1/308
Looks like no tags are added yet.
Name | Mastery | Learn | Test | Matching | Spaced | Call with Kai |
|---|
No analytics yet
Send a link to your students to track their progress
upright view of the abdomen
What view is this image in?

Left lateral decubitus
What view is this image in?

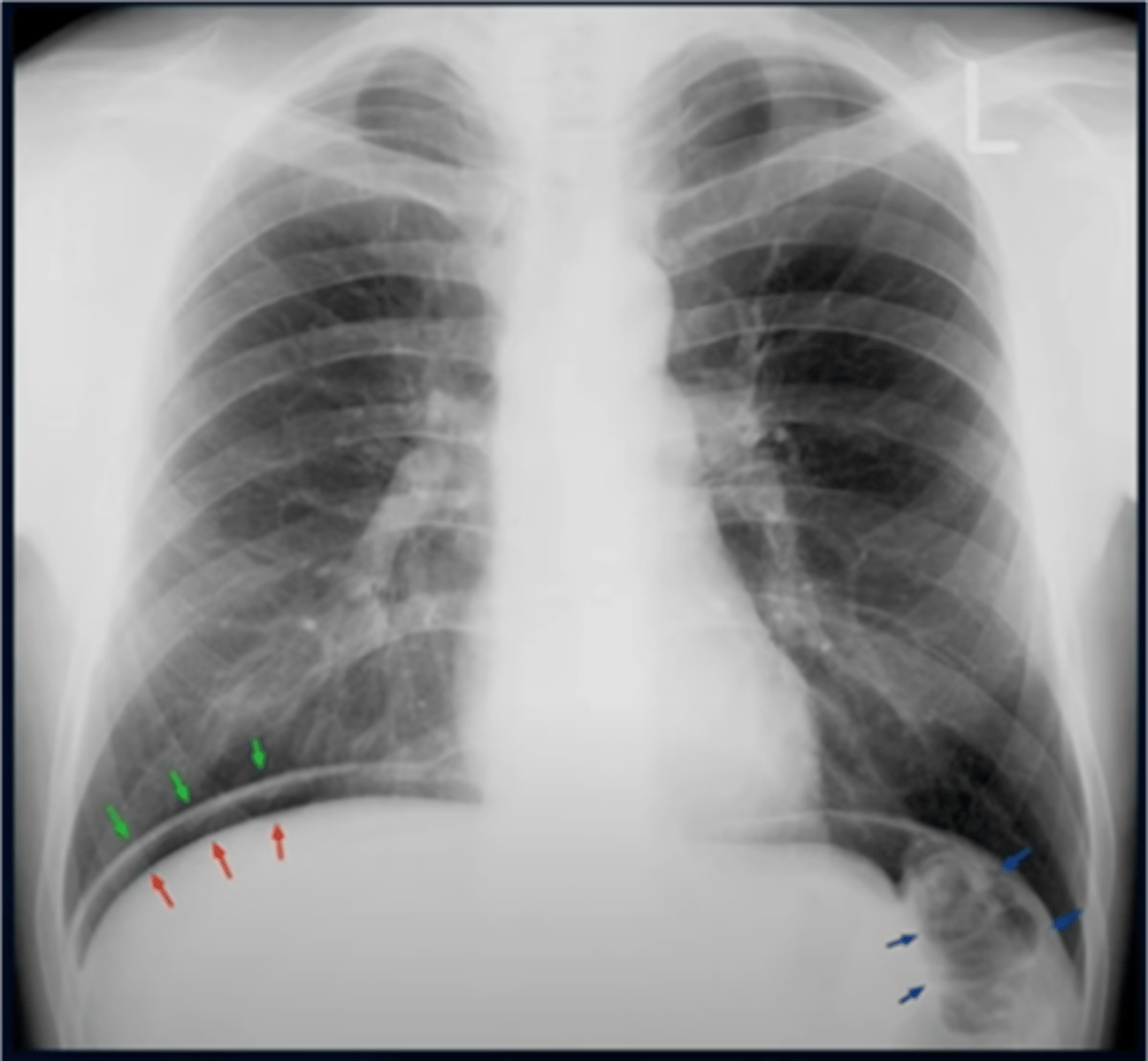
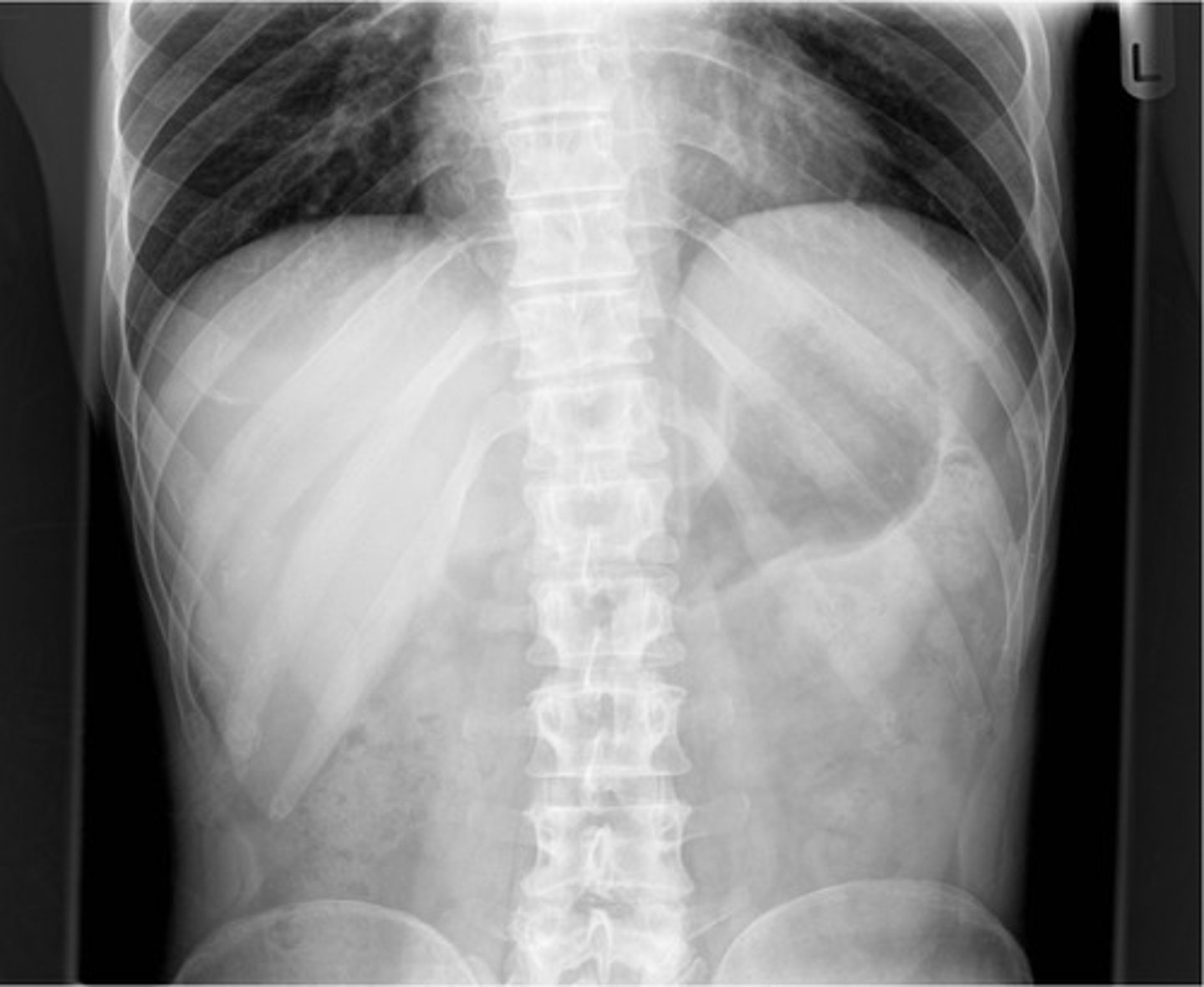
free air (pic 1)

