Care of Developing Fetus

0.0(0)
studied byStudied by 0 people
0.0(0)
full-widthCall with Kai
GameKnowt Play
New
learnLearn
examPractice Test
spaced repetitionSpaced Repetition
heart puzzleMatch
flashcardsFlashcards
Card Sorting

1/117

encourage image

There's no tags or description

Looks like no tags are added yet.

Study Analytics
Name
Mastery
Learn
Test
Matching
Spaced

No study sessions yet.

118 Terms

1
New cards

Ovum

from ovulation to fertilization.

2
New cards

Zygote

from fertilization to implantation

3
New cards

Fetus

from 8 weeks until term

4
New cards

Conceptus

developing embryo and placental structures throughout pregnancy

5
New cards

Age of viability

earliest age at which fetuses survive if they are born is generally accepted as 24 weeks or the point a fetus weighs more than 500-600 grams

6
New cards

Fertilization

union of an ovum and spermatozoon. referred to as conception, impregnation or fecundation.

7
New cards

outer third of the fallopian tube, ampullar portion

where fertilization occurs

8
New cards

24-48 hours

Viability of ovum

9
New cards

48-72 hours

Spermatozoon life span

10
New cards

2.5ml of fluid containing 50-200 million spermatozoa per ml or an average of 400 million sperm cells per ejaculation

average semen ejaculation

11
New cards

Graafian follicle

Where the ovum is released in the ovary

12
New cards

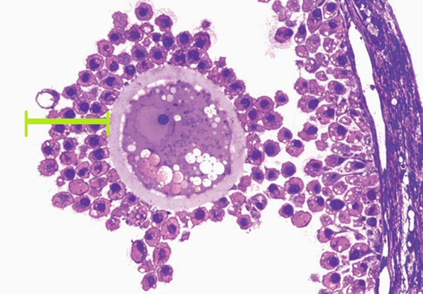
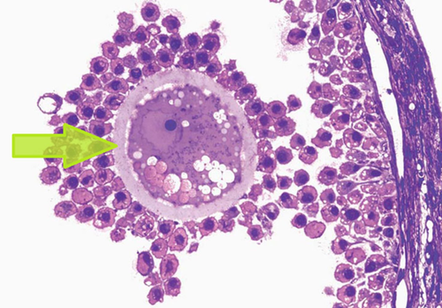
zona pellucida and corona radiata

protective structures surrounding primary oocyte

13
New cards

zona pellucida

a protective mucopolysaccharide layer which is a thick, transparent coating rich in glycoproteins that surrounds an oocyte.

<p>a protective mucopolysaccharide layer which is a thick, transparent coating rich in glycoproteins that surrounds an oocyte.</p>
14
New cards

corona radiata

The layer of granulosa cells that surround an oocyte after is has been ovulated.

<p>The layer of granulosa cells that surround an oocyte after is has been ovulated.</p>
15
New cards

fimbriae

hairlike structures at the fallopian tube openings, create currents to propel the ovum into the fallopian tube.

16
New cards

3-4 days

how many days does the zygote travels from the ampulla of the fallopian tube to the uterus

17
New cards

morula stage

the zygote undergoes mitotic cell division with 16-50 undifferentiated cells.

18
New cards

blastocyst

A fluid-filled sphere formed about 5 days after fertilization of an ovum that is made up of an outer ring of cells and inner cell mass. This is the structure that implants in the endometrium of the uterus and differentiates into three germ layers.

19
New cards

ectoderm, mesoderm, endoderm

3 primary germ layers of embryo

20
New cards

Ectoderm

outermost germ layer; produces sense organs, Adrenal Medulla, nerves, and outer layer of skin

21
New cards

Mesoderm

middle germ layer; develops into Kidneys and Ureters, Reproductive System, Bone & Cartilage, Muscles, Vasculature, Lymphatics, Spleen Adrenal Cortex

22
New cards

Endoderm

the inner germ layer that develops into the lining of the digestive and respiratory systems, Liver, Bladder, and Urethra

23
New cards

trophoblast

The outer layer of cells that develops in the germinal period. These cells provide nutrition and support for the embryo. forms the placenta and other support structures.

24
New cards

corpus luteum

Endocrine tissue which produces hormones, estrogen, and progesterone which prepares the uterine lining for receiving an embryo

25
New cards

human chorionic gonadotropin (hCG)

trophoblast absorbs nutrients from the endometrium and secretes what to maintain the corpus luteum

26
New cards

Cytotrophoblast (inner layer)

Proliferates upon implantation, forming primary chorionic villi used in early genetic testing (chorionic villus sampling).

