1/33
Looks like no tags are added yet.
Name | Mastery | Learn | Test | Matching | Spaced | Call with Kai |
|---|
No analytics yet
Send a link to your students to track their progress
Components
On està l’hili renal?
a la línea mitja
Entrada dels vasos i de la via urinària
CARA CONCAVA DE CADA RONYÓ MIRA A LA LINEA MITJA
On està la glàndula suprarrenal?
PER SOBRE DEL POL SUPERIOR

Función
A més
Regulador de tensió arterial
RENINA/ANGIOTENSINA.
Secretor d’hormones
ERITROPOIETINA. RENINA
Activitats metabòliques
CALCITRIOL (FORMA ACTIVA VIT D) ALTRES...

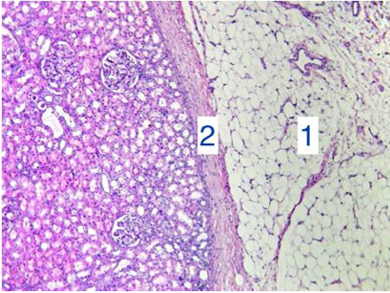
Ronyons


Fascia de Gerota

Càpsula renal:
teixit fibrós que se separa bé del parènquima renal
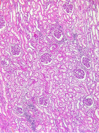
ESTRUCTURA RENAL

Zona cortical

Zona medular

Lóbulo renal
Qué es?
Una pirámide renal con la mitad de cada columna renal contigua y la corteza renal suprayacente a ella forman un lóbulo renal.
El riñón humano tiene 8‐18 lóbulos (tantos como pirámides renales)

Seno renal
Contiene
Sistema de cálices renales
Pelvis renal
Tejido adiposo
Vasos sanguíneos grandes

Nefrona
Es la unidad funcional del riñón
Part cortical (glomèruls, túbuls contornejats proximals i distals, túbuls connectors, part proximal dels col·lectors).
Part medul·lar (nansa de Henle, Túbuls col·lectors –Bellini-)
Està formada per:
CORPÚSCUL de MALPIGHI (GLOMÈRUL+CÀPSULA DE BOWMAN)
SISTEMA TUBULAR CORTICAL I MEDULAR


Zona cortical
Laberint cortical:
glomèruls, túbuls contornejats i porció proximal dels colectors
IMPORTANTE: No hay manera de reconocer a nivel histológico si un tubo de la zona cortical es proximal o es distal.


Zona medular
Medular: nansa de Henle, túbuls col·lectors, Bellini

Irrigación del riñón
El riñon es un importante filtro para eliminar sustancias derivadas del metabolismo o extrañas al organismo.
Posee una irrigación de una abundacia poco habitual. Con 1.2 L/min recibe el 20-25% del volumen minuto cardiaco.
Todo el volumen de sangre del organismo fluye a través del riñon cada 4-5 minutos.
El sistema vascular del riñón está vinculado de forma directa con las funciones renales.
Por el hilio de cada riñón entra una ARTERIA RENAL que ya empieza a ramificarse antes de entrar en el tejido renal.
Dentro del riñón se forman las ARTERIAS INTERLOBULARES, que ascienden entre las pirámides, en las columnas renales.
A la altura de la base de las pirámides las arteria interlobulares se dividen en las ARTERIAS ARCIFORMES, que trascurren en forma de arco la zona del límite corticomedular.
Desde la arteria arciforme parten vasos hacia la cortical y desde alli surgen las ARTERIOLAS AFERENTES.
Las arteriolas aferentes se ramifican en vasitos muy delgados que se transforman en el ovillejo capilar del GLOMÉRULO RENAL.
Desde el glomérulo la sangre sale a través de la ARTERIOLA EFERENTE.
A partir de la arteriola eferente se forman una serie de vasos arteriales delgados, de curso rectos, que irrigan la medular, que se llaman VASOS RECTOS.
Estos vasos forman una extensa red capilar que acompaña la medular.
Desde los capilares se reúnen los VASOS RECTOS VENOSOS que desembocan en las VENAS INTERLOBULILLARES, en las ARCIFORMES y se continuan con las venas INTERLOBULARES.
A nivel del hilio renal se reúnen para formar la VENA RENAL.


