1/185
Looks like no tags are added yet.
Name | Mastery | Learn | Test | Matching | Spaced | Call with Kai |
|---|
No analytics yet
Send a link to your students to track their progress
Pseudounipolar Cell - Sensory
Name Type of Neuron and its Function

Multipolar Neuron - Motor
Name Type of Neuron and its Function

Axon
Name Nerve Root

Myelin Sheath
Name Protective Covering

Multipolar Pyramidal Cell - Motor
Name Cell Type and its Function/Name Type of Neuron and its Function

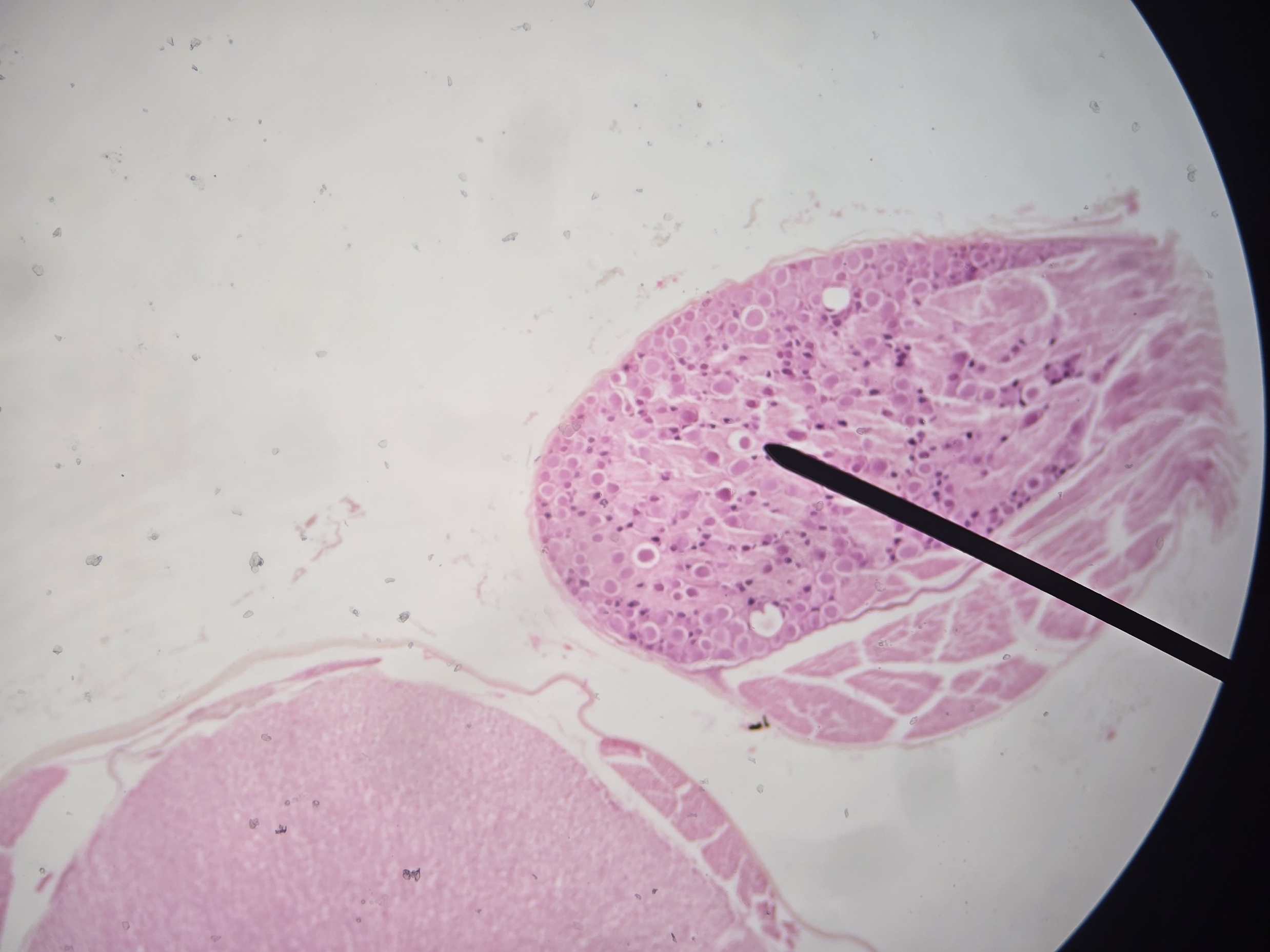
Dorsal Root Ganglion - pseudounipolar neurons - sensory
Name Root/Structure, Be Specific and its Function

