1/222
Looks like no tags are added yet.
Name | Mastery | Learn | Test | Matching | Spaced | Call with Kai |
|---|
No analytics yet
Send a link to your students to track their progress
What are the major LN of the Head and Neck
Buccinator
*Jugular
Submandibular
Submental
Cervical
Retropharyngeal
*Jugulodigastric
What are the major LN of the breast
Axillary
Internal Mammary
S’Clavs
What are the major LN of the Lung
Intrapulmonary
Bronchopulmonary
Mediastinal
Hilar
Interlobar
What are the major LN of the Esophagus
*Internal Jugular
*Cervical
Paraoesophageal
S’Clavs
Hilar
Subcarinal
Celiac axis
What are the major LN of the Upper Abdomen
Mesenteric
Celiac
Para-aortic
Porta Hepatic
Paracaval
Pancreaticoduodenal
What are the major LN of the Lower Abdomen/Pelvis
Internal Iliac
External Iliac
Common Iliac
Obturator
Perirectal
What are the major LN of the Lower Pelvis/External Genitalia
Inguinal
Superficial Femoral
Deep Femoral
The Oral Cavity drains to which lymph nodes
Buccinator
JD
Submandibular
Submental
The Nasopharynx drains to what LN
Cervical
Retropharyngeal
*JD
The Oropharynx drains to what LN
*JD
Upper Cervical
Submandibular
Parapharyngeal
The Hypopharynx drains to what LN
Midcervical
*Jugular
Retropharyngeal
Salivary glands drain to what LN
Facial group
Submandibular
Ipsilateral Parotid
Thyroid drains to what LN
*Internal Jugular
Anterior Cervical
Pretracheal
Paratracheal
Where does the Buccinator LN lie
On the cheek, near the angle of the mouth
Where does the Buccinator LN drain further to?
Submandibular
The Buccinator LN receives lymph from what structures
Oral Cavity &
Nose
Eyes
Cheek
Jugular LN are a broad group of _______ _______ LN
Deep Cervical
Jugular LN run along the _______ _______ vein
Internal Jugular
The JD LN is a specific node within the _________ ________ group
Superior Jugular
T/F: All JD nodes are Jugular nodes
True
Are all Jugular nodes JD nodes?
No
What are the 3 main Jugular node group
Superior
Middle
Inferior
