1/57
Looks like no tags are added yet.
Name | Mastery | Learn | Test | Matching | Spaced | Call with Kai |
|---|
No analytics yet
Send a link to your students to track their progress

? (1)
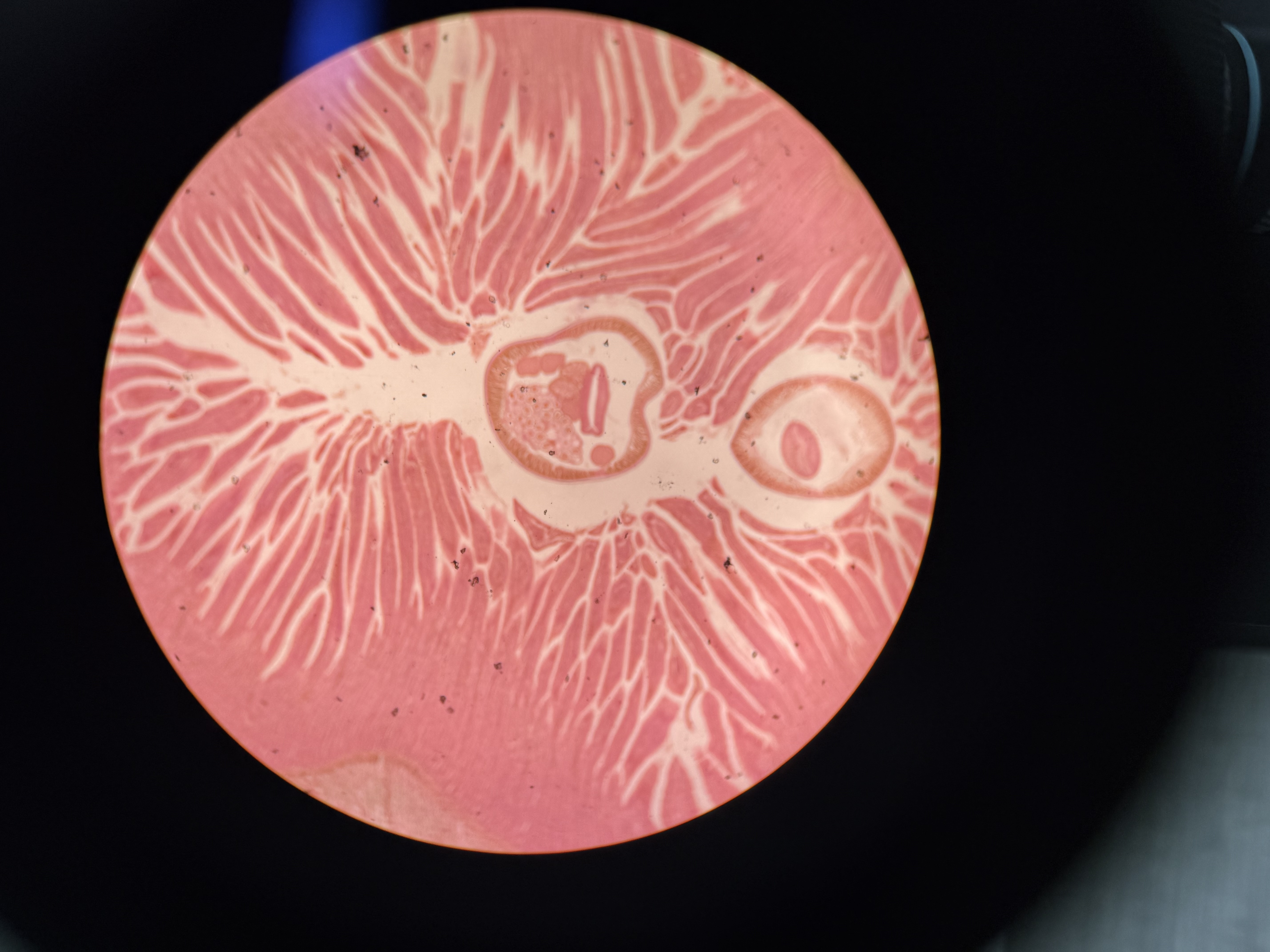
Ascaris lumbricoides esophagus (1)

? (1)
Ascaris lumbricoides female(1)

?
Toxocara sp.

