1/109
Looks like no tags are added yet.
Name | Mastery | Learn | Test | Matching | Spaced | Call with Kai |
|---|
No analytics yet
Send a link to your students to track their progress
¿Cuáles son las enfermedades obstructivas comunes?
EPOC: enfisema y bronquitis
Asma
Bronquiectasias
¿Cuál es la 4ta causa de muerte en el mundo?
EPOC
¿Qué porcentaje de la EPOC es atribuible al tabaquismo?
80%
El … es el aumento irreversible de los espacios aéreos distales al bronquiolo … , acompañado por destrucción de sus paredes sin una fibrosis obvia.
enfisema, terminal
¿Cuáles son los 4 tipos principales de enfisema?
Centroacinar
Panacinar
Acinar distal
Irregular

¿A qué se asocia el enfisema centroacinar y en qué zona del pulmón tiende a ocurrir?
A fumadores, es el tipo más compun (95%), en los lóbulos de arriba, en los segmentos apicales

¿A qué se asocia el enfisema panacinar y en qué zona del pulmón tiende a ocurrir?
Deficiencia de alfa1-antitripsina, en las zonas bajas y márgenes anteriores del pulmón
¿A qué se asocia el enfisema acinar distal (paraseptal) y en qué zona del pulmón tiende a ocurrir?
Parte distal provocando neumotórax
¿A qué se asocia el enfisema irregular?
A cicatrización

Tipo de enfisema
Centroacinar

Tipo de enfisema
Panacinar

Tipo de enfisema
Panacinar

Tipo de enfisema
Efisema paraseptal

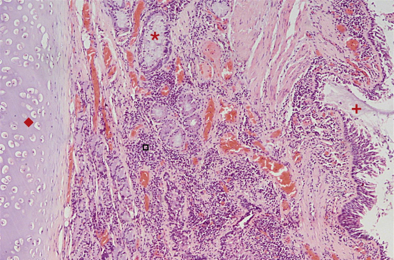
¿Qué es lo que se muestra marcado por el asterisco?
Bulas enfisematosas

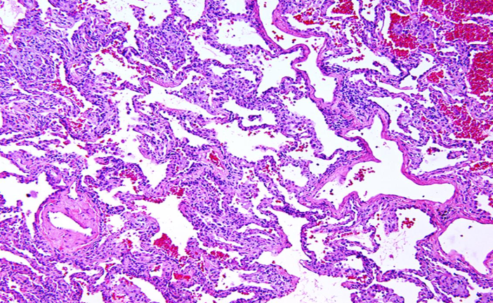
¿Qué es?
EPOC, enfisema
La bronquitis crónica se define como tos persistente con producción de … durante … meses en al menos … años consecutivos
esputo, 3 meses, 2 años
Factores que contribuyen a la patogénesis de la bronquitis crónica
Hipersecreción de moco
Disfunción de CFTR: moco deshidratado anómalo
Inflamación
Infección
Disminución de la acción ciliar
Morfología de la bronquitis crónica
Hiperemia, tumefacción y edema de mucosas
Secreción mucinosa exagerada
Moldes densos de secreciones y pus llenan los bronquios y bronquiolos
¿Cómo se ven las glándulas microscópicamente en la bronquitis crónica?
Glándulas hiperplásicas e irregulares en la tráque y bronquios
¿De qué tipo de células hay hiperplasia en la bronquitis crónica?
De células calciformes
¿Qué ocurre con la pared alveolar en la bronquitis crónica?
Hay un ensanchamiento debido a una hipertrofia del músculo liso
¿Qué evalúa el índice de Reid?

