1/74
Looks like no tags are added yet.
Name | Mastery | Learn | Test | Matching | Spaced | Call with Kai |
|---|
No analytics yet
Send a link to your students to track their progress
What are the 3 phases of cell development/production (hint MHM)
•Mesoblastic
• Hepatic
•Myeloid
Where does the mesoblastic production of cells occur?
Yolk sak
What is the final/physiologic site of cell production in an adult?
Bone marrow

Is yellow or red bone marrow the final site of cell production?
Red

What's another word for myeloid?
Marrow
What is the formation and development of blood cells external to the bone marrow medullary spaces?
Extramedullary Hematopoiesis (EMH)
Where does Extramedullary Hematopoiesis (EMH) typically occur?
liver, spleen

What could be seen on exam with Extramedullary Hematopoiesis (EMH)?
hepatosplenomegaly (HSM)
What are the 3 formed elements of blood?
erythrocytes, leukocytes, platelets

What makes the "buffy coat"
leukocytes, platelets

What is a centrifuge?
a machine used to seperate material by spinning it

Low WBCs term
leukopenia

High WBCs term
leukocytosis

Low RBCs term
anemia

High RBCs term (2)
polycythemia (erythrocytosis)

Low platelets term
thrombocytopenia

High platelets term
thrombocytosis
Are these flashcards meant to replace studying your powerpoint?
lol, no :)

Where is the spleen?
LUQ

Removal of spleen term
splenectomy

State of having no spleen
Asplenia
After splenectomy, patients are prone to infections with which organisms?
•Pneumococcal
•Hib (Haemophilus influenzae type b)
•Meningococcal
PHM ("please help me")
Where is the liver?
RUQ

Fixed macrophages of liver
Kupffer cells

What does the liver produce that is related to heme
clotting factors! (and natural anticoagulants)
In advanced liver disease, would you expect more or less clotting
less clotting, more bleeding
_________ is the process by which the formed elements of blood are produced.
Hematopoiesis
Overactive bone marrow is AKA
hyperplastic
Would acute blood loss cause a hyper or hypoplastic bone marrow?
hyperplastic
What is Myelophthisic?
- physical tumor invasion of the marrow
Would aplastic anemia cause a hyper or hypoplastic bone marrow?
hypoplastic
Tumor of lymph nodes
lymphoma
Inflammation of lymph nodes
lymphadenitis
Enlargement of lymph node
lymphadenopathy (LAD)
Which lymphocytes originate in the bone marrow
all
Which lymphocytes mature in the thymus
T lymphocytes
Where is the thymus
mediastinum
What are the 5 WBCs
neutrophils, eosinophils, basophils, monocytes, lymphocytes
What are granulocytes?
neutrophils, eosinophils, basophils
Which formed elements are true cells
WBCs
What is WBC production
Leukopoiesis
Granulocytes that release heparin and histamine
basophils
Granulocytes that protect against infections from parasitic worms and allergic reactions
eosinophils
Multilobular WBCs that are elevated in bacterial infections and inflammation
neutrophils
Immature neutrophils are called
bands
Monocytes in tissue are called
macrophages
Fixed macrophages of the bone
osteoclasts
Fixed macrophages of the alveoli
dust cells
Fixed macrophages of the brain
microglia
Where are 1/3 of platelets stored
spleen
What is Thrombocytopoiesis
platelet production
What is the platelet precursor
Megakaryocyte
Life span of RBC
120 days
Shape of RBC
biconcave disc
Precursor to RBC
reticulocyte
Hormone that stimulates RBC production
EPO
Source of EPO
kidney
What is Erythropoiesis
production of red blood cells
Protein in RBCs that carry O2
Hb
What is hematocrit?
The percentage of blood volume taken up by RBCs

Why do males have a higher hematocrit?
testosterone

RBC with elongated central pallor, mouth like opening
stomatocyte

RBC with •Jagged, serrated edges
burr cell

RBC that is •Smaller, sphere shaped w/o central pallor, darker than normal
spherocyte

RBC with •Fragmented shape
schistocyte

RBC that is tapered at one end and blunt at other
tear drop

RBC with redundant darker outer membrane with inner light circle
target cell

RBC with •Fine, pinpoint evenly distributed cytoplasmic granules
basophilic stippling

