1/59
Looks like no tags are added yet.
Name | Mastery | Learn | Test | Matching | Spaced | Call with Kai |
|---|
No study sessions yet.

What is the feral lie based on the anatomy showed?
Vertex spine up

What is the feral lie based on the anatomy showed?
Breech spine down

What is the feral lie based on the anatomy showed?
Breech spine up

What is the feral lie based on the anatomy showed?
Vertex spine down
In a fetus with dextrocardia (heart pointed to right), at what o'clock would the heart be pointing in a spine-up, vertex fetus?
7:00
What is the normal fetal presentation in the third trimester?
Vertex

This fetus is lying on its back and is vertex. The heart position is?
Abnormal

Vertex fetus. The findings are consistent with?
situs inversus below diaphragm
What is TRUE about intrauterine fetal demise?
Maceration is distortion/disruption of fetal tissues
What is NOT a risk factor for intrauterine fetal death?
Female gender
What are the five stages of grief in order?
1. Denial
2. Anger
3. Bargaining
4. Depression
5. Acceptance
What are the four principles of medical ethics?
Autonomy, Justice, Nonmaleficence, Beneficence
Fetal lie in which the fetus is horizontal?
Transverse
Head-down fetal presentation
Vertex
Principle that says to use lowest power possible and minimize dwell time
ALARA
Fetal lie in which the fetus is at an angle in relation to the uterus
Oblique
Fetal rump presentation; flexed hips and knees
Complete breech
Thermal index used at 10 weeks or greater
TIB
Serum pregnancy test
Quantitative ßhCG
Fetal lie in which the fetus is in long axis in relation to the uterus
Longitudinal
Thermal index used at less than 10 weeks
TIS
Fetal rump presentation; legs in front of face
Frank breech
Urine pregnancy test
Qualitative hCG
Fetal rump presentation; one or both feet
Incomplete breech
What are some synonyms for “head down”?
Vertex and Cephalic
What is the purpose of Traci’s “10 second sweep?”
• To determine fetal lie and presentation
• To look for gross fetal anomalies
• To check for viability
• To evaluate for multiple pregnancies
You are looking at the cross-section of fetal abdomen. Looking clockwise, you see spine, stomach, umbilical portion of portal vein. This fetus is?
Vertex
What is TRUE about scanning an OB US versus performing an abdominal US?
There is generally a larger window with OB scanning

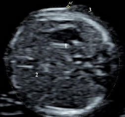
Label the anatomy with the arrows
A. Umb. vein
B. Liver
C. Stomach
D. Spine

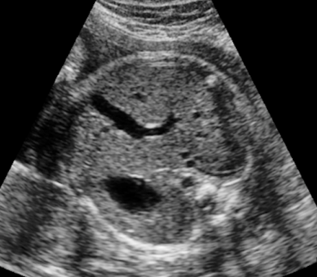
Label the anatomy with the arrows
E. Heart (apex)
F. Lungs
G. Spine
What is the difference between fetal lie and fetal presentation?
• Lie is the orientation within the pelvis (longitudinal, transverse, oblique)
• Presentation describes what part is closest to the cervix
Describe 4 signs of fetal demise (irrespective of trimester)
• Collapsed fetal skull bones (Spalding’s sign)
• Maceration
• Gas in heart (Robert’s sign)
• Edema of soft-tissues (anasarca)
• No fetal heart motion (FHM) ß must be present for there to be IUFD

Evaluate fetal situs; what is the presentation of the image?
Cephalic

Evaluate fetal situs; what is the presentation of the image?
Breech

Evaluate fetal situs; what is the presentation of the image?
Breech

Evaluate fetal situs; what is the presentation of the image?
Cephalic

Evaluate fetal situs; what is the presentation of the image?
Cephalic

Evaluate fetal situs; what is the presentation of the image?
Breech
If the fetal lie is neither longitudinal or transverse, what is it?
Oblique
What is the fetal presentation if the fetus is head down?
Vertex/Cephalic
What is the fetal presentation if the fetus is head up?
Breech
What is the fetal presentation if the head is up and the hips/knees are flexed in front?
Complete Breech
What is the fetal presentation if the head is up and the legs are straight in front of the face?
Complete breech
What is the fetal presentation if the head is up and one or both feet presenting?
Incomplete breech
What is "TI”?
Thermal index
When is TIS used?
<10 weeks LMP
When is TIC used?
Cranial bone in focal zone
What does MFM stand for?
Maternal Fetal Medicine
What does IUFD stand for?
Intrauterine fetal demise
What does hCG stand for?
Human chorionic gonadotropin
What does FHM stand for?
Fetal heart motion
What does EDC stand for?
Estimated date of confinement (same as EDD)
What does EDD stand for?
Estimated due date
What does LMP stand for?
Last menstrual period
Spalding sign
Overlapping/collapsed fetal skull bones
Maceration
Disruption of fetal anatomy
Robert’s sign
Gas bubbles in heart
Other findings of fetal demise
Edema, absent FHM
Lithopedian
Stone fetus (> first trimester IUFD that is not expelled)
Fetus papyraeous
paper fetus (IUFD earlier on but bones are formed)