Purkinje Cell - Motor
Name Cell Type and its Function/Name Type of Neuron and its Function

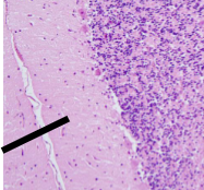
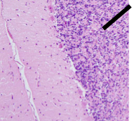
Gray Matter
Name Region/Part of Brain, Be Specific

White Matter
Name Region/Part of Brain, Be Specific

Epineurium
Name Connective Tissue Layer

Perineurium
Name Connective Tissue Layer

Endoneurium
Name Connective Tissue Layer

Dura Mater
Name Connective Tissue Layer, Be Specific (#31)

Arachnoid Mater
Name Connective Tissue Layer, Be Specific (Blue layer)

Pia Mater
Name Connective Tissue Layer, Be Specific

Dorsal Root/Posterior Root
Name Root/Structure, Be Specific (#23)

Ventral Root/Anterior Root
Name Root/Structure, Be Specific (#25)

Dorsal Root Ganglion
Name Root/Structure, Be Specific (#24)

Cerebrum
Name Major Region/Major Part of the Brain (All The Lobes)

Diencephalon
Name Major Region/Major Part of the Brain

Brain Stem
Name Major Region/Major Part of the Brain

Cerebellum
Name Major Region/Major Part of the Brain

Sulcus
Name the Grooves of the Brain?
Gyrus
Name the Ridges of the Brain?
Longitudinal Fissure
Name Region/Part of Brain, Be Specific

Frontal Lobe
Name Region/Part of Brain, Be Specific (#1)

Parietal Lobe
Name Region/Part of Brain, Be Specific (#2)

Temporal Lobe
Name Region/Part of Brain, Be Specific (#4)

Occipital Lobe
Name Region/Part of Brain, Be Specific (#3)

Corpus Callosum
Name Region/Part of Brain, Be Specific (#10)

Pituitary Gland
Name Region/Part of Brain, Be Specific (#8)

Thalamus
Name Region/Part of Brain, Be Specific (#6)

Hypothalamus
Name Region/Part of Brain, Be Specific (#14)

Midbrain
Name Region/Part of Brain, Be Specific

Pons
Name Region/Part of Brain, Be Specific (#10)

Medulla Oblongata
Name Region/Part of Brain, Be Specific (#11)

