1/27
Looks like no tags are added yet.
Name | Mastery | Learn | Test | Matching | Spaced | Call with Kai |
|---|
No analytics yet
Send a link to your students to track their progress
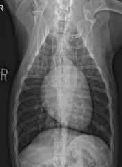
Where is the heart positioned?
3-6th ribs
How many IC spaces does do the ventricles occupy?
2.5-3.5 spaces
What can cause dorsal deviation of the bronchus?
Left atrial enlargement

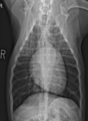
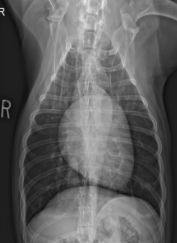
What sign is this?
Bacpack sign - L. atrial enlargement
How much of the IC spaces do cats ventricles occupy?
2-2.5 IC spaces
How far is the heart and diaphragm seperate?
1-2 IC spaces

What is at 12-1 oclock
Aorta

What is at 1-2 oclock
Pulmonary artery

WHat is at 2-3 oclock?
Auricular appendage

What is at 3-6 oclock?
left ventricle

What is at 6-9 oclock?
Rigt ventricle

What is at 9-12 oclock?
right atrium
Where is the left atrium located?
between the main stem bronchi and not seen unless enlarged

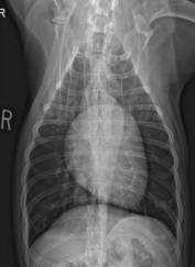
What sign is this?
Bowlegged Cowboy Sign - L. atrial enlargement
True or False: If you can see the pulmonary vessels, it is a vascular pattern.
False. It is only present when they are enlarged
How large should the pulmonary vesels be?
less than ¾ of 4th rib diameter
Where are veins located?
ventralW and central
hat view makes it easier to see caudal lobar vessels?
DV
What causes the pulmnary arteries enlarge?
Heartworm and hypertension
What causes the pulmonary veins to enlarge?
Mitral regurg. and cardiomyopathy (left heart disease)
Enlarged arteries and veins?
congenital heart dsease like PDA or shunt
Decreased artery and vein size?
congenital heart defecrs like stenosis and right to left shunt
The heart should take up no more than _____ of thoracic cavity?
60-65%

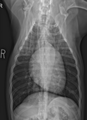
ID View
VD

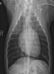
ID View
DV

ID View
Left Lateral

ID View
Right lateral
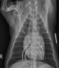
Which crura does the CVC enter?
right crura