1/54
Looks like no tags are added yet.
Name | Mastery | Learn | Test | Matching | Spaced | Call with Kai |
|---|
No analytics yet
Send a link to your students to track their progress

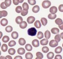
what iam
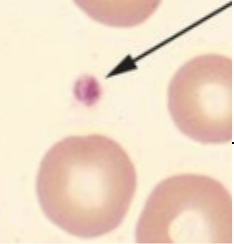
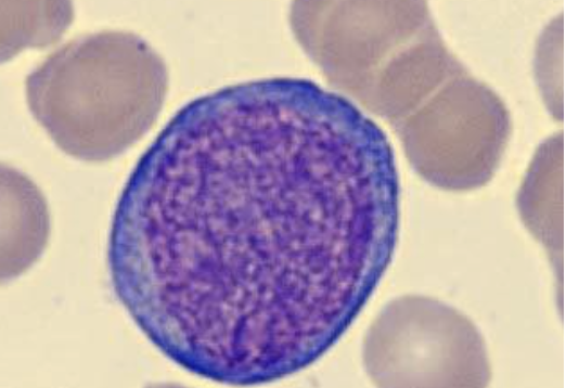
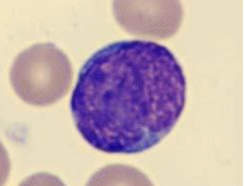
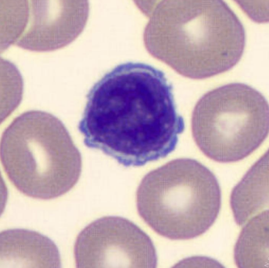
Small lymphocyte

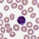
what iam
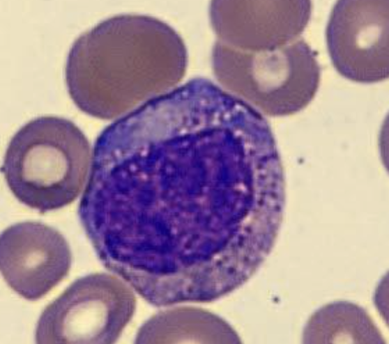
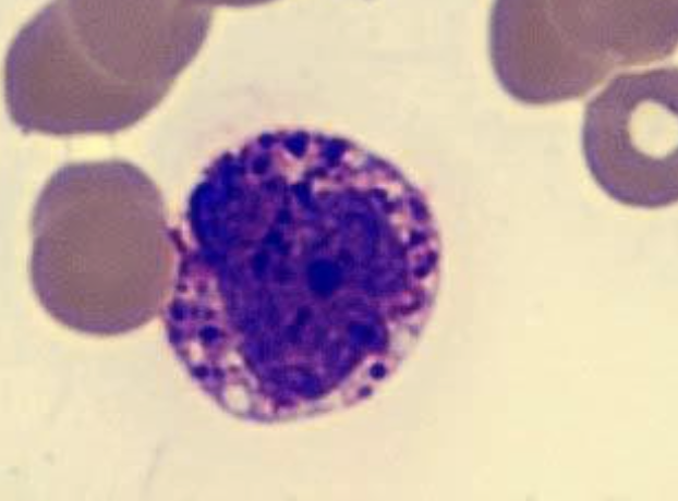
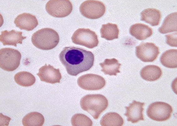
large lymphocyte.

what iam
neutrophils: cytoplasm soft pink, nucleus: deep purple, thin chromatin thread.

metamyelocyte:

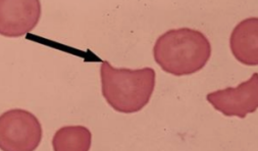
burr cells


Acanthocytes (Spur cells / Thorn cells)

dacrocytes or teardrop cells


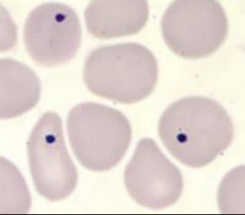
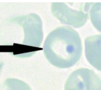
howell-jolly bodies (RBC inclusions)

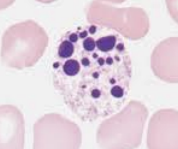
Heinz bodies, inclusions comes from denatured (HgB inside the rbc).


