1/37
To be able to describe how the detection of caries and classification of a patient’s caries risk status can aid in diagnosing dental caries.
Name | Mastery | Learn | Test | Matching | Spaced |
|---|
No study sessions yet.

title
how caries detection/risk assessment leads to our diagnosis

references


what sources of acids might cause dental caries?
fermentable carbohydrates, carbonated soft drinks - phosphoric acids, fruit juice, gastric reflux

carbonated soft drinks include phosphoric acid - what do dental professionals use phosphoric acids for?
37% phosphoric acid is used to ‘etch’ enamel to create a rough surface for bonding

diet + plaque =
plaque acids
plaque may have
varying thickness as the content of the plaque changes
cariogenic bacteria include
strep. mutans, strep. sobrinus, lactobacillus
bacterial plaque + refined carbohydrates =
demineralisation
plaque can be retained in 4
tooth contact areas
restoration overhangs
over-contoured pits and fissures
sticky foods
remineralisation depends on…
saliva + hygiene + fluoride + natural protective factors = remineralisation
saliva buffering, saliva flow, presence of fluoride and carbohydrate intake will influence plaque


mechanism for caries development
hydroxyapatite is reactive to H+ ions at or below the critical pH for any HA
H+ ions react preferentially with the phosphate group in an aqueous environment
this also results in buffering the H+ ions - this results in demineralisation

salivary protective factors
saliva plays a major role in protecting teeth against acid challenge as well as protecting the soft oral and alimentary tract tissues against dehydration and potential pathological irritants
salivary protective factors include 6
calcium and phosphate ions
pellicle
buffer and carbohydrates
salivary flow
oral clearance rate
fluoride ion content
remineralisation
if there are sufficient Ca2+ ions and PO43- and pH is neutralised , the demineralisation process can be reversed
this reaction can be enhanced by the presence of F- ions at the reaction site
what are we going to use to detect caries or any other pathology in a patient’s mouth?
our eyes! see things bigger and brighter


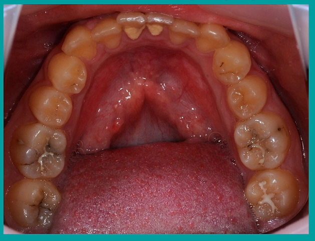
spot the caries
lower right and left second molars
are they the same colour? - the lower right has a fissure sealant
black one indicates staining and possible caries


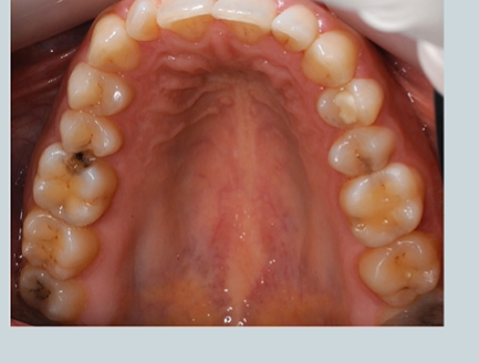
compare the distal aspect of the upper 5s and the mesial aspects of the upper 6s - what can you see?
in the black - areas within the lesion there are still areas of remineralisation


patient chipped tooth - cannot brush correctly - caries process
International caries detection and assessment system
ICDAS


modified ICDAS scoring system
often caries develops quite deep before any cavitation


use the sharp explorer
bitewing radiographs in caries detection
electrons need to hit the detector at 90 degrees so we get no crossover of the contact areas


distal of premolar

radiolucency



it is absolutely crucial to let the patient speak
the more we understand our patient - the better our chances of meeting their expectations


and them why’ve they come, and what they’d like us to do

questions to ask about their dental history



we have found caries - but what’s it’s activity?
is this arrested caries or is there an active lesion? is there cavitation? is it deep into dentine?
knowing the answer will help determine how much the patient is at risk of caries at the time you detect it

what information from our patient do we need to determine the caries risk? 11
lots!
what colour is the lesion
is the pt’s oral hygiene good or is there lots of plaque present
what’s the patient doing - if anything , to keep their teeth clean?
do they use fluoride toothpaste?
do they use fluoride mouth wash?
do they use floss/interdental brushes?
do you think the patient has a normal amount of saliva or do they have a dry mouth
are there any medically relevant factors?
what is the patient’s view of their own teeth?
how is their lifestyle/commitments?
how is their diet?

caries risk status
are they low risk, high risk or medium risk?
this is AN IMPORTANT STEP THAT MUSTN’T BE SKIPPED
this will allow a diagnosis and allows us to create a care plan


do not separate your caries detection from your plaque detection
both should be considered together
no biofilm , no fermentable carbohydrates, no tooth = no caries
first and foremost you must control the biofilm
