Lymphocyte maturation and functions

0.0(0)
studied byStudied by 0 people
0.0(0)
full-widthCall with Kai
GameKnowt Play
New
learnLearn
examPractice Test
spaced repetitionSpaced Repetition
heart puzzleMatch
flashcardsFlashcards
Card Sorting

1/16

encourage image

There's no tags or description

Looks like no tags are added yet.

Study Analytics
Name
Mastery
Learn
Test
Matching
Spaced

No study sessions yet.

17 Terms

1
New cards

What are the three lymphocyte maturation stages?

  1. lymphoblast

  2. prolymphocyte

  3. lymphocyte (small and large)

2
New cards

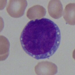
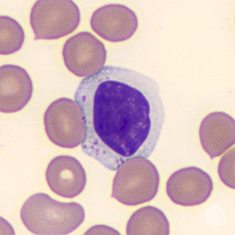
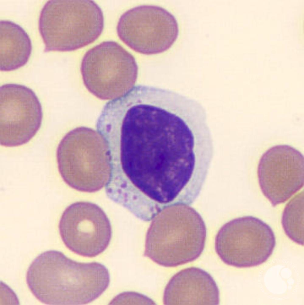
Describe the general characteristics of a lymphoblast (size, chromatin, cytoplasm, N:C ratio).

size: 16-24 um

chromatin: fine and grainy looking, some nucleoli

cytoplasm: deeply basophilic

N:C ratio: high, very round oval nucleus

<p>size: 16-24 um</p><p>chromatin: fine and grainy looking, some nucleoli</p><p>cytoplasm: deeply basophilic</p><p>N:C ratio: high, very round oval nucleus</p>
3
New cards

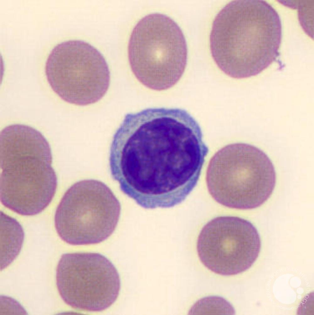
Describe the general characteristics of a prolymphocyte (size, chromatin, cytoplasm, N:C ratio).

size: 18-28 um

chromatin: condensing, some blocks

cytoplasm: deeply basophilic, but more abundant

N:C ratio: moderate, nucleus has shrunk

<p>size: 18-28 um</p><p>chromatin: condensing, some blocks </p><p>cytoplasm: deeply basophilic, but more abundant</p><p>N:C ratio: moderate, nucleus has shrunk </p>
4
New cards

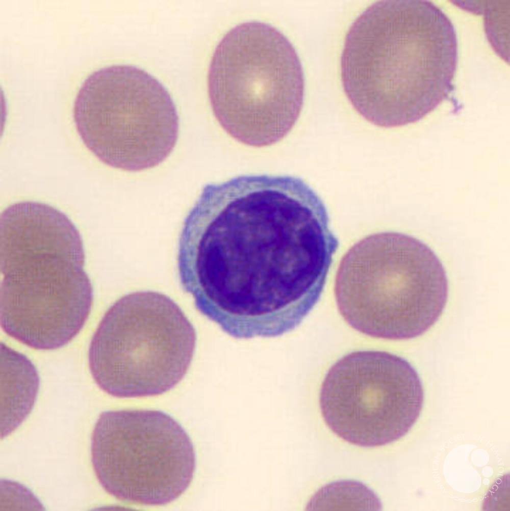
Describe the general characteristics of a lymphocyte (size, chromatin, cytoplasm, N:C ratio).

size: 8-12 (small) or 12-15 (large) um

chromatin: condensing, more blocky

cytoplasm: pale blue

N:C ratio: moderate

<p>size: 8-12 (small) or 12-15 (large) um</p><p>chromatin: condensing, more blocky </p><p>cytoplasm: pale blue</p><p>N:C ratio: moderate</p>
5
New cards

Describe the shaping and N:C ratio of a small lymphocyte.

very round, including nucleus, almost the same size as an RBC

N:C ratio is high

<p>very round, including nucleus, almost the same size as an RBC</p><p>N:C ratio is high</p>
6
New cards

Describe the shaping and N:C ratio of a large lymphocyte.

irregular borders and shape with nucleus 

chromatin is a little lighter than a small lymph

N:C ratio is moderate

<p>irregular borders and shape with nucleus&nbsp;</p><p>chromatin is a little lighter than a small lymph</p><p>N:C ratio is moderate</p>
7
New cards

What characteristic may differentiate between a small and large lymphocyte besides size?

presence of purple granules

<p>presence of purple granules</p>
8
New cards

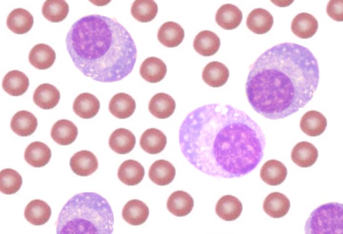
Describe the general characteristics of a plasma cell (size, chromatin, cytoplasm, nucleus shape).

size: 14-20 um

chromatin: in a wheel spoke shape

cytoplasm: deep blue except for the golgi that hangs out along one side of the nucleus

nucleus shape: eccentrically placed, oval, one flat-ish side

<p>size: 14-20 um</p><p>chromatin: in a wheel spoke shape</p><p>cytoplasm: deep blue except for the golgi that hangs out along one side of the nucleus </p><p>nucleus shape: eccentrically placed, oval, one flat-ish side</p>
9
New cards

What are five CD markers on the surface of a B-cell?

CD45, 20, 19, 32, 21

10
New cards

What are the functions of a B-cell?

produce antibodies as plasma cells

retain memory

have IgM or IgD on surface of cells 

produce IgA as 1st line of defense in mucosal surfaces 

11
New cards

What are the functions of T-cells?

protect against intracellular pathogens

help activate B-cells and macrophages

APC interactions

IL-2 and IFN-gamma secretion from T-helper cells

form rosettes when interacting with sheep RBCs

<p>protect against intracellular pathogens</p><p>help activate B-cells and macrophages</p><p>APC interactions </p><p>IL-2 and IFN-gamma secretion from T-helper cells </p><p>form rosettes when interacting with sheep RBCs</p>
12
New cards

What cells typically constitute null lymphocytes?

NK cells or lymphocytes that have lost their CD markers

13
New cards

Which cell population secretes IL-1? What is the function of IL-1?

macrophages and monocytes

fx: to activate CD4 T-cells and raise body temperature through CNS signaling

14
New cards

Which cell population secretes IL-2? What is the function of IL-2?

T-helper cells

fx: expansion and activation of other lymphocytes and NK cells 

15
New cards

What are some other lymphokines that T-helper cells secrete?

BCGF, BCDF, and IFN-gamma

16
New cards

What is the function of IFN-gamma?

to inhibit viral replication, inhibit TH2 cells, activate macrophages

17
New cards

What are the functions of BCGF and BCDF?

BCGF - growth factor, so it helps stimulate growth of B-cells

BCDF - differentiation factor, so it helps differentiate immature B-cells to effector cells