Free air (pic 2)

free air under the diaphragm (indicative of pneumoperitoneum)

Normal bowel gas pattern

Normal supine AXR

Normal prone AXR

Normal AXR (and normal size liver)

Normal AXR (and normal organs)

Normal AXR (and normal structures)

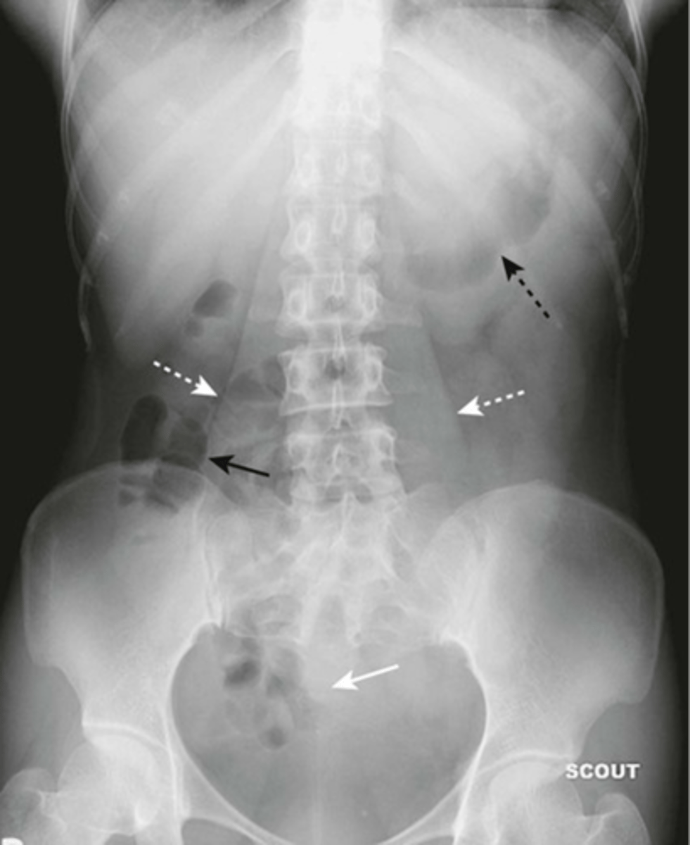
Toxic megacolon (shows location of large and small bowel)

Location of large bowel

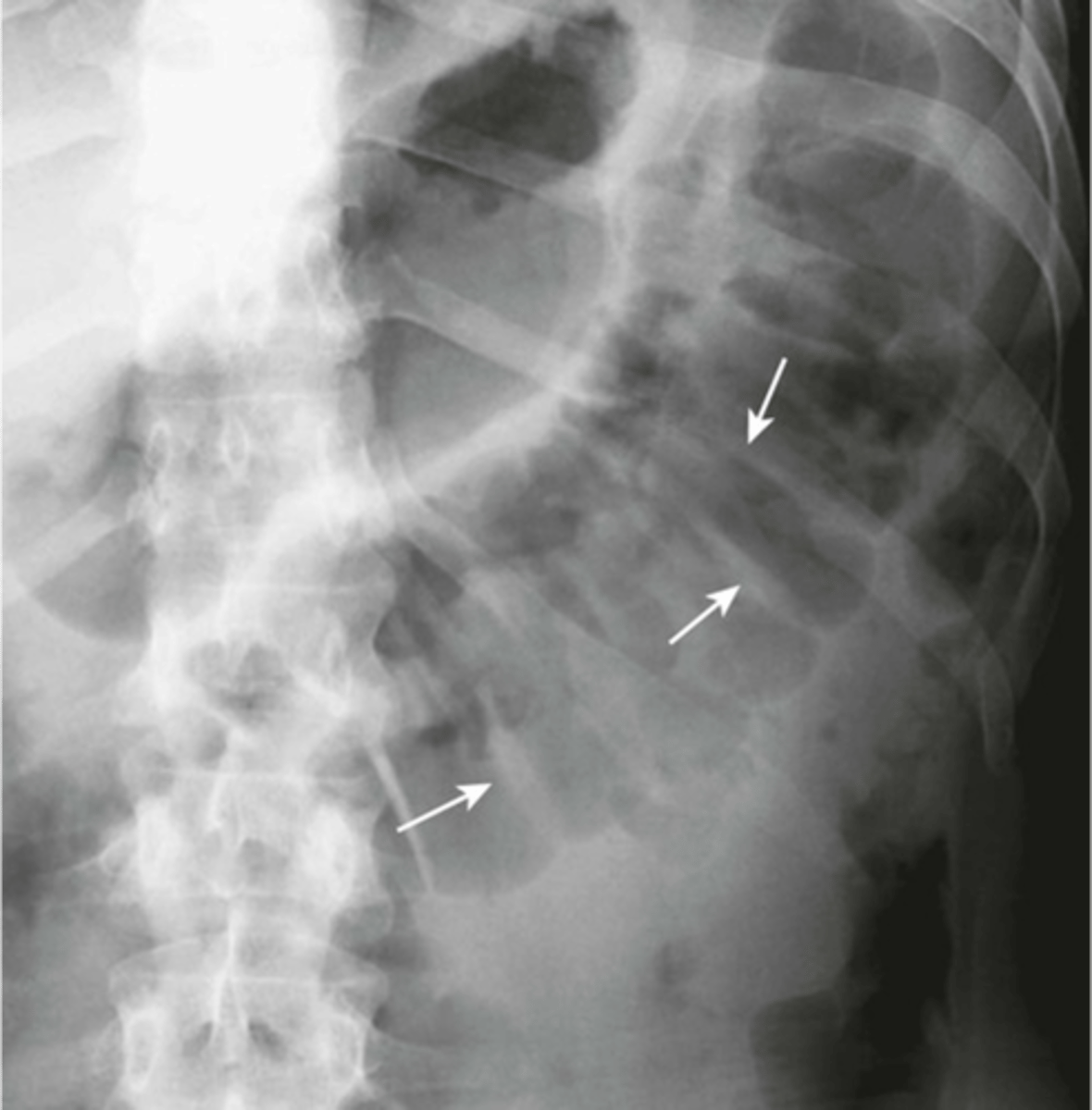
Small bowel enlargement (Valvulae conniventes)

