1/40
Looks like no tags are added yet.
Name | Mastery | Learn | Test | Matching | Spaced | Call with Kai |
|---|
No analytics yet
Send a link to your students to track their progress
Húmero: accidentes clave
¿Qué estructuras anatómicas importantes presenta la mitad distal del húmero?
Diáfisis:
Surco del nervio radial (canal de torsión) → cara posterior, tercio medio
Tuberosidad deltoidea → cara lateral, tercio medio
Metáfisis y Epífisis:
Tróclea (medial) → articula con ulna
Capítulo (lateral) → articula con radio
Fosa coronoidea (anterior) → recibe apófisis coronoides en flexión
Fosa radial (anterior lateral) → recibe cabeza del radio en flexión
Fosa olecraniana (posterior) → recibe olécranon en extensión
Epicóndilo medial (epitróclea) → origen de flexores-pronadores
Epicóndilo lateral → origen de extensores-supinadores
Surco del nervio ulnar → posterior al epicóndilo medial


Compartimentos del brazo: concepto
¿Cómo se organizan los compartimentos musculares del brazo?
Fascia braquial rodea todo el brazo
Dos tabiques intermusculares (medial y lateral) van de la fascia al húmero
Dividen el brazo en:
Anterior (flexor) → inervación: musculocutáneo
Posterior (extensor) → inervación: radial

Bíceps braquial
Inserciones, inervación, función y relación clave del bíceps braquial.
Origen:
Cabeza larga → tubérculo supraglenoideo (tendón intracapsular)
Cabeza corta → apófisis coracoides (con coracobraquial)
Inserción: tuberosidad del radio + aponeurosis bicipital → fascia antebraquial
Inervación: musculocutáneo (C5-C6)
Función: flexión de codo (principal), supinación (potente con codo flexionado), flexión débil de hombro
Relación: tendón de la cabeza larga recorre surco intertubercular

Coracobraquial
Origen, inserción, inervación y función del coracobraquial.
Origen: apófisis coracoides (con cabeza corta del bíceps)
Inserción: cara medial del húmero, tercio medio
Inervación: musculocutáneo (C5-C7) → lo atraviesa
Función: flexión y aducción del hombro
Relación clave: el musculocutáneo lo perfora → si buscás el nervio, buscás este músculo

Braquial (braquial anterior)
Inserciones, inervación y función del braquial.
Origen: cara anterior del húmero, mitad distal (debajo de la deltoidea)
Inserción: tuberosidad de la ulna
Inervación: musculocutáneo (C5-C6) + contribución del radial (menor)
Función: flexor PURO del codo (independiente de prono-supinación)
Es el motor principal de flexión del codo, el bíceps es el famoso pero el braquial es el trabajador

Tríceps braquial
Inserciones, inervación y función del tríceps.
Origen:
Cabeza larga → tubérculo infraglenoideo de la escápula
Cabeza lateral → cara posterior del húmero, por encima del surco radial
Cabeza medial → cara posterior del húmero, por debajo del surco radial
Inserción: olécranon de la ulna
Inervación: radial (C6-C8)
Función: extensión del codo (único extensor), cabeza larga extiende y aduce hombro
Relación: el surco radial pasa ENTRE cabeza lateral y medial

Fosa cubital: límites y contenido
¿Cuáles son los límites y contenido de la fosa cubital?
Forma: triangular, vértice distal
Lateral: M. braquiorradial
Medial: M. pronador redondo
Posterior: M. braquial
Anterior: aponeurosis bicipital
Contenido:
Surco bicipital medial (y contenido)
Tendón del bíceps
Surco bicipital lateral (y contenido)

Surcos bicipitales del brazo
¿Qué son los surcos bicipitales medial y lateral del brazo?
Canales longitudinales a cada lado del bíceps
Surco bicipital medial: entre tendón de bíceps pronador redondo)
Contenido: Arteria Braquial ( y venas satélites), nervio mediano (acompaña a la arteria), Arteria recurrente cubital Anterior.
(Cont. Superficial: vena intermedia basílica y nervio cutáneo antebraquial medial.)
Surco bicipital lateral: entre bíceps y braquiorradial
Contenido: Nervio Radial (perforando tabique lateral y dividiéndose en dos), Arteria recurrente radial
(Cont. Superficial: ramos cutáneos del nervio musculocutáneo y la vena intermedia cefálica)