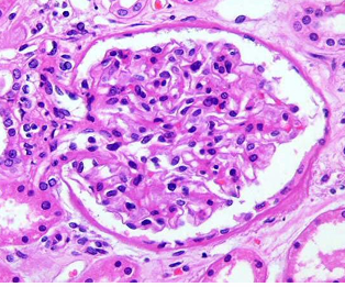
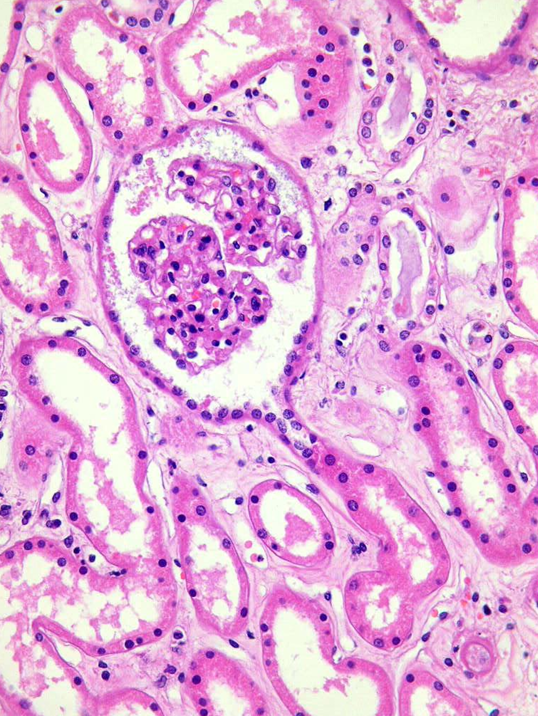
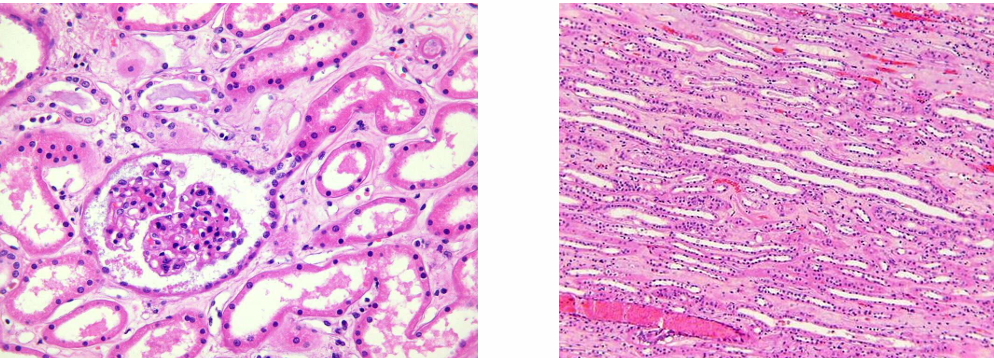
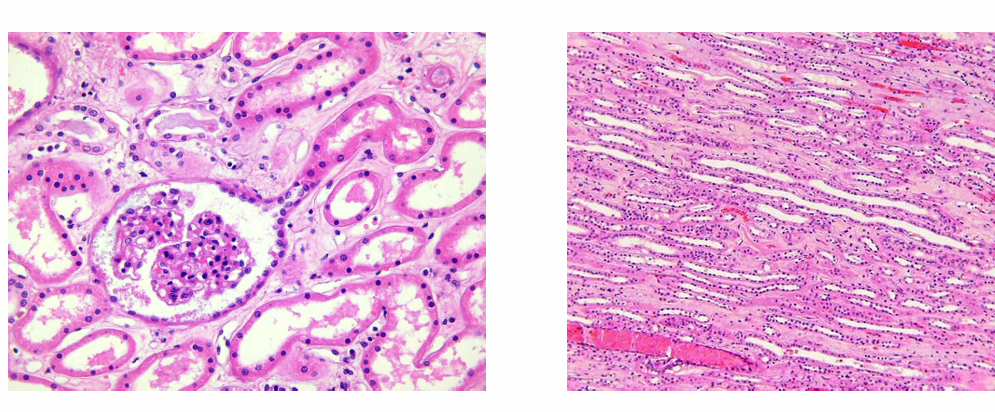
Corpúsculo renal de Malphigi
Qué ocurre?
Ambos riñones poseen alrededor de 2,4 millones de corpúsculos. Representa el filtro del riñón, donde se produce el ultrafiltrado de la sangre, en la que sólo permanecen las células y las proteínas. A este nivel el agua y todas las otras sustancias disueltas con peso molecular de hasta 5 kDa se filtran con libertad.