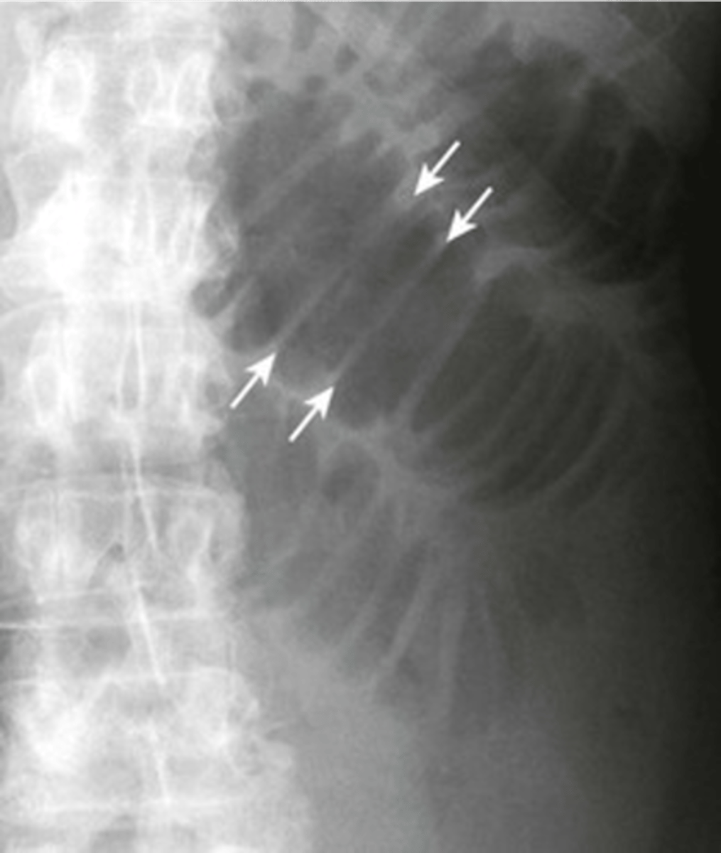
Large bowel Haustra

Large bowel haustra (pic 2)

Small bowel (Valvulae conniventes)

Normal colonic distension (barium enema study)

shows large bowel on barium swallow with fallow through

Stool

Constipation

Abnormal organs on AXR

Hepatomegaly

Hepatomegaly (pic 2)

splenomegaly

Normal kidneys IVP

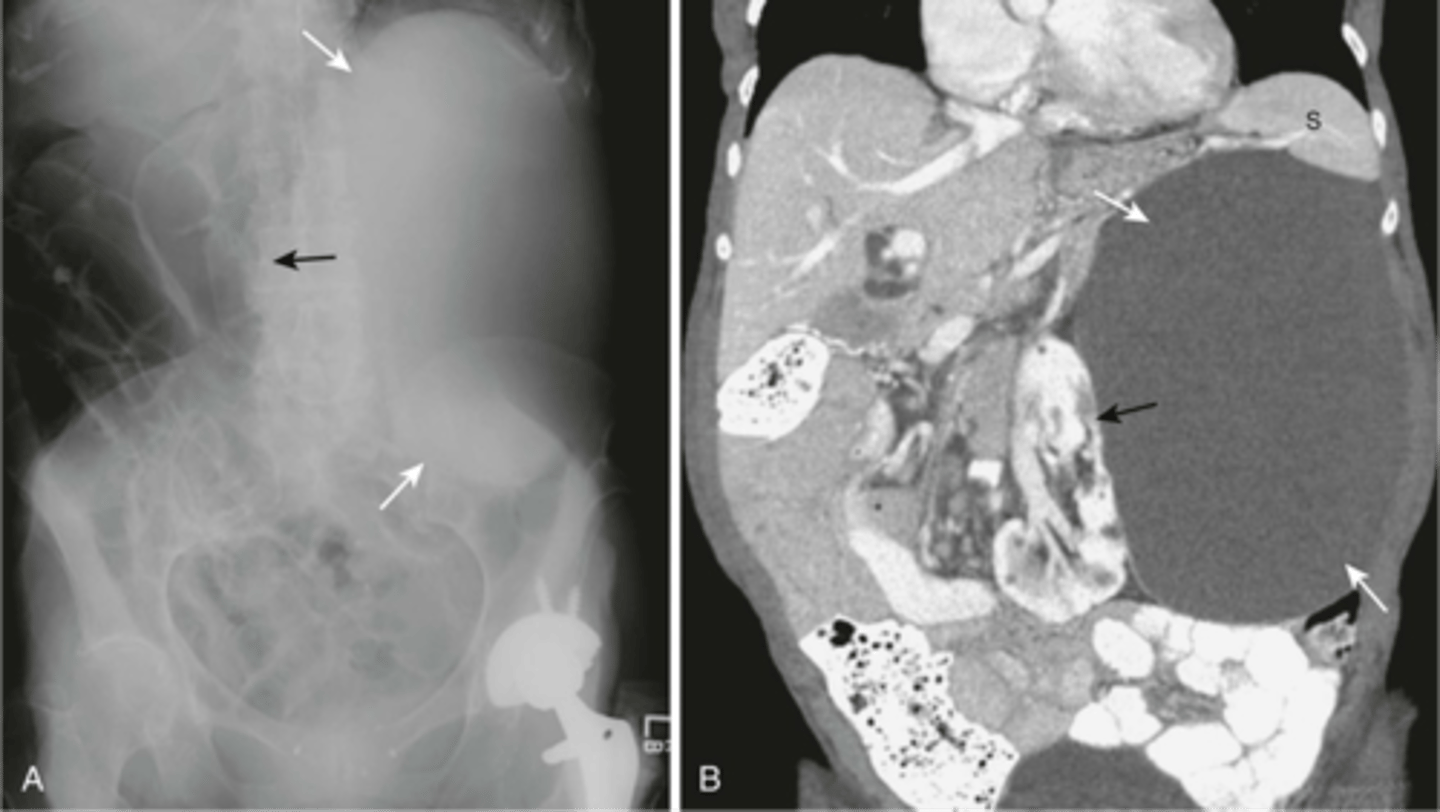
enlarged kidneys

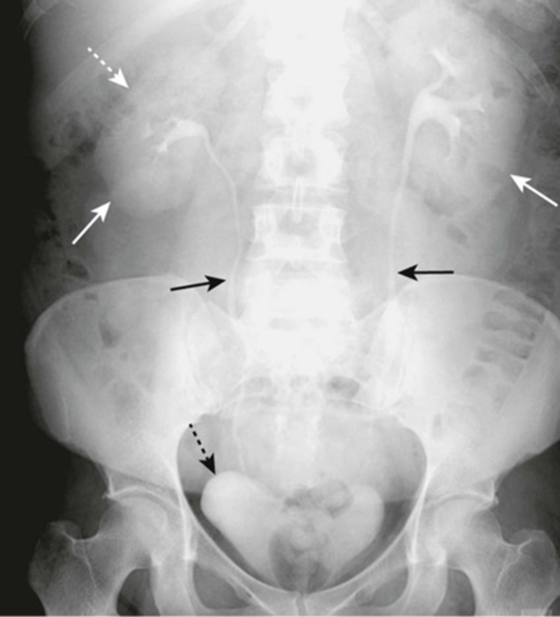
Normal bladder

left: distended bladder
right: enlarged uterus

Bladder stone

Gallstones

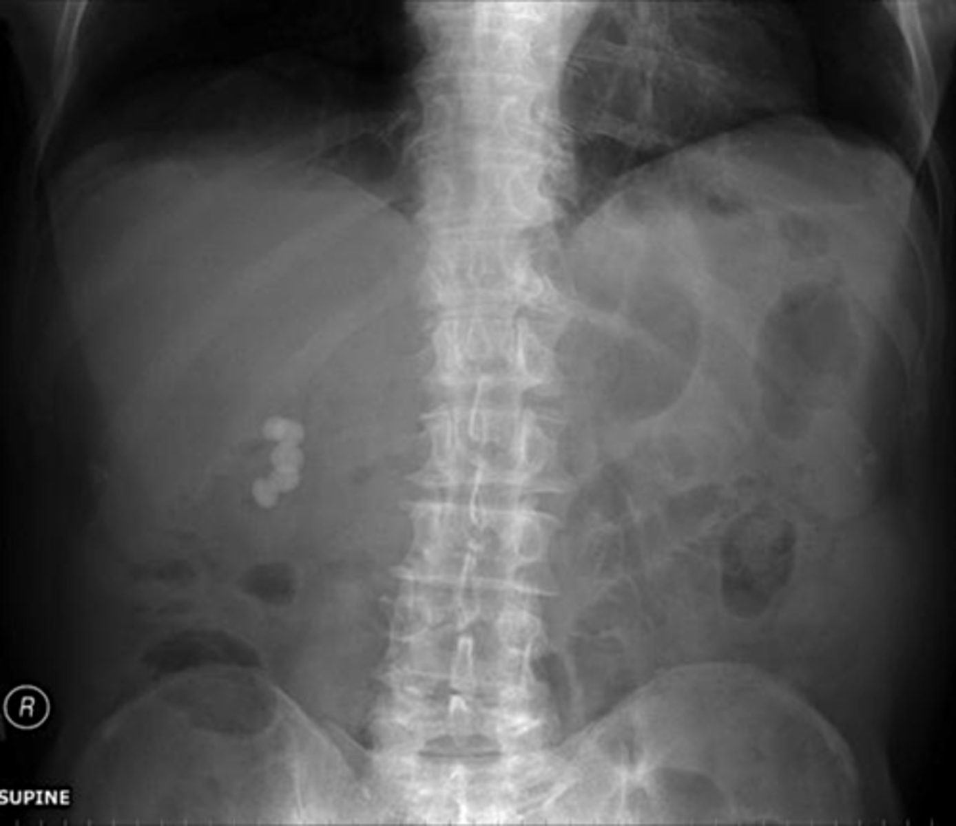
Kidney stones

Kidney stones (pic 2)

kidney stones (pic 3)

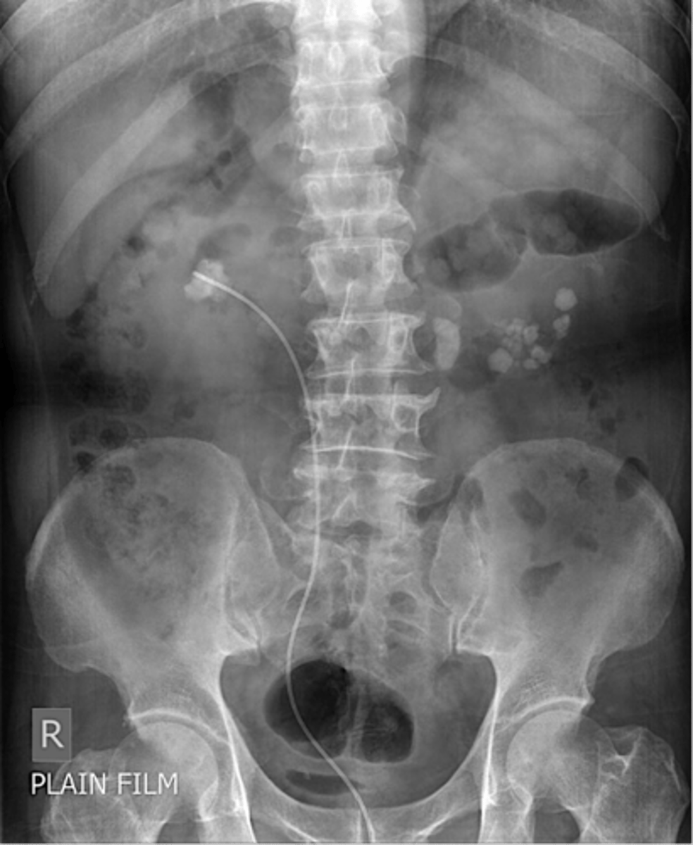
renal calculi

renal calculi (pic 2)

