1/129
Looks like no tags are added yet.
Name | Mastery | Learn | Test | Matching | Spaced | Call with Kai |
|---|
No analytics yet
Send a link to your students to track their progress
De combien de couches la peau est-elle composée ?
→ De trois couches :
L’épiderme
Couche basale
Couche spinocellulaire
Couche granuleuse
Couche cornée
Le derme
Derme papillaire
Derme réticulaire
Derme profond
L’hypoderme : rôle de protection et de réserve énergétique, maintien de l’intégrité de l’organisme
Quel est le rôle de la couche basale de l’épiderme ?
→ Assurer le renouvellement des kératinocytes.
Quelles cellules sont présentes dans la couche basale ?
→ Les kératinocytes, les mélanocytes, les cellules de Merkel et les cellules de Langerhans.
Quel est le rôle des mélanocytes ?
→ Fabriquer la mélanine sous formes de granules qu’ils transfèrent aux kératinocytes responsable de la pigmentation de la peau et de la protection contre les UV.
→ Ils ont un cytoplasme clair, un noyau foncé et une structure ramifiée.
De quoi est constituée la couche spinocellulaire ?
→ De 4 à 5 couches de kératinocytes liés entre eux.
Quel est le rôle de la couche spinocellulaire ?
→ Participer à l’imperméabilité de la peau.
Que se passe-t-il lors de la migration des kératinocytes vers la surface ?
→ Ils se chargent en kératine, essentielle à la fonction de barrière cutanée.
De quoi est constituée la couche granuleuse ?
→ De 1 à 5 couches de kératinocytes chargés en kératine.
Que représente la couche cornée ?
→ La phase ultime de maturation des kératinocytes.
Comment appelle-t-on les cellules de la couche cornée ?
→ Les cornéocytes.
Quelle est la particularité fonctionnelle de la couche cornée ?
→ Elle forme un film quasi continu.
Que deviennent les cellules les plus superficielles de la couche cornée ?
→ Elles se détachent lors des frottements.
De quoi est composé le derme papillaire ?
→ De collagène et de fibres élastiques.
Que contient le derme réticulaire ?
→ Des glandes sébacées, des glandes sudoripares et la racine des poils ou cheveux.
Quel est le rôle du derme profond ?
→ Assurer la transition avec l’hypoderme.
De quoi est constitué l’hypoderme ?
→ D’un tissu riche en graisses et en vaisseaux sanguins.
Quel est le rôle de l’hypoderme ?
→ Amortir les pressions et protéger contre les variations de température.
Où se situe la peau la plus mince du corps ?
→ Au niveau des paupières.
Où se situe la peau la plus épaisse ?
→ Au niveau des pieds.
Quelle couche de l’épiderme varie surtout en épaisseur ?
→ La couche cornée.
Quelles cellules sont particulièrement importantes dans l’épiderme ?
→ Les kératinocytes et les mélanocytes.
Que se passe-t-il dans la dermatite atopique au niveau de la couche cornée ?
→ Une altération de la composition des cornéocytes.
Quelle est la conséquence de cette altération ?
→ Une perturbation de la structure et de la perméabilité de la couche cornée, responsable de la réaction inflammatoire et de l’allergie.
Quels sont les symptômes d’une dermatite atopique ?
Les patients se grattent beaucoup.
Quelle recommandation est faite aux patients atteints de dermatite atopique ?
→ Bien hydrater la peau pour limiter l’inflammation et le prurit.
Quelles tumeurs cutanées seront étudiées dans ce cours ?
→ Les carcinomes basocellulaires, le merkelome et le mélanome.
Quel est le cancer épidermoïde le plus fréquent ?
Le carcinome basocellulaire.
Dans quels pays le carcinome basocellulaire est-il le plus fréquent ?
Dans les pays ensoleillées à population à peau blanche comme l’Australie ou les USA
Chez les personnes rousses
Quels facteurs peuvent causer un carcinome basocellulaire ?
Radiations ultraviolettes
Radiations ionisantes
Agents chimiques : hydrocarbures aromatiques polycycliques, chlorophénols et arsenic
Syndromes génétiques
Albinisme
Syndrome de Gorlin : engendre l’apparition de multiples carcinomes basocellulaires
Xenoderma pigmentosum
Quel est le mécanisme du xeroderma pigmentosum ?
→ Un défaut de réparation de l’ADN après lésions induites par les UV.
Quelle est la conséquence clinique du xeroderma pigmentosum ?
→ Une hypersensibilité aux UV.
Quel facteur favorise l’apparition du xeroderma pigmentosum ?
→ Les mariages consanguins.
