1/123
Looks like no tags are added yet.
Name | Mastery | Learn | Test | Matching | Spaced | Call with Kai |
|---|
No analytics yet
Send a link to your students to track their progress
What is the size of nuclei in active cells?
large
What are the three functions of the nucleus?
contains a blueprint for all cell structures and activities
contains the molecular machinery to replicate DNA and RNA
imports protein molecules needed for nuclear activity from the cytoplasm
3 main components of the nucleus:
nuclear envelope, nucleolus, chromatin
What is the nuclear envelope?
a paired membrane that regulates flow in and out of the nucleus
What occurs in the nucleolus?
site of ribosome production
What does the nucleolus look like and why?
darkly stained due to protein synthesis
DNA is coiled around proteins called _______.
histones
Nuclear lamina
intermediate filaments that provide mesh-like support to the envelope
Nuclear pore complexes (NPCs)
regulate bidirectional transport of material between the cytoplasm and the nucleus
How many pore complexes are there per nucleus?
3000 to 4000
Each NPC is made of 30 different proteins called:
nucleoporins
Verse about being knit together:
Psalm 139:13-14

What structure is this?
nuclear lamina

What structure is this?
nuclear pore complexes
Nuclear lamina contains binding sites for __________.
chromatin (mainly heterochromatin)
Is chromatin present at the NPCs?
no
What is a pyknotic nucleus?
one that is dark and shrunken, indicating irreversible cell death
Two things that can result in a pyknotic nucleus?
hypoxia and over-exercise causing a lactic acid buildup
#1 cause of cell death
hypoxia
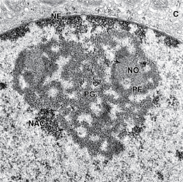
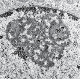
What are the white areas of the nucleolus?
Fibrillar center (FC)
What are the dark areas of the nucleolus?
pars fibrosa
Another name for fibrillar center:
nucleolar organizer (NO)
What does the Pars Fibrosus contain?
contains the proteins fibrillarin and nucleolin
What are the bumpy/grainy parts of the nucleolus?
pars granulosa
What is in the Pars Granular?
assembled ribosome subunits
What is the closest organelle to the nucleus?
rough ER

What is ‘NO’? (it is incorrectly labeled in the image)
pars fibrosa

What is ‘PF’? (it is incorrectly labeled in the image)
pars granulosa
How do ions and small molecules pass through the nuclear pore?
passive diffusion
How to larger molecules and molecular complexes pass through nuclear pores?
NLS is needed along with Ran GDP and importins to get the cargo in; NES is needed along with Ran GTP and exportins to get cargo out
Example of an exportin:
Crm1
Proteins greater than what molecular weight require an NLS to get into the nucleus?
80 kd
What is the function of the nucleolus?
protein synthesis, especially ribosome production
What does NAC stand for?
nucleolar associated chromatin
What is NAC?
the portion of nuclear chromatin associated with the nucleolus; includes the DNA encoding the ribosomal RNA

What is attached to the nucleus at the periphery?
heterochromatin

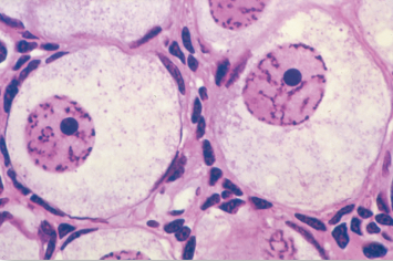
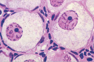
What are the dark structures in the cell?
nucleoli

Are the nucleoli active or inactive?
active
Nucleosome
basic structural unit of chromatin and histones
What histones make up a nucleosome?
two copies of each of H2A, H2B, H3, and H4 (H1 is outside the nucleosome)
How much shorter is compacted heterochromatin than unpacked euchromatin?
40,000x
How long is the DNA in each human cell?
1.8 meters
During mitosis and meiosis chromatin is coiled by the histones into a visible structure called a _________.
chromosome
Where is condensin 1?
in the cytoplasm
Where is condensin 2?
in the nucleus
What does condensin 2 do?
helps breakdown nuclear membrane and packages DNA to chromosomes
What does condensin 1 do?
reassembled nuclear membrane after division is complete
During what two phases do condensin 1 and 2 contribute to the assembly of condensed chromosomes, in which two sister chromatids are fully resolved?
prometaphase and metaphase
What structure joins the two sister chromatids?
centromere
How many autosomes are found in most human cells?
22
The members of each chromosomal pair are called _________.
homologous
Somatic cells are _______.
diploid
How many chromosomes in gametes?
23
Cytogenetic notation of a normal human male?
46, XY
Cytogenetic notation for a normal human female?
46, XX
Cytogenetic notation for a male with Down’s Syndrome?
47,XY+21
p vs q for cytogenetic notation:
p is for short arm and q is for long arm
What drug is used to arrest cells in metaphase?
colchicine
Technique used to examine all chromosomes at once?
karyotyping
Metacentric
centromere in the center
Submetacentric
centromere position results in one short arm and one long arm
Acrocentric
centromere position results in one long arm and a short stalk with a satellite
What does q stand for as the long arm of a chromosome?
it was chosen as the next letter in the alphabet following p
Sex chromatin definition:
a mass of heterochromatin observed in female nuclei and not males
Another name for sex chromatin:
Barr Body

What is being pointed to?
Barr Body
In what WBC can we see Barr bodies clearly?
neutrophils
At what point in development can you see a distinct sex difference?
6 weeks
Four types of intersex syndromes:
hermaphroditism
female pseudohermaphroditism
male pseudohermaphroditism
Complex or Undetermined Intersex Disorders
What is hermaphroditism?
a person is born with both male and female sex organs
What is the underlying cause of hermaphroditism?
unknown
What is female pseudohermaphroditism?
chromosomes of a woman, external genitalia appears male
Another name for Female Pseudohermaphroditism?
46, XX Intersex
Another name for male pseudohermaphroditism?
46, XY Intersex
What is male pseudohermaphroditism?
chromosomes of a man, genitalia appears female
What is the cause of 46, XX Intersex?
female fetus exposed to excess male hormones before birth
What is 46, XY Intersex caused by?
male fetus exposed to female hormones before birth
What 3 things does 46, XY intersex cause?
problems with the testes
problems with testosterone formation
problems with using testosterone
3 disorders that fall in the complex/undetermined intersex disorder category:
45, XO
47, XXY
47, XXX
How to complex intersex disorders affect external genitalia?
no discrepancy between internal and external genitalia
2 male symptoms of complex intersex disorders:
micropenis and undescended testes
3 female symptoms of complex intersex disorders:
clitoromegaly, partial labial fusion, labial or inguinal masses
What is a common male/female symptom of complex intersex disorders?
hypospadias
What are hypospadias?
opening of the urethra at the wrong spot
Kleinfelter Syndrome
47, XXY
Incidence of Kleinfelter Syndrome
1 out of 1000
Incidence of Down’s Syndrome?
1 in 733
What are the stages of interphase?
Growth (G1), synthesis (s), and growth (G2)
Mitotic phase of the cell cycle includes what phases:
prophase, metaphase, anaphase, telophase, cytokinesis
What happens at G0?
cell temporarily or permanently ceases dividing at this checkpoint
What protein (in what state) blocks cells at G0?
unphosphorylated Rb
What happens when Rb is phosphorylated?
G0 proceeds to S phase
What two proteins are involved in phosphorylating Rb?
Cyclin D and cdk4
When does cytokinesis begin?
end of anaphase

prophase

metaphase

anaphase

telophase

What type of microscopy is this?
fluorescent

What phase is this?
metaphase