1/128
Looks like no tags are added yet.
Name | Mastery | Learn | Test | Matching | Spaced | Call with Kai |
|---|
No study sessions yet.
anatomy
The study of body structure and shape
physiology
study of the functions of the body and how they work together
characteristics of life
1. organization
2. metabolism
3. growth & development
4. responsiveness
5. regulation (homeostasis)
6. reproduction
levels of organization
chemicals, cells, tissues, organs, organ systems, full organism
anatomical position
body erect, feel parallel, arms hanging at sides, palms facing forward

superior
above; toward head
inferior
below; away from head
anterior
front
posterior
back
superficial
closer to surface of body
deep
away from surface of body
proximal
Closer to the point of attachment
distal
away from the point of attachment
integumentary system
skin, hair, nails
skeletal system
gives body shape, allows for movement, makes blood cells, provides protection, and stores minerals
muscular system
pumps blood and supports movement (contraction/relaxation)
nervous system
transmits signals between brain and rest of body
- CNS & PNS
sagittal plane
divides body into left and right

frontal (coronal) plane
divides body into front and back

transverse plane
divides the body into upper and lower portions

axillary
armpit
acromial
tip of shoulder
brachial
arm
carpal
wrist
cervical
neck
digital
toes/fingers
femoral
thigh
frontal
forehead
orbital
eye
patellar
knee cap
tarsal
ankle
thoracic
chest
dorsal
back
plantar
sole of foot
deltoid
shoulder
gluteal
butt
lumbar
lower back
occipital
eye area
homeostasis
the ability to maintain a constant internal environment in response to environmental changes
receptor (sensor)
detects problem
sensory pathway
brings info to control center
control (integration) center
processes the signal and sends instructions
motor pathway
signals from brain to muscles/glands
effector
response; returns to equilibrium
negative feedback
resulting acting OPPOSITE direction of stimulus
- ex: blood pressure; carotid bodies (receptors) detect HBP
positive feedback
SAME direction of stimulus until climatic event takes place
- ex: cervix stretches during child birth
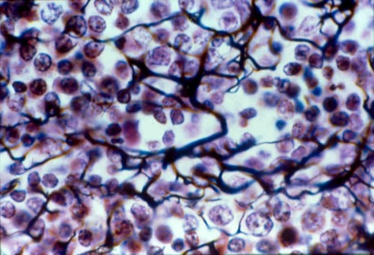
histology
study of tissues and how they form organs
tissue
group of similar cells that perform a common function
organ
composed of 2 or more tissues
- almost always connective and epithelial
tissue types
epithelial, connective, muscle, nervous
functions of tissues
cover, support, move and control
cellularity
one or more layers of closely adhering cells
polarity
forms flat sheet with upper surface exposed to environment or internal body cavity
- one side of tissue is exposed to open free space
avascular
lack blood vessels & depend on underlying connection tissue for oxygen and blood
basement membrane
thin layer of collagen and adhesive proteins
- anchors epithelium to underlying connective tissue
extensive innervation
supplied with many nerves to detect changes in environment
high regeneration capacity
continual replacement of lost cells
cell junctions
connections between cells that hold the cells together as a unit
tight junctions
interlocking proteins that encircle cell, joining to surrounding cells (barrier)
desmosomes
like velcro between 2 cells holding them together against mechanical stress
- CONNECTS CELLS
gap junctions
transmembrane proteins form a water filled channel
- cell communication
epithelial functions
1. Physical protection
2. Selective permeability
3. Secretions
4. Sensations
epithelial layers
1. Simple - single layer
2. Stratified - many layers
3. Pseudo stratified 1 looks 2+ but is 1
Epithelial shapes
squamous (flat), cuboidal (cubes), columnar (columns)
Gland
One or more cells that make and secret chemical substances
Exocrine glands
secrete chemical substances into ducts that lead either to other organs or out of the body
- more numerous than endocrine
- mucus, sweat, oil and salivary glands
Multicellular exocrine glands
Classified according to duct
- simple vs compound
Acini
Clusters that produce secretion
Merocrine
products are secreted by exocytosis
- tears, saliva, eccrine glands
Apocrine
Products are secreted with cell parts
- mammary & ceremonious glands
Holocrine
Products are secreted by rupture of whole cells
- sebaceous glands
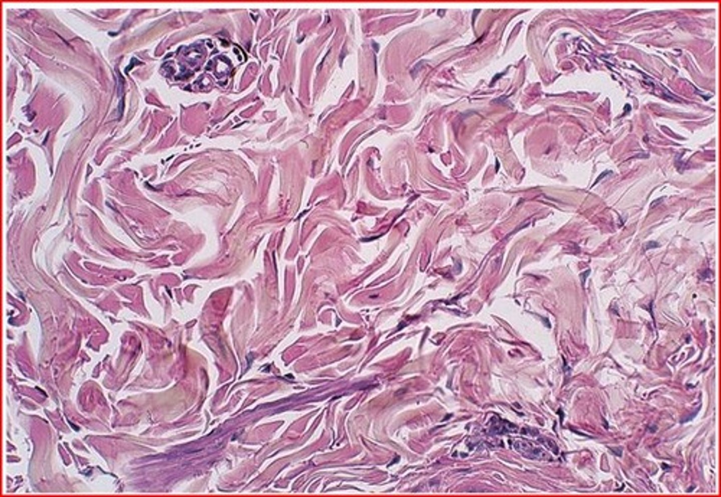
Connective tissue
Consists of widely spaces cells superstes by fibers & ground substance (ECM)
a. Connective tissue propped (loose/dense)
b. Cartilage (supportive)
c. Bone (support)
d. Blood (fluid)
Connective tissue functions
binding and support, protection, insulation, transportation
Connective tissue characteristics
variations in blood supply, extracellular matrix
Ground substance
unstructured material that fills the space between the cells and contains the fibers
Collagen
Tough, sensible strength, most abundant
Elastic
Thin, stretches
Reticular
Similar to collagen ~ branched network
Resident cells
permanently contained within the connective tissue
Wandering cells
Move through CT ~ mostly WBC
Fibroblast
Produce ECM or CT proper