?
Toxocara sp. female

?
Ascaris male

?
Caenorhabditis elegans

?
Turbatirix aceti
Turbatirix aceti is aka
Vinegar eelworm

?
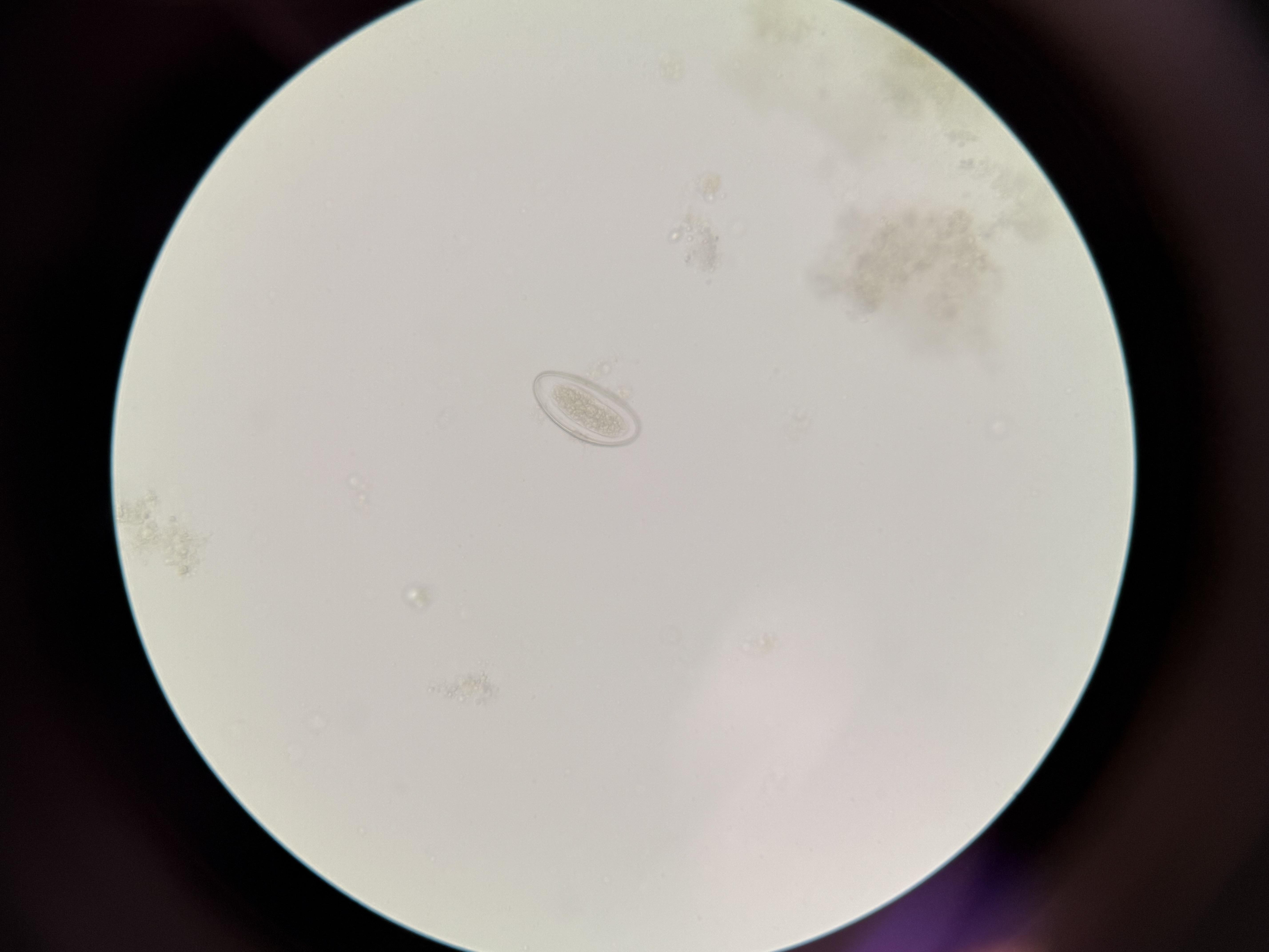
Ascaris Eggs
[…] are used to control insects
Steinernema and Heterorhabditis spp.

?
female nematode

?
male nematode
« A chicken ascarid »
Ascarida galli
The giant kidney worm
Dioctophyma renale
The poultry « gapeworm »
Syngamus trachea
Parasitic roundworm that mainly infects dogs and other canids
Toxocara canis
A large pinworm species from the horse
Oxyuris equi

? (A)
Whipworm (A)(Trichuris trichiura)

?
Whipworm (Trichuris trichiura)

