1/86
Looks like no tags are added yet.
Name | Mastery | Learn | Test | Matching | Spaced |
|---|
No study sessions yet.
Marcha Jacksoniana
Típica crise epiléptica focal → rápida progressão (seg.) movimentos clónicos ascendente
Doença Creutzfeldt-Jacob
Doença de prião → demência rapidamente progressiva
diagnóstico c/ RM
proteína 14-3-3 aumentada no LCR
conversão em tempo real (QuIC) → exame + específico
Síndrome de Horner
Lesão no bolbo raquidiano → SNS olho
miose
ptose (+ discreta)

Manobra de Froment
Ao fazer movimento passivo ao doente de um dos seus membros superiores, pede-se que ele mexa ativamente o outro MS, há um aumento do tónus muscular no MS inicial (no parkinsonismo)
Tremor de Holmes
Repouso + postural + cinético
Doença de Wilson
Tremor cinético com início <45 anos + dissonai degenerativa → aumento cobre e ceruloplasmina → mutação gene ATP7B
Causa + frequente coreia
Doença de Huntington → coreia neurodegenerativa
Diagnóstico Hipotensão Ortostática
Diminuição PAS>20mmHg ou PAD>10mmHg após 3 minutos em ortostatismo
Feixe vestibuloespinhal lateral
Ajusta posição do esqueleto axial e dos membros

Feixe vestibulospinhal medial
Ativação músculos pescoço
ex: queda → hiperextensão pescoço

Locais de lesão que causam nistagmo central
núcleo vestibular medial
flóculo (cerebelo)
núcleo intersticial de Cajal
núcleo prepósito do hipoglosso (NPH)
Fenómeno de Tullio
Vertigem + nistagmo induzidos por sons
Manobras Posicionais
Usadas na vertigem periférica paroxística benigna (VPPB):
Manobra de Dix-Hallpike → CSC post. → nistagmo vertical
Manobra de McClure → CSC ant./lat. → nistagmo horizontal
Fármacos vestibulosupressores
Anti-histamínicos + anticolinérgicos + benzodiazepinas + antieméticos
Núcleos Onufrowicz
Controlo vesicoesfincteriano
Mutação C9orf72
Doença de neurónio motor (ELA - esclerose lateral amiotrófica) ou Demência frontotemporal
Sinal de Lhermitte
Sinal clássico de Esclerose Múltipla (EM) → sintoma disestético, sensitivo positivo → choque elétrico ao fazer flexão cervical (indica lesão medular cervical)

Fampridina
Terapêutica sintomática da alteração da marcha associada à EM
Tríade de Cushing
Aumento pressão arterial + bradicardia + diminuição frequência respiratória → Hipertensão Intracraniana
Sinal de Battle
Equimose retro-auricular → fratura temporal

Raccon’s eyes
Equimose peri-orbitária → fratura base crânio
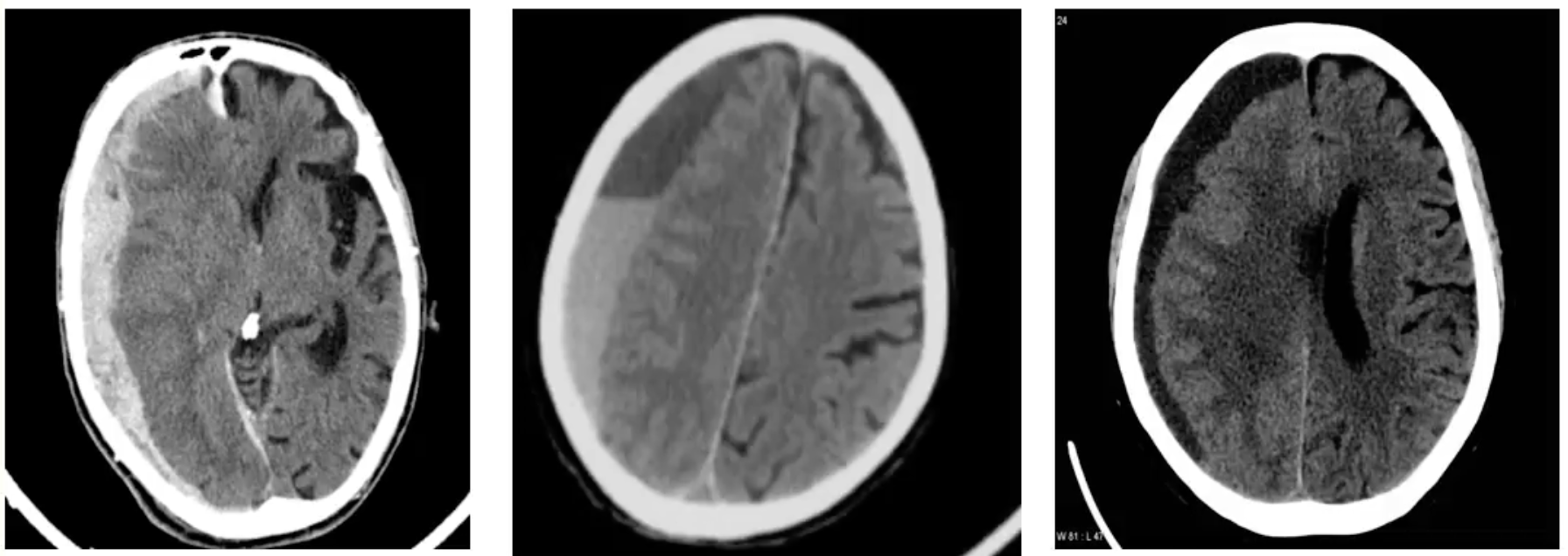
Classificação hematomas subdurais
agudos: < 3 dias → hipertenso em TC
subagudos: 3 dias - 3 semanas → isodenso (= tecido cerebral)
crónicos: >3 semanas → hipodenso

Classificação TCE relativamente à escola de coma de Glasgow
Ligeiro: 13-15
Moderado: 9-12
Severo: 3-8
Valores de Pressão Intracraniana (PIC)
normal: 10-15 mmHg
elevada: >20 mmHg
grave: >40 mmHg
Tratamento gold standard glioblastoma
Radioterapia + Temozolamida (TMZ → quimioterapia) seguido de ciclos de TMZ (5 dias a cada 28 dias)
Tratamento recidiva glioblastoma
2ª linha: bevacizumab (anti-angiogénico) + lomustina (quimioterápico)
3ª linha: PCV
Xantocromia
Produtos de degradação da hemoglobina no LCR 12h após hemorragia subaracnoideia

Anticorpos associados à Neuromielite Óptica (NMO)
Doença desmielinizante primária:
Anti-AQP4 (++)
Anti-MOG
Anticorpos associados a Miastenia Gravis
Anti-AchR (recetores pós-sinápticos)
Anticorpos associados a Síndrome de Eaton-Lambert
Anti-VGCC (canais cálcio dependentes voltagem pré-sinápticos)
Áreas Memória
de trabalho: córtex pré-frontal
episódica: lobo temporal mesial → mas inicialmente hipocampo
semântica: lobo temporal lateral
Quadrantanopsia homónima inferior
Sindrome lobo parietal
Anosognosia + desorientação espacial
Sindrome lobo parietal direito
Hemianópsia homónima contralateral
Sindrome lobo occipital (direito ou esquerdo)

Síndrome lobo occipital bilateral
cegueira cortical (c/ pupilas reativas)
s. Anton → anosognosia visual
prosapognosia (parieto-occipital) → incapacidade reconhecer caras familiares
Sindrome Mesencéfalo
Lesão III (oculomotor) + hemiplegia contralateral + ataxia
Síndrome Ponte
Lesão VI (abducente) + VII (facial) + hemiplegia contralateral
Síndrome Bolbo
Lesão V (trigémeo) + IX (glossofaríngeo) + X (vago) + XI (acessório) + s. Horner + ataxia/vertigem + hipostesia contralateral
Síndrome Brown-Sèquard
Lesão hemissecção medula espinhal:
ipsilateral: paralisia motora + perda sensibilidade propriocetiva e vibratória (cordão posterior)
contralateral: perda sensibilidade dolorosa e térmica (feixe espinotalâmico lateral)

Artérias envolvidas nas afasias de Broca e de Wernicke
Broca: artéria cerebral média (divisão sup.)
Wernicke: artéria cerebral média (divisão inf.)
Artérias envolvidas na afasia global
Artéria carótida interna + cerebral média proximal
Músculo inervado pelo n. troclear (IV)
M. oblíquo superior
Processo Miose
Fibras núcleos pré-tectais → núcleos Edinger-Westphal → n. oculomotores (via parassimpática) → sinapse gânglio ciliar ipsilat. → contração p/ esfíncter pupila + acomodação cristalino p/ m. ciliar