Adipocytes
Fat cells found in adipose CT

Mesanchymal Cells
Stem cells; can regenerate tissue
Fixed macrophages
WBC; phagocyte (engulfs pathogens)
Types of wandering cells
mast cells, plasma cells, free macrophages, other leukocytes
Mesenchyme
embryonic connective tissue
3 loose connective tissue
areolar, adipose, reticular

Cartilage (chondrocytes)
Hyaline, elastic, fibrocartilage

Bones (osteocytes)
Spongy & compact
Blood
Hepatocytes
Adipose connective tissue
Very sparse matrix with closely packed adipocytes
- provides/reserves food, fuels, & insulated against heat loss
- found under skin, kidneys and eyeballs

areolar connective tissue
Gel like matrix that wraps and cushions organs, holds and conveys tissue fluid

reticular connective tissue
forms supporting tissue in walls of liver and spleen

dense regular connective tissue
Parallel collagen fibers with a few elastic fibers
- Major cell type is fibroblasts
- Attaches muscles to bone or to other muscles, and bone to bone
- Found in tendons, ligaments, and aponeuroses

dense irregular connective tissue
irregularly arranged collagen fibers
- can withstand tension in many directions
- found on dermis of skin and fibroid capsules of organs and joints

Hyaline cartilage
amorphous but firm matrix
- collagen fibers form networks
- supports and reinforces
- covers endings of long bones
Elastic cartilage
Similar to hyaline - maintains shape with flexibility
Fibrocartilage
Matrix is similar but less firm than hyaline
- tensile strength with ability to absorb shock
bone
hard, dense connective tissue that forms the structural elements of the skeleton
blood
WBC, RBC in fluid matrix (plasma)
- transports respiratory gasses, nutrients & wastes