Relación entre el espesor de la capa de las glándulas mucosas y el espesor de la pared entre el epitelio y el cartílago
¿En cuál de las dos, enfisema o bronquitis crónica, se presenta disnea severa?
Enfisema
¿En cuál de las dos, enfisema o bronquitis crónica, se presentan infecciones recurrentes?
Bronquitis
¿En cuál de las dos, enfisema o bronquitis crónica, se presenta una resistencia de la vía aérea incrementada?
En la bronquitis
¿En cuál de las dos, enfisema o bronquitis crónica, se presenta pérdida de la elasticidad?
Enfisema
¿Cómo se ve la radiografía de tórax de un paciente con bronquitis crónica?
Vasos prominentes, corazón agrandado
¿Cómo se ve la radiografía de tórax de un paciente con enfisema pulmonar?
Hiperinsuflación, el tamaño del corazón es normal
¿Qué tipo de respuesta causa el asma atópico?
Respuesta de IgE mediada por Th2 a alérgenos ambientales en individuos genéticamente predispuestos
¿Qué tipo de hipersensibilidad es presentada en el asma?
Hipersensibilidad tipo I
Morfología asma
Pulmones distendidos por hiperinsuflación
Pequeñas atelectasias
Oclusión bronquios y bronquiolos por tapones mucosos espesos y adherentes

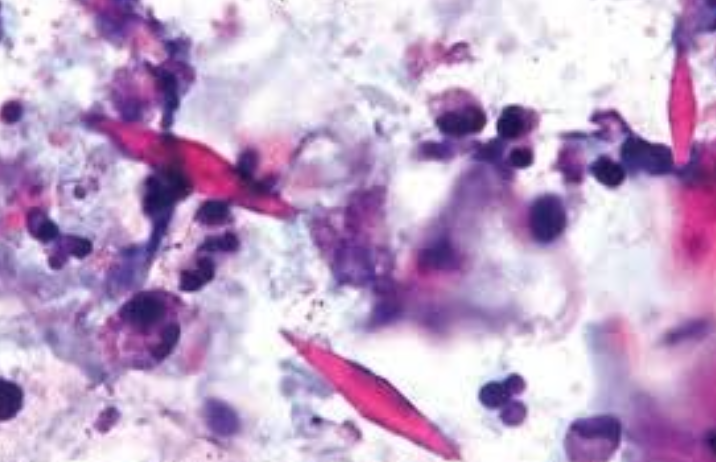
Espirales de Curschmann
Tapones de moco en forma espiralada procedente de los bronquiolos

Cristales de Charcot-Leyden
Proteínas eosinófilicas galectina-10
¿Cómo se ve afectada la pared alveolar en el asma?
Hay un engrosamiento
¿Dónde se encuentra la fibrosis provocada en asma?
Subyacente a la membrana basal
¿Cómo se ve afectada la vascularidad del pulmón en px con asma?
Hay aumento de la vascularidad
¿Cuál es el principal hallazgo microscópico del asma?
Hipertrofia y/o hiperplasia muscular de la pared bronquial