Le carcinome basocellulaire donne-t-il des métastases ?
Non
Pourquoi est-il néanmoins considéré comme malin ?
→ En raison de son caractère agressif local.
À quoi peuvent ressembler les lésions de carcinome basocellulaire ?
→ À de l’eczéma ou à des perforations cutanées.
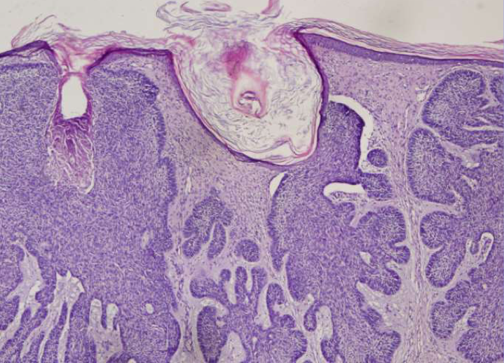
Pourquoi parle-t-on de carcinome basocellulaire ?
→ Parce que les cellules cancérisées sont les kératinocytes de la couche basale de l’épiderme.
De quoi sont constitués les bourgeons observés dans le carcinome basocellulaire ?
→ De cellules basales cancéreuses.
→ Elles sont confinées dans l’épiderme et ne dépassent pas la membrane basale.
Quelle est la caractéristique de la forme superficielle du carcinome basocellulaire ?
→ Elle est facile à traiter.

Que montre l’image où la tumeur envahit le derme ?
→ Une extension tumorale profonde dans le derme.
Quelle est la disposition histologique typique des cellules dans le carcinome basocellulaire ?
→ Une disposition en palissade : caractéristiques des carcinomes basocellulaires
Quelles sont les zones à faible risque ?
→ Le tronc et les extrémités.
Quelles sont les zones à risque intermédiaire ?
→ Le front, les joues, le menton, le cuir chevelu et le cou.
Quelles sont les zones à haut risque ?
→ Le nez et les zones péri-orificielles.
À partir de quelle taille le risque augmente-t-il en zone à haut risque ?
→ Supérieure à 1 cm.
À partir de quelle taille le risque augmente-t-il en zone à faible ou intermédiaire risque ?
→ Supérieure à 2 cm.
Quelles situations augmentent encore le risque pronostique ?
→ Les formes récurrentes ou sclérodermiformes.
Remarque : le terme sclérodermiforme désigne une forme histologique particulière du carcinome basocellulaire.
Quelles formes histologiques sont plus difficiles à traiter ?
→ Les formes infiltrantes, sclérodermiformes et métatypiques.
Quel traitement simple peut être utilisé pour une tumeur superficielle ?
→ Le curetage.
Quels traitements médicaux peuvent être utilisés ?
→ 5-fluoro-uracile, interféron α, vismodegib et Imiquimod 5 %.
Quelle est l’efficacité du traitement médical par Imiquimod ?
→ Très efficace, avec disparition progressive de la tumeur.
Quels phénomènes accompagnent ce traitement ?
→ Apparition de nouveaux vaisseaux sanguins (néovascularisation), cicatrice et infiltration inflammatoire.
Qu’est-ce que la photothérapie dynamique ?
→ Un traitement basé sur l’activation d’une substance photosensibilisante par la lumière (rayonnement poly- ou monochromatique) pour détruire le tissu pathologique.
Quel type de rayonnement est le plus souvent utilisé ?
→ Les UV.
→ permet de mieux visualiser la limite de la lésion.
Quelle étape est essentielle avant l’irradiation ?
→ Bien nettoyer la lésion avant d’appliquer le produit photosensibilisant.
Pourquoi faut-il parfois administrer un analgésique ?
→ Parce que l’irradiation peut être douloureuse.
Quel est l’avantage esthétique de cette technique ?
→ Elle évite une perte d’esthétisme liée à la chirurgie.
Que signifie la coloration blanche observée sous UV ?
→ Les photosensibilisants ont été captés par les cellules néoplasiques.
Quels traitements sont utilisés pour les tumeurs profondes ?
→ Cryochirurgie, chirurgie conventionnelle et radiothérapie.
Quelle marge chirurgicale est recommandée pour une tumeur de bon pronostic ?
→ 3 à 4 mm.
Quelle marge chirurgicale est recommandée pour une tumeur de mauvais pronostic ?
→ 5 à 10 mm.
Peut-on observer plusieurs carcinomes basocellulaires côte à côte ?
→ Oui.
Pourquoi cet environnement n’est-il pas propice aux métastases ?
→ Le carcinome basocellulaire ne favorise pas le développement métastatique.