?
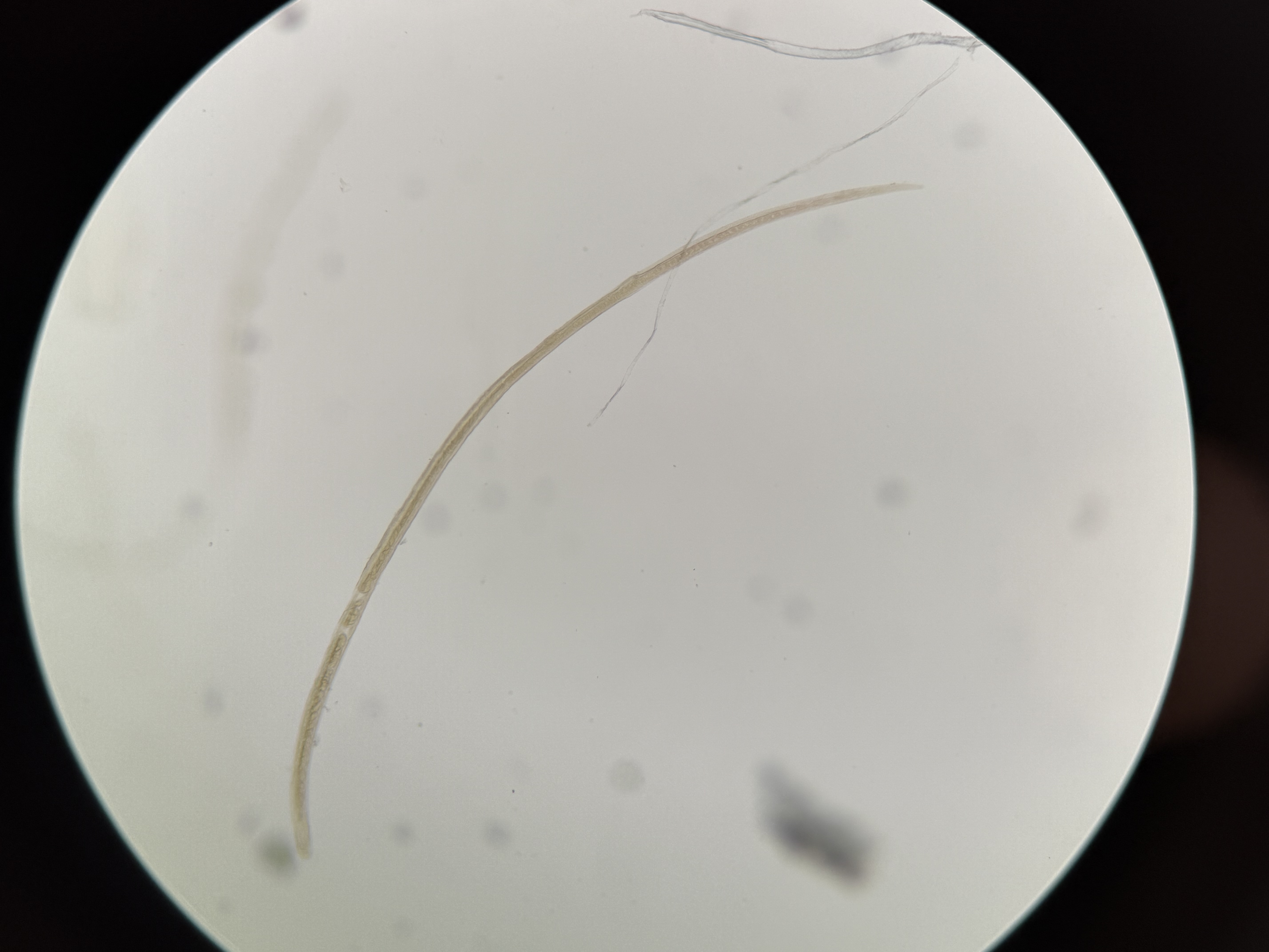
Rhabditis

?
Enterobius vermicularis (pinworm)
What’s the scientific name for pinworm?
Enterobius vermicularis
How to distinguish between male and female pin worms?
Male is smaller

?
Enterobius vermicularis egg

?
Strongyloides stercoralis
Where does Trichinella spiralis larvae live?
Skeletal muscle

?
Trichinella spiralis larva
What parasite does Dr. Hawdon’s beagles have?
Ancylostoma caninum