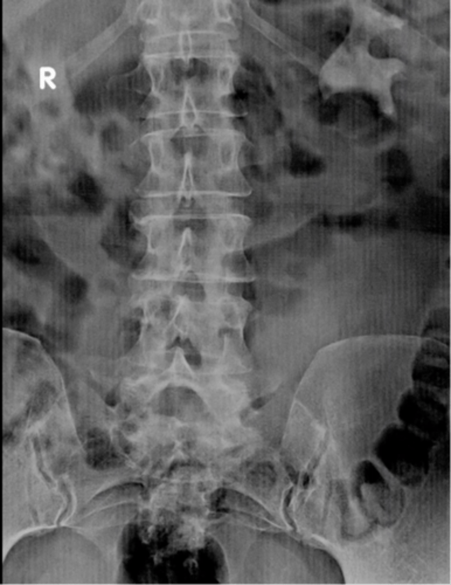
renal calculi (pic 3)

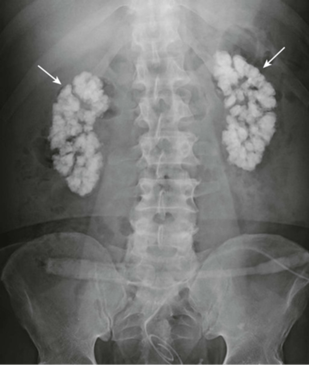
nephrocalcinosis

Gallstones (pic 2)

Gallstones (pic 3)

Gallstones (pic 4)

Fibroid

Phleboliths (venous calcifications)

Uterine fibroid/Leiomyoma

Calcified pancreas in chronic pancreatitis

Gallbladder wall calcification

Injection granulomas

IV contrast timing

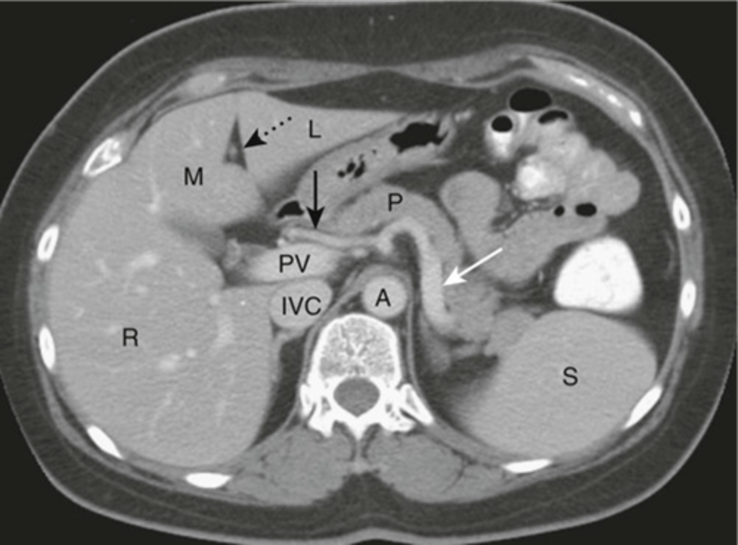
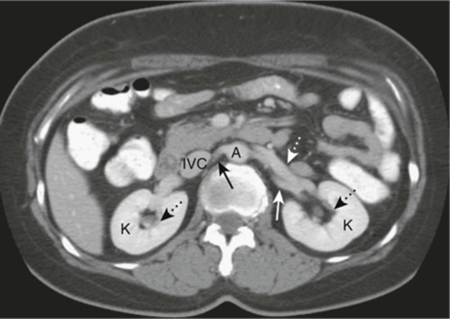
Normal anatomy in axial CT

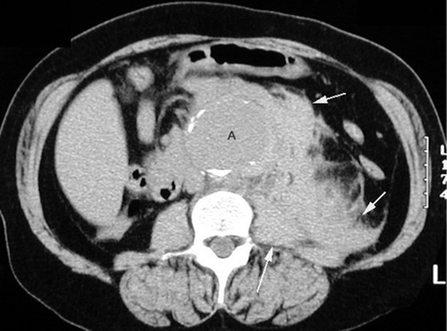
Aortic aneurysm calcification

Abdominal aortic aneurysm calcification

Abdominal aortic aneurysm calcification (pic 2)

Abdominal aortic aneurysm calcification (pic 3)

Abdominal aortic aneurysm on CT

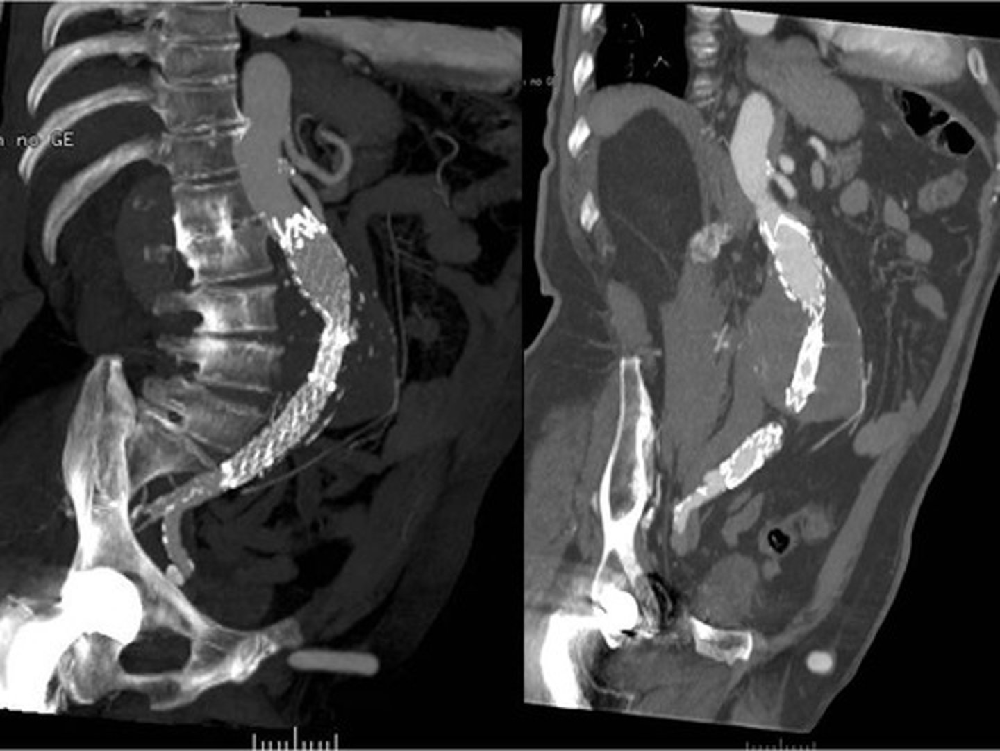
Stent due to AAA

Normal liver

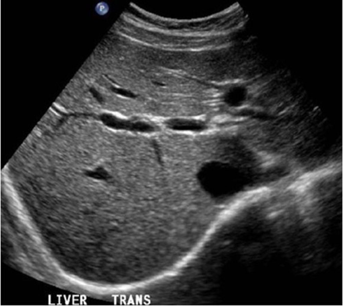
Right lobe of liver and hepatic veins on US

right lobe of liver and kideny on US

Portahepatis and bile duct on US

Normal

fatty liver (hyperechoic=too bright)

Hepatitis (hypoechoic=starry skies)

Inhomogeneous (normally a tumor)

Normal pancreas

Normal pancreas US

Normal pancreas US (pic 2)

