1/49
Looks like no tags are added yet.
Name | Mastery | Learn | Test | Matching | Spaced | Call with Kai |
|---|
No analytics yet
Send a link to your students to track their progress

Was this taken from the dominant generation?
Yes

Which plant is/are homosporous?
Plants that produce only one type of spore, which develops into a gametophyte that can produce both male and female gametes (Only specimen 1 (horse tail) is homosporous).


What was the vascular type tissue found in the gametophyte of Bryidae
No vascular tissue

What taxon does this belong to?
Marchantiophyta

When does this structure open
In dry environmental conditions to allow spore release.

What is this structure called?
Sori are clusters of spore-producing structures found on the underside of fern fronds.


What is the body of this plant called?
Leafy thallus

What did this structure originate from?
Spore

What taxon does this belong to?
Marchantiophyta

Is this generation dependent?
No

What plant taxa is this from?
Isoetacea (quilworts)

What plant taxa is this from?
coniferophyta

What plant taxa is this from?
Psilotopsida (whisk ferns)

What structure is this?
Archegonia

What falls off when the spores are mature?
Operculum

What grows out of these structures?
Thallus from a gemma cup

What taxon does this belong to?
Marchantiophyta

What taxon does this belong to?
Bryophyta-Sphagnidae

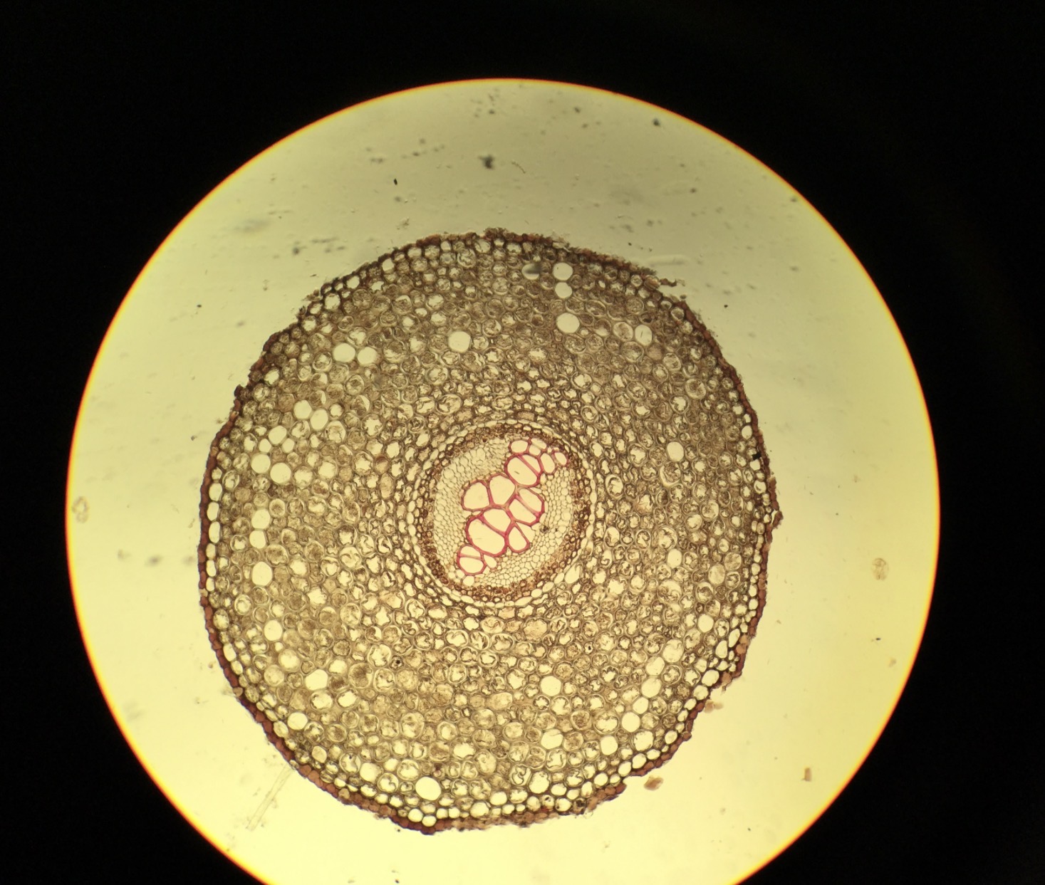
What is seen here?
A cross section through secondary xylem

What kind of vegetative leaves are found in these plants?
Both have microphylls


What sex is this plant?
You cannot tell

Is this plant attached to the ground?
Rhizoids

What is the ploidy of the dominant generation?
The haploid gametophyte

What taxon does this belong to?
Brophyta- Bryidae

What feature allows you to know this
The short branches at the apex of the plant (the pom pom)

The body of this plant is called
A thalloid thallus

What cell type is this made of
Tracheids

What taxon does this belong to?
Brophyta- Bryidae

What type of spore and spore development pattern is found in this taxa
Homosporous with exosporic development

What is the structure in the box?
The capsule

What branching pattern is seen in this taxa?
Dicotomous

What generation was this cross section from?
The sporophyte generation

What is the structure that opens the sporangium in this taxa?
The annulus

The structures found in this part of the plant is released under what environmental conditions?
Wet

Can this taxon have the other type of thallus?
Yes, this is a leafy thallus and it can have a thalloid thallus

Would you find a reproductive strobilus in these plants?
Yes, in both specimen 1 and specimen 2

What leaf type is seen here
An enation

What are these structures?
Splash cups, which move sperm

What type of growth form is seen here?
Acrocarp

What generation is seen here?
The microgametophyte

is there an a megagametophyte?
no

What life process occurs in this structure?
Fertilization

Does this come from a bryophyte or one of the vascular plant taxa?
Vascular plants

What is the next step in the lifecycle?
Fertilization

What type of spores are found here?
Heterospores

What life process occurs in this structure?
Meiosis

What happens next?
Pollination

Is the gametophyte independent?
No