1/54
Looks like no tags are added yet.
Name | Mastery | Learn | Test | Matching | Spaced | Call with Kai |
|---|
No analytics yet
Send a link to your students to track their progress

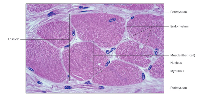
Label the following: Skeletal muscle fibers under a micrograph


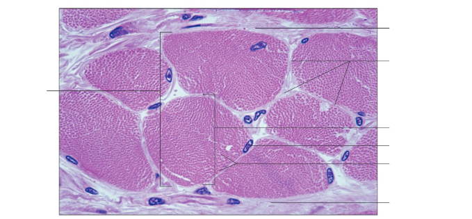
Label the following: Fascicle under a microscope


Label the following: Structures of a skeletal muscle


Label the following:


Label the following:
sacromere
Z lines
I bands
A bands

Label the following (F1-F6); what type of muscles are these?
frontalis
temporalis
platysma
orbicularis oculi
masseter
orbicularis oris
→facial muscles

Label the following (L1-L6): What type of muscles are these?
fibularis longus
tibialis anterior
extensor digitorum longus
gastrocnemius
soleus
→leg muscles

Label the following: N2; What type of muscles are these?
sternocleidomastoid
→neck muscles

Label the following: S2; What type of muscles are these?
deltoid
→shoulder muscles

Label the following: AR2; What type of muscles are these?
biceps brachii
→arm muscles

Label the following (FO2-4): What type of muscles are these?
brachioradialis
flexor carpi radialis
palmaris longus
→forearm muscles

Label the following (T1-2); What type of muscles are these?
pectoralis major
serratus anterior
→thorax muscles

Label the following (AB1-4): What type of muscles are these?
rectus abdominis
external oblique
internal oblique
transverse abdominis
→abdominal muscles

Label the following (H1-H2); What type of muscles are these?
gluteus medius
gluteus maximus
→hip bone

Label the following (B1); What type of muscles are these?
latissimus dorsi
→back muscles

Label the following (TF3, 6-11, 12, 13); What type of muscle is this?
sartorius
gracilis
rectus femoris
vastus lateralis
vastus medialis
bicep femoris
semitendinosus
semimembranosus
→ thigh muscles

Label the following: ALL highlighted


Label the following:


Label the following:


Label the following: Muscle of Facial Expression
temporalis
occipitalis
masseter
sternocleidomastoid
platysma
frontalis
orbicularis oculi
(zygomaticus minor)
zygomaticus major
orbicularis oris
buccinator

Label the following: muscle of mastication
lateral pterygoid
medial pterygoid
(masseter + temporalis)

Label the following: Neck
semispinalis capitis
splenius capitis

Label the following: Facial Expression contractions
epicranius/frontalis
zygomaticus major
orbicularis oculi
orbicularis oris
platysma

Label the following: Muscles of the head and neck
(Upper photo)
frontalis
temporalis
orbicularis oculi
zygomaticus minor
zygomaticus major
masseter
orbicularis oris
buccinator
sternocleidomastoid
(Lower photo)
frontalis
temporalis
orbicularis oculi
zygomaticus minor
zygomaticus major
masseter
buccinator
orbicularis oris
sternocleidomastoid

Label the following: Posterior shoulder
trapezius
deltoid
latissimus dorsi
levator scapulae
supraspinatus
infraspinatus
teres minor
teres major
rhomboid major

Label the following: Anterior chest
pectoralis minor
internal intercostal
pectoralis major
deltoid
serratus anterior

Label the following: posterior and anterior shoulder and arm
(a)
levator scapulae
supraspinatus
deltoid
teres minor
teres major
triceps brachii
(b)
deltoid
subscapularis
biceps brachii
brachialis

Label the following: Anterior and Posterior forearm
(a)
pronator teres
brachioradialis
flexor carpi radialis
palmaris longus
(b)
flexor carpi ulnaris
extensor carpi ulnaris
extensor carpi radialis longus
extensor digitorum