The superior group of the Jugular nodes are known as the _____________ nodes
Jugulodigastric
The internal jugular vein extends from the ________ __ ___ ______ to the ________
Base of the skull; Clavicle
What structures generally drains into the JD nodes
Tonsils
Pharynx
Mouth
Face
The Jugulodigastric nodes are also known as the ___________ nodes
Subdigastric
Where are the submandibular LN
Right below the lower jaw line, above the Mylohyoid muscle

What muscle is this
Mylohyoid
Thyroid cartilage vs. Hyoid bone vs. Cricoid cartilage vs. Trachea
Where are they in relation to each other (sup to inf)
Hyoid
Thyroid
Cricoid
Trachea
The Hyoid is a ____-shaped bone
U

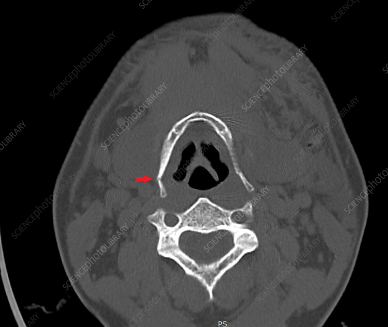
What structure is the arrow pointing to
Hyoid

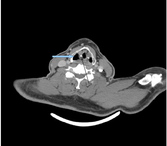
What structure is the blue arrow pointing to
Thyroid

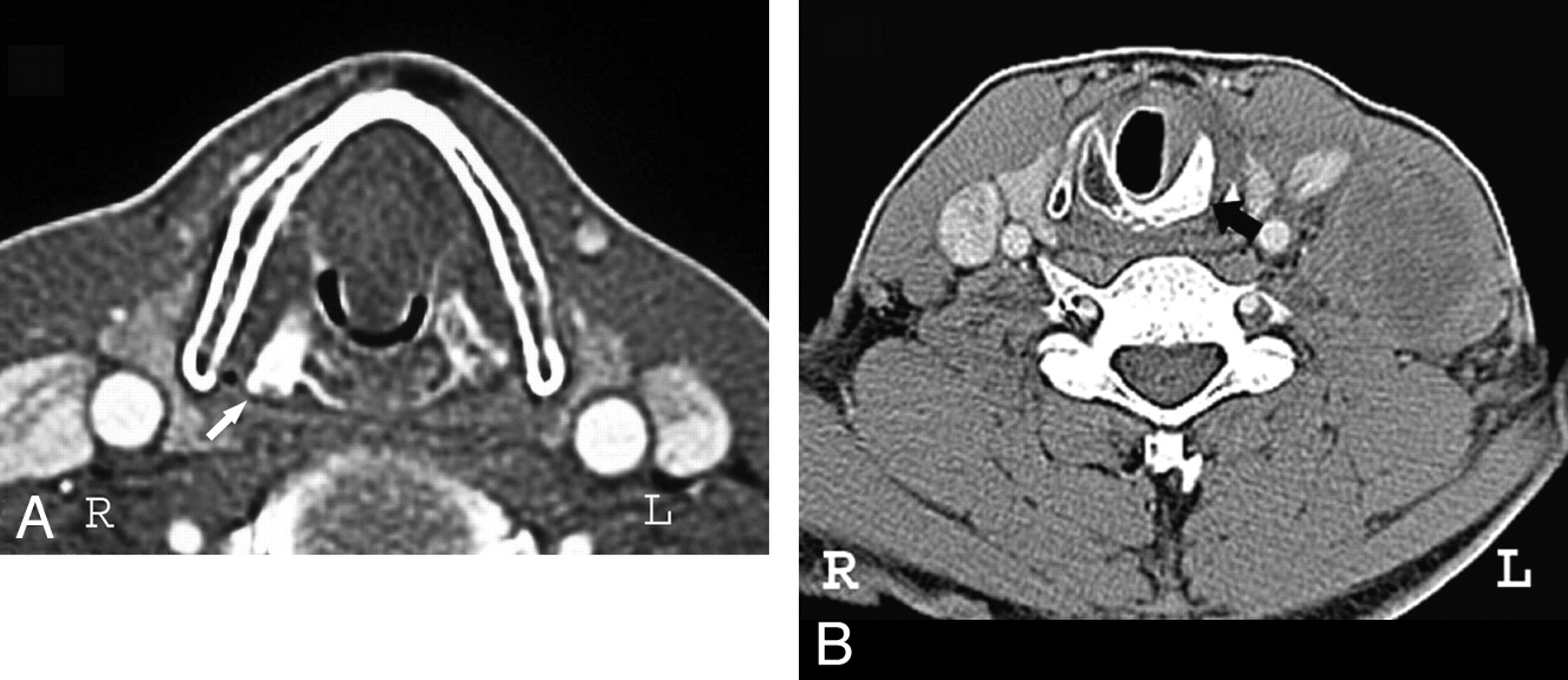
What structure is the white arrow on the left pointing to?
Cricoid
Where is the Cricoid in relation to the Thyroid
Right below thyroid
Thyroid vs. Cricoid, anatomically
Thyroid is right above thyroid - Looks like “^”
Cricoid comes in right underneath it, like a “u”
What Vertebral Level is the Hyoid Bone
C3
What structures are around C3
Hyoid Bone
End of Oropharynx
Beginning of Nasopharynx
What vertebral level is the Thyroid Cartilage
C4
What structures are at C5
Thyroid Cartilage
Thyroid Gland
What is the vertebral level of Cricoid Cartilage
C6
At what vertebral level does the Oropharynx end
C4
At what Vertebral Level does the Hypopharynx start
C4
What vertebral level does the Hypopharynx extend to
C6
What Vertebral level does the Larynx extend from
C3-C6
The Larynx is suspended from the _______ bone
Hyoid
What structures support the larynx
Thyroid cartilage
Cricoid cartilage
What vertebral structure does the Larynx end
C6
What structures are found at C6
Cricoid cartilage
Hypopharynx
End of Larynx
What happens at the Cricoid cartilage
Larynx ends and Trachea begins
At C6, what does the Hypopharynx extend to (become)?
