards
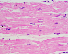
Striated Cardiac Muscle
Location: walls of the heart
Function: propels blood
things to pay attention to: looks like raw meat
Location: walls of the heart
Function: propels blood
things to pay attention to: looks like raw meat
10
New cards
neurons
location: brain/spinal cord
function: transmit signals
things to pay attention to: looks like pulled taffy
location: brain/spinal cord 
function: transmit signals 
things to pay attention to: looks like pulled taffy
11
New cards
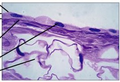
Simple Squamous Epithelium
location: lining of the heart; lungs
function: allows materials to pass by diffusion & filtration
things to pay attention to: looks like eggs
location: lining of the heart; lungs 
function: allows materials to pass by diffusion & filtration
things to pay attention to: looks like eggs
12
New cards
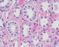
simple cuboidal epithelium
location: kidneys
function: secretion and absorption
things to pay attention to: looks like worms
location: kidneys
function: secretion and absorption 
things to pay attention to: looks like worms
13
New cards
simple columnar epithelium
location: gallbladder
function: absorption
things to pay attention to: looks like parked cars a parking lot
location: gallbladder
function: absorption 
things to pay attention to: looks like parked cars a parking lot
14
New cards
pseudostratified columnar epithelium
location: trachea
function: secretes substances
things to pay attention to: looks like watermelon
location: trachea
function: secretes substances 
things to pay attention to: looks like watermelon
15
New cards
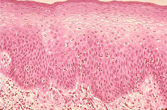
stratified squamous epithelium
location: lining of the mouth & esophagus
function: protects to underlying tissue
things to pay attention to: looks like the inside of a melon
location: lining of the mouth & esophagus
function: protects to underlying tissue 
things to pay attention to: looks like the inside of a melon
16
New cards
transitional epithelium
location: urinary bladder
function: stretches urinary organs
things to pay attention to: looks like frog eggs or chia seeds
location: urinary bladder
function: stretches urinary organs 
things to pay attention to: looks like frog eggs or chia seeds

Explore top flashcards

flashcards
Rusų žodžiai 1 tema
24
Updated 922d ago
0.0(0)
flashcards
Period 5 Vocab
136
Updated 354d ago
0.0(0)
flashcards
Mandarin 3 Semester 1 Final
244
Updated 844d ago
0.0(0)
flashcards
History Unit 3
56
Updated 1207d ago
0.0(0)
flashcards
Med Terms #1 (Roots)
29
Updated 1172d ago
0.0(0)
flashcards
classroom items
29
Updated 1230d ago
0.0(0)
flashcards
Rusų žodžiai 1 tema
24
Updated 922d ago
0.0(0)
flashcards
Period 5 Vocab
136
Updated 354d ago
0.0(0)
flashcards
Mandarin 3 Semester 1 Final
244
Updated 844d ago
0.0(0)
flashcards
History Unit 3
56
Updated 1207d ago
0.0(0)
flashcards
Med Terms #1 (Roots)
29
Updated 1172d ago
0.0(0)
flashcards
classroom items
29
Updated 1230d ago
0.0(0)