Arteria braquial: origen y trayecto
¿Cuál es el origen, trayecto y terminación de la arteria braquial?
Origen: continuación de la arteria axilar (borde inferior del pectoral mayor)
Trayecto: surco bicipital medial, medial al bíceps
Relación: el nervio mediano la acompaña → la cruza de lateral a medial (forma una X)
Terminación: fosa del codo → se bifurca en arteria radial + arteria ulnar

Arteria braquial: ramas colaterales
¿Cuáles son las ramas colaterales de la arteria braquial?
Braquial profunda (humeral profunda) → acompaña al nervio radial por el surco del nervio radial → irriga compartimento posterior
Colateral ulnar superior → acompaña al nervio ulnar hacia posterior del epicóndilo medial
Colateral ulnar inferior → anterior al epicóndilo medial
Otros:
Ramas musculares
Arteria nutricia del húmero

Venas del brazo: superficiales y profundas
¿Cuáles son las venas principales del brazo?
Profundas: venas satélites (braquiales), acompañan a la arteria braquial (2 venas por arteria)
Superficiales:
Vena cefálica → lateral → surco deltopectoral → desemboca en vena axilar
Vena basílica → medial → perfora fascia braquial en tercio medio → se une a las braquiales → forma vena axilar
En el codo se conectan por la vena mediana del codo (punción venosa clásica)

Nervio musculocutáneo: trayecto en el brazo
¿Cuál es el trayecto del nervio musculocutáneo en el brazo?
Origen: fascículo lateral (C5-C7)
Perfora el coracobraquial → pasa entre bíceps y braquial
Inerva los 3 músculos del compartimento anterior: coracobraquial, bíceps, braquial
Termina como nervio cutáneo lateral del antebrazo (sensitivo)

Nervio mediano: trayecto en el brazo
¿Qué hace el nervio mediano en el brazo?
Origen: fascículos lateral + medial (abraza a la arteria axilar)
Trayecto: acompaña a la arteria braquial por el surco bicipital medial
Cruza la arteria de lateral a medial (forma X)
No da ramos musculares en el brazo → solo pasa
Ramos en el antebrazo y mano

Nervio ulnar: trayecto en el brazo
¿Qué hace el nervio ulnar en el brazo?
Origen: fascículo medial (C8-T1)
Trayecto: surco bicipital medial → perfora tabique intermuscular medial en tercio distal → pasa a compartimento posterior
Pasa por detrás del epicóndilo medial (surco del nervio ulnar) → muy superficial → vulnerable a golpes ("hueso de la risa")
No da ramos musculares en el brazo → solo pasa

Nervio radial: trayecto en el brazo
¿Qué hace el nervio radial en el brazo?
Origen: fascículo posterior (C5-T1)
Trayecto: va hacia posterior → surco del nervio radial con arteria braquial profunda → perfora tabique intermuscular lateral → pasa a anterior en tercio distal
Inerva tríceps (ramos ANTES del surco) + ancóneo
Inerva braquiorradial y extensor radial largo (antes de bifurcarse)
Se bifurca en fosa del codo: ramo superficial (sensitivo) + ramo profundo/interóseo posterior (motor)


Extremidad proximal de la ulna
¿Qué accidentes presenta la extremidad proximal de la ulna?
Olécranon → posterior, inserción del tríceps
Apófisis coronoides → anterior
Escotadura troclear (cavidad sigmoidea mayor) → entre ambas, articula con tróclea humeral
Escotadura radial (cavidad sigmoidea menor) → lateral, articula con cabeza del radio
Tuberosidad de la ulna → debajo de coronoides, inserción del braquial

Extremidad proximal del radio
¿Qué accidentes presenta la extremidad proximal del radio?
Cabeza del radio (cúpula radial) → disco, articula con capítulo humeral (superior) y escotadura radial de la ulna (medial)
Cuello del radio
Tuberosidad del radio (tuberosidad bicipital) → inserción del bíceps

Articulación del codo: componentes
¿Qué articulaciones componen el complejo articular del codo?
Humeroulnar (humerocubital): tróclea + escotadura troclear → troclear → flexo-extensión
Humeroradial: capítulo + cúpula radial → condílea → flexo-extensión + rotación
Radioulnar proximal: circunferencia radial + escotadura radial de la ulna → trocoide (pivote) → prono-supinación
Las tres comparten UNA cápsula y UNA sinovial → articulación compuesta