Basophilic stippling: RBC with RNA rampant.

pappenheimer bodies: contains iron depositss

Hemoglobin C crystals : abnormal HgB C inside T, seen in hCCC

hemoglobin SC crystals

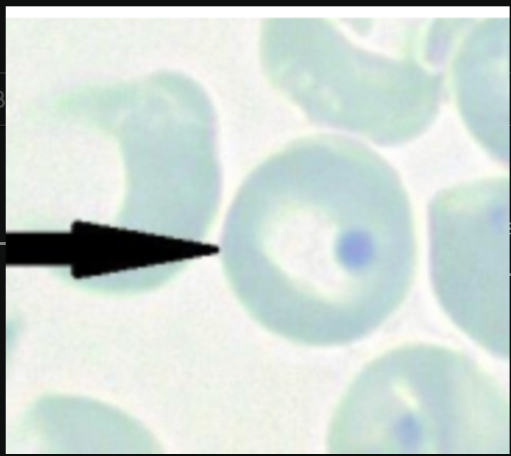
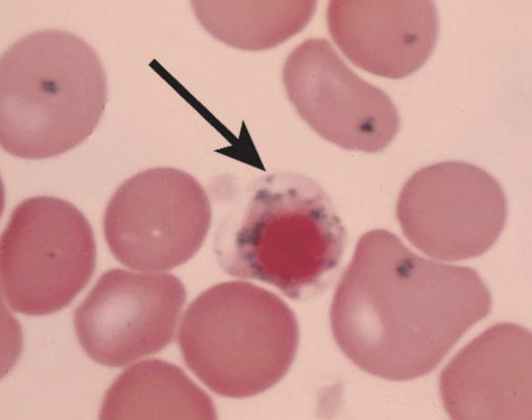
protozoan inclusions malaria

large platelet

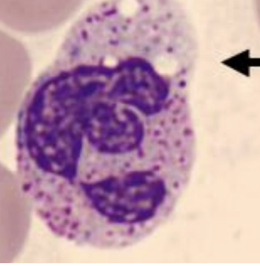
toxic granulation

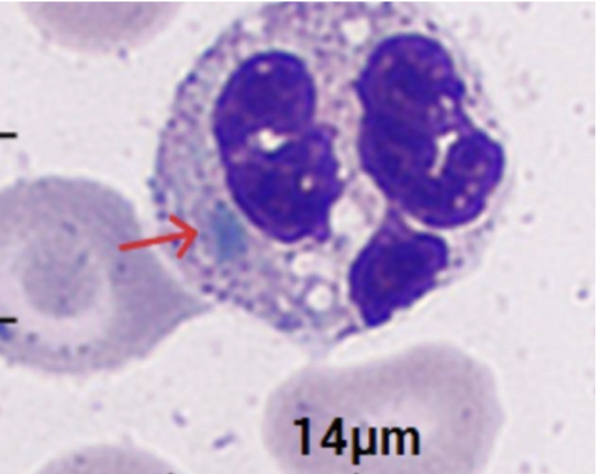
Dohle body, blue dot RER rampants

toxic vacuolization

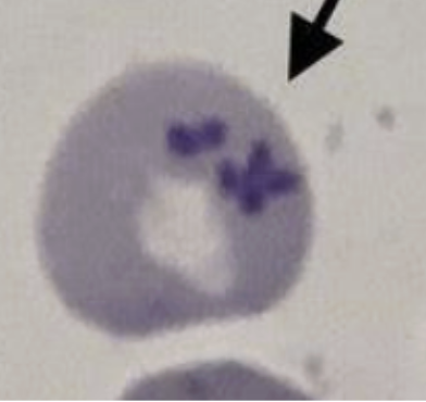
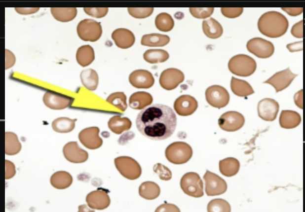
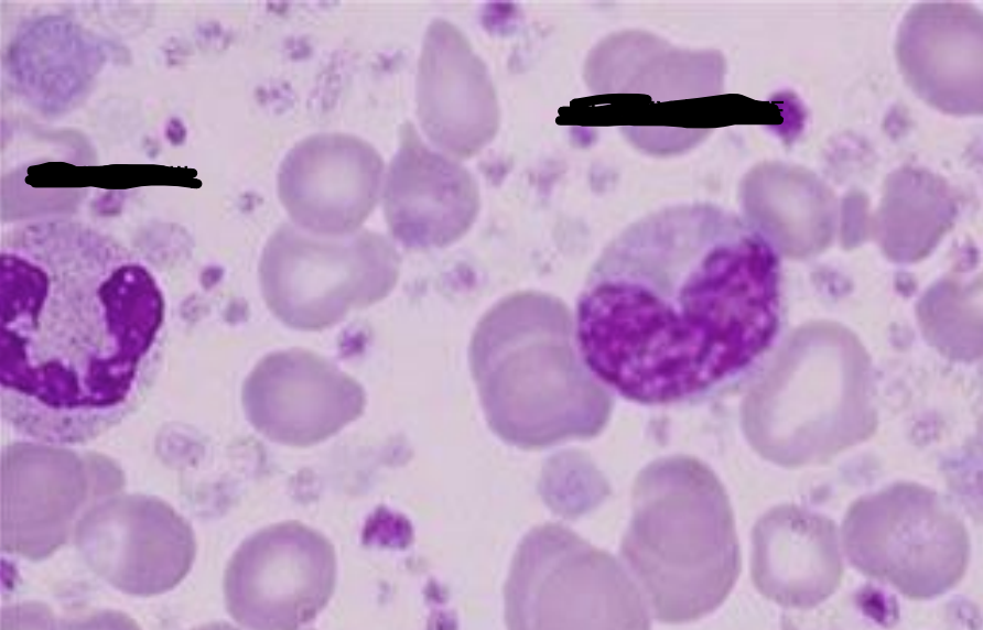
hyposegmentation : Pelger-Huët anomaly (a benign genetic mutation)


