1/47
Looks like no tags are added yet.
Name | Mastery | Learn | Test | Matching | Spaced | Call with Kai |
|---|
No analytics yet
Send a link to your students to track their progress
kora mózgu komórki piramidalne barwienie H+E

kora mózgu komórki piramidalne barwienie H+e

skóra cienka
kora mózgu komórki piramidalne srebrzenie

skóra gruba
skóra z włosami ucho królika
skóra z włosami ucho królika
skóra z włosami ucho królika
skóra z włosami i gruczołami łojowymi
skóra z włosami i gruczołami łojowymi
skóra z gruczołami potowymi
skóra z gruczołami potowymi
skóra z gruczołami potowymi
gruczoł mlekowy czynny
gruczoł mlekowy czynny
kora mózgu komórki piramidalne srebrzenie

kora mózgu komórki piramidalne srebrzenie

włókno nerwowe obwodowe

włókno nerwowe obwodowe

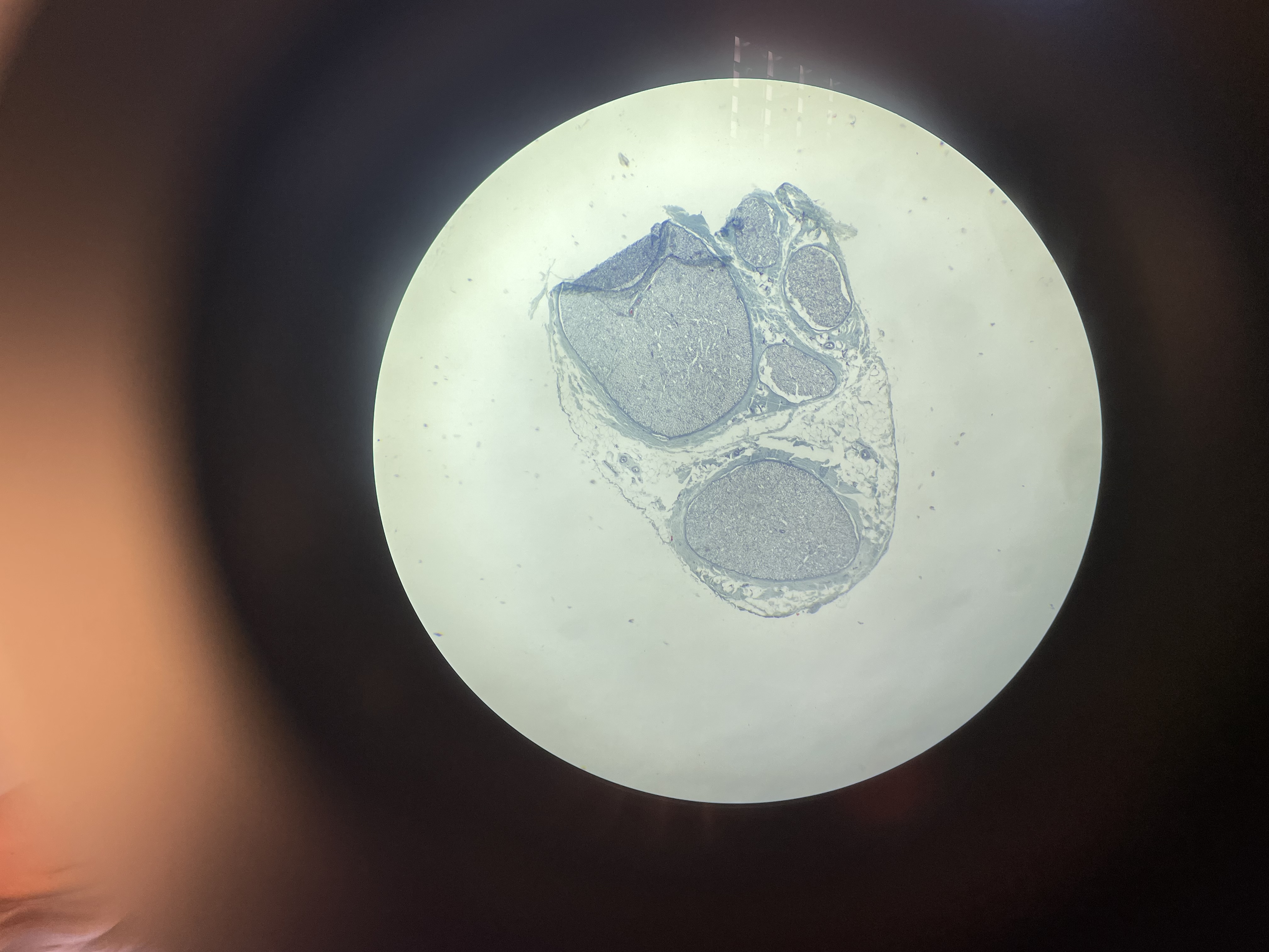
