1/36
Looks like no tags are added yet.
Name | Mastery | Learn | Test | Matching | Spaced | Call with Kai |
|---|
No analytics yet
Send a link to your students to track their progress
Fetal Cardiac Tumors, require an urgent referral to what care to watch for what compromise ?
Require an urgent referral to perinatal care to watch for hemodynamic compromise
Common types of tumors include, name 4
Rhabdomyoma
Teratoma
Fibroma
Myxoma
Incidence and Types of Fetal Cardiac Tumors
Rhabdomyoma % ?
Pericardial Teratoma % ?
Fibroma % ?
Hemangioma % ?
Myxomas % ?
Lipomas % ?
Malignancies % ?
Rhabdomyoma 70-80%
Pericardial Teratoma 10-15%
Fibroma 10-15%
Hemangioma <5%
Myxomas <1%
Lipomas <1%
Malignancies <1%
Fetal Cardiac Tumors, Presentation, name 2
Pericardial effusion, Arrhythmias
Fetal Cardiac Tumors
Gestational age at diagnosis ranges when?
• Gestational age at diagnosis ranges from 21 to 38 weeks
Fetal Cardiac Tumors,
Usually they become apparent at what trimester?
Usually they become apparent at the third trimester
Fetal Cardiac Tumors
They may grow up to when and then they what?
They may grow up to 32 weeks and then regress
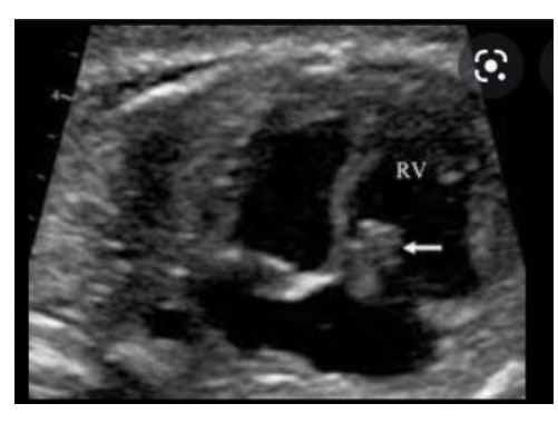
what is the most common Fetal Cardiac Tumors?
Rhabdomyoma
Rhabdomyoma, has a high association with what? Can you descibe how this tumor can be and where would it be found?
High association with tuberous sclerosis
May be a single tumor or multiple tumors in ventricles or IVS
Rhabdomyoma
can you decribe the obstruction it has?
what are the abnormalities it has?
what can this cause to the fetal?
Atrioventricular valve regurgitation and intracavitary obstruction
Arrhythmias and conduction abnormalities
May cause fetal myocardial dysfunction and hydrops

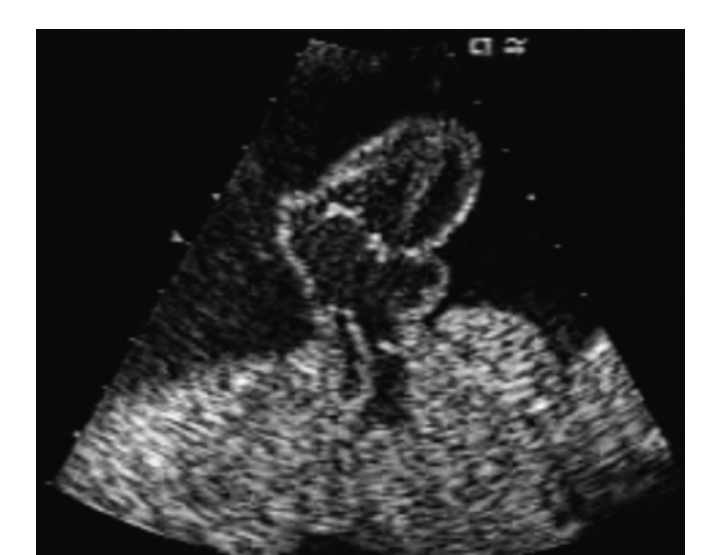
Teratoma, its a what tumor attached to where?
where is it found?
A single tumor attached to the base •
found in the pericardial reflection at the junction of SVC, RA, AsAo
Teratoma
what chamber does it impinges on? and they cause what of the what (name 3 things)
Impinges on the right atrium and they cause compression of the SVC, great arteries and cardiac chambers
Teratoma, always accompanies by what? what are with the tumor
Always accompanies by pericardial effusion
Multicystic areas within the tumor
Teratoma
what are the hemodynamic consequences in utero, what do they cause and what are they associated with?
They have hemodynamic consequences in utero and grow rapidly
May cause tamponade and are associated with hydrops up to ~80%
(Intervention in utero is necessary)

Fibroma, is a what tumors?
Single Intracardiac tumors
Fibroma, are found within where and are found within the what wall?
They are surrounded by what?
Do Fibromas regress?
Found within the ventricular septum and are found within the left or right ventricular wall
They are surrounded by myocardium
Fibromas do not regress
Fibroma
May influence the what system, cause what obstruction? and name 4 others things
May influence the conduction system, cause an outflow track obstruction, CHF, AV regurgitation or sudden death from an arrhythmia
(May need premature delivery and urgent surgery)

Myxoma, arises from the what?
Most frequently in what chamber (?%) and what other chamber (?%)
Attached to the what by a what?
Arises from the endocardium •
Most frequently in left atrium (75%) and right atrium (25%) •
Attached to the fossa ovalis by a pedicle

Myxoma, may cause what insufficiency?
Postnatally they are associated with what?
May cause what and require surgical resection?
May cause AV valve insufficiency
Postnatally they are associated with emboli
May cause CHF and require surgical resection
Other Rare Fetal Cardiac Tumors
Hamartomas •
Lipomas •
Malignant tumors: •
Rhabdomyosarcomas •
Fibrosarcomas •
Lymphosarcomas •
Giant cell sarcomas •
Fibromyxosarcomas •
Leiomyosarcomas •
Neurogenic sarcomas •
Undifferentiated sarcomas
Echo Interrogation;
Detailed evaluation of what (name 4)
Description of (name 4)
Look for obstruction of what (name 2)
Assess what output?
Assess of what other things (name 5)
assess for fetal what name 2
serial assessment to evalute what growth?
Detailed evaluation of atria, ventricles, septum and myocardium •
Description of number, location, tissue characteristic and size •
Look for obstruction of ventricular inflow or outflow and chamber compression •
Assess cardiac output •
Assess of venous flows, extracardiac Dopplers (DV, UA/UV) •
Assess for fetal arrhythmias and conduction •
Serial assessment to evaluate tumor growth
Cardiomyopathy, Refers to the disease process affecting what name 4
Refers to the disease process affecting cardiac muscles, chamber size, thickness and function
is Cardiomyopathy rare or common?
Extremely rare
what are the 2 main category types of Cardiomyopathy
Dilated
Hypertrophic
Dilated Cardiomyopathy
what happens to all found chambers?
usually has what?
what happens with the wall contraction?
what is a common finding and may lead to what
associated with what name 4
All four chambers dilate •
Usually has inflow regurgitation •
Decreased wall contraction •
Pericardial effusion is a common finding • May lead to hydrops •
Associated with maternal infections, autoantibodies, parvovirus, and complete heart block

Hypertrophic Cardiomyopathy - what is it?
also explain whe chamber size and function
what obstruction can occur
what is common
may be cause by what name 3
can it resolve ?
can lead to what name 3
Concentric hypertrophy of both ventricles •
Small ventricular chamber size with normal function •
Left ventricular outflow track obstruction can occur •
Pericardial effusion is common •
May be caused by diabetes, storage diseases, and Noonan Syndrome •
Can resolve or lead to heart failure, hydrops, and in utero death

What is Ectopia Cordis?
The heart is located outside of the chest cavity
Ectopia Cordis, what number are common with which sex? and associated with what?
The heart is located outside of the chest cavity
• 2/3rds are male •
Associated with trisomy 18

Ectopia Cordis, Described as the what?
Described as the pentalogy of Cantrell
Ectopia Cordis
(loaction??) - what two defect found where?
Deficiency of the what?
what defect
and congenital what malformation - name 4
Midline supraumbilical abdominal wall defect •
Lower sternum defect •
Deficiency of the anterior diaphragm •
Pericardial defect •
And congenital heart malformation (tetralogy of Fallot, DORV, VSD or LV diverticulum
Univentricular Heart, Aka know as what?
can describe the apparence of this and is this a rare or common condition?
Aka single ventricle •
3 chambers – two atria and a single ventricle •
Rare condition

Univentricular heart
any what disease where what empty into what?
describe 2 things it may have and what is it called ?
Any CHD where two inflow valves empty into one ventricle •
May have a second small ventricle •
May have common valve •
Called a “Y” type circulation

Univentricular Heart • Associations name 3
heterotaxy syndrome •
coarct of the aorta •
Transposition of the great arteries
Congenitally Corrected Transposition of the Great Arteries
Previously called what?
resu;ts from what?
describe the concordance ?
Previously called L-TGA •
Results from abnormal looping of the bulbus cordis •
Atrial ventricular discordance and ventricular arterial discordance
CCTGA, is know as what? (why is it not bad hint?)
describe the order in the heart?
Essential to identify morphologically correct or incorrect chambers?
Identify what two things?
where is the Aorta located?
Two wrongs make a right! •
Left atrium -> RV->aorta •
Essential to identify morphologically correct chambers!
• Identify moderator band! Look branch Pas! •
Aorta is located anterior and to the left of the pulmonary artery

CCTGA • Echo Findings:
what view wil show ventricular what? and what band?
Describe the Tricuspid valve ?
what cardio postion in what % of the cases
what view shows vessels running what and look for what?
4 chamber will show ventricular inversion • Moderator band •
Inferior placed tricuspid valve • Possible TR
• Mesocardia in 25% of cases
• 5 chamber may show vessels running parallel • Look for PA branches

CCTGA • Common associations: name 5
VSDs (70%) •
Ebstein Anomaly (30%) •
LVOT obstruction (40%) •
Dextrocardia (17%) •
Complete Heart Block (17%)