Glomèrul
Cabdell capilar
Espai de Bowman
Pol urinari
Pol vascular (arteriola eferent i aferent)
Mesangi
Membrana basal glomerular
Cèl·lules epitelials de la càpsula de Bowman

Cèl·lules mesangials
sintetitzen la matriu mesangial. Capacitat macrofàgica.
Matriu mesangial: material extracel·lular
El cabdell de capilars deixa passar líquids, sals, molècules, proteïnes...
Per tant, tant els podocits com la membrana basal glomerular com les parets capil·lars han de ser permeables (porus, fenestracions o sistemes de transports).

polo vascular y urinario de la cápsula de Bowman



Aparato yuxtamedular
Dónde está localizado?
En el polo vascular del glomérulo
Se encarga de:
Mantener la presión arterial y la volemia mediante la producción de la renina
Format per:
MÀCULA DENSA. Mesura Na i altres ions a orina túbul distal . Productes vaconstrictors •
CÉL·LULES IUXTAGLOMERULARS. Renina
CÉL·LULES MESANGIALS EXTRAGLOMERULARS. Funció fagocítica i ?. Cèl·lules musculars.
SISTEMA TUBULAR CORTICAL I MEDULAR
Dónde empiezan los túbulos de la nefrona?
En al polo urinario
Ocupan la mayor parte del parénquima renal
Se dividen en
TÚBUL PROXIMAL
NANSA DE HENLE
TÚBUL DISTAL
CONDUCTE COL·LECTOR


Túbulo proximal
Constituït per un EPITELI MONOESTRATIFICAT CÚBIC amb un ribet en “raspall” format per MICROVILLOSITATS altes en sentit luminal.
Segmento más largo de la nefrona
Es la continuación de la cápsula de Bowman
Partes:
Parte “contorneada” (túbulo contorneado proximal)
Parte recta (túbulo recto)
Función:
Reabsorció activa de diversos components (75%) del filtrat glomerular (aigua, glucosa i aminoàcids) per la via de la bomba sodi/potasi/ATPasa o bé per endocitosis.
Nuclis rodons.
Citoplasma amb abundants organeles, especialment MITOCONDRIES, que proporcionen la energia per al transport actiu de diversos components de la orina.


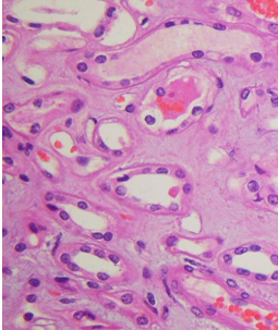
Nansa de Henle
Continuación del túbulo proximal
Cada nansa de Henle comença en cortex renal, ja dins la mèdula el túbul constitueix la branca descendent, després puja de nou en forma de branca ascendent, per unir-se al túbul contornejat distal.
Paret fina amb un EPITELI PLA MONOESTRATIFICAT
FUNCIÓ DE LA NANSA DE HENLE:
Reabsorció de H2O

TÚBUL DISTAL
Partes
Túbulo contorneado distal
Túbulo recto distal
Què és la màcula densa?
En la zona d'unió entre les porcions recte i contornejada, el túbul distal passa molt aprop de l'hili glomerular. Aquest segment és la MÀCULA DENSA.


TÚBULOS COLECTORES
Es la continuación del túbulo contorneado distal.
Los conductos colectores descienden formando los RAYOS MEDULARES (sistema de conductos verticales) hasta la médula renal, donde se fusionan progresivamente para formar los grandes conductos de Bellini, que drenan la orina desde el vértice de la papila renal al sistema pielocalicial.
Los túbulos colectores están tapizados por un EPITELIO CÚBICO SIMPLE, que se hace progresivamente más alto.
CÉLULAS PRINCIPALES de límites celulares bien definidos, citoplasmas pálidos y presencia de un cilio apical inmóvil que actúa como censor mecánico del flujo de líquido y su contenido. • CÉLULAS INTERCALARES que tiñen intensamente, cargadas de mitocondrias y con microvellosidadesl


Es l’espai que hi ha entre els glomèruls i les estructures tubulars. • Més prominent a la mèdula.
FUnción:
Síntesis d’eritropoietina
Format per
fibroblastes
fibres col·làgenes
matriu de proteoglicans.


