1/42
Looks like no tags are added yet.
Name | Mastery | Learn | Test | Matching | Spaced |
|---|
No study sessions yet.

1
interphalangeal joint

2
proximal phalanges 1-5

3
metatarsophalangeal joints

4
sesamoid bones

5
first metatarsals

6
medial cuneiform

7
intermediate cuneiform

8
lateral cuneiform

9
navicular

10
talus

11
tibia

12
fibula

13
calcaneum

14
cuboid

15
base of 5th metatarsal

16
shaft of 5th metatarsal

17
head of 5th metatarsal

18
intermediate phalanges a-d

1
tibia

2
tibiotalar joint

3
tarsals

4
metatarsals

5
phalanges

6
sesamoid bones

7
navicular

8
sinus tarsi

9
calcaneum

10
fibula

1
distal phalanx

2
middle phalanx

3
proximal. phalanx

4
sesamoid bones

5
metatarsals

6
cuneiforms

7
cuboid

8
navicular

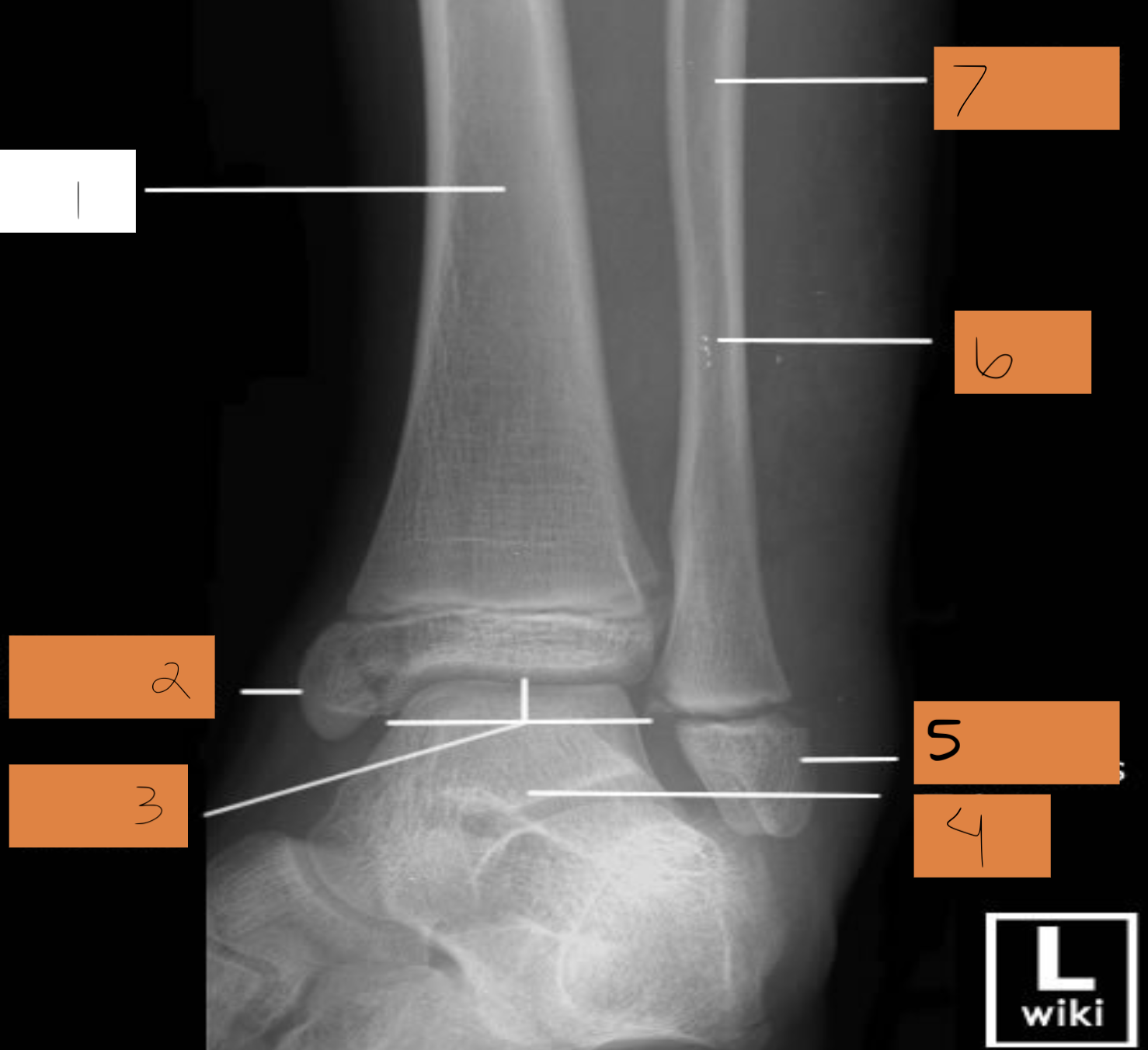
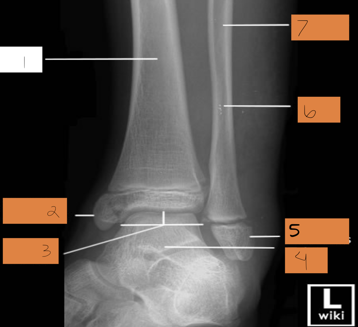
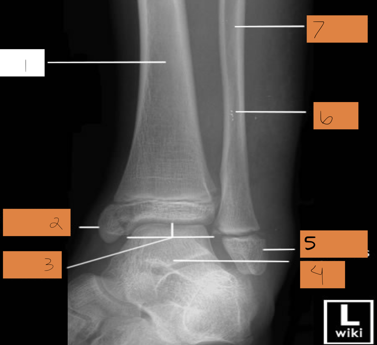
