 Call Kai
Call Kai Learn
Learn Practice Test
Practice Test Spaced Repetition
Spaced Repetition Match
Match1/29
Looks like no tags are added yet.
| Name | Mastery | Learn | Test | Matching | Spaced | 
|---|
No study sessions yet.
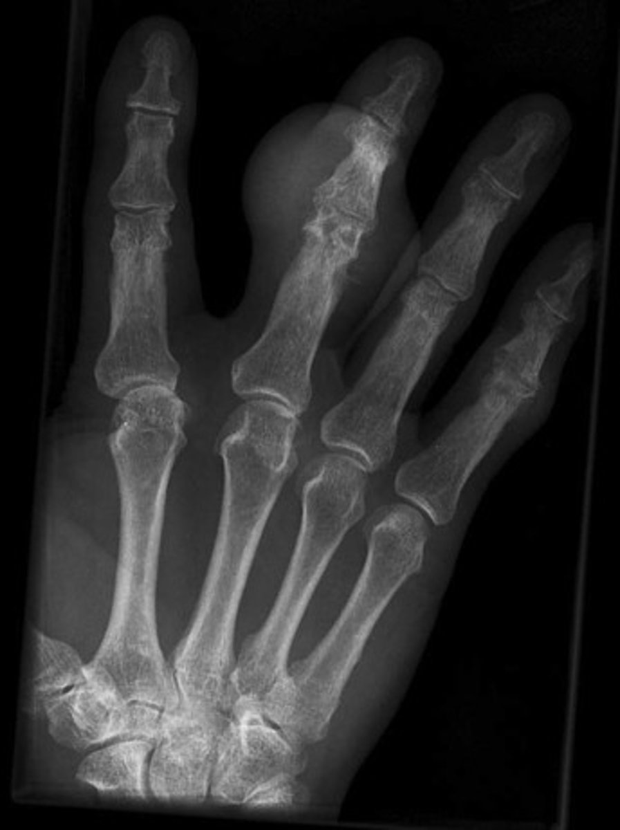
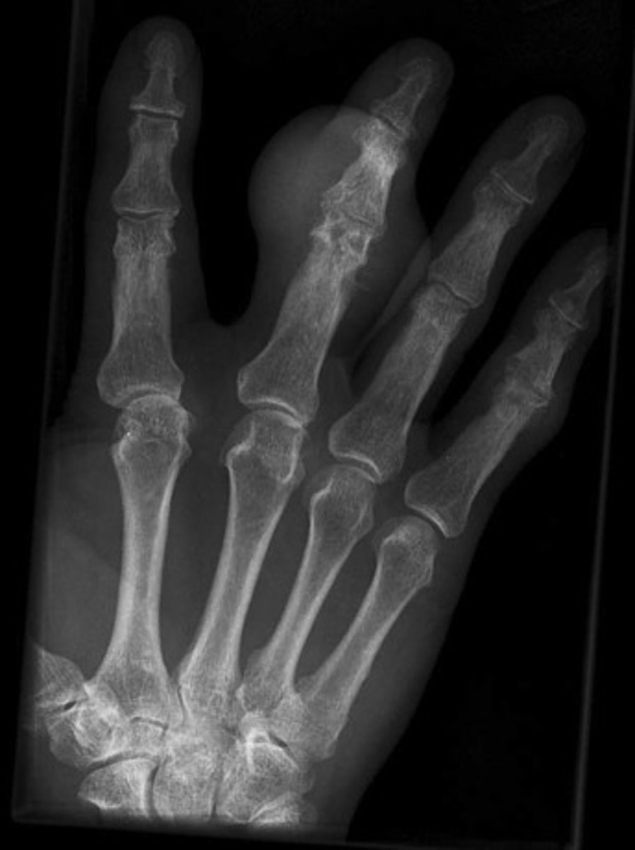
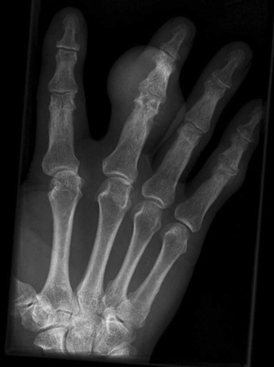
- Erosion of DIP of right digit 2 starting to wrap around
- Dense soft tissue swelling of right digit 2
- Erosion DIP of left digit 2
- Erosion of left ulnar styloid process
- Periarticular osteopenia
What are the abnormal findings on the hand films?

- Erosion of 1st MTP overhanging
- Dense soft tissue swelling around 1st MTP
- 4th/5th digits eroded
What abnormal findings are present on the foot series?

Gout
Diagnosis?

Uric acid in blood (hyperuricemia)
What lab tests can confirm the diagnosis?

- 3rd digit
- Erosion with overhanging margin
- Dense soft tissue swelling
List findings

Gout
Diagnosis?

Refer to primary
Next step?

- Dense soft tissue swelling
- Erosion of ulnar styloid process
What abnormal findings are consistent in the hand, elbow and knee series?

Gout
Diagnosis?

- Asymptomatic hyperuricemia
- Acute gouty arthritis
- Polyarticular gouty arthritis
- Chronic tophaecous gout
What are the stages of this disease?

- Calcification of cartilage
- Meniscal calcification
- Non-uniform loss of joint space
- Osteophytes
- Subchondral cysts
- Subchondral sclerosis
- Subluxation
What abnormal findings are present?

CPPD
Most likely diagnosis?

- Knee
- Pubic symphysis
- Hand/wrist
- Hip
- Shoulder
- Elbow
- Spine
What are some areas that this disease likes to target?

Refer to rheumatologist
Next step?

- Sclerosis of scaphoradial junction
- Calcification in triangular fibrocartilage complex
- Loss of joint space
- Subchondral cyst
- Capitate moved proximally
- Scapholunate advanced collapse
List findings

CPPD
Diagnosis?

No
Would you adjust this patient?

Refer to orthopedist
Next step?

- Calcification of supraspinatus tendon
- Acromiohumeral interval enlarged
List the abnormal findings

Hydroxyapatite Deposition Disease
Diagnosis?

Supraspinatus
What tendon is involved?

Calcification in lung
Do you see anything else that is abnormal?

- Increased acriohumeral interval
- Glenohumeral subluxation
- Globular calcification in acromiohumeral interval
List the abnormal findings

Hydroxyapatite deposition disease
Diagnosis?

- Continue chiropractic care as long as patient is improving
- If patient not improving, orthopedic referral
Next step?

- Hook-like osteophytes of the metacarpals
Describe the findings on the hand x-rays

Iron
What is deposited in this disease?

- White people
- M=F (M have it at younger age)
Who does this disease affect?

- Skin (very tan)
- Liver (hepatomegaly)
- Cardiovascular (heart failure/arrhythmia)
- Diabetes
What other regions of the body would be affected?

Hemochromatosis
Diagnosis?