Codo: ligamentos
¿Cuáles son los ligamentos principales del codo?
Ligamento Colateral Ulnar (Medial): Está compuesto por 3 fascículos (anterior, medio y posterior). Desde el epicóndilo medial hacia la ulna (A y M → Apf. Coronoides, P → Borde de Olécranon) Reforzado por ligamento de Cooper. Su función principal es resistir el estrés en valgo.
• Ligamento Colateral Radial (Lateral): También está compuesto por 3 fascículos (anterior, medio y posterior). Desde el epicóndilo lateral hacia abajo, donde se mezcla con el ligamento anular. (A y M → Escotadura radial, P → Borde de Olécranon) Su función principal es resistir el estrés en varo.
• Ligamento Anular del Radio: Rodea la cabeza del radio manteniéndola fija en la escotadura radial de la ulna. Su función es permitir la rotación sin luxación.
• Ligamento Cuadrado (de Dénucé): Desde el borde inferior de la escotadura radial hacia el cuello del radio. Actúa como refuerzo inferior de la articulación radioulnar.
• Ligamento Anterior: Desde la cara anterior de los epicóndilos, fosa coronoidea y fosa radial hacia la apófisis coronoides y el ligamento anular. Contiene fibras oblicuas (laterales y mediales) que se dirigen desde sus respectivos epicóndilos hacia el centro.
• Ligamento Posterior: Desde la fosa olecraniana hacia el olécranon. Está formado por fibras transversales (ubicadas por encima del olécranon) y fibras oblicuas (que van desde los bordes medial y lateral de la fosa hacia los respectivos bordes del olécranon).



Codo: biomecánica
¿Qué movimientos permite el complejo articular del codo?
Flexo-extensión: humeroulnar + humeroradial
Flexión: ~145°
Extensión: 0° (limitada por olécranon en fosa olecraniana)
Prono-supinación: radioulnar proximal + distal (actúan juntas)
Supinación: ~85° (palma arriba, "tomar sopa")
Pronación: ~75° (palma abajo, "tirar sopa")
Ángulo de carga (valgo fisiológico): ~10-15° → el antebrazo no está alineado recto con el brazo

Región olecraneana
¿Qué se encuentra en la región posterior del codo?
Olécranon prominente (palpable) (inserción distal del tríceps braquial)
Bolsa olecraneana subcutánea (bursitis = "codo de estudiante")
Nervio ulnar → pasa por el surco del nervio ulnar (entre epicóndilo medial y olécranon) → superficial y vulnerable
Músculo ancóneo (entre el olécranon y el epicóndilo lateral)
Nervio cutáneo braquial posterior
Relación: el nervio ulnar acá solo tiene piel y fascia encima → golpe = parestesias en 4to-5to dedo ("hueso de la risa")



Complejo epicondíleo medial (epitroclear): grupo flexor-pronador
¿Qué músculos se originan del epicóndilo medial?
Origen común: epicóndilo medial. Inervación: mediano y ulnar
Pronador redondo (mediano)
Flexor radial del carpo / palmar mayor (mediano)
Palmar largo (inconstante) (mediano)
Flexor ulnar del carpo (ulnar)
Flexor superficial de los dedos (mediano)

Complejo epicondíleo lateral: grupo extensor-supinador
¿Qué músculos se originan del epicóndilo lateral?
Origen común: epicóndilo lateral. Inervación: radial (ramo profundo / interóseo posterior)
Extensor de los dedos
Extensor del meñique
Extensor ulnar del carpo / cubital posterior
Supinador (corto)
Extensor radial corto del carpo (origen cerca del epicóndilo)

MÚSCULOS DEL ANTEBRAZO — ANTERIOR (FLEXORES-PRONADORES)



MÚSCULOS DEL ANTEBRAZO — LATERAL (SUPINADORES-EXTENSORES)



MÚSCULOS DEL ANTEBRAZO — POSTERIOR (EXTENSORES)