27
New cards

Syncytiotrophoblast (outer layer)

Supports the cytotrophoblast and facilitates nutrient, waste, and gas exchange between maternal and fetal systems.

28
New cards

Implantation

contact between the growing structure and the uterine endometrium that occurs between 8-10 days after fertilization (or about 8 days after ovulation)

29
New cards

Decidua

specialized layer of endometrium that forms the base of the placental bed. most ideal site for implantation

30
New cards

prolactin, renin, corticotrophin releasing hormone (CRH), growth hormone, prostaglandin, oxytocin, and endothelin-1

hormones released by decidua

31
New cards

•Decidua vera or parietalis-

•Decidua basalis or placentalis

Decidua capsularis-

Layers of Decidua:

32
New cards

Decidua vera or parietalis

the remaining portion of the uterine lining

33
New cards

Decidua basalis or placentalis

forms the maternal portion of the placenta

34
New cards

Decidua capsularis

the layer which encloses the blastocysts after implantation

35
New cards

Chorionic villi

tiny projections of placental tissue that look like fingers and contain the same genetic material as the fetus. allow for the absorption of gases and nutrients from the maternal blood supply while eliminating fetal waste

36
New cards

Chorionic frondosum

villi at the embryonic pole in contact with decidua basalis. Later form the fetal side of the placenta

37
New cards

Chorion leave "bald chorion"

villi not involved with implantation that gradually degenerates, becoming thin and eventually forming the chorionic membrane

38
New cards

Fetal membrane

surrounds the fetus during pregnancy and is a thin tissue composed of two layers, the chorion and the amnion.

39
New cards

Chorion

among the vital membranes that form the amniotic sac. has tail-like structures (chorion villi) for providing extra protection to the embryo. facilitates the exchange of nutrients between the mother and child during the pregnancy period.

40
New cards

Amnion

contains a thin transparent fluid called amniotic fluid in which the embryo is suspended

41
New cards

Amniotic Fluid

acts as a cushion and protects the fetus from any mechanical jerks. It maintains even pressure and protects the fetus from damage. composed of 99% water and 1 % solid particle

42
New cards

ranges from 500-1200 ml averaging at 1000ml.

Amniotic Fluid volume range

43
New cards

7.00-7.25

Amniotic fluid pH

44
New cards

1.005-1.025

specific gravity of amniotic fluid

45
New cards

Amniotic Fluid

contains albumin, urea, uric acid, creatinine, lecithin sphingomyelin, bilirubin, minerals and suspended materials such as desquamated epithelial cells and vernix caseosa.

46
New cards

Umbilical Cord

originated from the yolk sac and umbilical vessels. connects the fetus to the placenta (carry oxygen and nutrients to the placenta and return oxygenated blood and fetal waste products to the placenta).

47
New cards

Wharton's jelly

gelatinous substance within the umbilical cord, largely made up of mucopolysaccharides to insulate and protect the umbilical cord

48
New cards

Thomas Wharton.

DIscovered Wharton's jelly

49
New cards

50-55 cm long and 2cm in diameter

length of the umbilical cord

50
New cards

350ml/min

rate of blood flow at term

51
New cards

Short cord

Intrapartum hemorrhage due to premature separation of the placenta

Delayed descent of the fetus during labor

Inversion of the uterus

52
New cards

Long cord

Cord presentation

Coiling of the cord around the neck

True knots of the cord

53
New cards

Placenta

A structure that allows an embryo to be nourished with the mother's blood supply. formed from the chorionic villi and decidua basalis. Temporary endocrine organ. Weighing approximately 500 grams at term with a diameter of 15-20cm and 3 cm thick.

54
New cards

700-900ml

Uteroplacental blood flow at term

55
New cards

cotyledons

attaches to the mothers uterine wall. This side is dark red in color and is made up of many lobes (15-20) which adheres to the uterus and connect with mother's circulation.

56
New cards

Zygote growth

development proceeds cephalo-caudal (head-to-tail) direction

57
New cards

Cardiovascular System

one of the 1st systems to become functional in intrauterine life.

58
New cards

single heart tube

forms as early as the 16th day of life and beat as early as 24th day.