Adiadococinésia
Incapacidade de realizar movimentos alternados
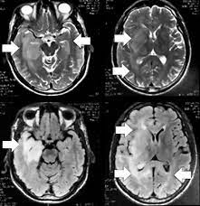
RM sugestiva de encefalite autoimune
Hipersinal em T2/FLAIR no lobo temporal medial bilateral + hipocampo → áreas multifocais corticais/substância branca → desmielinização/inflamação

Síndrome área postrema
Episódio de náuseas, vómitos ou soluços (s/ explicação) → associado a NMOSD
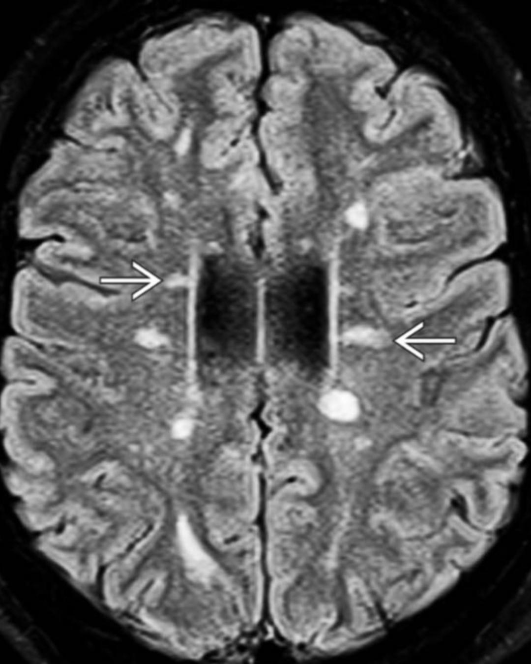
Achados típicos RM Esclerose Múltipla (EM)
lesões adjacentes ao ventrículo lateral
dedos de Dawson → lesões ovoides perpendiculares ao ventrículo lateral
lesões sucorticais em U

Tratamento crise epiléptica
Diazepam 10mg ev lento (2min) → mesmo se crise já tiver terminado
SUDEP
Morte súbita inesperada em epilepsia
Epilepsia mioclónica juvenil
mioclonias ao acordar
EEG: poliponta-onda generalizada
Tx: valproato de sódio ou levetiracetam → evitar suspender
Tratamento epilepsias focais
Carbamazepina ou valproato de sódio (não dar a grávidas)
Doença associada a s. paraneoplásico timo (timoma)
Miastenia gravis (15% → timo aumentado → fazer TC tórax)
Tratamento Miastenia Gravis
sintomático: brometo de piridostigmina (inibidor da acetilcolinesterase → aumento acetilcolina disponível)
imunossupressor: prednisolona ou azatioprina, MMF, rituximab (anti-MusK)
crise miasténica (disfunção bulbar e resp.): imunoglobulinas ev + plasmaferese
S. Guillain-Barré
Polirradiculoneuropatia inflamatória aguda → precedida de infeção (ex: campylobacter)
agudo e monofásico → <4 sem.
parestesias e fraqueza muscular simétricas e ascendentes (começam nos MI) + hipo/arreflexia + lombalgia + parestesia facial periférica
dx avançada: disfunção bulbar, autonómica, resp. → ventilação
LCR: dissociação albumino-citológica (prot. aumentadas + cél. normais)
Tx: plasmaferese ou IgG ev (fase aguda) + tx dor neuropatica + reabilitação
S. Miller-Fisher
Variante S. Guillain-Barré → oftalmoparesias + ataxia + arreflexias
Encefalite do tronco cerebral Bickerstaff
Variante S. Guillain-Barré → s. Miller-Fisher + encefalite
Esclerose lateral amiotrófica (ELA)
Doença do neurónio motor → sinais 1º e 2º neurónio motor → neurodegenerescência córtex, tronco cerebral e corno anterior
espinal (80%): fraqueza progressiva membros (início mãos e pernas), indolor e assimétrica
bulbar (20%): disartria + disfonia + disfagia + fasciculações língua
50-70 anos → rapidamente progressiva (sobrevida 3-4 anos)
Terapêutica modificadora de doença ELA
Riluzol
Tofersen (SOD1)
Distrofia miotónica tipo 1 (Steinert)
Doença multissistémica c/ expansão tripletos CTG gene DMPK
aumento CK
descargas miotónicas músculos distais
miotonias + fraqueza musc. progressiva + cataratas <50 + insuficiência respiratoria + arritmias + SAOS
Discinésias oromandibulares
Patognomónicas de iatrogenia anti-dopaminérgica (ex: risperidona)
Encefalopatia de Wernicke
Estado confusional + alt. movimentos oculares + ataxia → p/ défice neuronal de tiamina (vit. B1)
pode haver mioclonias neg.; alucinações
muito comum em alcoólicos
Doença de Huntington
Doença de expansão de triplos CAG → gene HTT
30-50 anos
coreia + demência + ansiedade, depressão
Movimento conjugado do olhar
Fascículo longitudinal medial
Defeito de campo visual congruente
Lesão posterior ao corpo geniculado lateral
Hidrocefalia comunicante
Obstrução de vilosidades aracnoideias
Vertigem etiologia periférica
Head impulse test alterado + ausencia de skew deviation + nistagmo horizons-rotatório fatigavel
Circulação anterior
Carotídea → a. cerebrais médias e anteriores
Enfarte total circulação anterior à esquerda
Hemiplegia + Hemianestesia + Hemianópsia homónima direitas
Único nervo com emergência na face posterior do tronco cerebral
Nervo troclear (IV)
Enfarte vertebrobasilar
Disfunção cerebelo (ataxia ipsilat., vertigem, vómitos, dismetria) + tronco cerebral (s. horner, hipostesia face, vertigem, disfagia, paresia membros)
Sinal de Tromner
Lesão da via corticospinhal (semelhante ao sinal de Hoffman)

Formas atípicas Alzheimer
Atrofia cortical posterior (+ visual) → dx dif. c/ demência corpos Lewy
Logopénica (+ linguagem)
Frontal (+ comportamental)
Cefaleia em salvas
+ homens (20-40 anos)
dor intensa unilateral supraorbitária e/ou temporal → dura horas/dias
padrão ciclico
sinais autonómicos (ipsilaterais): ptose, rinorreia, hiperemia conjuntival, lacrimejo
inquietação, freq. à noite

Tratamento cefaleia em salvas
Crises agudas: oxigénio alto fluxo ou sumatriptano SC ou zolmitriptano nasal
Profilaxia curto prazo: prednisolona oral
Profilaxia longo prazo: verapamilo (ou toxina botulínica ou estimulação invasiva n. occipital)
Tratamento epilepsia focal (45 anos c/ tremor essencial)
Topiramato
Definição de mioclonias
Movimentos súbitos e breves → positivas (contração musc.) ou negativas (inibição musc.)
Definição de distonia
Postura anómala repetitiva ou sustentada p/ co-contração de m. agonistas e antagonistas (ex: cervical, escrivão)
Síndrome Foster-Kennedy
Lesão expansiva frontal (+ meningiomas sulco olfativo)
atrofia óptica ipsilateral
anosmia ipsilateral
papiledema contralateral
Tumores com maior possibilidade aparecimento calcificações
Oligodendrogliomas
Neurite vestibular
Inflamação n. vestibular viral/pós-viral
tontura c/ desequilibrio → vertigem periférica
nistagmo + alt. impulso cefálico
tx c/ corticoterapia
Sinal de Hoover
Quando há indicios de paresia do MI → indica perturbação neurológica funcional

Tratamento Metástases Cerebrais
Remoção de lesão cerebral única volumosa
Radioterapia + quimioterapia (de acordo c/ tumor primário)
Corticoterapia → reduz edema
Parésia de Todd
Efeito inibitório muito marcado pós hipermotor no lado contralateral à lesão → pós crise lobo frontal
Gene associado a Alzheimer
APP
Fenómeno de Uhthoff
Agravamento transitório de défices neurológicos prévios c/ temp. ext. elevadas → típico Esclerose Múltipla
Enervação movimentos membros
Abdução braço: C5
Flexão antebraço: C5/C6
Extensão antebraço: C7
Flexão dedos mão: C8
Pretensão mão: C8 (entre C7 e T1)
Extensão perna: L3/L4
Dorsiflexão pé: L5
Extensão hálux: S1
Flexão plantar: S1
Enervação reflexos osteotendinosos (ROTs)
bicipital: C5
estilorradial: C6
tricipital: C7
rotuliano: L4
aquiliano: S1