?
Ancylostoma caninum

?
Ancylostoma caninum male

?
Ascaris lumbricoides female

?
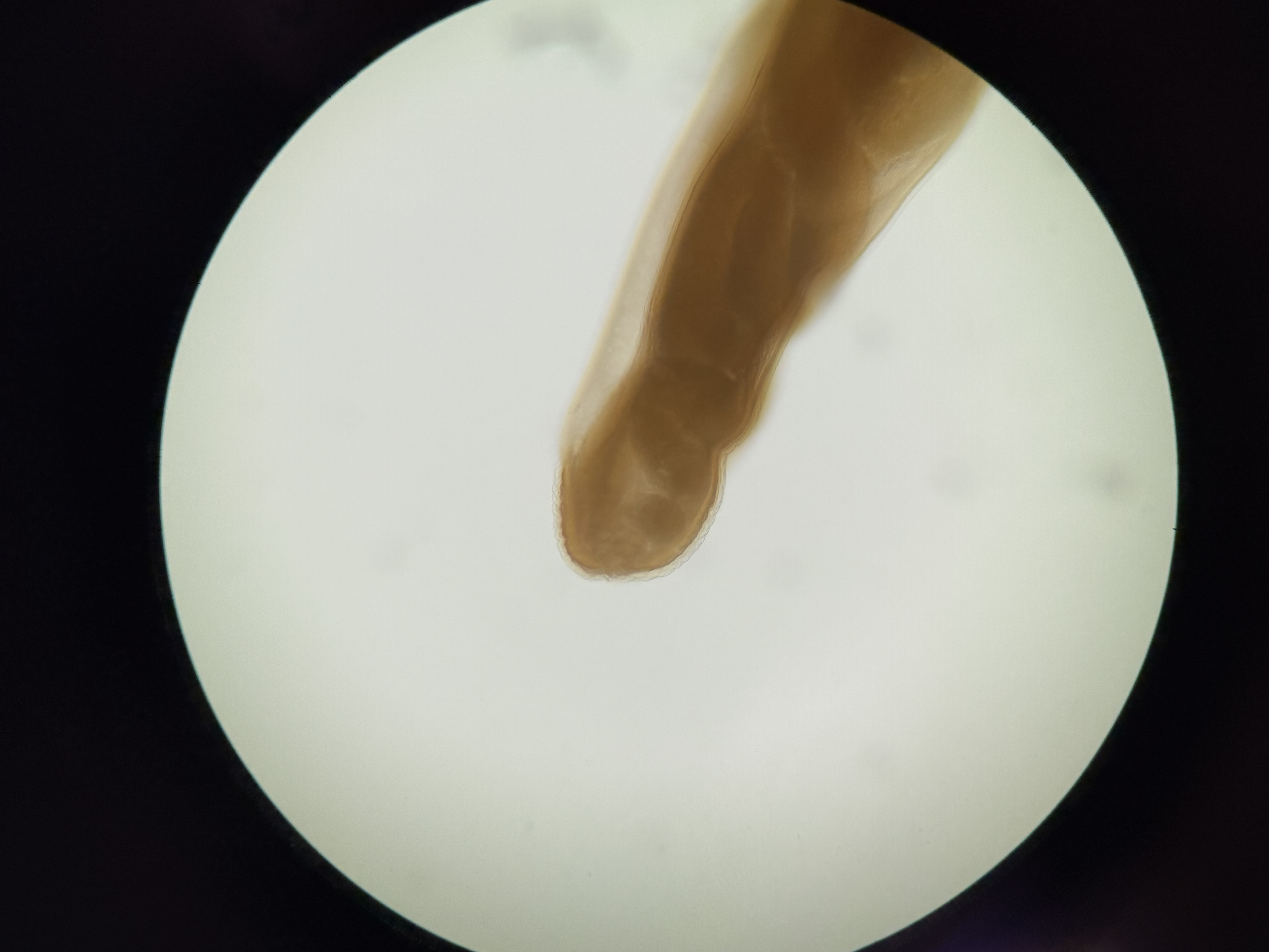
Ascaris lumbricoides esophagus

?
Strongyloides stercoralis female
What’s the scientific name for threadworm? (1)
Strongyloides stercoralis (1)

?
Strongyloides stercoralis L1
What is the diagnostic stage of Strongyloides stercoralis?
L1 in feces

?
Capillaria sp eggs

?
Capillaria sp.

?
Ascaris suum eggs

?
Trichuris trichiura egg

?
Trichinella spiralis female
What is the cause of trichinosis
Trichinella spiralis female (Not males!)
What’s the scientific name for whipworm?
Trichuris trichiura

?
Hard tick

?
Soft tick, argas persicus

?
Onchocercoma

?
sarcoptes scabiei

?
Pediculus humanus capitus (Louse human head)

?
Ctenocephalides canis

?
Ctenocephalides canis, first genal spine is shorter than the second

?
Ctenocephalides felis, first genal spine is almost as long as the second

?
xenopsylla cheopis

?
xenopsylla cheopis

?
Hemiptera

? (1)
Hemiptera (1)

?
Echidnophaga gallinacea

?
cediopsylla simplex

?
Xenopsylla cheopis (female!)