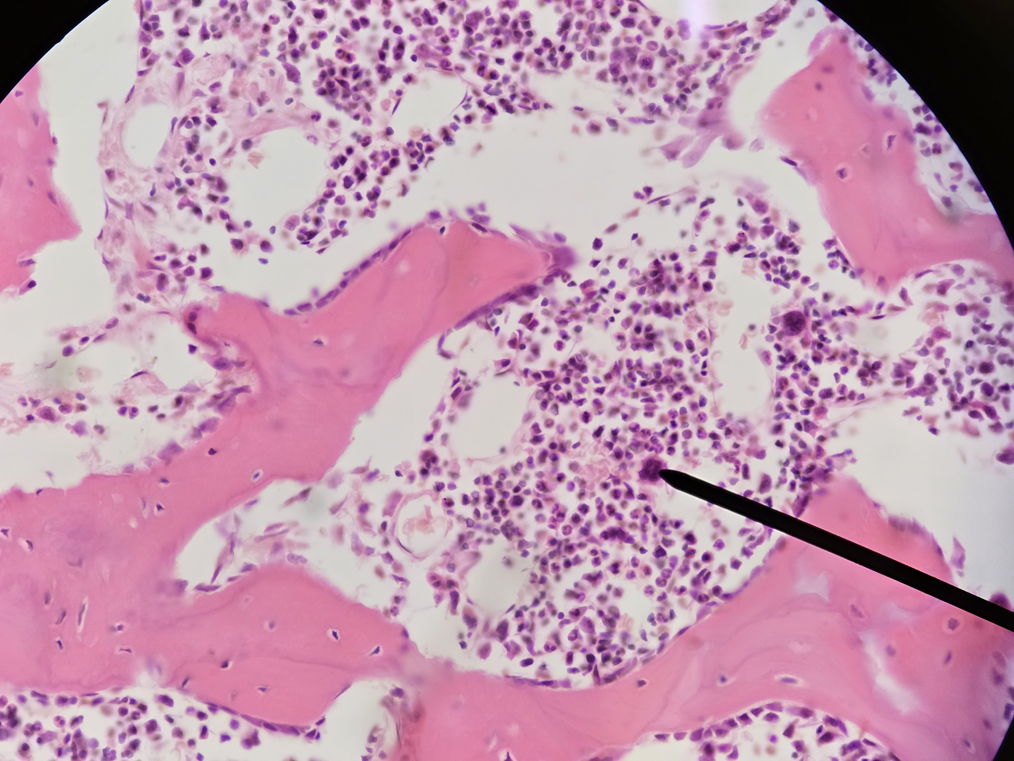
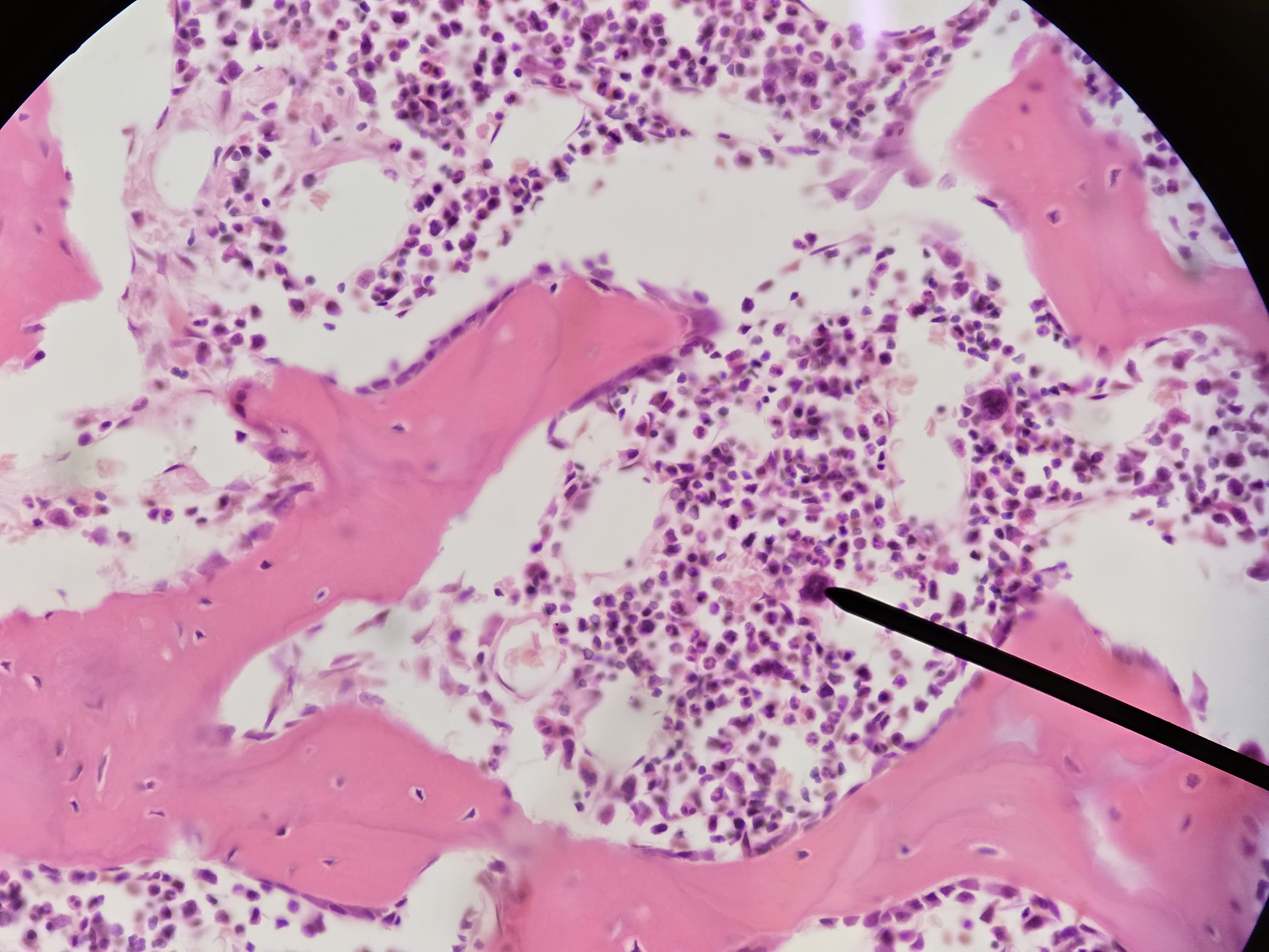
Osteocyte - phosphorus metabolism
Name Cell/Name Cell and its Function

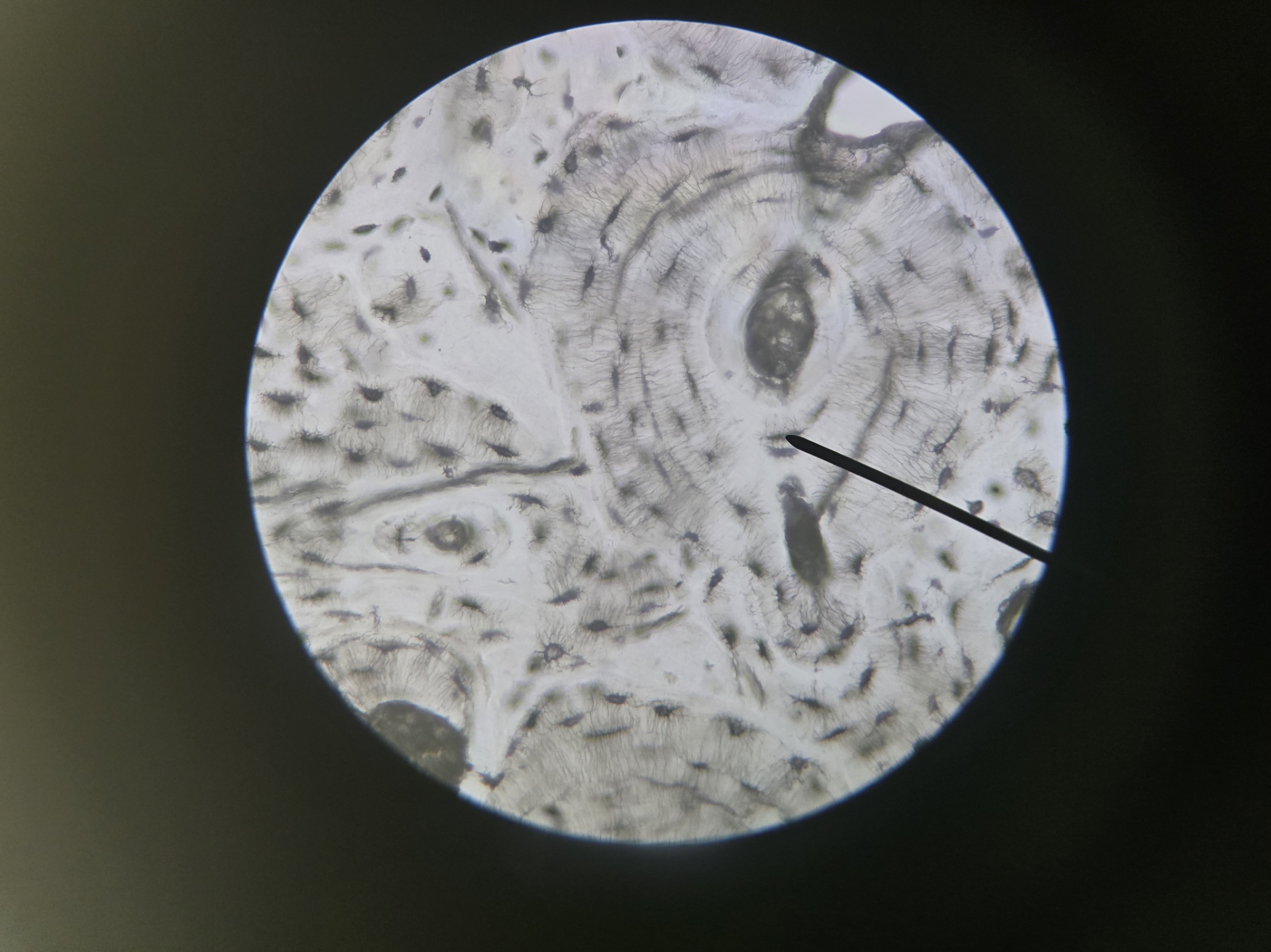
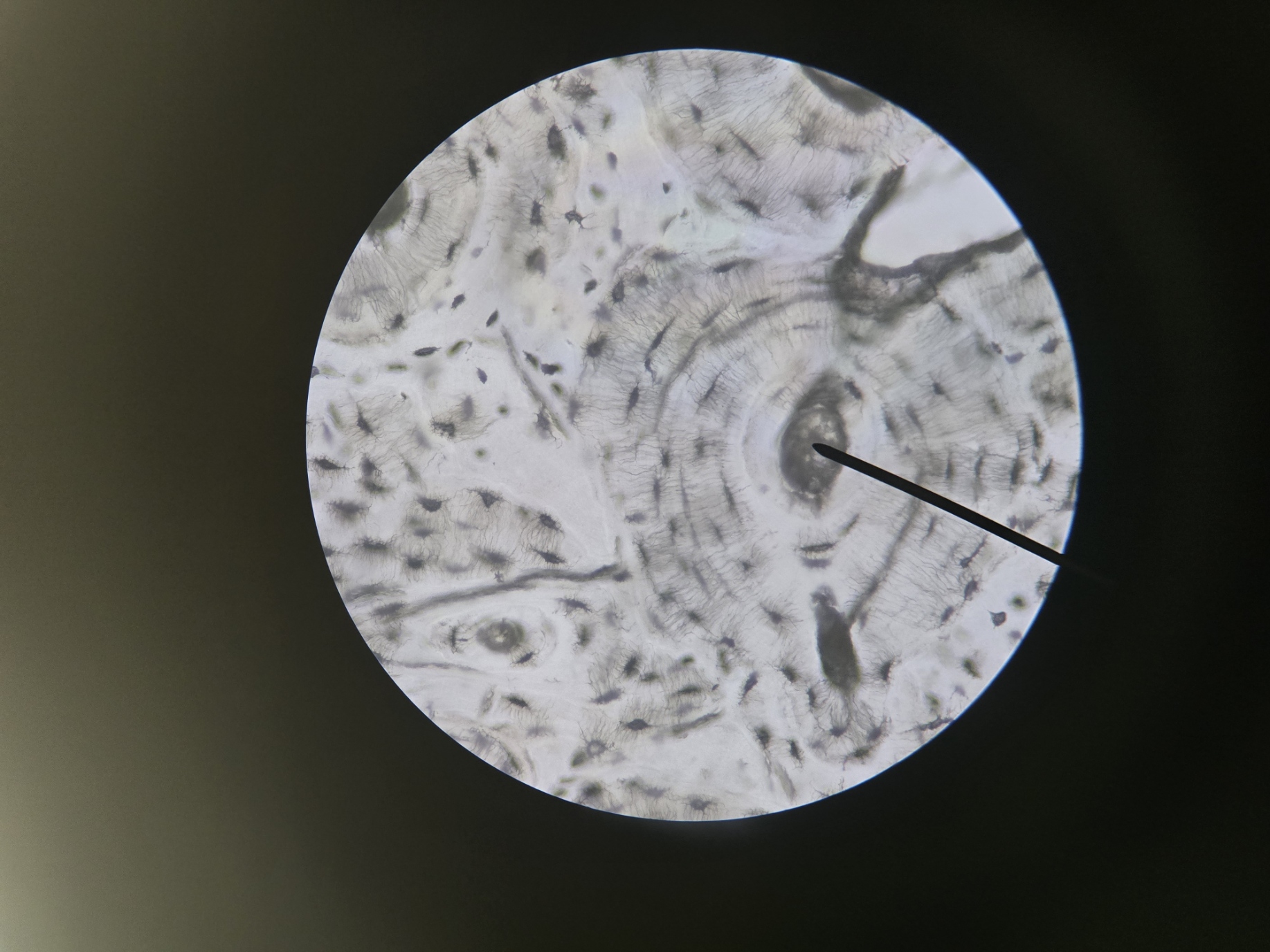
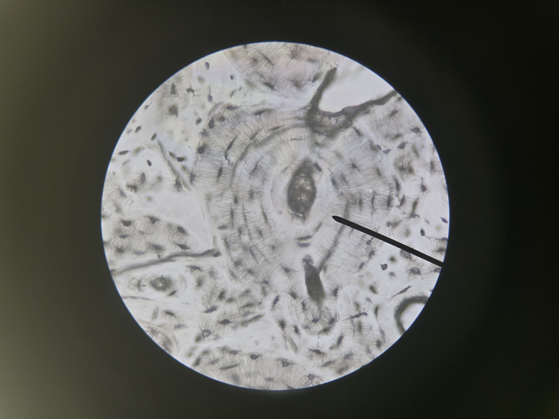
Concentric Lamellae
Name Tissue Layer, Be Specific

Haversion/Central Canal
Name Structure, Be Specific

Osteon
Name Structure

Interstitial Lamellae
Name Tissue Layer, Be Specific

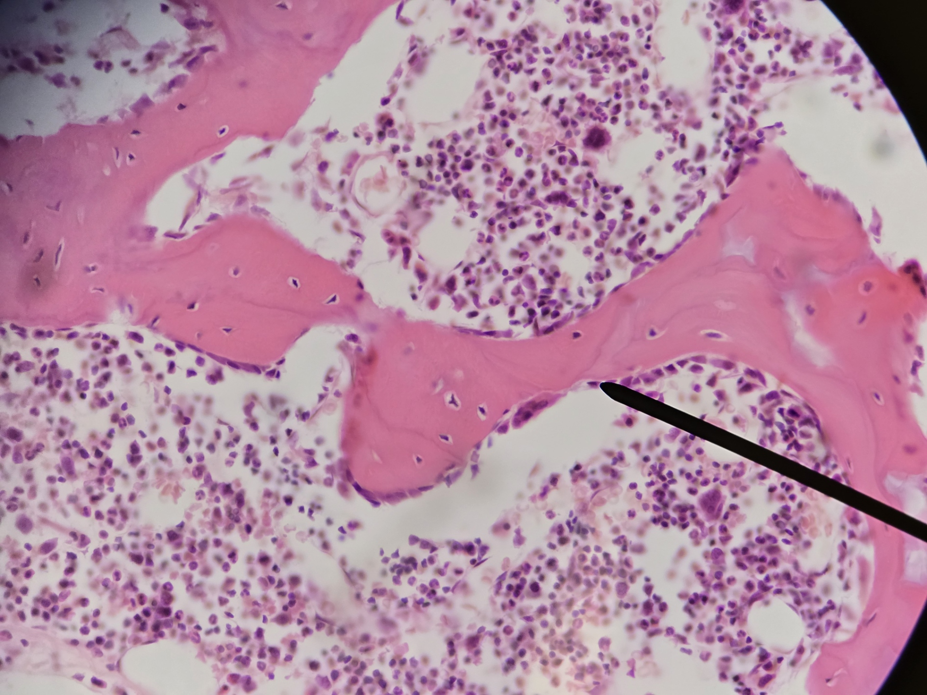
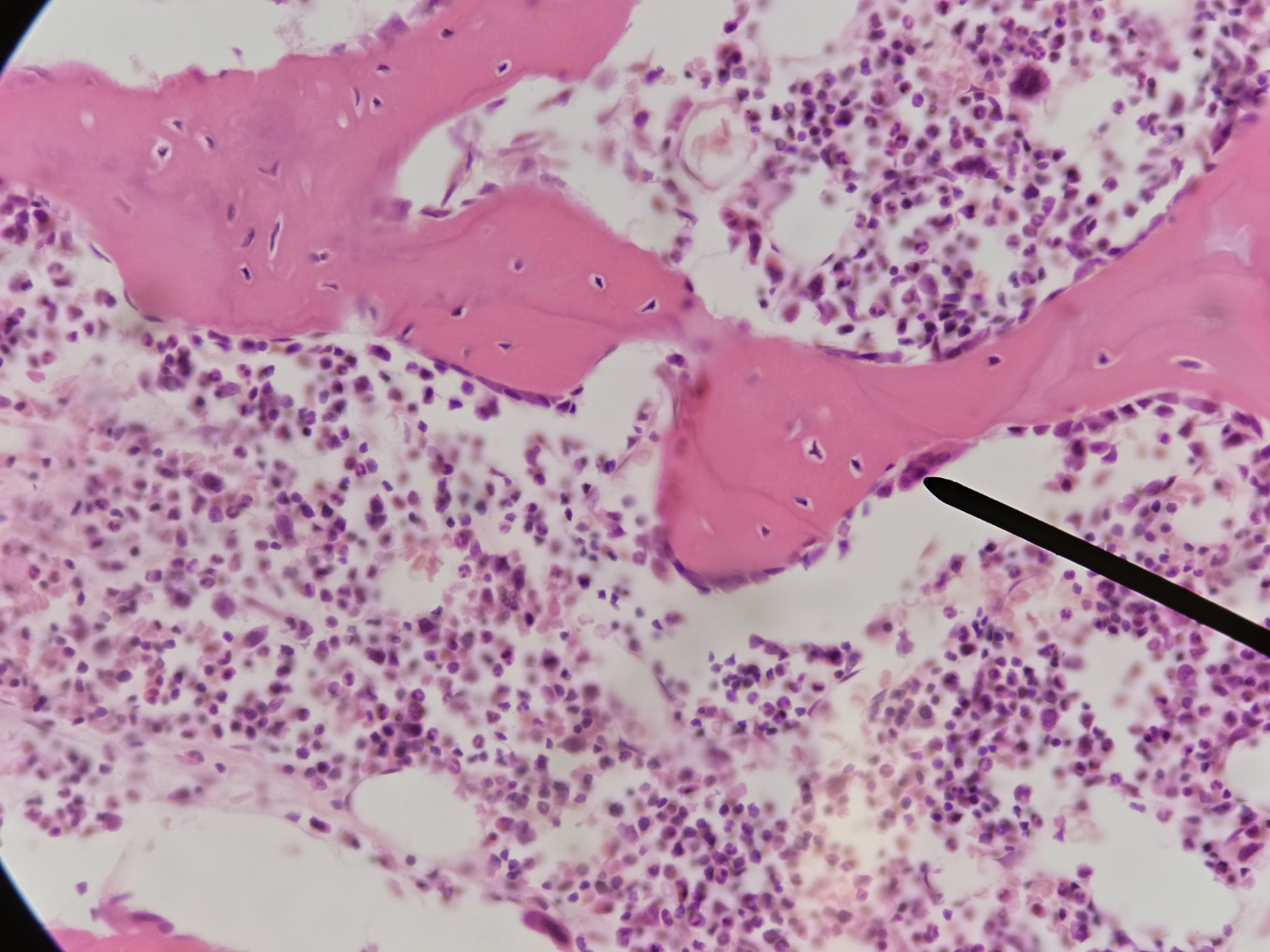
Osteoblast - acts to form new bone
Name Cell/Name Cell and its Function

Osteoclast - degrades bone to initiate bone remodeling
Name Cell/Name Cell and its Function

Megakaryocyte - secretes platelets
Name Cell and Its Function

Bone Marrow
Name Substance That Fills Space

Extracellular (Bony) Matrix
Name Substance That Fills Space

Talus
Name Tarsal Bone

Calcaneus
Name Tarsal Bone

Navicular
Name Tarsal Bone

Cuboid
Name Tarsal Bone

Medial Cuneiform
Name Tarsal Bone

Intermediate Cuneiform
Name Tarsal Bone

Lateral Cuneiform
Name Tarsal Bone

Metatarsals
Name Tarsal Bone

Distal Phalanges
Name Tarsal Bone

Middle Phalanges
Name Tarsal Bone

Proximal Phalanges
Name Tarsal Bone

Periosteum
Name Membrane

Trapezium
Name Carpal Bone

Trapezoid
Name Carpal Bone

Capitate
Name Carpal Bone

Hamate
Name Carpal Bone

Pisiform
Name Carpal Bone

Triquetrum
Name Carpal Bone

Lunate
Name Carpal Bone

Scaphoid
Name Carpal Bone

Metacarpal 5
Name Carpal Bone

7
How many cervical vertebrae are there?
12
How many thoracic vertebrae are there?
5
How may lumbar vertebrae are there?
Olfactory - Sensory: smell
What is the first cranial nerve and what is its function?
Optic - Sensory: vision
What is the second cranial nerve and what is its function?
Oculomotor - Motor: eyes
What is the third cranial nerve and what is its function?
Trochlear - Motor: eyes
What is the fourth cranial nerve and what is its function?
Trigeminal - Sensory: face and head; Motor: eyes
What is the fifth cranial nerve and what is its function?
Abduces - Motor: eyes
What is the sixth cranial nerve and what is its function?
Facial - Sensory: taste; Motor: facial expression
What is the seventh cranial nerve and what is its function?
Vestibulocochlear - Sensory: equilibrium and hearing
What is the eigth cranial nerve and what is its function?
Glossopharyngeal - Sensory: post. mouth and tongue; Motor: salivary glands
What is the ninth cranial nerve and what is its function?
Vagus - Sensory and Motor: pharynx, laryns, abdominal organs; Motor - heart
What is the tenth cranial nerve and what is its function?
Accessory - Motor: sternocleidomastoid and trapezius muscles
What is the eleventh cranial nerve and what is its function?
Hypoglossal - Motor: tongue
What is the twelth cranial nerve and what is its function?
Lacunae
Name Capsules

Canaliculi
Perichondrium
Bone Spicules
Trabeculae
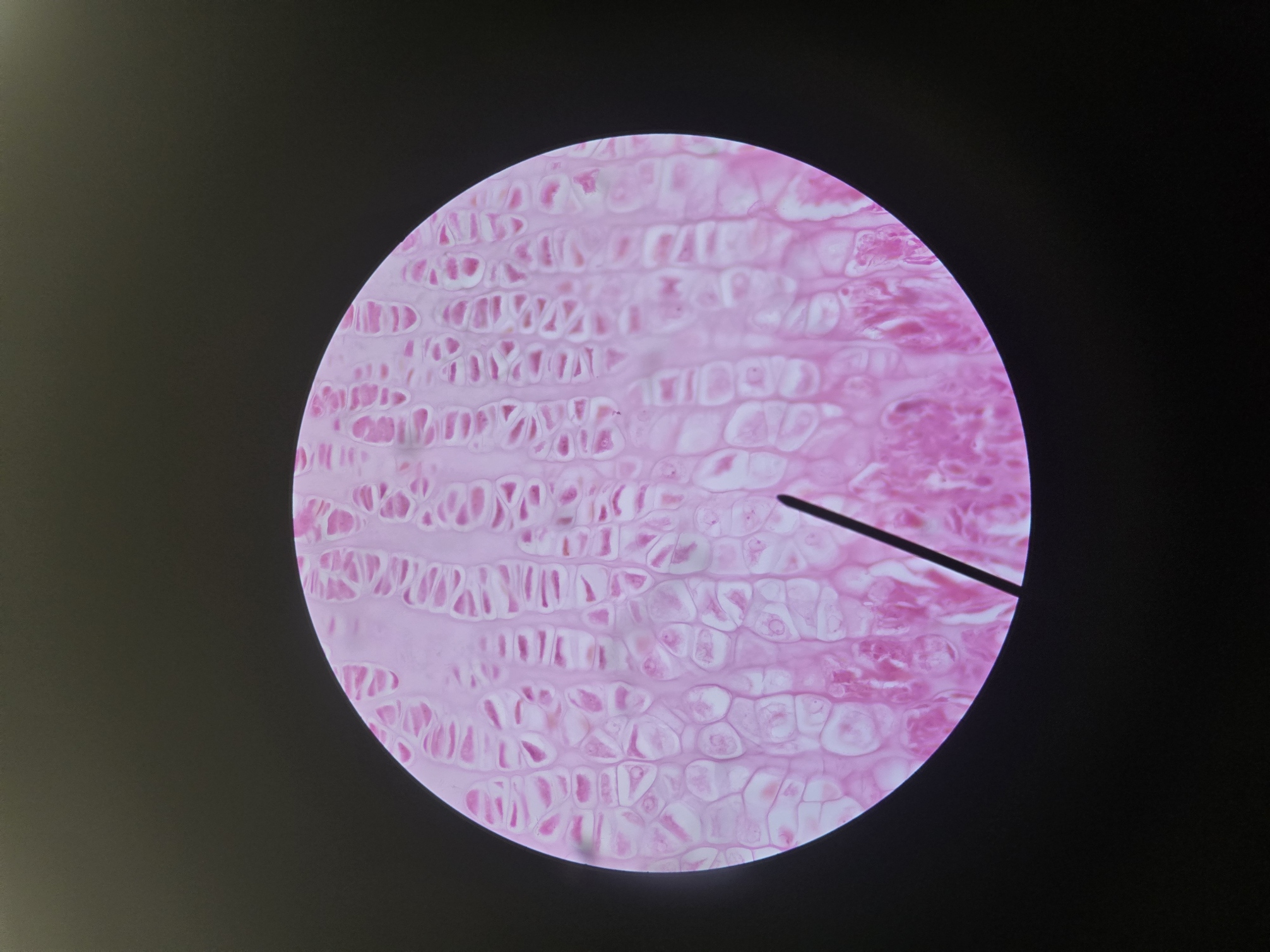
Reserve Zone
Name Zone

Proliferation Zone
Name Zone

Calcification/Hypertrophy Zone
Name Zone

Calcification Zone
Ossification Zone
Frontal Bone
Bone #1

Sphenoid bone
Bone #4

Ethmoid Bone
Bone #14

Lacrimal Bone
Bone #13

Nasal Bone
Bone #12

Zygomatic Bone
Bone #6

Zygomatic Process
Bone #21

Maxilla Bone
Bone #9
