1/39
Looks like no tags are added yet.
Name | Mastery | Learn | Test | Matching | Spaced | Call with Kai |
|---|
No analytics yet
Send a link to your students to track their progress
Define estrous cycle
Puberty
Stages of estrous
Proestrus
Estrus
Metestrus/ Diestrus
Anestrus
Proestrus symptoms / duration
Swollen vulva
Bloody vaginal discharge
Becomes a tease
Urine marking
duration of proestrous
Average 7-10 days (9 days)
Range 4-25 days
Estrus symptoms / duration
Vulva is less swollen
Less bloody discharge
Straw coloured discharge
Urine marking
On the hunt for a lover, and the guys be noticing and wanting to engage. Bow chick a wow wow time
duration of estrus
average- 3-10 days
range 2-15 days
Metestrus / diestrus symptoms / duration
Normal cooch
Mucous to dark brown color initially
May have morning sickness for a few days if prego
Can undergo false pregnancy
duration of metestrus/ diestrus
70-80 days
Anestrus symptoms / duration
Normal cooch
Period of inactivity between end of diestrus and the onset of the next Proestrus
Anestrus duration
4-5 months
How do you determine ovulation
Vag cytology
LH determination
Serum progesterone determination
When would you get increased estrogen results on a vag cytology
Bloody vaginal fluid (diapedesis)
Epithelial cell proliferation and differentiation (thickening of epithelium or keratinization of cells)
what species are vaginal cytologies most commonly used to stage the estrous cycle?
dogs
How to take a vag smear
Moisten cotton swab
Use speculum
Touch vaginal wall with swab, do not scrape
Avoid collecting cells from vestibule or clitoral fossa
Roll swab on slide when removed
What do you stain vaginal cytology with?
sedi stain
Diff Quik (most common)
Classifications of vaginal epithelial cells
Cornified/ keratinized cells: dead/ dying cells
Non-cornified cells : living cells
Cornified cells
superficial cells
anuclear cells
Non- cornified cells
intermediate cells
parabasal cells
basal cells (rare)
Describe as epithelial cells become Cornified (keratinized) cells
size increases
Nucleus changes from oval to faded, broken, pyknotic as the cell dies it then disappears
Cytoplasm changes from dark blue to light blue purple, then dark blue again as the cell dies
2 other variety of parabasal cells
Foam cells
Metestral cells
On cytology on Proestrus what would you see
High RBC
Increased Cornified cells
On cytology on estrus what would you see
Few or no RBCs/wbcs
Nearly 100% Cornified cells
On cytology on Metestrus / diestrus what would you see
High wbc
Metestrum / foam cells
30% Cornified cells
On cytology on Anestrus what would you see
Few wbcs
30% Cornified cells

What dis
anuclear cell

What dis
superficial

What dis?
parabasal cell

whats this
intermediate cells

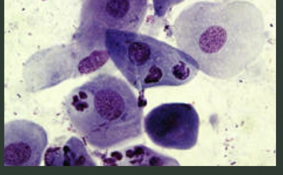
What cell dis
Foam cell

What cell dis
Metestral cells

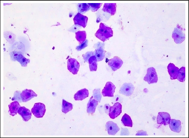
What estrous stage is this
Proestrus

What estrous stage is this
Estrus

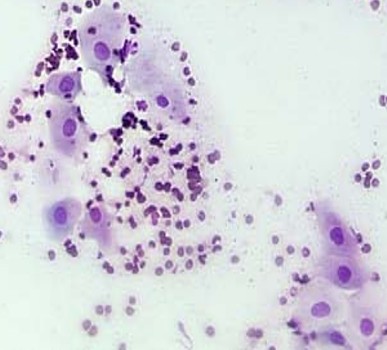
What estrous stage is this
Metestrus/ diestrus

What estrous stage is this
Anestrus
What to look for on 10x for ear cytology
Epithelial cells
Mites/ova
Tumor cells
Fungal hyphae
What to look for on 40 x and 100x for ear cytology
Organisms- rods, cocci, yeast
WBC (= infection / inflammation)
RBC (=hemorrhage with trauma, infection, tumor)

What dis
yeast

What dis
Keratinocyte with melanin granules

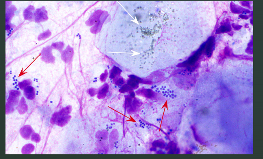
Who’s all at this party
rods
Cocci
Neutrophils

Who’s at this party
Melanin granules
Nuclear streaming
Cocci
Neutrophils