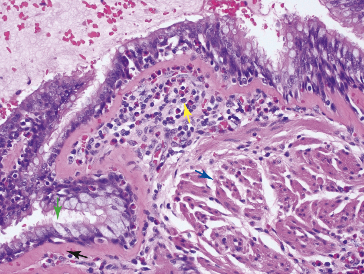
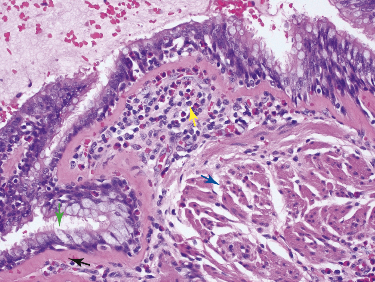
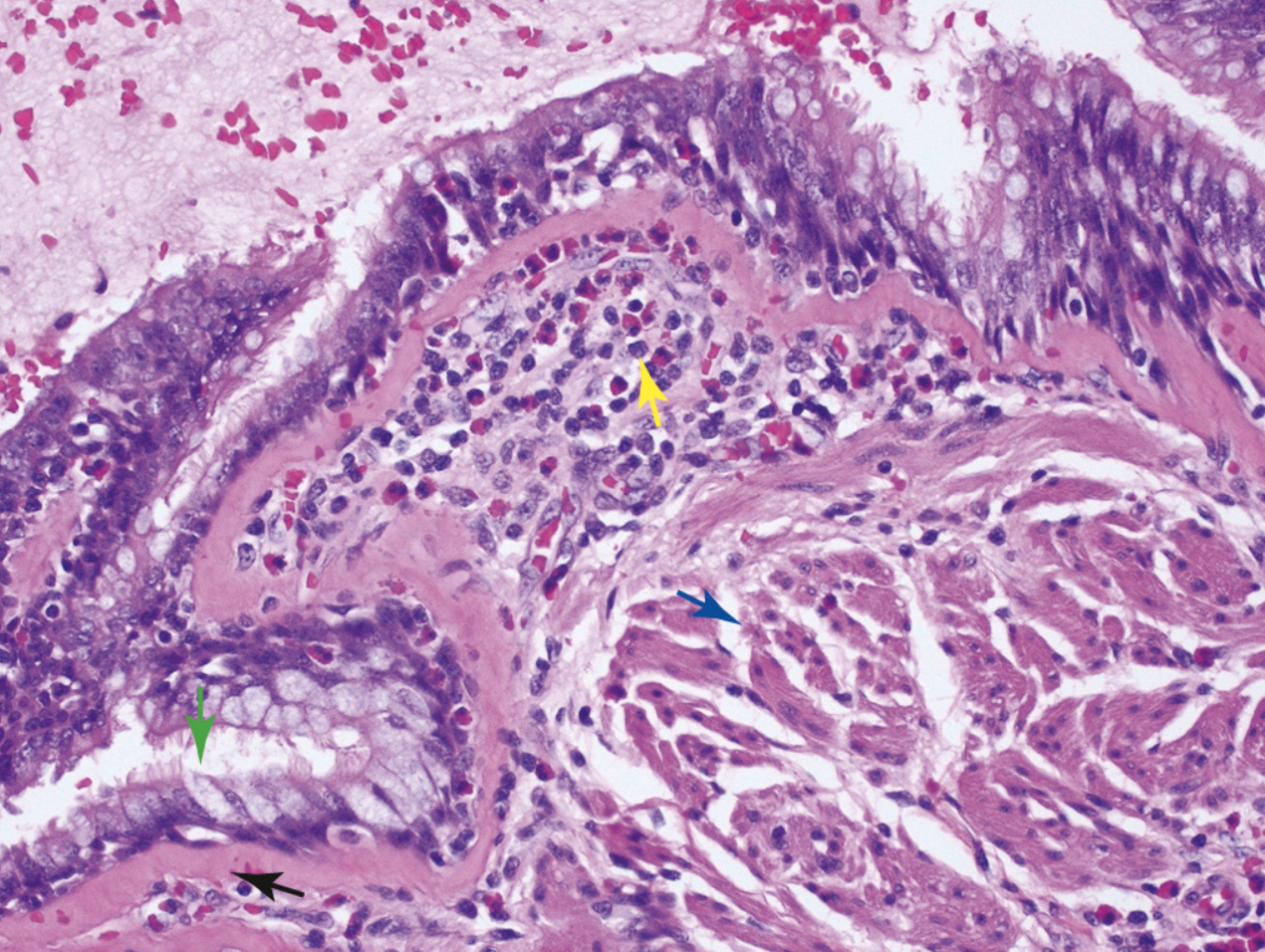
¿Qué está señalando la flecha verde?
Hiperplasia de las células calciformes

¿Qué está señalando la flecha azul?
Hipertrofia muscular

¿Qué está señalando la flecha negra?
Fibrosis subyacente a la membrana basal

¿Qué está señalando la flecha amarilla?
Inflamación eosinofílica

Asma
Solo ver

Asma
Solo ver
Bronquiectasias
Destrucción del músculo liso y tejido elástico deriva a infecciones persistentes y conduce a una dilatación permanente de los bronquios y bronquiolos
Característica de la bronquiectasia relacionada a la difusión de O2
No afecta la difusión de CO2
¿Que partes del pulmón se ven afectadas principalmente en las bronquiectasias?
Bronquios primarios a terciarios

¿Cómo se ve morfológicamente las bronquiectasias?
Vias aéreas dilatadas de aspecto quístico llenos de secreción purulenta, afectación bilateral
Bronquiectasia Activa microscópicamente
Esfacelación del epitelio y zonas ulceradas con necrosis
Formación de abcesos
Pseudoestratificación o metaplasia del epitelio residual
Bronquiectasias crónica
Fibrosis de la pared bronquial, que lleva a obliteración de los lúmenes