Où se situent les cellules de Merkel ?
→ Dans la couche basale de l’épiderme.
Quelle est la nature fonctionnelle des cellules de Merkel ?
→ Ce sont des cellules neuroendocrines avec des mécanorécepteurs et des nocirécepteurs.
Quel est leur rôle physiologique ?
→ La perception des pressions cutanées.
→ Les cellules de Merkel vont transduire le signal au cerveau.
Quelles substances neurosécrétoires produisent-elles ?
Neuron-Specific Enolase
Chromogranine
Synaptophysine.
À quelle cytokératine sont-elles positives ?
→ La kératine 20.
Qu’est-ce que le merkelome ?
→ Un cancer développé à partir des cellules de Merkel.
Pourquoi le merkelome est-il difficile à diagnostiquer ?
→ Il n’y a pas d’anomalie évidente de l’épiderme en surface.
Que montre l’histologie en profondeur ?
→ Lésions nodulaires, érythémateuses et d’aspect atypique.
→ Prolifération de cellules rondes néoplasiques “cellules bleues” avec de nombreuses mitoses.
Quel marqueur confirme le diagnostic ?
→ La NSE positive.
Quel examen est demandé pour évaluer l’extension du merkelome ?
→ L’analyse des ganglions sentinelles.
Quel est le taux de récidive du merkelome ?
→ Environ 40 %.
Quel est le taux de métastases ganglionnaires ?
→ 50 à 60 %.
Quelle est la survie à 5 ans du merkelome ?
→ Entre 30 et 64 %, selon la taille et l’agressivité.
Que correspond au stade 1 du merkelome ?
→ Une tumeur localisée.
Que correspond au stade 2 ?
→ Des métastases ganglionnaires.
Que correspond au stade 3 ?
→ Des métastases à distance.
À partir de quelles cellules se développe le mélanome ?
→ À partir des mélanocytes.
Quel est le rôle physiologique des mélanocytes ?.
→ Sécréter la mélanine, qui protège contre les UV.
Où se situent les mélanocytes dans la peau ?
→ Dans la couche basale de l’épiderme, entre les kératinocytes et les cellules de Merkel.
Quel est le rapport mélanocytes/kératinocytes ?
→ Environ 1 mélanocyte pour 4 à 10 kératinocytes selon la localisation.
→ Densité : 500-2000/mm3
Quelle est la particularité morphologique des mélanocytes ?
→ Ils sont ramifiés.
À quoi sert cette ramification ?
→ À favoriser le transfert de mélanine vers les kératinocytes superficiels situés dans les couches supérieures.
Quelles zones du corps contiennent le plus de mélanocytes ?
→ Les régions mammaires et génitales.
Les zones les plus exposées au soleil contiennent-elles le plus de mélanocytes ?
→ Non.
Quelle différence existe entre les peaux noire et blanche ?
→ Les individus à peau noire produisent plus de mélanine.
Quelle différence existe entre les hommes et les femmes ?
Les femmes possèdent plus de mélanocytes que les hommes, ce qui augmente le risque de développer un mélanome.
La mélanine produite est-elle identique entre peaux noire et blanche ?
→ Non.
Le mélanome est-il fréquent ?
→ Oui.
Quelle est la vitesse de croissance du mélanome ?
→ Rapide.
À quoi servent les critères ABCDE ?
→ À distinguer une lésion bénigne d’une lésion maligne.
Que signifie le critère A ?
→ Asymétrie : plus la lésion est asymétrique, plus elle est maligne.
Que signifie le critère B ?
→ Bord : plus les bords sont irréguliers, plus la tumeur est maligne.
Que signifie le critère C ?
→ Croissance : plus la croissance est rapide, plus la tumeur est maligne.
Que signifie le critère D ?
→ Diamètre : plus il est grand, plus la tumeur est maligne (> 0,6 cm).
Que signifie le critère E ?
→ Évolution rapide et dissémination lorsque la tumeur est maligne.
Quel outil est utilisé pour examiner cliniquement un mélanome ?
→ Le dermatoscope.
Quel est l’avantage du dermatoscope ?
→ Il grossit l’image environ 10 fois par rapport à l’œil nu.
Quels sont les facteurs de risque du mélanome ?
→ Les antécédents familiaux.
→ Le phototype de la peau (Type I = peau très claire & type II = peau claire → à risque
→ Le nombre de naevus
→ La présence de naevus atypique/dysplasique
→ L’exposition au soleil
Cumulatif (tout au long de la vie)
Brutal et intense pendant l’enfance
→ Exposition aux UV artificielles (Solarium)