1/19
Looks like no tags are added yet.
Name | Mastery | Learn | Test | Matching | Spaced | Call with Kai |
|---|
No analytics yet
Send a link to your students to track their progress
In the posterior oblique position of the cervical spine, the CR should be directed:
15 degrees cephalad to C4
2 multiple choice options
Which of the following is (are) demonstrated in the lateral projection of the thoracic spine?
1. intervertebral spaces
2. Apophyseal joints
3. Intervertebral foramina
1 and 3 only
3 multiple choice options
The spinal cord begins below the ______________ and tapers off to a point called the ________________
medulla oblongata; conus medullaris
3 multiple choice options
Which of the following is (are) demonstrated in an AP axial projection of the cervical spine?
1. C3-7 cervical bodies
2. Intervertebral disk space
3. Zygapophyseal joints
1 and 2 only
3 multiple choice options
Zygapophyseal joints between C1 & C2 can only be visualized on this projection:
AP open mouth
3 multiple choice options
How much is the body rotated for an RAO cervical spine?
45 degrees
3 multiple choice options
Thoracic vertebrae 5-8 represent typical vertebrae.
True
1 multiple choice option
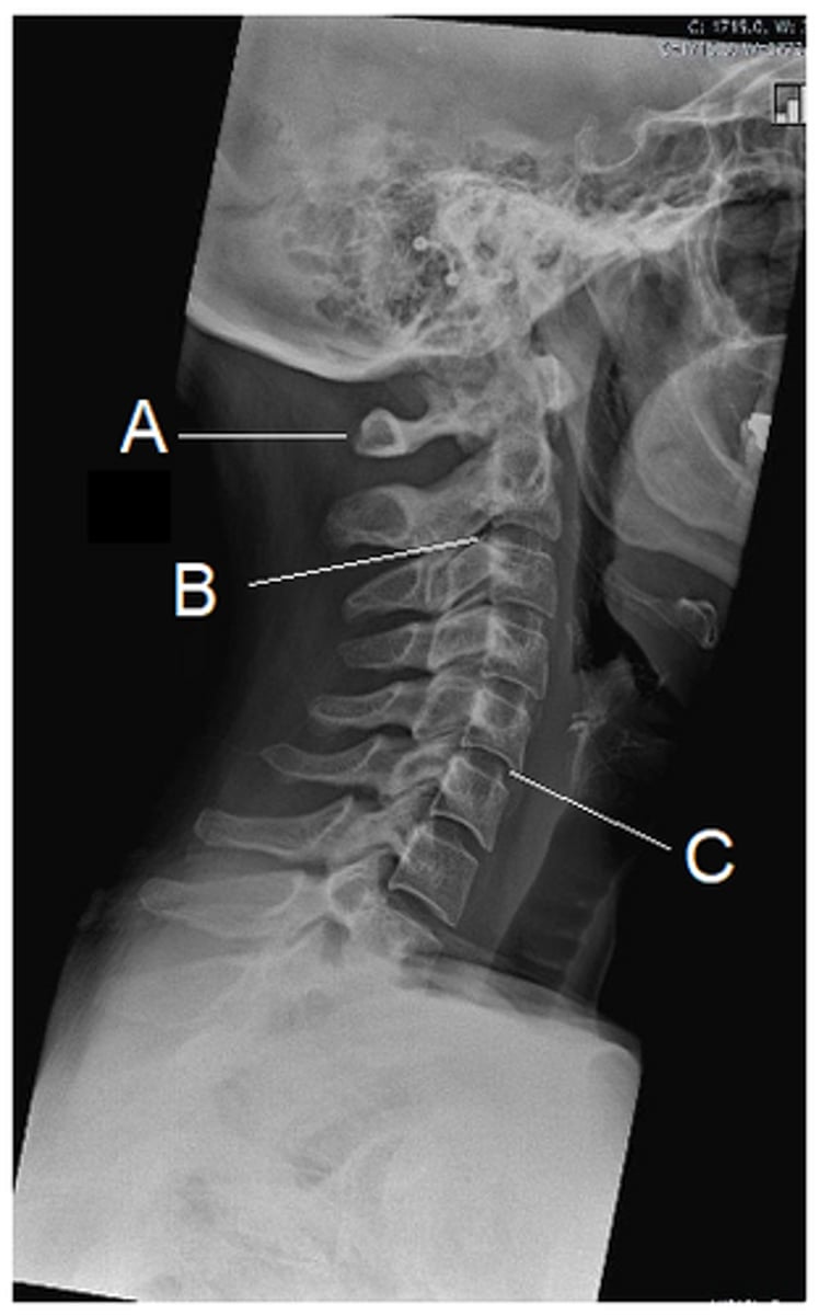
What does 'B' represent?
intervertebral disk
3 multiple choice options

It is best practice to suspend breathing on all cervical spine imaging.
False
1 multiple choice option
In the image, '2' represents the:
vertebral foramina
3 multiple choice options

What is the central ray for an AP thoracic spine?
MSP to level of T7
3 multiple choice options
In the image, '1' represents the:
Lamina
3 multiple choice options

An oblique thoracic spine best visualizes what structure?
Zygapophyseal joints
3 multiple choice options
What source to image distance is best utilized for a horizontal beam lateral cervical spine?
72"
3 multiple choice options
In the image, 'B' represents:
Zygapopgyseal joint
3 multiple choice options

What is the normal curvature of the cervical spine?
Lordotic
3 multiple choice options
In the image, 'C' represents:
Intervertebral foramen (C5-6)
2 multiple choice options

In order to remove a cervical collar in a trauma situation, the patient must be cleared with both a horizontal beam lateral cervical spine x-ray and AP Axial Cervical Spine x-ray.
False
1 multiple choice option
In the cervical spine, there are _____ foramina that run vertically.
3
3 multiple choice options
Which of the following is (are) best demonstrated in the oblique position of the cervical vertebrae?
1. Pedicles
2. Disk spaces
3. Apophyseal joints
1 only
3 multiple choice options