1/20
Looks like no tags are added yet.
Name | Mastery | Learn | Test | Matching | Spaced | Call with Kai |
|---|
No analytics yet
Send a link to your students to track their progress

nabłonek jednowarstwowy płaski : spłaszczone jądra widoczna błona podstawna

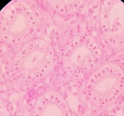
nabłonek jednowartswowy sześcienny : prawie równe wymiary wysokości i szerokości , centralnie położone jądro kom ,

nabłonek jednowarstwowy walcowaty z kreski :wysokie prostokątne kom , wydłużone jądra leżące przy błonie podstawnej , na szczytowej powierzchni znajdują się mikrokosmki

nabłonek wielorzędowy migawkowy: kilka rozmiarów kom ale wszystkie na błonie podstawnej , jądra kom na różnych powierzchniach , na wolnej powierzchni widzimy rzęski

nabłonek wielowarstwowy płaski: wiele warstw kom , im bliżej powierzchni tym bardziej płaskie kom , nie wszytkie kom leżą na warstwie podstawnej

tkanka łączna włóknista z krezki : widoczne na preparacie pęczki włókien kolagenowych i sprężystych , utkanie włókien nie jest gęste

tkanka łączna o regularnym układzie włókien kolagenowych: regularnie i równolegle do siebie ułożone włókna , szeregi ranivera ( fibrocyty ułożone między pęczkami włókien)

tkanka kostna blaszkowata zwarta : widoczne osteony , jamki kostne zawierające osteocyty , przestrzenie międdzy osteonami wypełnione blaszki międzsystemowe

chrzęstna spreżysta :widoczne hondrocyty (kom tk chrzęstnej), posiada włókna sprężyste, niewielka ilość włókien kolagenowych

chrząstka włóknista : obecność licznych włókien kolagenowych, jamki chrzęstne występują w szeregach ograniczonymi pęczkami włókien

chrząstka szklista : chrząstka jest pokryta ochrzęsna w niej widoczne fibroblasty, wiecej subst. miedzykom. niż kom., włókna kolagenowe ułożone nieregularnie

mięśniowa poprzecznie prążkowana serca: widoczne WSTAWKI , w przekroju podłużnym widoczne miofibryle, widoczne naczynia krwionośne, kariocyty to mono- lub bikariocyty z jądrem położonym centralnie

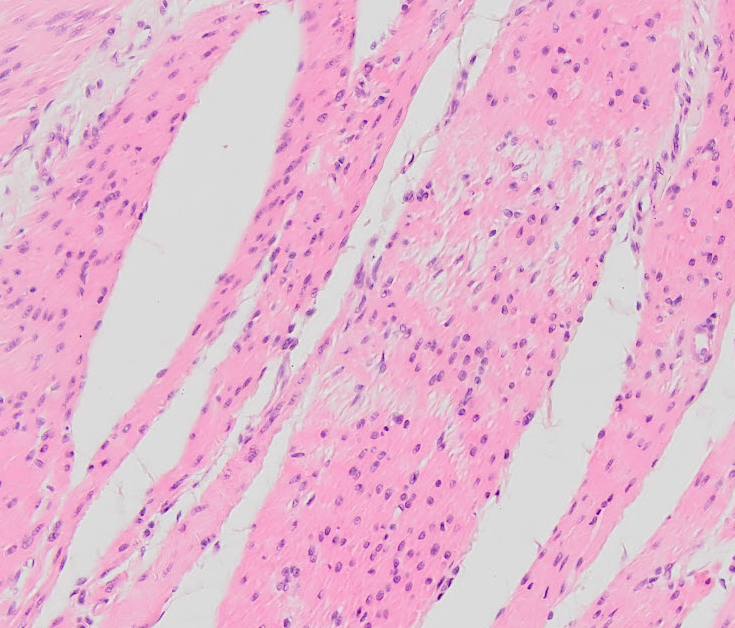
tkanka mięśniowa gładka: miocyty o wydłużonym wrzecionowatym kształcie,

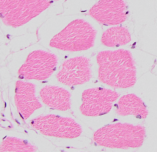
mięśniowa poprzecznie prążkowana: widoczny pęczek włókien, omięsna(między pęczkami) ,śródmięsna (wokół pęczków), widoczne włókna mięśniowe w pęczkach

aparat golgiego: wysrebrzony aparat golgiego który rozpadł się przez przygotowanie szkiełka

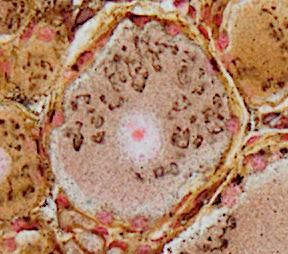
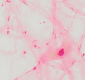
izolowane kom nerwowe: perikarion z jądrek kom., liczne wypustki cytoplazmatyczne odchodzące z komórki, w otoczeniu kom. glejowe

izolowane włókna nerwowe: widoczna osłonka mielinowa, widoczne przerwy w otoczce mielinowej- przewężenia Ranivera

pień nerwowy: widoczne pęczki nerwowe tworzące pień nerwowy, luźne utkanie co umożliwia przemieszczanie się poszczególnych włókien w obrębie nerwu, pojedyncze włókna otoczone śródnerwiem

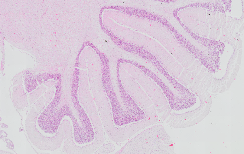
Korę móżdżku tworzy istota szara. W korze móżdżku znajdują się trzy warstwy komórek :
(1) Warstwa zewnętrzna drobinowa – komórki tej warstwy ułożone są w dwa pokłady: powierzchowny z małymi komórkami gwiaździstymi oraz głęboki z dużymi komórkami wielowypustkowymi (zwanych komórkami koszyczkowymi) tworzącymi liczne kolateralia z komórkami warstwy zwojowej;
(2) Warstwa środkowa zwojowa – utworzona przez szereg dużych komórek nerwowych zwanych komórkami gruszkowatymi (dawniej zwane komórkami Purkiniego), które stanowią pojedynczą warstwę;
(3) Warstwa wewnętrzna ziarnista – leży najbliżej istoty białej, utworzona przez małe komórki z ciemno barwiącymi się jądrami;

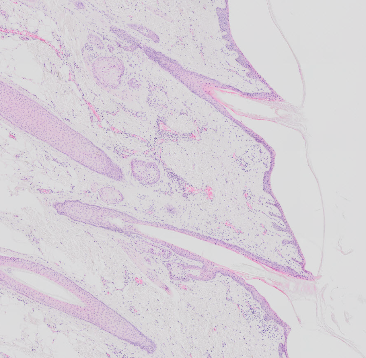
skóra nieowłosiona:od góry otwory wyprowadzające gruczołów potowych,warstwa rogowaciejąca ,warstwa jasna(warstwa z zanikniętnymi organellami , kwasochłonna), warstwa ziarnista (warstwa z kwasochłonnymi ziarnistościami)

skórka owłosiona: