Comparative Anatomy Lecture exam 1

0.0(0)
studied byStudied by 1 person
full-widthCall with Kai
GameKnowt Play
learnLearn
examPractice Test
spaced repetitionSpaced Repetition
heart puzzleMatch
flashcardsFlashcards
Card Sorting

1/153

encourage image

There's no tags or description

Looks like no tags are added yet.

Study Analytics
Name
Mastery
Learn
Test
Matching
Spaced

No study sessions yet.

154 Terms

1
New cards

Natural selection

environment put selective pressure on an organism

2
New cards

selective pressure

when a advantageous trait is favored in an environment

3
New cards

Alfred R. Wallace

Survival of the fittest

4
New cards

Mendel

Support Darwins natural selection, characteristics are inherited

5
New cards

Punctuated equilibrium

rapid change in species followed by stasis 

6
New cards

Three tiers of evolution

Microevolution, macroevolution, mass extinction

7
New cards

homologous

features that share common ancestry regardless of function

8
New cards

Analogous

Features with similar function but different ancestry

9
New cards

Homoplastic

features with similar appearance but not function or ancestry (mimicry)

10
New cards

Vestigial organ

non-functioning structure (tailbone, wisdom teeth) NOT APENDIX

11
New cards

Two types of symmetry

Radial and bilateral

12
New cards

Radial symmetry

invertebrates have central axis

13
New cards

bilateral symmetry

vertebrates have midsagittal plane

14
New cards

Segmentation

repeating sections within an organism (vertebral column, tape worm)

15
New cards

Allometry

unequal growth rate in different body parts

16
New cards

Isometry

equal growth rate of all body parts

17
New cards

Increase size increases

stress on skeletal elements and oxygen/nutritiondemands

18
New cards

more surface area is typically ——-

better

19
New cards

hypertrophy

increase mass of a cell

20
New cards

atrophy

loss of tissue substance

21
New cards

Chordate characteristics

Notochord, pharyngeal slits, endostyle, dorsal nerve cord, postanal tail

22
New cards

Where does notochord develop from?

mesoderm

23
New cards

Pharyngeal slits

facilitate feeding/digestion

24
New cards

When does differentiation happen?

Gastrulation and Neurulation

25
New cards

Endostyle

accumulate food and move to GIT, becomes thyroid

26
New cards

ontogeny

embryonic development

27
New cards

Gastrulation

formation of gut, and germ layers

28
New cards

Neurulation

formation of neural tube

29
New cards

organogenesis

formation of organs

30
New cards

tissue

group of cells that perform a function

31
New cards

organ

a group of tissues that perform a function

32
New cards

order of zygote development

zygote —> morula —> blastula with blastoderm

33
New cards

Three germ cell layers

Ectoderm, mesoderm, endoderm

34
New cards

What is in ectoderm?

Skin, central and peripheral nervous system, adrenal medulla 

35
New cards

what is in mesoderm?

Kidneys, repro system, bone/cartilage, muscles,lymph, splean

36
New cards

What is in the endoderm?

GIT, Liver, endocrine system, bladder, respiratory tract

37
New cards

Types of tissue in body

Epithelium, connective tissue (bone), muscle, nervous

38
New cards

Squamous epithelium

flat

39
New cards

cuboidal epithelium

cube

40
New cards

columnar epithelium

tall, specialized

41
New cards

transitional epithelium

between squamous and cuboidal

42
New cards
<p>What type of epithelial cells?</p>

What type of epithelial cells?

Squamous, cuboidal, columnar, transitional 

43
New cards

Exocrine gland

product secreted into duct

44
New cards

endocrine gland

products secrete into blood

45
New cards

Three types of cartilage

hyaline, elastic, and fibrocartilage

46
New cards

Reproductive toxicology research is done on —- bc——

Mice, rabbits, and zebra fish bc clear embryo and rapid reproduction

47
New cards

New in vertebrate after chordates

vertebral column replace notochord, cranium

48
New cards

Agnathans

without jaw (lampray)

49
New cards

Gnathostomes

jaw, make preditor prey relationship/change in diet, everything beyond agnathas

50
New cards

Placoderms

boney armor on external body

51
New cards

placode

embryonic structure that gives rise to other structures (hair follicle, feather, teeth)

52
New cards

Chondrichthyes

cartilagenous skeleton

53
New cards

chondro-

cartilage

54
New cards

Actinopterygii

endoskeleton ossification, otoliths (hearing)

55
New cards

Sarcopterygians 

give rise to tetrapods

56
New cards

Amniotes

all terrestrial vertebrates except amphibia

57
New cards

Amnion

innermost embryonic membrane of reptile, bird, mammal

58
New cards

Aves

outnumber all other vertebrate besides fish

59
New cards

Mammalian characteristics

hair, mammary gland

60
New cards

Metatheria

early live birth

61
New cards

Eutheria

placental animals

62
New cards

Skull function

protect brain and sensory organs, support jaw

63
New cards

Chondocranium

Basal plate, ethmoid, optic, otic, occipital, cartilagenous

64
New cards

Splanchnocranium

arise from brachial arches, ancient skill, develop mandibular

65
New cards

Dermatochranium

predominate part of skull

66
New cards

Cranial bones

all bones in skull

67
New cards

Skull phylogeny

trend is to reduce number of bones and adapt to feeding style

68
New cards

Chondrichthyes

chondrocranium dominant

69
New cards

Snake

dislocation of mandible

70
New cards

avian sclerotic bones

hardened around eye

71
New cards

turbinates

filter and warm air in nasal cavity

72
New cards

Notochord/vertebral column function

locomotion, prevents compression, long axis, support head

73
New cards

ribs function 

protect viscera, respiration 

74
New cards

notochord in vertebrates

only present in embryo

75
New cards

vertebral column regions

cervical, thoracic, lambar, sacrum, caudal

76
New cards

processes

projections for muscle/tendon insertion

77
New cards

zygapophyses

pre and post, prevent twisting

78
New cards

diapophyses and parapophyses

rib articulation only in thoracic

79
New cards

cervical

transverse foramen

80
New cards

acoelous

flat end vertebrae

81
New cards

amphicoelous

limit motion, shark

82
New cards

heterocoelous

saddle joints allow flexibility (birds)

83
New cards

Annulus fibrosus

fibrocartilage ring in intervertebral disk

84
New cards

nucleus pulposus

gel-like notochord remnant center of intervertebral disk

85
New cards

two parts of intervertebral disk

annulus fibrosus and nucleus pulposus

86
New cards
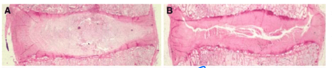
<p>IVDD</p>

IVDD

B. lack nucleus pulpous

87
New cards
88
New cards

Sternum origin

endochonrium

89
New cards

true ribs

meet at sternum

90
New cards

gastrila vs thoracic

dermal and abdominal ribs vs upper ribs endo

91
New cards

Atlas

nodding

92
New cards

axis

twisting

93
New cards

pectoral girdle evolution

separate skill from limbs

94
New cards

adipose fin

small fin dorsal near caudal fin

95
New cards

pelvic vs anal fin

pelvic more cranial ventral 

96
New cards

clavicle in amphibians

may be present

97
New cards

no clavicle in mammals

dog, horse, cattle, sheep

98
New cards

yes clavicle in mammals

primates, cats, mouse, rabbit, bullfrog

99
New cards

furcula

wishbone/clavicle in bird

100
New cards

pectoral girdle in mammals

scapula and clavicle