59
New cards

6th or 7th week

Septum that divides the heart into chambers develop during

60
New cards

After 28th week

week when sympathetic nervous system matures, the heart rate stabilizes and a consistent heart rate of 110-160 beats/min

61
New cards

Fetal Circulation

fetus derives oxygen and excretes carbon dioxide not from gas exchange in the lungs but from exchange in the placenta

62
New cards

Foramen ovale

connects the left & right atrium, bypassing the lungs

63
New cards

fossa ovalis

remnant of foramen ovale of fetal heart

64
New cards

Umbilical vein

brings oxygenated blood coming from the placenta to the heart and liver

65
New cards

round ligament (ligamentum teres hepatis)

Remnant structure of umbilical vein

66
New cards

Umbilical arteries

carry deoxygenated blood from the fetus to the placenta. Its obliterated portion will become umbilical ligaments

67
New cards

Ductus venosus

carry oxygenated blood from umbilical vein to inferior vena cava, bypassing the fetal liver

68
New cards

ligamentum venosum or Arantius ligament.

remnant of ductus venosus

69
New cards

Ductus arteriosus

carry oxygenated blood from pulmonary artery to aorta bypassing fetal lung.

70
New cards

ligamentum arteriosum

remnant of ductus arteriosus

71
New cards

Respiratory System

at 3rd week of intrauterine life, exist as a single tube along with the digestive tract

72
New cards

4th week

by the end of what week will a septum begin to divide the esophagus from the trachea.

73
New cards

24th week of pregnancy

Surfactant, a phospholipid substance, is formed and excreted by the alveolar cells of the lungs beginning approximately

74
New cards

lecithin & sphingomyelin

2 components of surfactant

75
New cards

2:1

35 weeks there is a surge in the production of lecithin, which then becomes the chief component by ratio of

76
New cards

8th week

Brain waves can be detected on electroencephalogram by what week

77
New cards

24 weeks

by what week is the ear capable of responding to sound, and the eyes exhibit a pupillary reaction, indicating sight is present

78
New cards

neural plate

3rd week, what becomes apparent? its top portion differentiates into the neural tube, which will form the CNS and the neural crest

79
New cards

Endocrine System

function begins along with neuro system development

80
New cards

6th week

by what week will the intestine become too large to be contained by the abdomen

81
New cards

32 weeks or weighs 1500 grams

swallowing and sucking reflex are not mature until about

82
New cards

meconium

by the 16th week, a collection of cellular wastes, bile, fats mucoprotein, mucopolysaccharides and portions of vernix caseosa, accumulates in the intestines. It is sticky in consistency and appears black or dark green

83
New cards

26 weeks

by what week does fetus begin to store brown fats to be utilized as a source of heat in the 1st hours after birth

84
New cards

36 weeks

at what week does GI secretes enzymes necessary for digestion of CHO, CHON

85
New cards

Fetal Liver

stores glycogen at week 9. Cannot synthesize coagulation factors because of lack of vitamin K

86
New cards

Pancreas

Originate from the foregut and is formed between 5th & 8th weeks.

87
New cards

12th week

Islets of Langerhans develop at what week

88
New cards

20 weeks

Fetus produces insulin beginning at what week

89
New cards

11th week

Fetus can be seen to move on ultrasonography as early as

90
New cards

12th week.

Ossification (natural process of bone formation) of the cartilage into bone begins at abou

91
New cards

4 weeks

at what week does a part of the mesoderm gives rise to the bones and muscles

92
New cards

13 weeks

skeleton begins to calcify at what week

93
New cards

8 weeks

Child's sex can be ascertained as early as __ by chromosomal analysis of fetal cells in the mother's blood stream

94
New cards

34-38 weeks of gestation

testes 1st form in the abdominal cavity and do not descend into the scrotal sac until

95
New cards

Urine

formed by the 12th week and is excreted into the amniotic fluid by the 16th week of gestation

96
New cards

500ml/day

At term, fetal urine is excreted at a rate of up to

97
New cards

oligohydramnios

too little amniotic fluid. Suggests fetal kidneys are not secreting adequate urine and that there is a kidney, ureter or bladder disorder

98
New cards

36 weeks

skin of fetus appears thin and almost translucent until subcutaneous fat begins to be deposited underneath it at about

99
New cards

vernix caseosa

important for lubrication and for keeping the skin from macerating in utero.

100
New cards

lanugo

Skin is covered by soft downy hairs that serve as insulation to preserve warmth in utero