¿Qué es?
Bronquiectasias
Las bronquiectasias causan:
Tos intensa y persistente
Expectoración de esputo maloliente
Disnea
Mucupurulenta
Hemoptisis
Categorías generales de las enfermedades restrictivas
Enfermedades intersticiales e infiltrativas crónicas
Trastornos de la pared torácica
2 características de la Fibrosis Pulmonar Idiopática (FPI)
Fibrosis pulmonar intersticial progresiva
Insuficiencia respitartoria
FPI Surge en individuos … predispuestos que son propensos a la … de lesiones recurrentes de las células epiteliales
alveolares causadas por …
genéticamente, reparación aberrante, exposiciones ambientales
En FPI, la lesión de las células epiteliales alveolares pone en marcha eventos que conducen a una mayor producción local de citocinas …, como el …
fibrogénicas, TGF-β
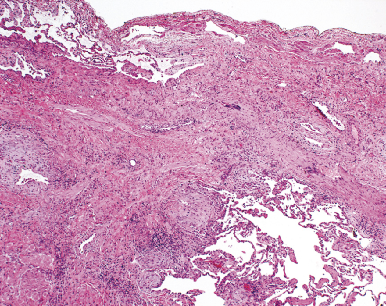
Nombre del patrón morfológico en histología y radiología
Neumonía intersticial habitual (NIH)

Fibrosis pulmonar idiopática, aspecto
Superficie pleural con aspecto de empedrado, resultado de la retracción de las cicatrices a lo largo de los tabiques interlobulillares
En qué áreas se da principalmente la fibrosis en FPI
Lóbulo inferior, regiones subpleurales

¿Qué es?
Fibrosis pulmonar idiopática
FPI microscópicamente
Fibrosis intersticial parcheada que varía de intensidad y antigüedad

¿Qué es?
Neumonía intersticial

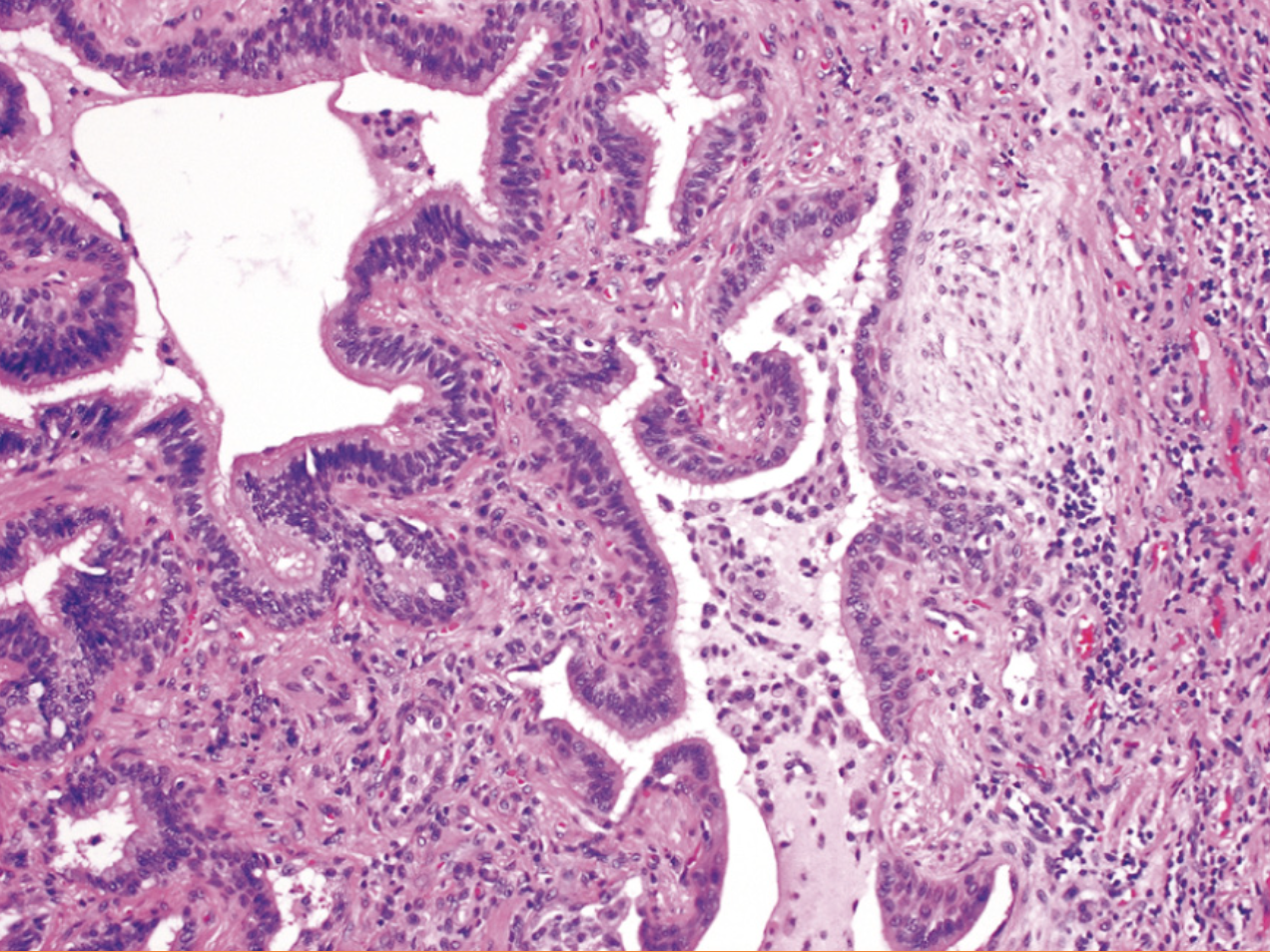
Neumonía intersticial usual, ¿qué se encuentra a la izquierda?
Patrón en panal de abeja
¿Qué contienen las lesiones iniciales de la FPI?

Proliferación exuberante de fibroblastos (focos fibroblasticos)

¿A qué se le denomina fibrosis en panal de abeja?
Espacios quísticos revestidos por neumocitos tipo II hiperplásicos o epitelio bronuiolar
¿Qué tipo de inflamación hay en la fibrosis pulmonar idiopática?
Inflamación leve o moderada dentro del tejido fibrótico
Enfermeda asociada a enfermedades del tejido conectivo con peor pronóstico que la fibrosis pulmonar idiopática
Neumonía intersticial inespecífica
Epidemiología de la neumonía intersticial inespecífica
50-60 años, predominio femenino
¿En qupe patrones se divide histológicamente la neumonia intersticial inespecífica?
Celular
Fibrosante

Neumonía intersticial inespecífica tipo:
Celular
¿Cómo se encuentran distribuidas las células en la neumonía intersticial inespecífica?
Linfocitos y células plasmáticas con distribución uniforme o en parche

Neumonía intersticial inespecífica tipo:
Celular

Neumonía intersticial inespecífica tipo:
fibrosante
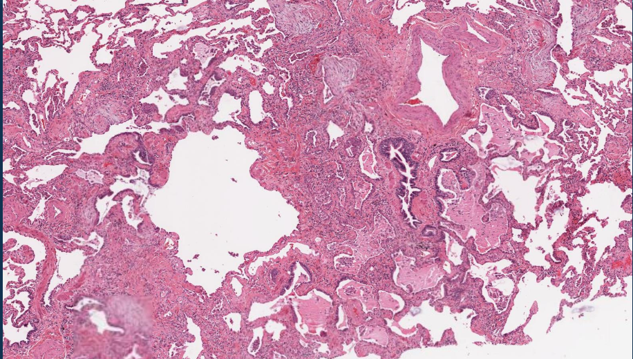
Neumonía intersticial inespecífica tipo fibrosante, microscópicamente
Lesiones intersticiales difusas o en parches en la misma etapa de desarrollo (esto lo diferencia de la neumonía intersticial usual (UIP) en la fibrosis pulmonar idiopatica, donde las lesiones son de diferentes edades/etapas)
Lo que no se ve en NSIP (a diferencia de otras enfermedades intersticiales)
No hay focos fibroblásticos.
No hay patrón en panal de abeja (honeycombing).
No hay membranas hialinas.
No hay granulomas.