Esophagus
C6 marks the end of what 2 structures
Larynx
Pharynx
The Larynx acts as a bridge between what two structures
Pharynx
Trachea
What important structure in the Larynx regulates what goes down the Pharynx vs. Trachea
Epiglottis
The ________ (trachea/pharynx) serves as a passageway for food/water/air
Pharynx
The trachea extends to which organ
Lungs
The _________ (trachea/pharynx) conducts air from the Larynx to the Lungs
Trachea
Which structure is termed the “voice box”
Larynx
The ________ (trachea/pharynx) is composed of cartilage
Trachea
The ________ (trachea/pharynx) is composed of muscle
Pharynx
Does the pharynx have lymph nodes
Yes
Does the Trachea contain lymph nodes
No
Which lymph nodes are associated with the Trachea
Paratracheal
Pretracheal
Where are the Paratracheal LN
On the sides of the trachea
Where are the Pretracheal LN
Anterior to the trachea
The ___(Pre/Para) Tracheal LN drain from the Thyroid gland and Trachea itself
Pre
The ____(Pre/Para) Tracheal LN drain the Thyroid, Lung, and Hilum
Para
Which LN drains the trachea
Pretracheal
The Epiglottis is part of which structure
Larynx
The Larynx is _______ (anterior/posterior) to the Pharynx
Anterior
Which pharynx is the Larynx anterior to?
Hypopharynx
Caudal means
Towards the feet
Another name for Hypopharynx
Laryngopharynx
Why is it called the Laryngopharynx
Because this is where the Larynx connects to both the pharynx and the trachea
The Hypopharynx divides to form what 2 structures
Larynx
Esophagus
Is there LN involvement in the Larynx as a whole
Yes
Does the Glottis have LN involvement
No
What LN drain the Supraglottis
Upper Deep Cervical
Jugulodigastric
Mid Jugular
T/F: The Supraglottis is rich in Lymph nodes
True
T/F: The Supraglottis has high chance of cancer mets
True
A JD node is a specific type of ________ node
Jugular
______ nodes often refer to a group of nodes along the Deep Cervical chain along the Internal Jugular Vein
Jugular
The Upper Jugular Nodes extend from what structures
Skull Base
Inferior Hyoid
The Middle Jugular Nodes extend from what structures
Inferior Hyoid
Inferior Cricoid
The Lower Jugular Nodes extend from what structures
Inferior Cricoid
Clavicle
What is the term for all of the LN in the neck
Deep Cervical Chain
Are Jugular Nodes essentially the same as Deep Cervical nodes
Yes
What LN drain the Subglottis
Paratracheal
Prelaryngeal
Inferior Deep Cervical
PreLaryngeal nodes are also known as ______ nodes
Delphian
Larynx mets via what routes
LN
Hematogenous spread
The most common site for distant Laryngeal mets
Lungs
Hematogenous spread means via
bloodstream
Where are the Retropharyngeal LN located
Behind the pharynx
What vertebral level are the Retropharyngeal LN
C1-C3
Which pharynx are the Retropharyngeal nodes by
Nasopharynx
Are Submaxillary and Submandibular the same
Yes
The Submandibular LN drain what 3 structures in particular
Salivary Glands
Oral Cavity
Oral Pharynx
Retropharyngeal LN drain what structure in particular
Pharynx
Where is the extraglandular parotid LN
Right outside the Parotid gland
The Parotid LN are subdivided into what 2 LN groups
Preauricular
Infraauricular
Parotid LN are associated with tumors what what structures
Salivary Glands