Normal pancreas CT

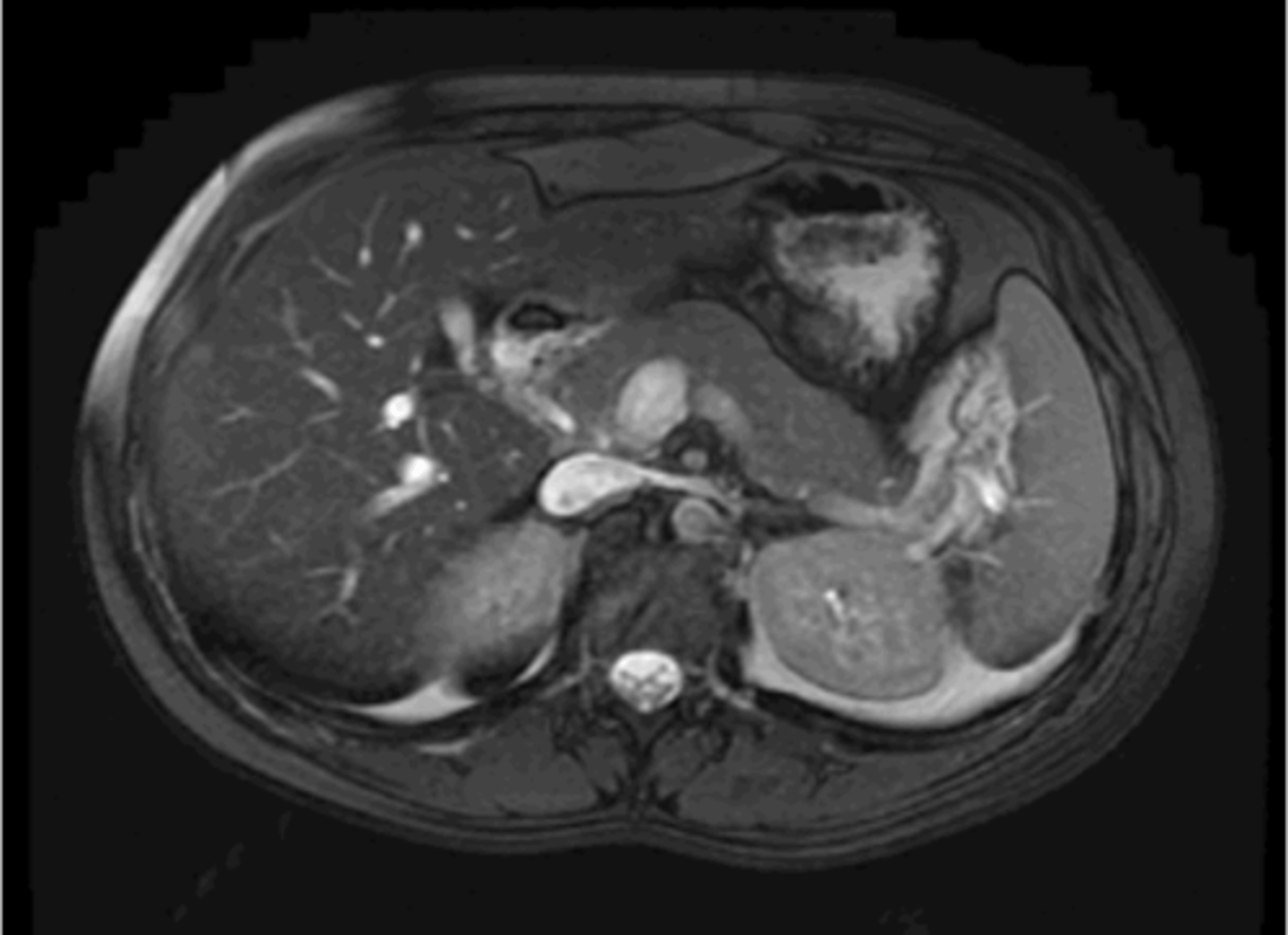
Normal pancreas MRI

Normal CT

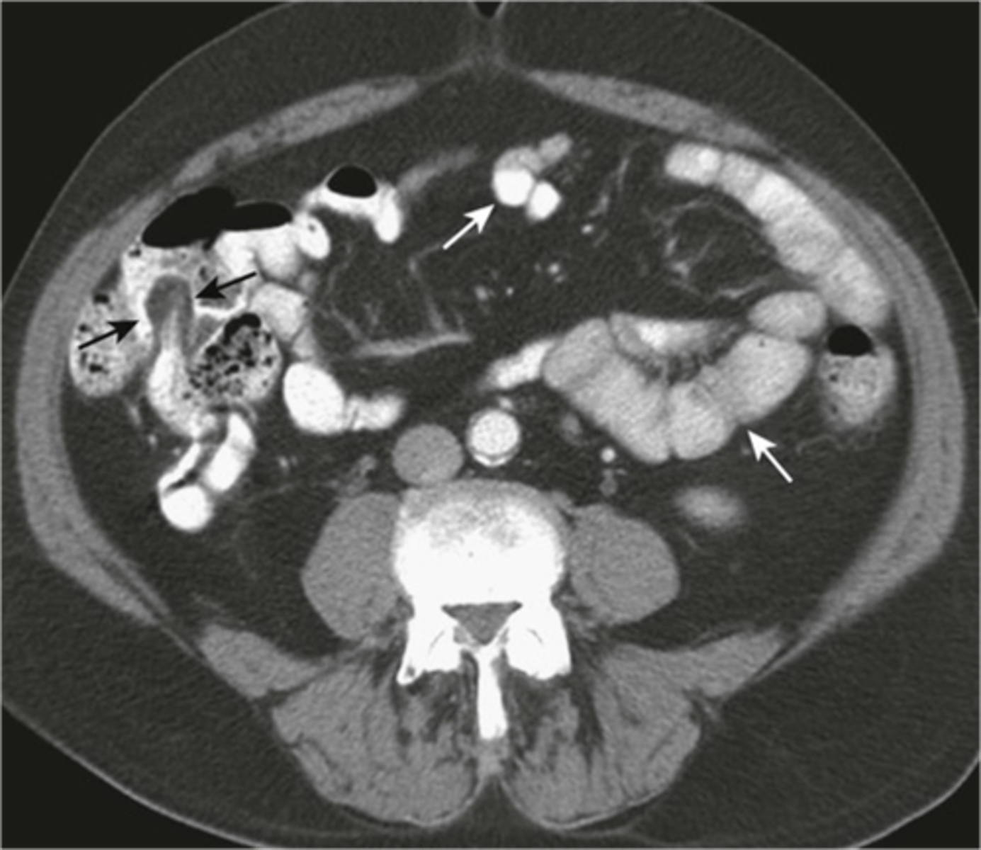
Normal small and large bowel on CT

Normal bladder CT

esophagus on barium swallow

hypertrophied cricopharyngeal muscle

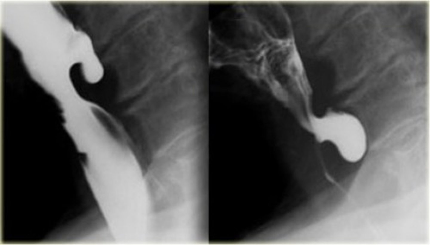
Zenkers diverticulum

Zenkers diverticulum (pic 2)

Zenkers diverticulum (pic 3)

A: zenkers diverticulum
B: traction diverticulum
C: epiphrenic diverticulum

A: annular constriction
B: Polypoid mass
C: rigid wall and ulcer

Esophageal cancer: ulcers and mass

Barretts esophagus

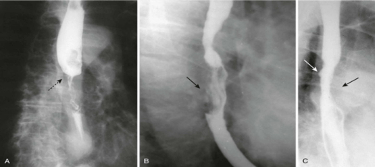
Hiatal hernia with schatzkis ring

Achalasia

Achalasia (pic 5)

Achalasia (pic 2)

Achalasia (pic 3)

Achalasia (pic4 )

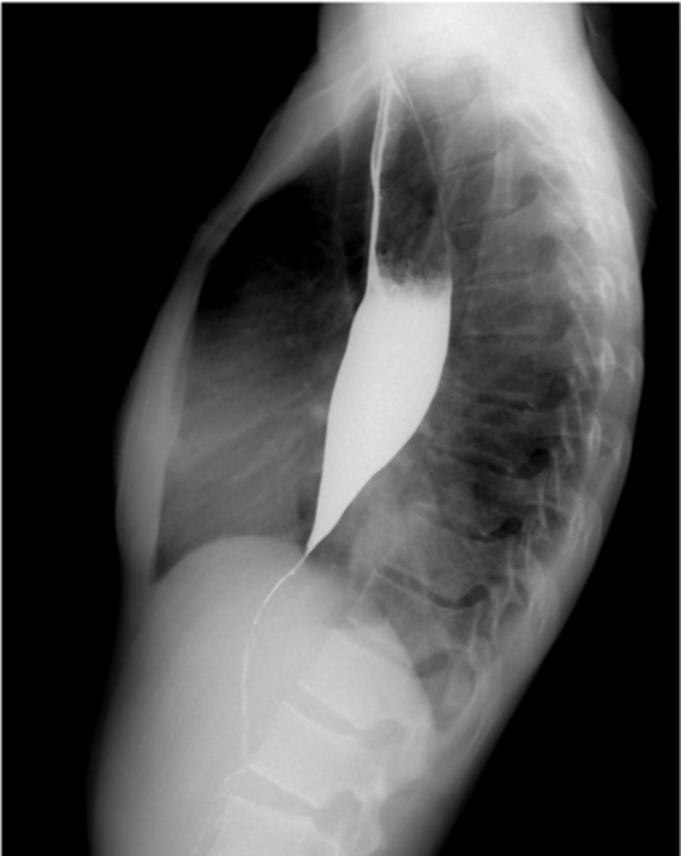
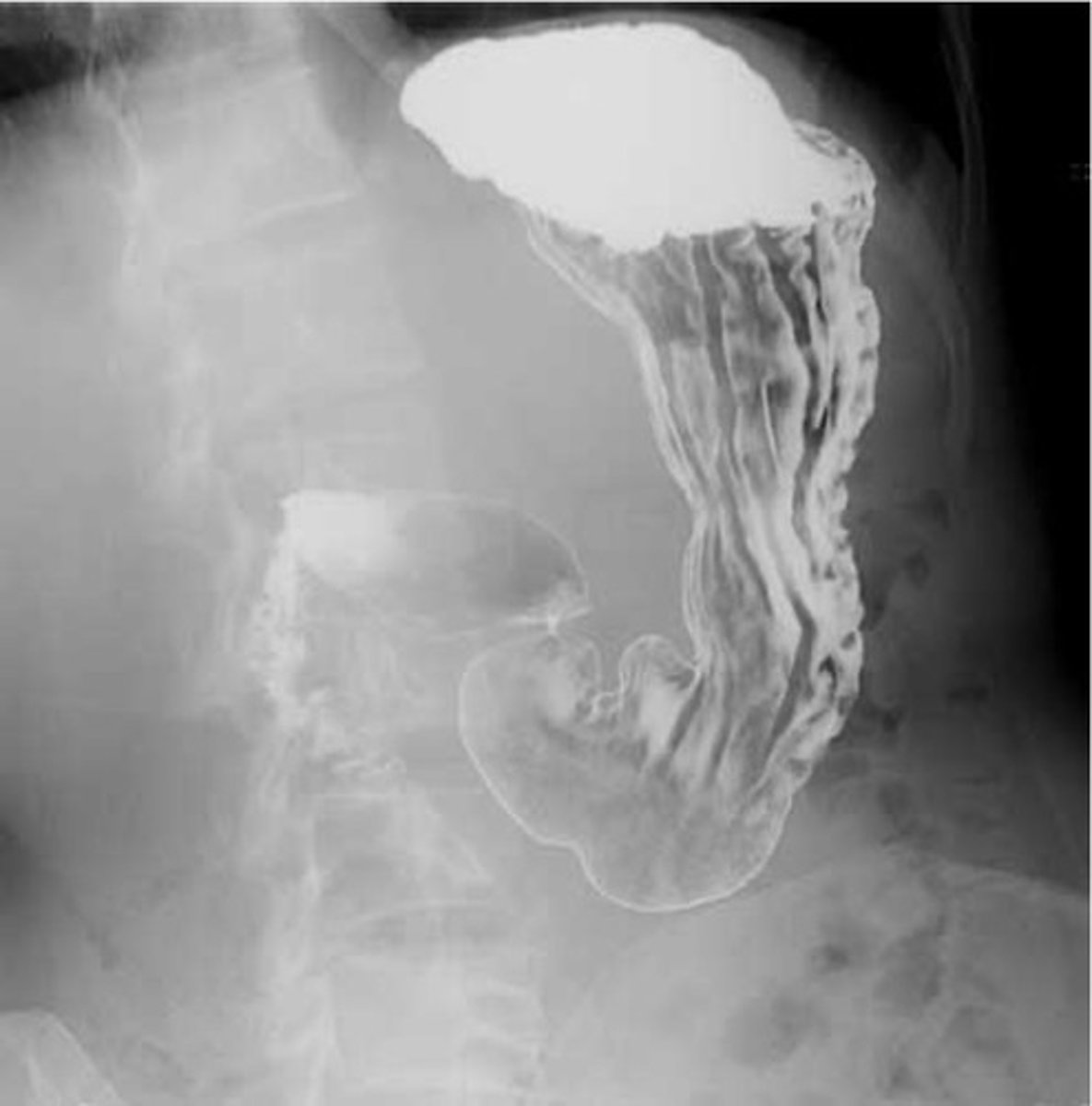
Hiatal hernia