RBC with •Round chromatin pieces in cytoplasm from abnormal division
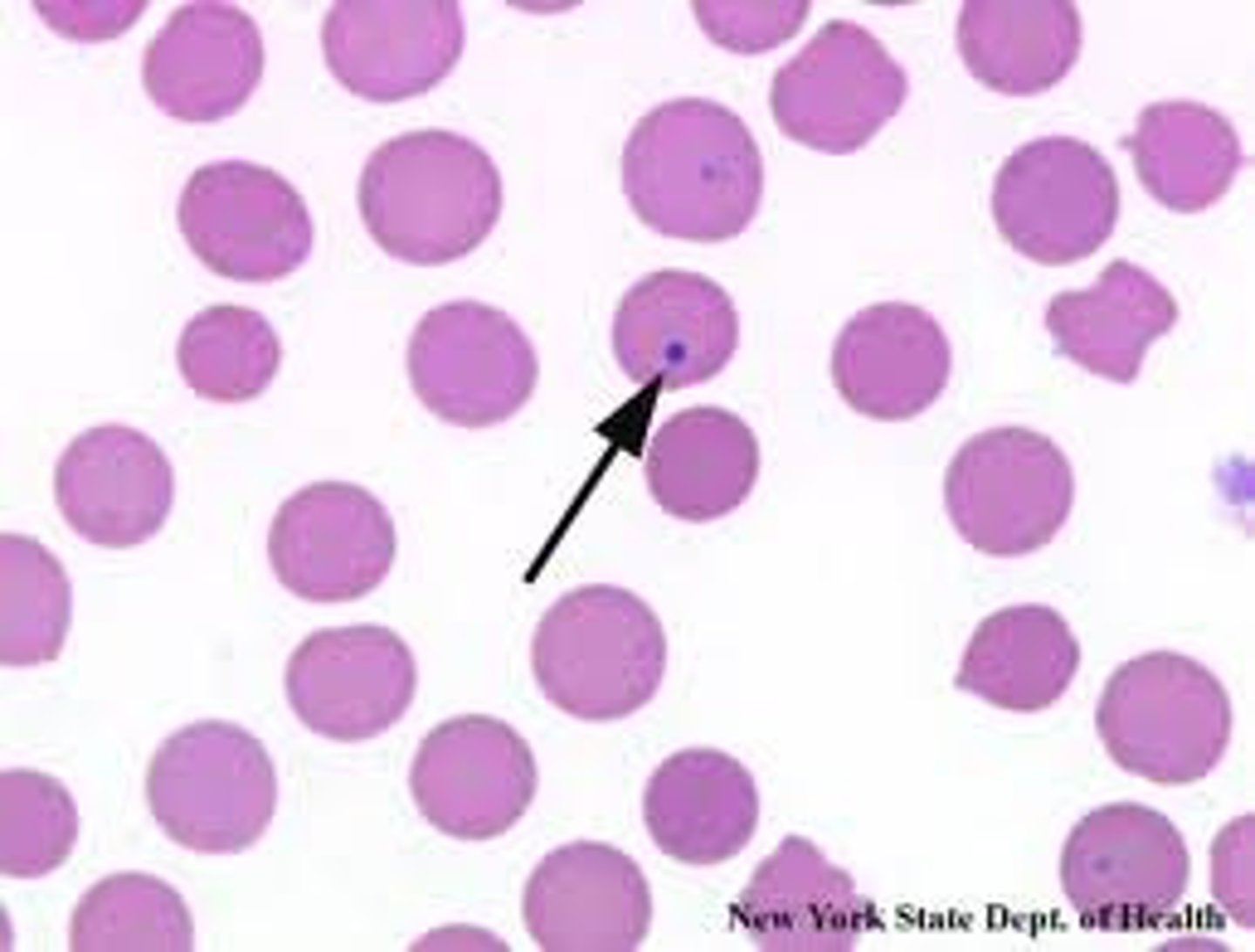
howell jolly body

What determines micro or macrocytosis
MCV
What determine hypo hyperchromia
MCH/MCHC
•Range of variation RBC volume
RDW
•Varied RBC size
= anisocytosis
•Varied RBC shape
= poikilocytosis
Which test is a •Microscopic examination by hematologist/pathologist looking for morphologic abnormalities
peripheral smear (PBS)