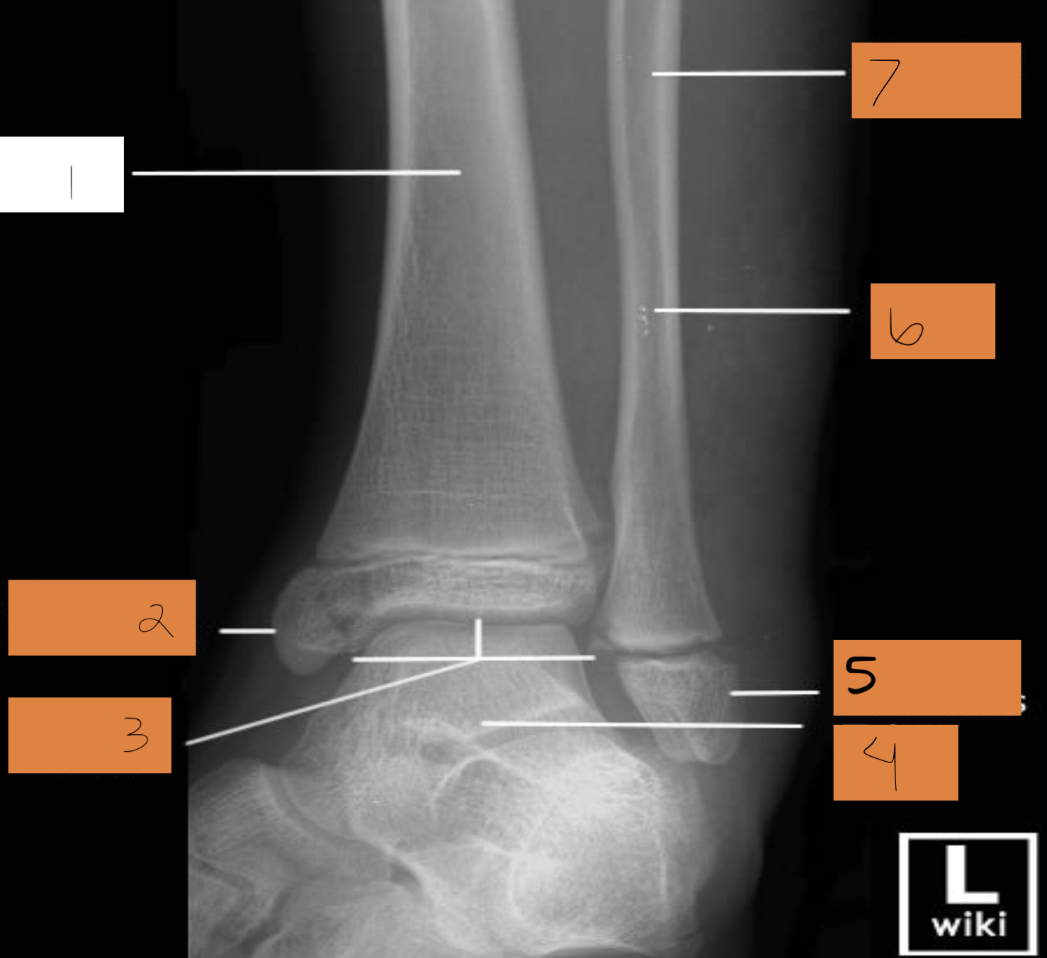
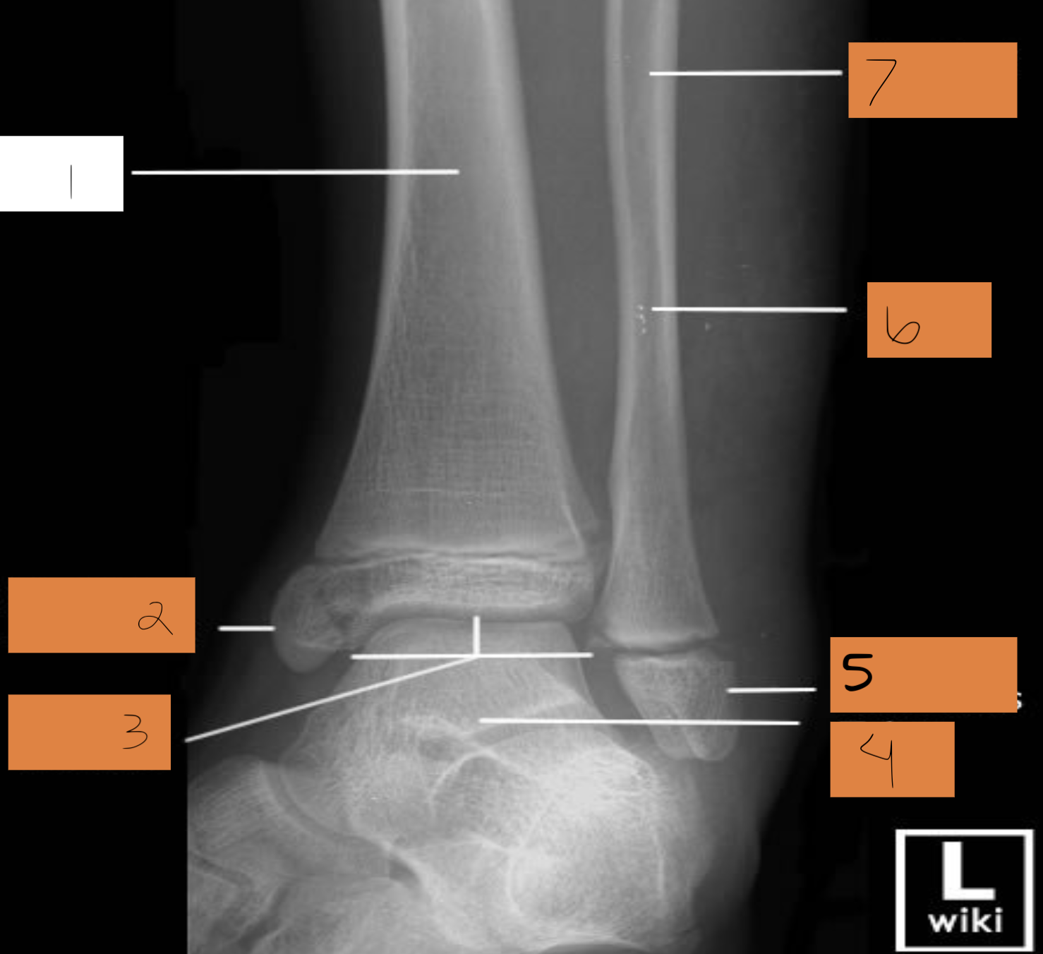
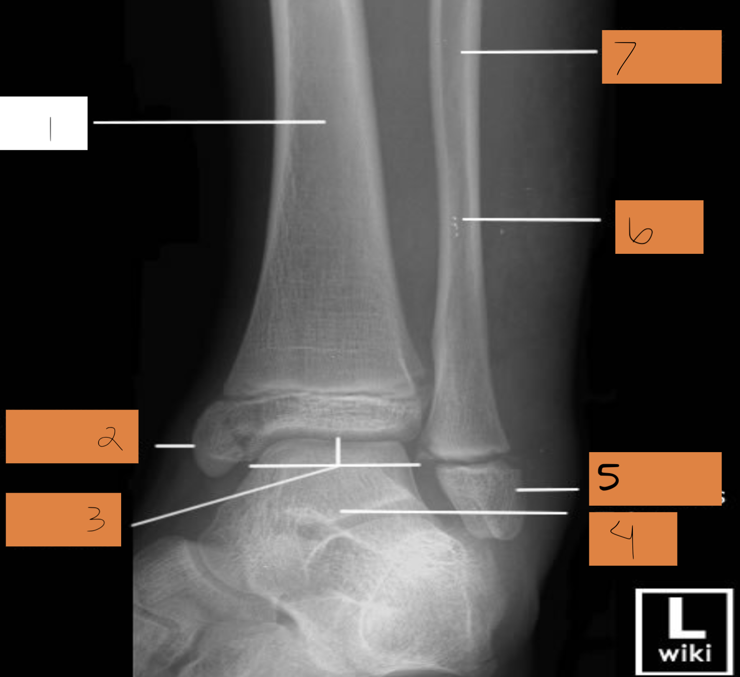
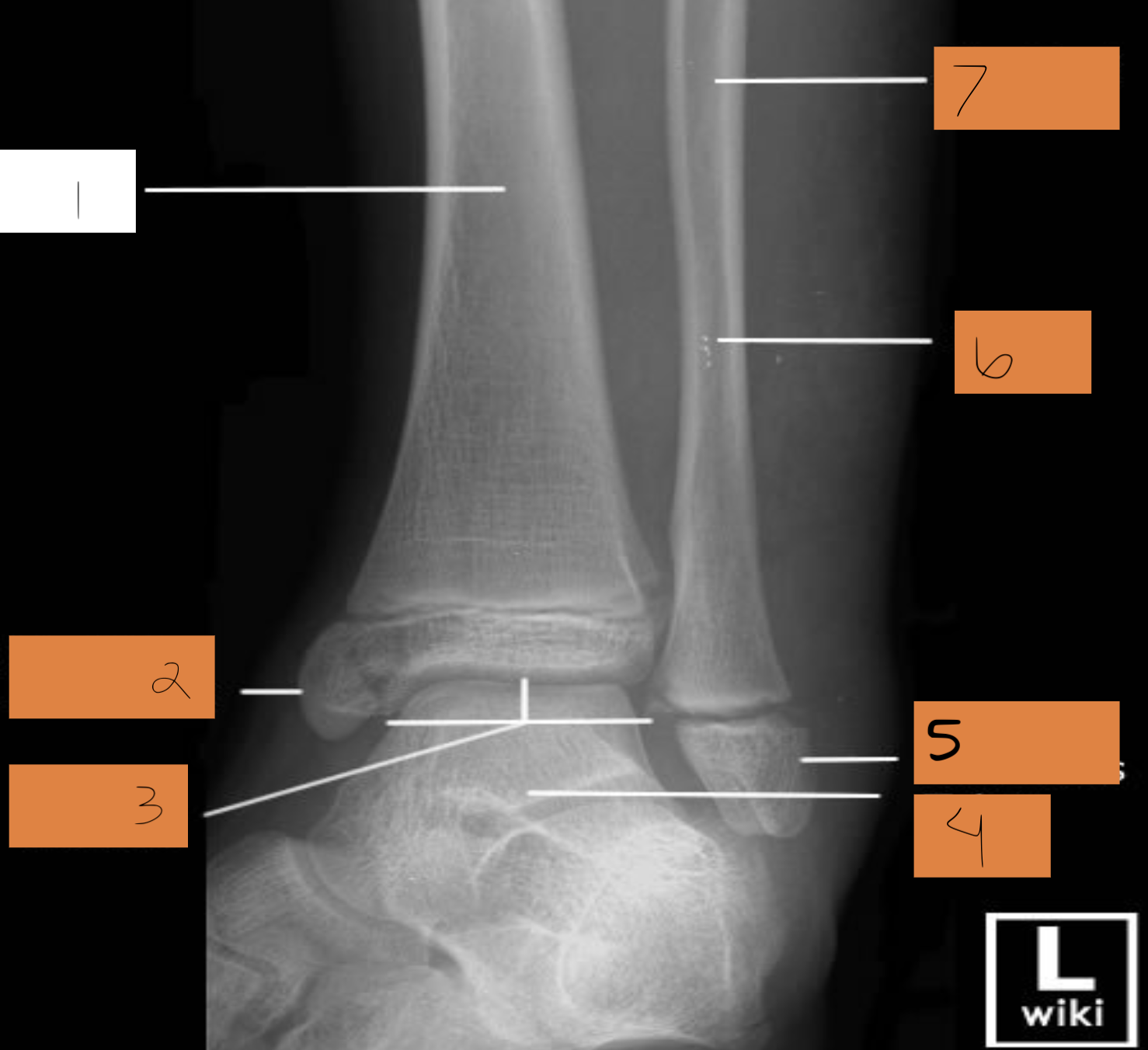
1
tibia

2
medial malleoulus

3
ankle mortise

4
talus

5
lateral malleolus

6
fibula

7
shaft of fibula