1/184
Looks like no tags are added yet.
Name | Mastery | Learn | Test | Matching | Spaced | Call with Kai |
|---|
No analytics yet
Send a link to your students to track their progress
liver lobule
Identify the indicated structure in the liver.

inferior concha

sphenoid sinus

lingual tonsil

hard palate

inspiratory reserve volume
Identify the respiratory volume resulting from the following equation: VC - (TV + ERV)
epiglottis

arytenoid cartilage

seqmental bronchus

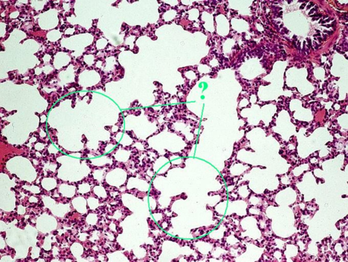
alveoli

residual volume
What respiratory volume does the green shaded area represent?

pseudostratified columnar
What type of epithelium is indicated?

gastric pit
Identify the indicated cell type of the stomach mucosa.

ascending colon

right colic flexure, hepatic flexure

transverse colon

10000 ml
Given the following information, calculate the resting minute respiratory volume. Breaths/minute = 20; TV = 500 ml; ERV = 1000 ml
bile duct
Identify the indicated structure of a liver lobule.

portal vein
Identify the indicated structure of a liver lobule.

central vein
Identify the indicated structure of a liver lobule.

laryngopharynx

oropharynx

lingual tonsil

gallbladder

oral cavity

sublingual salivary gland

vital capacity
The maximum amount of air that can be exhaled after a maximal inspiration is called the ___________?
lesser curvature

muscularis external longitudinal layer

molar
Identify the indicated type of adult tooth

crown

pulp cavity

submucosa
Identify the indicated layer of the wall of the alimentary canal.

serosa epithelium, mesothelium
Identify the indicated layer of the wall of the alimentary canal.

inspiration and expiration, inhalation and exhalation
What are the two phases of pulmonary ventilation?
forced expiratory volume
What measure indicates the percentage of vital capacity that can be forcibly exhaled in one second?
amylase
What digestive enzyme breaks starch into smaller saccharides?
gallbladder
What structure acts as a storage vessel for bile?
pepsinogen
What product do the chief cells of the stomach produce?
muscularis externa
Which tunic of the alimentary canal contains a circular layer of smooth muscle?
ileum
What is the last 3.6 m of the small intestine called?
ileum
Which portion of the small intestine contains Peyer's patches?
male
Who generally has the higher vital capacity, males or females?
frontal sinus

internal nares, choana, posterior nasal aperture

laryngopharynx

vestibular fold

bronchiole

vital capacity
Identify the respiratory volume resulting from the following equation: TV + IRV + ERV
vestibular fold

trachea

terminal bronchiole

tidal volume
What respiratory volume does the yellow shaded area represent?

seromucous gland

chief cell
Identify the indicated cell type of the stomach mucosa.

anal canal

rectum

cecum

8000 ml
Given the following information, calculate the resting minute respiratory volume. Breaths/minute = 10; TV = 800 ml; ERV = 1000 ml
hepatocytes
Identify the indicated structure of a liver lobule.

sinusoid
Identify the indicated structure of a liver lobule.

hard palate

oral cavity

epiglottis

appendix

tidal volume
The amount of air inhaled or exhaled with each breath under resting conditions ___________?
body
Identify the indicated region of the stomach.

rugae

premolar, bicuspid

root

root canal

submucosal gland
Identify the indicated layer of the wall of the alimentary canal.

diaphragm and intercostals
What muscle groups are responsible for pulmonary ventilation?
pepsin
What digestive enzyme breaks proteins into amino acids?
jaundice
Blockage of the common hepatic duct or bile duct by gallstones can result in a buildup of bile in the bloodstream. This buildup can cause the skin to turn yellow, a condition called _____________?
pyloric sphincter
What structure controls the movement of chyme from the stomach to the duodenum?
submucosa
Which tunic of the alimentary canal contains the blood supply for the mucosa?
duodenum
What is the first 25 cm of the small intestine called?
jejunum
In which portion of the small intestine does the majority of nutrient absorbtion occur?
stomach
Which portion of the gastroesophogeal junction is indicated?

oropharynx

alveolar sac

expiratory reserve volume
Identify the respiratory volume resulting from the following equation: VC - (TV + IRV)
thyroid cartilage

left colic flexure, splenic flexure

soft palate

pancreas

esophagus

large intestine

pylorus
Identify the indicated region of the stomach.

dentin

apical foramen

mucosal epithelium
Identify the indicated layer of the wall of the alimentary canal.

pancreas
What organ produces bicarbonate ion to neutralize stomach acid in the duodenum?
hydrochloric acid
What product do the parietal cells of the stomach produce?
peyer's patches
Identify the indicated structures in the ileum.

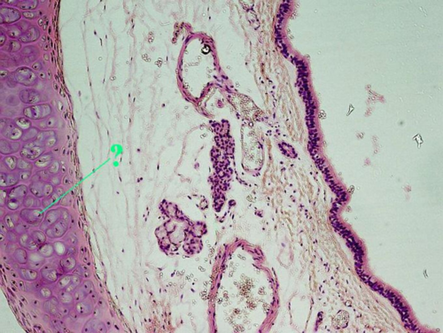
C cartilage

parietal cells
Identify the indicated cell type of the stomach mucosa.

portal triad
Identify the indicated structure of a liver lobule.

rectum