Membrana interósea: estructura y función
¿Qué es la membrana interósea del antebrazo y por qué es importante?
Sindesmosis que une radio y ulna
Fibras oblicuas dirigidas de radio a ulna, de proximal a distal
Funciones:
Transmite fuerzas del radio a la ulna (la mano empuja → radio recibe → fibras transmiten a ulna → distribuyen carga)
Aumenta superficie de origen muscular
Separa compartimento anterior del posterior
Cuerda oblicua (de Weitbrecht): fibras invertidas, proximal, refuerzo menor
Orificios: paso de arteria interósea anterior y posterior


Arteria radial: origen, trayecto y relaciones
¿Cuál es el trayecto de la arteria radial?
Origen: bifurcación de la braquial en fosa cubital
Trayecto: lateral en el antebrazo, sobre pronador redondo → flexor radial del carpo → braquiorradial (entre ambos)
Relación: en el tercio distal es superficial entre el tendón del braquiorradial y el flexor radial del carpo → palpación del pulso radial
Pasa por la tabaquera anatómica → arco palmar profundo

Arteria ulnar: origen, trayecto y relaciones
¿Cuál es el trayecto de la arteria ulnar?
Origen: bifurcación de la braquial en fosa cubital (rama más gruesa)
Trayecto: profunda al principio (bajo pronador redondo y flexor superficial) → se hace superficial en tercio distal (lateral al flexor ulnar del carpo)
Acompañada por el nervio ulnar en tercio distal
Rama importante: arteria interósea común → se divide en interósea anterior (profunda, sobre membrana interósea anterior) e interósea posterior (dorso)
Termina: canal de Guyon → arco palmar superficial

Venas del antebrazo
¿Cuáles son las venas principales del antebrazo?
Profundas: venas satélites de arteria radial y ulnar
Superficiales:
Vena cefálica → lateral → sube por cara lateral del antebrazo → brazo
Vena basílica → medial → sube por cara medial del antebrazo → brazo
Vena mediana del codo → conecta cefálica con basílica en fosa cubital
Relación: la vena mediana del codo cruza por encima de la aponeurosis bicipital → sitio de punción venosa clásica → la aponeurosis protege la arteria braquial debajo


Nervio mediano en el antebrazo
¿Qué inerva el nervio mediano en el antebrazo?
Pasa entre las dos cabezas del pronador redondo
Inerva la MAYORÍA de los flexores del antebrazo:
1er plano: pronador redondo, flexor radial del carpo, palmar largo
2do plano: flexor superficial de los dedos
Ramo interóseo anterior (nervio de Kiloh-Nevin):
3er plano: flexor profundo de los dedos (mitad lateral, dedos 2-3), flexor largo del pulgar
4to plano: pronador cuadrado
NO inerva: flexor ulnar del carpo ni flexor profundo de 4to-5to dedo (esos son del ulnar)

Nervio ulnar en el antebrazo
¿Qué inerva el nervio ulnar en el antebrazo?
Llega desde atrás del epicóndilo medial → entra al antebrazo entre las dos cabezas del flexor ulnar del carpo
Solo inerva 2 músculos en el antebrazo:
Flexor ulnar del carpo
Flexor profundo de los dedos (mitad medial, dedos 4-5)
Trayecto: sobre el flexor profundo, cubierto por el flexor ulnar del carpo
Se hace superficial en tercio distal → lateral al flexor ulnar del carpo → pasa por canal de Guyon en la muñeca

Nervio radial en el antebrazo
¿Qué hace el nervio radial en el antebrazo?
Se bifurca en la fosa cubital:
Ramo superficial (sensitivo puro):
Desciende bajo el braquiorradial
Se hace superficial en tercio distal → dorso de la mano (1er espacio interóseo = zona autónoma)
Ramo profundo / interóseo posterior (motor puro):
Atraviesa el supinador (entre sus dos cabezas, por la Arcada de Frohse)
Inerva TODOS los músculos del compartimento posterior
Inerva supinador y extensor radial corto del carpo

Epicondilitis lateral (codo de tenista)
¿Qué es la epicondilitis lateral y qué estructuras están afectadas?
Tendinopatía de los extensores del antebrazo en su origen común (epicóndilo lateral)
Músculo más afectado: extensor radial corto del carpo
Causa: microtrauma repetitivo por extensión/supinación forzada
Dolor en epicóndilo lateral que se reproduce al:
Extensión resistida de muñeca
Extensión resistida del 3er dedo (test de Maudsley)
Palpación del epicóndilo lateral
Tratamiento: reposo, fisioterapia, ortesis, infiltración, cirugía (excepcional)