Hiatal hernia CXR

Hiatal hernia CXR (Pic 2)

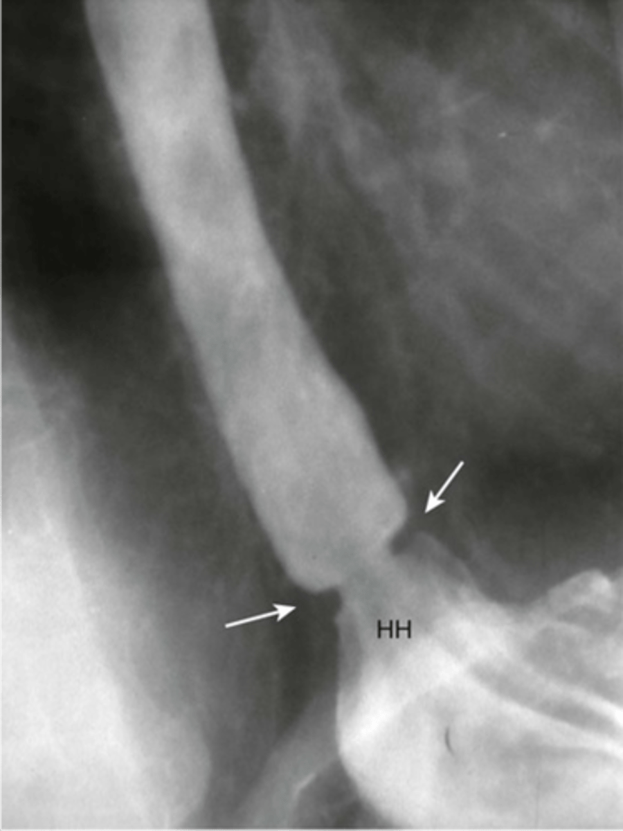
Sliding hiatal hernia

Sliding hiatal hernia (pic 2)

Sliding hiatal hernia (pic 3)

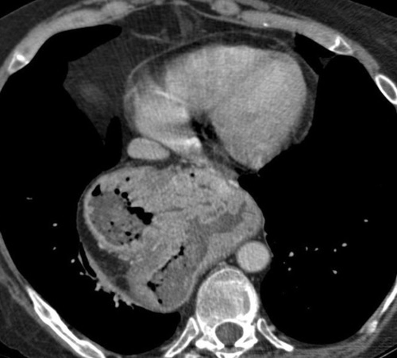
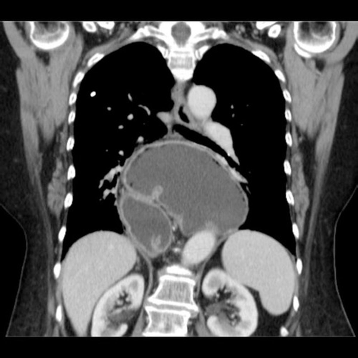
paraesophageal hernia

Paraesophageal hernia (pic 2)

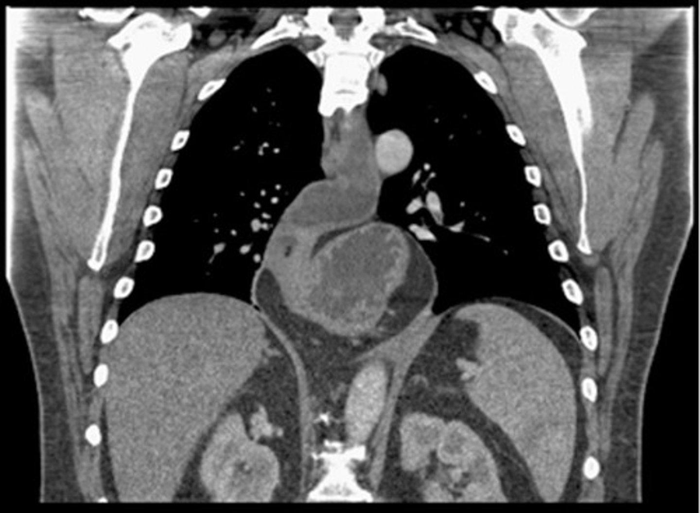
Paraesophageal hernia CT

Paraesophageal hernia CT (pic 2)

Normal barium swallow

Normal barium swallow (pic 2)

ulcer

Ulcer (pic 2)