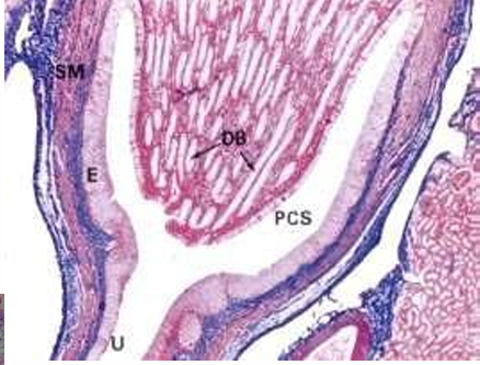
Calze renal
Recull la orina que ve dels ductes de Bellini que desemboquen en la punta de les papil·les de la mèdul·la renal

Calze renal
CALZES, PELVIS I URETERS
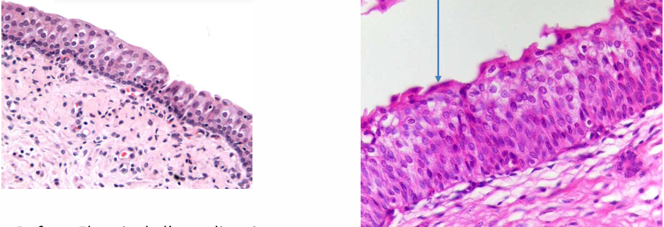
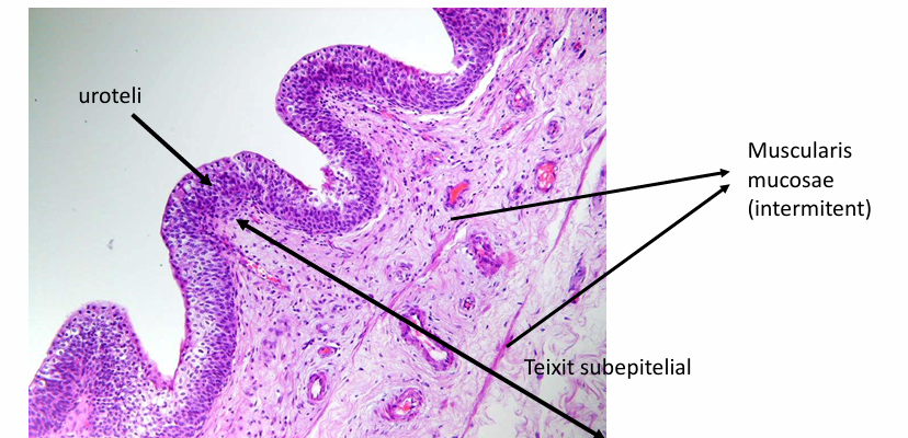
ESTRUCTURA: UROTELI, TEIXIT SUBEPITELIAL, CAPA MUSCULAR

…UN COP URETER ARRIBA A BUFETA URINÀRIA


UROTELI : epiteli de tipus transicional. Capa basal (al costat de la membrana basal) Capa mitja: 1-5 capes cel·lulars Capa superficial: cè·lules “paraigües” en contacte amb orina
Bufeta : El gruix de l’uroteli varia en funció de la distensió. Trígon: hi pot haver epiteli escatós.

TEIXIT SUBEPITELIAL:
Espai entre uroteli i muscular propia.
1. Bufeta :
molt variable (molt escassa a trigon i coll vesical). A la porció mitja hi ha vasos de tamany mig que a vegades s’acompanyen de feixos de múscul llis (muscularis mucosae, intermitent). Si es reconeix la muscularis mucosae parlem de lamina propia/muscularis mucosae/ submucosa.
2. Pelvis i uréter :
no hi ha muscularis mucosae

Uretra
A través de la cual se vacía al exterior la orina almacenada en la vejiga.
La anatomía de la uretra difiere entre varones y mujeres. La uretra femenina humana es corta, de unos 5 cm de longitud y el los hombres mide 20-25 cm.
Esta tapizada por:
urotelio en la parte más proximal
epitelio escamoso no queratinizante en la porción más distal y
su lámina propia posee glándulas secretores de moco (glándulas Skene en la mujer, de Littre en el hombre).