Bursitis olecraneana
¿Qué es la bursitis olecraneana (Codo de estudiante)?
Inflamación de la bolsa olecraneana subcutánea (entre piel y olécranon)
"Codo de estudiante" / "codo de minero"
Causa: apoyo prolongado sobre codo, trauma repetitivo, gota, infección
Presentación: tumefacción fluctuante en punta del codo, dolor variable
El codo mantiene movilidad completa (la bolsa es extraarticular)
Tratamiento: evitar apoyo, aspiración si tensa, antibióticos si infectada


Fractura de Monteggia
¿Qué es la fractura de Monteggia y por qué es importante?
Fractura de ulna proximal + luxación de cabeza del radio
Mecanismo: caída con mano extendida + componente de pronación forzada, o golpe directo en antebrazo posterior
¿Por qué se luxa el radio? La membrana interósea y el ligamento anular conectan radio y ulna. Si la ulna se fractura y se acorta/angula → el radio pierde su contención → la cabeza se luxa
Nervio en riesgo: interóseo posterior (ramo profundo del radial) → pasa cerca de la cabeza del radio
Tratamiento: QUIRÚRGICO (reducción abierta + fijación de ulna + reducción de cabeza radial)
Regla: toda fractura aislada de ulna → buscar luxación de cabeza del radio en Rx (y viceversa)
Lesión equivalente inversa: Fractura de Galeazzi = fractura de radio distal + luxación de radioulnar distal


Puntos de referencia palpables del brazo
¿Qué estructuras son palpables en el brazo?
Tendón del bíceps (fosa cubital)
Masa del bíceps y tríceps
Surco bicipital medial (palpar arteria braquial → tomar presión arterial)
Epicóndilo medial y lateral (codo)
Olécranon
Pulso braquial: medial al tendón del bíceps en la fosa cubital

Puntos de referencia palpables del antebrazo
¿Qué estructuras son palpables en el antebrazo?
Apófisis estiloides del radio (lateral, más distal)
Apófisis estiloides de la ulna (medial, más proximal)
Pulso radial: entre tendón del braquiorradial y flexor radial del carpo, tercio distal
Tendón del palmar largo: pedir al paciente que oponga pulgar y meñique + flexione muñeca → el palmar largo salta si está presente
Tabaquera anatómica: entre tendones del extensor corto del pulgar / abductor largo (lateral) y extensor largo del pulgar (medial) → piso = escafoides

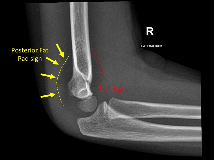
Rx de codo: qué buscar
¿Qué se evalúa en una radiografía de codo AP y lateral? (teórico clínico | poca relevancia)
AP:
Ángulo de carga (valgo fisiológico ~10-15°)
Integridad de epicóndilos
Espacio articular humeroulnar y humeroradial
Cabeza del radio alineada con capítulo (línea radiocapitelar)
Lateral:
Signo de la almohadilla grasa (fat pad sign): grasa desplazada anterior y/o posterior → indica derrame articular → sospechar fractura oculta
Línea radiocapitelar: debe pasar por el centro del capítulo (si no → luxación de cabeza radial)
Olécranon en fosa olecraniana


Línea radiocapitelar
¿Qué es la línea radiocapitelar y para qué sirve? (teórico clínico | poca relevancia)
Línea trazada a lo largo del eje longitudinal del radio
En TODA proyección de Rx debe pasar por el centro del capítulo
Si no pasa → la cabeza del radio está luxada
Fundamental para diagnosticar Monteggia (fractura de ulna + luxación de cabeza radial)


Fat pad sign (signo de la almohadilla grasa)
¿Qué indica el signo de la almohadilla grasa en Rx lateral de codo? (teórico clínico | poca relevancia)
La grasa periarticular normalmente está pegada al hueso (anterior: invisible o apenas visible; posterior: invisible)
Derrame articular → grasa se desplaza/levanta → visible como triángulo radiolúcido
Fat pad anterior elevada: inespecífica pero sugiere derrame
Fat pad posterior visible: SIEMPRE patológica → derrame → sospechar fractura oculta (especialmente cabeza del radio)
En niños con Rx "normal" pero fat pad positivo → tratar como fractura hasta probar lo contrario