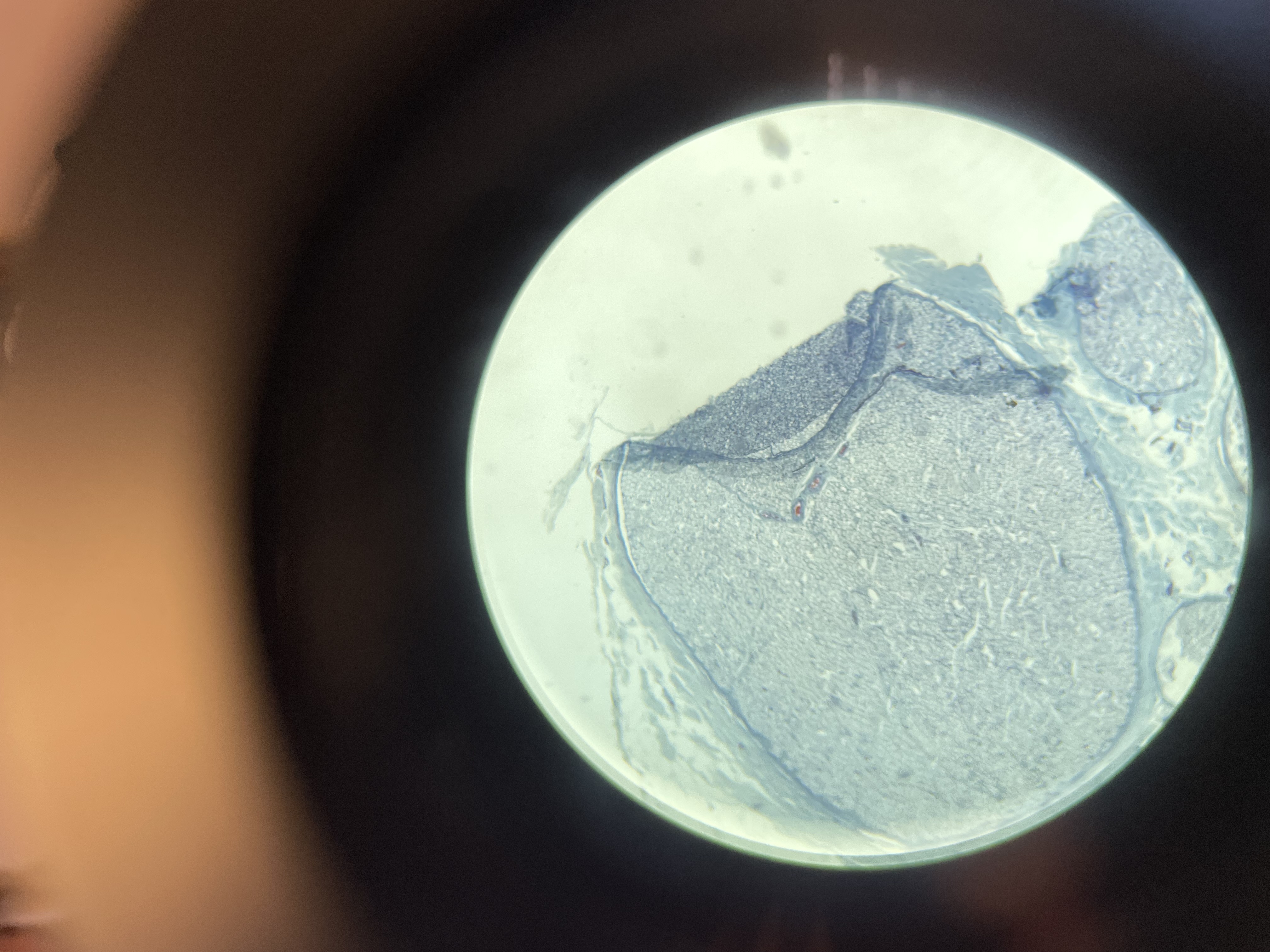
pień nerwowy barwienie massona
może być niebieskie, różowe, fioletowe

pień nerwowy barwienie massona
różowe/fioletowe/niebieskie

pień nerwowy barwienie massona
niebieski/różowy/fioletowy

pień nerwowy barwienie osmem

pień nerwowy barwienie osmem

pień nerwowy barwienie osmem

pień nerwowy barwienie osmem

kora mózgu komórki piramidalne barwienie H+E

mięsień sercowy h+e
mięsień sercowy h+e
mięsień sercowy barwienie Massona
mięsień sercowy barwienie Massona
mięsień sercowy barwienie Massona
naczynia włosowate h+e
naczynia włosowate h+e
tętnica i żyła mała
tętnica i żyła mała
tętnica średnia
tętnica średnia
tętnica średnia
żyła duża
żyła duża
aorta barwienie Weigerta
aorta barwienie Weigerta
aorta barwienie Weigerta
naczynia chłonne
naczynia chłonne
aorta h+e
aorta h+e