Unit 7 - Articulations

0.0(0)
studied byStudied by 0 people
full-widthCall with Kai
GameKnowt Play
learnLearn
examPractice Test
spaced repetitionSpaced Repetition
heart puzzleMatch
flashcardsFlashcards
Card Sorting

1/26

encourage image

There's no tags or description

Looks like no tags are added yet.

Study Analytics
Name
Mastery
Learn
Test
Matching
Spaced

No study sessions yet.

27 Terms

1
New cards

Describe the relationship between the degree of joint mobility and joint stability

  • they are inversely proportional

  • the more mobile a joint is → the less stable it is

  • Most to least mobile:

    • 1) Glenohumeral joint (shoulder)

    • 2) hip joint

    • 3) elbow joint

    • 4) intervertebral joints

    • 5) sutures

<ul><li><p>they are inversely proportional</p></li><li><p>the more mobile a joint is → the less stable it is</p></li><li><p>Most to least mobile:</p><ul><li><p>1) Glenohumeral joint (shoulder)</p></li><li><p>2) hip joint</p></li><li><p>3) elbow joint</p></li><li><p>4) intervertebral joints</p></li><li><p>5) sutures</p></li></ul></li></ul><p></p>
2
New cards

Explain how to classify joints functionally and structurally

Functional Classification

  • 1) synarthrosis (immovable)

  • 2) amphiarthrosis (slightly movable)

  • 3) diarthrosis (freely movable)

Structural Classification

  • 1) Fibrous (connected by fibrous tissue)

  • 2) Cartilagenous (connected by cartilage)

  • 3) Synovial (contains a fluid-filled joint cavity)

3
New cards

Describe the relationship between structural classifications and functional classifications of joints.

  • joint:

    • any place where adjacent bones or bone and cartilage come together to form a connection

  • The amount of movement available at a particular joint of the body is related to the functional requirements for that joint

  • immobile or slightly moveable joints serve to protect internal organs, give stability to the body, and allow for limited body movement. In contrast, freely moveable joints allow for much more extensive movements of the body and limbs

4
New cards

Define synarthrosis and give examples

  • synarthrosis: immobile/nearly immobile joint

  • strong union b/t articulating bones

  • ex. sutures, manubriosternal joint, gomphosis (tooth peg-in-socket joint), synchondroses (bones connected by hyaline cartilage)

5
New cards

amphiarthrosis and give examples

  • limited mobility

  • ex. cartilaginous joint that unites the bodies of adjacent vertebrae (fibrocartilage intervertebral disc), pubic symphysis of pelvis

6
New cards

diarthrosis and give examples

  • freely mobile joint

  • ex. elbow joint, knee joint, synovial joint

7
New cards

Name and describe the three subtypes of fibrous joints. Give examples of each subtype.

  • 1) suture

    • narrow fibrous joint b/t bones of the skull

  • 2) syndesmosis joint

    • bones are widely separated, but held together by a narrow band of fibrous connective tissue called ligament or wide sheet of connective tissue called interosseous membrane (b/t shafts of long bones in the forearm & leg)

  • 3) Gomphosis

    • narrow fibrous joint b/t the roots of a tooth & the bony socket in the jaw into which the tooth fits

8
New cards

Name and describe the two subtypes of cartilaginous joints. Give examples of each subtype.

  • 1) Synchondrosis joint (bone is united by a hyaline cartilage structure)

    • ex. sternocostal joint, epiphyseal plate, joint b/t first rib & manubrium, costochondral joints (joints b/t the rib & its costal cartilage)

  • 2) symphysis (bones joined by fibrocartilage)

    • ex. vertebral body’s intervertebral disc, pubic symphysis

<ul><li><p>1) Synchondrosis joint (bone is united by a hyaline cartilage structure)</p><ul><li><p>ex. sternocostal joint, epiphyseal plate, joint b/t first rib &amp; manubrium, costochondral joints (joints b/t the rib &amp; its costal cartilage)</p></li></ul></li><li><p>2) symphysis (bones joined by fibrocartilage)</p><ul><li><p>ex. vertebral body’s intervertebral disc, pubic symphysis</p></li></ul></li></ul><p></p>
9
New cards

Draw a typical synovial joint, labeling the following:  bone, articular cartilage, articular capsule, fibrous layer, synovial membrane, joint cavity, synovial fluid. State the function of each of the labeled structures.

knowt flashcard image
10
New cards

State the location and function of the following in relation to joints:  ligaments, bursae, tendon sheaths, menisci, articular discs, muscles, and tendons.

  • bursa: thin connective tissue sac filled w/ lubricating liquid

    • located in regions where skin, ligaments, muscles, or muscle tendons can rub against each other

    • reduce friction by sep’ing the adjacent structures, preventing them from rubbing directly against each other

    • classified by location: subcutaneous bursa = located b/t the skin and an underlying bone

  • tendon sheath:

    • similar in structure to a bursa

    • connective tissue sac that surrounds a muscle tendon at places where the tendon crosses a joint

    • contains a lubricating fluid that allows for smooth motions of the tendon during muscle contraction and joint movements

  • menisci:

    • c-shaped fibrocartilage structure located b/t the articulating bones

    • can unite the bones of the joint to each other, provide shock absorption and cushioning between the bones, can smooth the movements b/t the articulating bones

  • articular disc:

    • like minisci, but small and oval-shaped

    • same functions as menisci

  • tendon:

    • dense connective tissue structure that attaches muscle to bone

    • works with muscle to resist forces & support the joint

      • stabilize the joint

      • esp. important for shoulders

<ul><li><p>bursa: thin connective tissue sac filled w/ lubricating liquid</p><ul><li><p>located in regions where skin, ligaments, muscles, or muscle tendons can rub against each other</p></li><li><p>reduce friction by sep’ing the adjacent structures, preventing them from rubbing directly against each other</p></li><li><p>classified by location: subcutaneous bursa = located b/t the skin and an underlying bone</p></li></ul></li><li><p>tendon sheath:</p><ul><li><p>similar in structure to a bursa</p></li><li><p>connective tissue sac that surrounds a muscle tendon at places where the tendon crosses a joint</p></li><li><p>contains a lubricating fluid that allows for smooth motions of the tendon during muscle contraction and joint movements</p></li></ul></li><li><p>menisci:</p><ul><li><p>c-shaped fibrocartilage structure located b/t the articulating bones</p></li><li><p>can unite the bones of the joint to each other, provide shock absorption and cushioning between the bones, can smooth the movements b/t the articulating bones</p></li></ul></li><li><p>articular disc:</p><ul><li><p>like minisci, but small and oval-shaped</p></li><li><p>same functions as menisci</p></li></ul></li><li><p>tendon:</p><ul><li><p>dense connective tissue structure that attaches muscle to bone</p></li><li><p>works with muscle to&nbsp;resist forces &amp; support the joint</p><ul><li><p>stabilize the joint</p></li><li><p>esp. important for shoulders</p></li></ul></li></ul></li></ul><p></p>
11
New cards

Name and describe the six types of synovial joints. Give examples of each type.

Synovial joints subdivided based on the shapes of the articulating surfaces of the bones that form each joint

1) Pivot joints

  • a rounded portion of bone is enclosed within a ring formed partly by the articulation w/ another bone and partly by a ligament. The bone rotates within this ring

  • Uniaxial diarthrosis (bc joint rotates around single axis)

  • ex. C1 (atlas) & C2 (axis)

  • ex. radius articulates with ulna = allows for forearm movements

2) Hinge joints

  • convex end of one bone articulates with concave end of adjoining bone

  • bending and straightening along a singe axis (elbow, knee, ankle)

3) Condyloid joints

  • the shallow depression at the end of one bone articulates with a rounded structure from an adjacent bone/bones

  • interphalangeal joint

  • biaxial (forward-backward, side-to-side)

4) Saddle joints

  • both articulating bones have saddle shape (concave in one direction, convex in another)

  • biaxial

5) Plane Joints

  • articulating surfaces = flat/slightly curved → allow bones to slide against each other

  • b/t carpal bones of wrist & tarsal bones

  • multiaxial joint

6) Ball & Socket Joints

  • head of one bone fits into concave articulation of adjacent bone

  • hip joint (acetabulum) and glenohumeral joint

  • multiaxial joints

<p>Synovial joints subdivided based on the shapes of the articulating surfaces of the bones that form each joint</p><p>1) Pivot joints</p><ul><li><p>a rounded portion of bone is enclosed within a ring formed partly by the articulation w/ another bone and partly by a ligament. The bone rotates within this ring</p></li><li><p>Uniaxial diarthrosis (bc joint rotates around single axis)</p></li><li><p>ex. C1 (atlas) &amp; C2 (axis)</p></li><li><p>ex. radius articulates with ulna = allows for forearm movements</p></li></ul><p>2) Hinge joints</p><ul><li><p>convex end of one bone articulates with concave end of adjoining bone</p></li><li><p>bending and straightening along a singe axis (elbow, knee, ankle)</p></li></ul><p>3) Condyloid joints</p><ul><li><p>the shallow depression at the end of one bone articulates with a rounded structure from an adjacent bone/bones</p></li><li><p>interphalangeal joint</p></li><li><p>biaxial (forward-backward, side-to-side)</p></li></ul><p>4) Saddle joints</p><ul><li><p>both articulating bones have saddle shape (concave in one direction, convex in another)</p></li><li><p>biaxial</p></li><li><p></p></li></ul><p>5) Plane Joints</p><ul><li><p>articulating surfaces = flat/slightly curved → allow bones to slide against each other</p></li><li><p>b/t carpal bones of wrist &amp; tarsal bones</p></li><li><p>multiaxial joint</p></li></ul><p>6) Ball &amp; Socket Joints</p><ul><li><p>head of one bone fits into concave articulation of adjacent bone</p></li><li><p>hip joint (acetabulum) and glenohumeral joint</p></li><li><p>multiaxial joints</p></li></ul><p></p>
12
New cards

Explain the location and functions of following structures associated with the knee joint: Anterior cruciate ligament

  • intracapsular ligament

  • anchored inferiorly to tibia at intercondylar eminence

  • supports knee when flexed and weight bearing (like walking downhill)

  • becomes tight when knee is extended and resists hyperextension

<ul><li><p>intracapsular ligament</p></li><li><p>anchored inferiorly to tibia at intercondylar eminence</p></li><li><p>supports knee when flexed and weight bearing (like walking downhill)</p></li><li><p>becomes tight when knee is extended and resists hyperextension</p></li></ul><p></p>
13
New cards

Explain the location and functions of following structures associated with the knee joint: Posterior cruciate ligament

  • anchored posteriorly to tibia

  • the stronger ligament (compared to anterior)

  • supports knee when flexed and weight bearing (like walking downhill)

  • prevents femur from sliding anteriorly off the top of tibia

<ul><li><p>anchored posteriorly to tibia </p></li><li><p>the stronger ligament (compared to anterior)</p></li><li><p>supports knee when flexed and weight bearing (like walking downhill)</p></li><li><p>prevents femur from sliding anteriorly off the top of tibia</p><p></p></li></ul><p></p>
14
New cards

Explain the location and functions of following structures associated with the knee joint: Medial collateral ligament

  • runs from medial epicondyle of the femur to the medial tibia

  • as it crosses the knee → firmly attached on its deep side to the articular capsule and media meniscus

  • taut when knee’s extended = helps stabilize and support the extended → prevents side-to-side or rotational motions b/t femur & tibia

<ul><li><p>runs from medial epicondyle of the femur to the medial tibia</p></li><li><p>as it crosses the knee → firmly attached on its deep side to the articular capsule and media meniscus</p></li><li><p>taut when knee’s extended = helps stabilize and support the extended → prevents side-to-side or rotational motions b/t femur &amp; tibia</p></li></ul><p></p>
15
New cards

Explain the location and functions of following structures associated with the knee joint: Lateral collateral ligament

  • on lateral side

  • spans from lateral epicondyle of femur to head of fibula

  • stabilize & support extended knee, prevent side-to-side or rotational motions b/t tibia & femur

<ul><li><p>on lateral side</p></li><li><p>spans from lateral epicondyle of femur to head of fibula</p></li><li><p>stabilize &amp; support extended knee, prevent side-to-side or rotational motions b/t tibia &amp; femur</p></li></ul><p></p>
16
New cards

Explain the location and functions of following structures associated with the knee joint: Lateral meniscus & medial meniscus

  • C-shaped fibrocartilage structure that is thin along its inside margin and thick along the outer margin.

  • attached to their tibial condyles, do not attach to femur

  • provide padding b/t the bones & help to fill the gap b/t the round femoral condyles & flattened tibial condyles

  • some areas lack an arterial blood supply & heal poorly if damaged

<ul><li><p><span>C-shaped&nbsp;fibrocartilage structure that is thin along its inside margin and thick along the outer margin.</span></p></li><li><p>attached to their tibial condyles, do not attach to femur</p></li><li><p>provide padding b/t the bones &amp; help to fill the gap b/t the round femoral condyles &amp; flattened tibial condyles</p></li><li><p>some areas lack an arterial blood supply &amp; heal poorly if damaged</p></li></ul><p></p>
17
New cards

Explain the location and functions of following structures associated with the knee joint: Patella

  • slides vertically within a groove on the distal femur

  • sesamoid bone incorporated into the tendon of the quadriceps femoris muscle (the lg. muscle of the anterior thigh)

  • protects the quadriceps tendon from friction against the distal femur

<ul><li><p>slides vertically within a groove on the distal femur</p></li><li><p>sesamoid bone incorporated into the tendon of the quadriceps femoris muscle (the lg. muscle of the anterior thigh)</p></li><li><p>protects the quadriceps tendon from friction against the distal femur</p></li></ul><p></p>
18
New cards

Explain the location and functions of following structures associated with the knee joint: Patellar ligament

  • the quadriceps femoris is a powerful muscle that acts via the patella & patellar ligament to extend the leg at the knee

  • dynamic ligament that provides important support & stabilization for the knee joint

<ul><li><p>the quadriceps femoris is a powerful muscle that acts via the patella &amp; patellar ligament to extend the leg at the knee</p></li></ul><ul><li><p>dynamic ligament that provides important support &amp; stabilization for the knee joint</p></li></ul><p></p>
19
New cards

Explain the location and functions of following structures associated with the knee joint: Quadriceps tendon

  • contains the patella

  • helps extend the knee with quadriceps femoris muscles

<ul><li><p>contains the patella</p></li><li><p>helps extend the knee with quadriceps femoris muscles</p></li><li><p></p></li></ul><p></p>
20
New cards

Explain the location and functions of following structures associated with the knee joint: Muscles that stabilize the knee joint

Anterior:

  • gracilis (side)

  • sartorius

  • vastus medialis

  • vastus lateralis

  • rectus femoris

  • gastrocnemius

Posterior:

  • Gracilis

  • semitendinosus

  • semimembranosus

  • plantaris

  • biceps femoris

  • gastrocnemius

<p>Anterior:</p><ul><li><p>gracilis (side)</p></li><li><p>sartorius</p></li><li><p>vastus medialis</p></li><li><p>vastus lateralis</p></li><li><p>rectus femoris</p></li><li><p>gastrocnemius </p></li></ul><p>Posterior:</p><ul><li><p>Gracilis</p></li><li><p>semitendinosus</p></li><li><p>semimembranosus</p></li><li><p>plantaris</p></li><li><p>biceps femoris</p></li><li><p>gastrocnemius</p></li></ul><p></p>
21
New cards

Define the following and give common causes of each: Bursitis

  • overuse

  • cure: antibiotics for infected bursa, anti-inflammatory agents

<ul><li><p>overuse</p></li><li><p>cure: antibiotics for infected bursa, anti-inflammatory agents</p></li></ul><p></p>
22
New cards

Define the following and give common causes of each: Tendinitis

  • caused by repetitive movements

  • stretch

  • may need surgery

<ul><li><p>caused by repetitive movements</p></li><li><p>stretch</p></li><li><p>may need surgery</p></li></ul><p></p>
23
New cards

Define the following and give common causes of each: Sprain

  • stretching or tearing of supporting ligaments

  • can be treatead using RICE: rest, ice, compression, elevation

  • using a brace or cast may be req’d.

  • more severe injuries involving ligament tears or bone fractures may req. surgery

<ul><li><p>stretching or tearing of supporting ligaments</p></li><li><p>can be treatead using RICE: rest, ice, compression, elevation</p></li><li><p>using a brace or cast may be req’d.</p></li><li><p>more severe injuries involving ligament tears or bone fractures may req. surgery</p></li></ul><p></p>
24
New cards

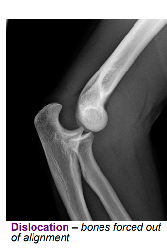
Define the following and give common causes of each: Dislocation

reduction = moving bones back into alignment

<p>reduction = moving bones back into alignment</p><p></p>
25
New cards

Define the following and give common causes of each: Torn cartilage

  • can be torn at a meniscus or articular cartilage

  • cartilage = avascular, cannot heal on its own

  • fixed using arthroscopic surgery

<ul><li><p>can be torn at a meniscus or articular cartilage</p></li><li><p>cartilage = avascular, cannot heal on its own</p></li><li><p>fixed using arthroscopic surgery</p></li></ul><p></p>
26
New cards

Explain the causes and symptoms of osteoarthritis

  • a lot of use of articular cartilage, aging, autoimmune diseases, bacterial infections, unknown (genetic) causes

<ul><li><p>a lot of use of articular cartilage, aging, autoimmune diseases, bacterial infections, unknown (genetic) causes</p></li></ul><p></p>
27
New cards

Explain the causes and symptoms of rheumatoid arthritis

knowt flashcard image