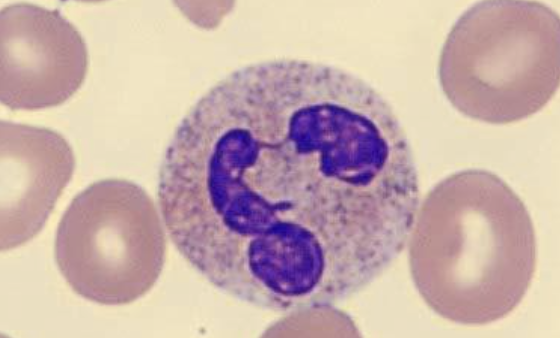
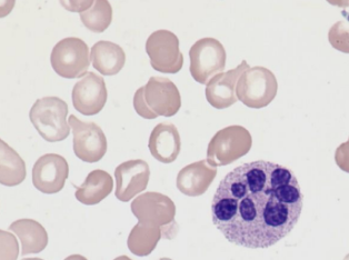
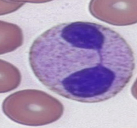
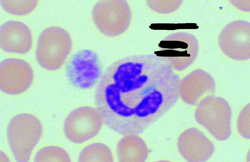
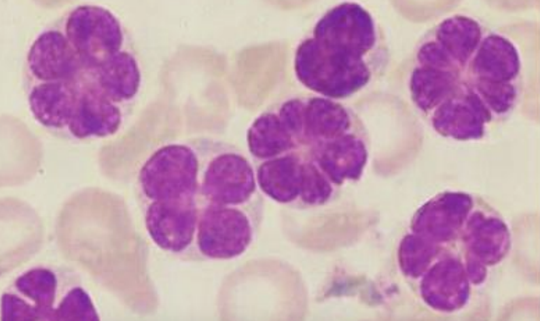
hypersegmentation: b12 and folic deficiency.

band

metamyelocyte, cytoplasm: pink, Nucleus: kidney, BM: CML, MDS

myelocyte nucleus: round/oval, cytoplasm: Blue

promyelocyte, nucleus: takes up the cytoplasm, cytoplasm deep blue ( (immature)

