1/19
Looks like no tags are added yet.
Name | Mastery | Learn | Test | Matching | Spaced |
|---|
No study sessions yet.
Modified Barium Study (MBSS)

Barium Swallow Study (Esophagram)

Barium Swallow Study (Esophagram) *DOUBLE CONTRAST

Upper Gastrointestinal Series (UGI)

Upper Gastrointestinal Series (UGI) *DOUBLE CONTRAST

Small Bowl Series (SBFT)

Barium Enema (BE)

Barium Enema (BE) *DOUBLE CONTRAST

Barium Enema (BE) *COLOSTOMY

Barium Enema (BE) *COLOSTOMY

Intravenous Pyelogram (IVP)

Voiding Cystourethrogram (VCUG)

Cystourethrogram

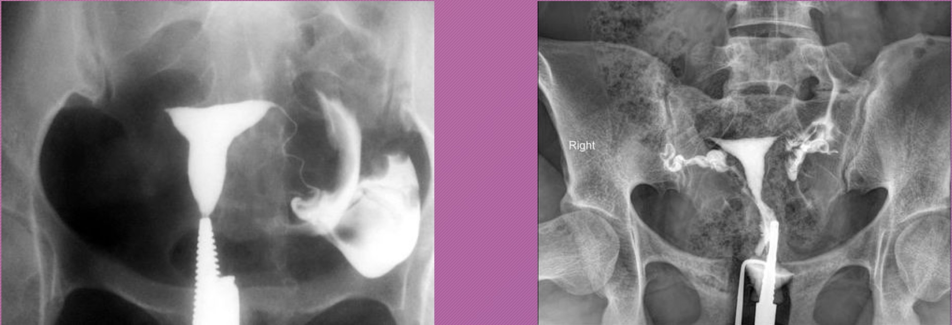
Retrograde Urethrogram (RUG)/Urethrogram

Lumbar Puncture

Myelograms (Myelo)

T-Tube Cholangiograms

Hysterosalpingograms (HSG)

Arthograms

Venograms