Label the following: muscles
(a)
trapezius
deltoid
pectoralis major
rectus abdominis
sternocleidomastoid
biceps brachii
serratus anterior
external oblique
(b)
deltoid
trapezius
infraspinatus
biceps brachii
triceps brachii
teres major
latissimus dorsi

Label the following: Muscle
pectoralis major
serratus anterior
biceps brachii
trapezius
deltoid
triceps brachii
brachioradialis

Label the following: Deep back muscles
longissimus (intermediate group)
spinalis (medial group)
iliocostalis (lateral group)

Label the following: abdominal wall
external oblique
internal oblique
transverse abdominis
rectus abdominis

Label the following: male/female pelvic floor and perineum
(a)
bulbosponglosus
ischiocavernosus
superficial transversus perinei
levator ani
(b)
ischiocavernosus
bulbosponglosus
superficial transverse perinei
levator ani

Label the following: anterior hip and thigh
tensor fasciae latae
sartorius
rectus femoris
vastus lateralis
vastus medialis
psoas major
iliacus
adductor longus
gracilis

Label the following: lateral right hip and thigh
gluteus medius
gluteus maximus
biceps femoris
tensor fasciae latae
rectus femoris
vastus lateralis

Label the following: Posterior right hip and thigh
adductor magnus
gracilis
gluteus medius
gluteus maximus
biceps femoris
semitendinosus
semimembranosus

Label the following: Anterior right leg
fibularis longus
tibialis anterior
extensor digitorum longus

Label the following: Lateral right leg
gastrocnemius
soleus
fibularis longus
tibialis anterior
extensor digitorum longus
fibularis brevis

Label the following: posterior right leg
gastrocnemius
soleus

Label the following: Lower limb
rectus femoris
vastus medialis
vastus lateralis
sartorius
tibialis anterior
gastrocnemius
soleus

Label the following: Muscle model
Iliopsoas
tensor fasciae latae
sartorius
gracilis
adductor magnus
rectus femoris
vastus lateralis
vastus medialis

Label the following
gastrocnemius
soleus
extensor digitorum longus
tibialis anterior
flexor digitorum longus

Label the following: Meninges
cerebrum
thalamus
hypothalamus
diencephalon
pons
medulla oblongata
spinal cord
gyrus
sulcus
corpus callosum
midbrain
cerebellum

Label the following: 5 lobes
frontal lobe
insula
temporal lobe
parietal lobe

Label the following: Functional areas of the cerebrum
motor area for voluntary muscle control
broca’s area
auditory area
cutaneous sensory area
wernickes area
visual area

Label the following: Cranial nerve
olfactory nerve
optic nerve
oculomotor nerve
trochlear nerve
trigeminal nerve
abducen nerve
facial
vestibulocochlear
glossopharyngeal
vagus
accessory
hypoglossal

Label the following: Spinal cord
subarachnoid
spinal cord
posterior root
anterior root
body of vertebrae
epidural space
grey matter

Label the following: Cross section of the spinal cord
posterior horns
lateral funiculus
anterior horns
central canal
gray commissures
anterior median fissure
anterior funiculus

Label the following: Meninges
pia mater
arachnoid mater
dura mater

Label the following: cross section with spinal nerve roots
gray matter
posterior root of spinal nerve
posterior root ganglion
anterior root of spinal nerve
central canal
posterior median sulcus
white matter
anterior median fissures

Label the following: cross section model of the spinal cord
posterior funiculus
posterior horns
central canal
lateral horns
grey commissures
anterior median fissure
anterior funiculus
anterior horns
lateral funiculus
posterior median sulcus

Label the following: Sagittal section of the human brain
corpus callosum
thalamus
hypothalamus
diencephalon
midbrain
pons
medulla oblongata
brainstem
cerebrum
cerebellum

Label the following:
olfactory
optic
oculomotor
trigeminal
abducen
facial
hypoglossal
vestibulocochlear
glossopharyngeal
vagus
accessory

Label the following:
cerebrum
corpus callosum
pineal gland
cerebellum
thalamus
midbrain
medulla oblongata
hypothalamus
pons

Know the structure and function: