1/27
Looks like no tags are added yet.
Name | Mastery | Learn | Test | Matching | Spaced | Call with Kai |
|---|
No analytics yet
Send a link to your students to track their progress

tkanka nabłonkowa jednowarstwowa płaska

tkanka nabłonkowa jednowarstwowa sześcienna

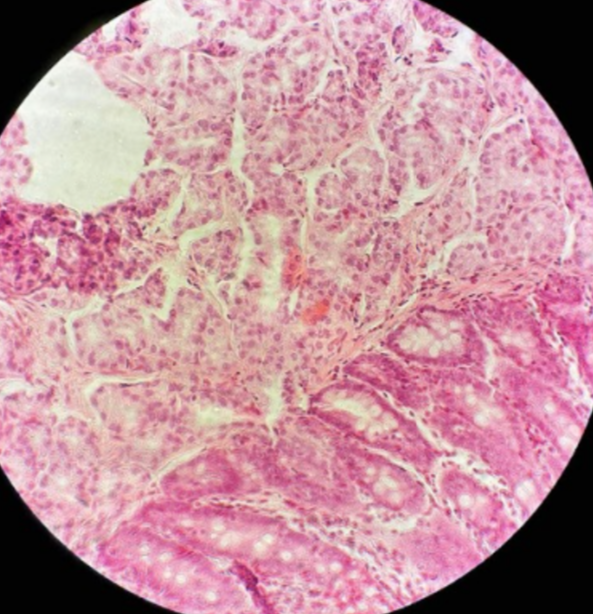
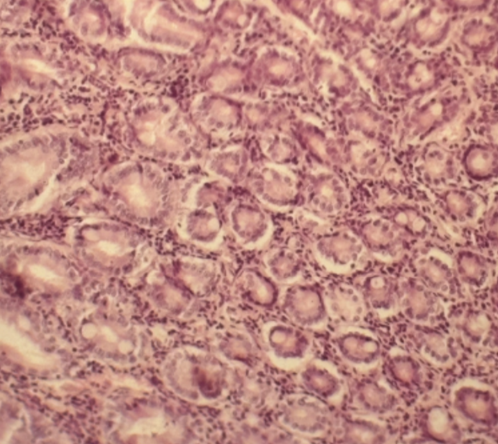
tkanka nabłonkowa jednowarstwowa walcowata

komórki śluzowe (jelito cienkie)

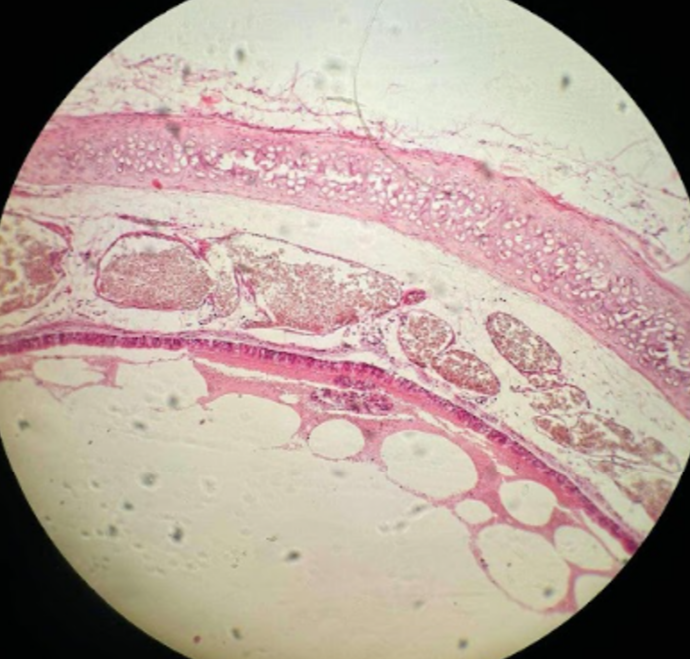
nabłonek wielorzędowy migawkowy (tchawica)

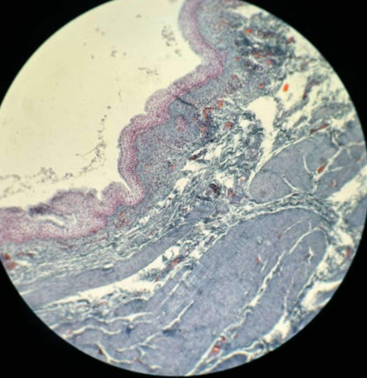
nabłonek wielorzędowy płaski nierogowaciejący (przełyk)

nabłonek przejściowy (pęcherz moczowy)

tkanka łączna galaretowata (pępowina)

tkanka ścięgnista

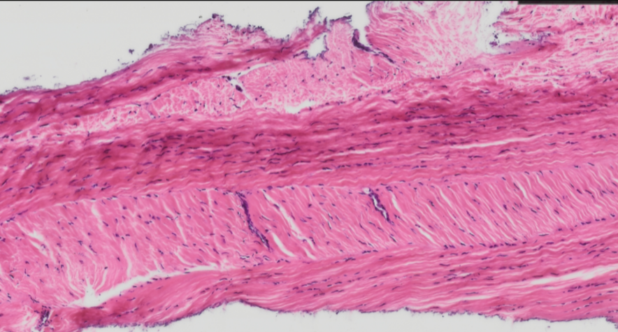
tkanka sprężysta (aorta)

tkanka sprężysta (aorta)

tkanka łączna siateczkowa (węzeł chłonny)

tkanka łączna siateczkowa (węzeł chłonny)

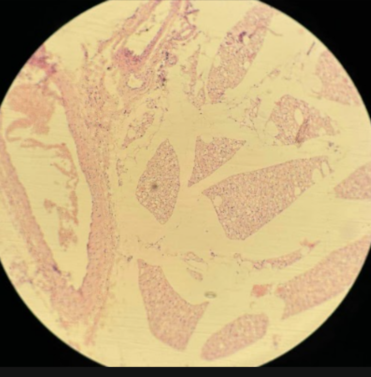
tkanka tłuszczowa żółta

tkanka tłuszczowa brunatna

tkanka chrzęstna sprężysta (ucho)

tkanka chrzęstna sprężysta (ucho)

tkanka chrzęstna włóknista

szlif poprzeczny kości

tkanka chrzęstna szklista

tkanka mięśniowa gładka (komórki izolowane)

Tkanka mięśniowa gładka (ściana jelita)

tkanka mięśniowa gładka (ściana jelita)

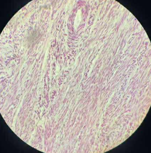
tkanka mięśniowa gładka (macica)

tkanka mięśniowa gładka (macica)

tkanka mięśniowa szkieletowa poprzecznie prążkowana

tkanka mięśniowa szkieletowa poprzecznie prążkowana

tkanka mięśniowa szkieletowa serca