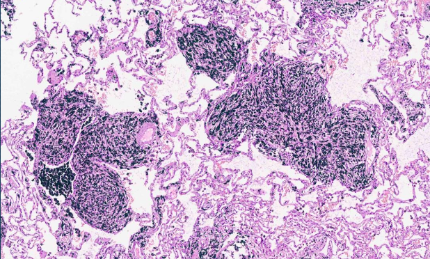
¿Qué es?
Neumoconiosis de los trabajadores del carbón

Neumoconiosis de los trabajadores del carbón
El pigmento de carbono inhalado es fagocitado por macrófagos alveolares o intersticiales, que se acumulan en el tejido conjuntivo adyacente a los vasos linfáticos y en el tejido linfoide adyacente a los bronquios o en el hilio pulmonar
¿Cuánto miden las máculas de carbón en la neumoconiosis de los trabajadores del carbón?
1-2 mm
¿Qué son los nódulos de carbón?
Máculas de carbón y fibrosis
Sitio frecuente de nódulos de carbón en la neumoconiosis de los trabajadores de carbón
Lóbulo superior
Cicatrices intensamente ennegrecidas … cm, múltiples y que contienen colágeno y pigmento densos
> 2
¿A qué se asocia la neumoconiosis de los trabajadores del carbón?
Hipertensión pulmonar y pulmonale
Característica de progresión de la fibrosis en neumoconiosis de los trabajadores del carbón
Puede progresar incluso si cesa la exposición al polvo
A diferencia de la …, no hay evidencia convincente de que la neumoconiosis de los trabajadores del carbón aumente la susceptibilidad a la …, ni predisponga al … en ausencia de tabaquismo
silicosis, tuberculosis, cáncer
Enfermedad profesional crónica más prevalente en el mundo
Silicosis
Raza más afectada por silicosis
Raza negra
Características de las primeras etapas de silicosis
Nódulos diminutos, apenas palpables en los ganglios linfáticos hiliares y zonas superiores de los pulmones
¿Qué sucede a medida que avanza la enfermedad de silicosis?
Los nódulos se fusionan formando cicatrices colagenosas duras
¿Qué sucede con algunos nódulos debido a tuberculosis superpuesta?
Pueden sufrir ablandamiento central y cavitación

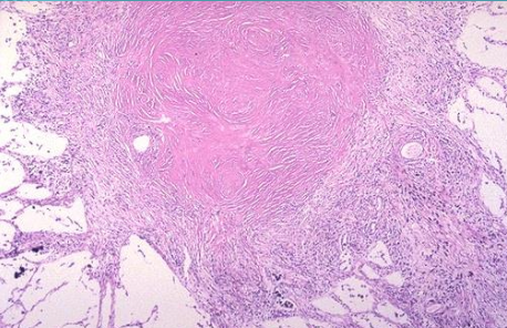
Qué es
Silicosis
A qué se le denomina como calcificaciones de cáscara de huevo
Finas láminas de calcificación en los ganglios linfáticos
¿Qué sucede cuando la enfermedad de silicosis continua progresando?
La expansión de las lesiones pueden producir fibrosis masiva
Silicosis microscópicamente

Área central de fibras de colágeno arremolinada con una zona más periférica de macrófagos cargados de polvo
Enfermedades relacionadas con el asbesto:
Placas fibrosas localizadas
Derrame pleurales
Fibrosis intersticial parenquimatosa (asbestosis)
Cuáles son las dos formas geométricas
Serpentina 90%
Anfíbol, más patógeno
Una vez fagocitadas por los macrófagos, las fibras de asbesto o amianto activan el … y estimulan la liberación de factores proinflamatorios y mediadores fibrogénicos
inflamasoma
Dónde ocurre la lesión inicial de asbesto
En las bifurcaciones de las vías respiratorias pequeñas

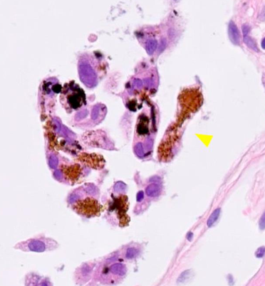
¿Por qué se le denomina cuerpo ferruginoso?
Las fibras de amianto quedan recubiertas de hierro y calcio
¿Cómo se distingue la fibrosis intersticial difusa causada por asbesto de que de otras?
Cuerpos de amianto
¿Qué son los cuerpos de amianto?

Varillas de color marrón dorado, fusiformes con un centro translúcido

Enfermedades relacionadas con el asbesto MORFOLOGÍA
solo ver