myeblast: nucleus round, cytoplasm: deep blue, no granules

eosinophil, nucleus: 2 segment, pink granules, cytoplasm: not visible

basophil, nucleus: kidney, cytoplasm: pale blue full of purple granules

lymphoblast, lack granules, nucleoli small circle: 2-3

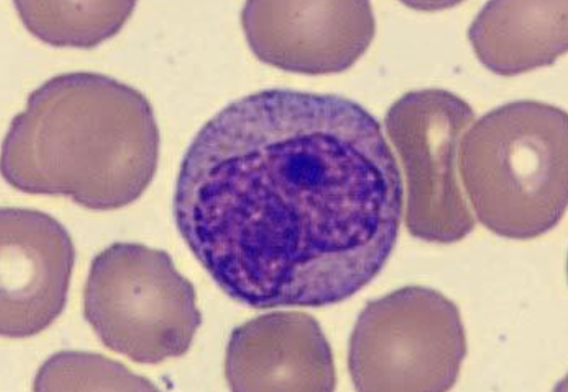
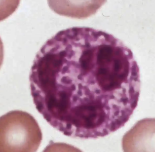
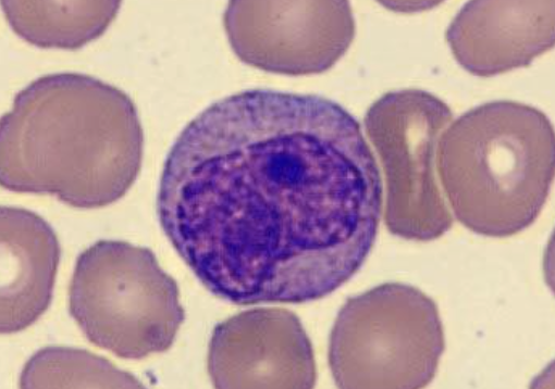
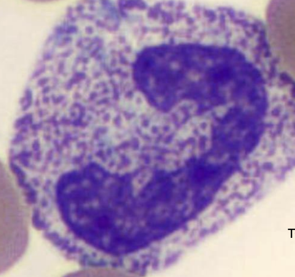
monocyte, nucleus: weird shape, cytoplasm: pale.

ERYTHROPOIESIS / Erythroblasts (NRBC)

sideroblast

pyknotic neutrophil

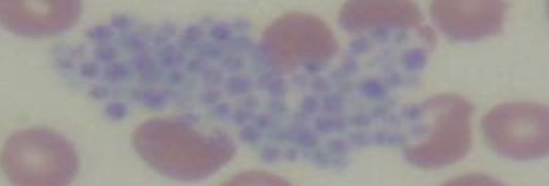
platelet clumps (aggregates)

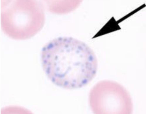
atypical lymph

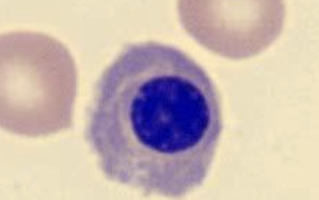
lymphocyte

nuceated rbc

band eosinophil.

toxic band

bi lobe neutrophil seen in pelger huet anomaly.

neutrophil, metamyelocyte

dohle body

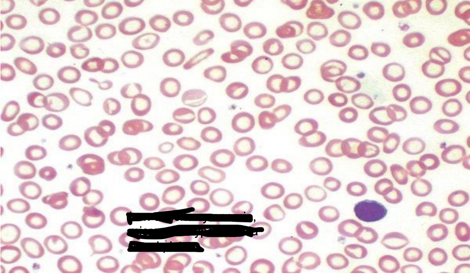
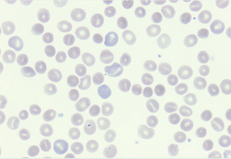
iron deficiency, microcytic, hypochromic.

describe each cells.

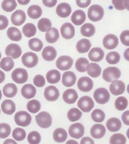
normocytes

polychromasia

target cells (codocytes)

spherocytes

stomatocytes

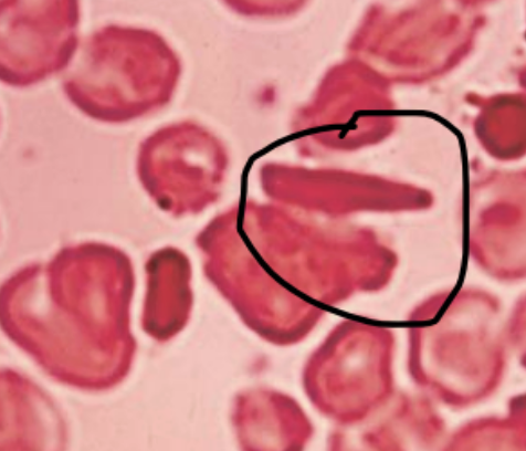
irreversible sickle cells

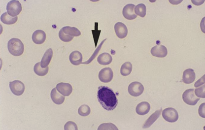
reversible sickle cells

Burr cell (A) , Acanthocyte (B), Blister cell (C), Schistocyte (D

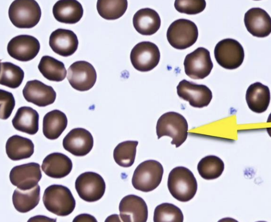
helmet/bitecells

babesia microti

protozoan inclusions

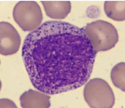
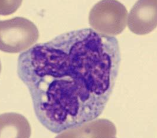
lymphoma cell