Lecture 21: Endemic Mycoses

0.0(0)
studied byStudied by 0 people
0.0(0)
full-widthCall with Kai
GameKnowt Play
New
learnLearn
examPractice Test
spaced repetitionSpaced Repetition
heart puzzleMatch
flashcardsFlashcards
Card Sorting

1/20

encourage image

There's no tags or description

Looks like no tags are added yet.

Study Analytics
Name
Mastery
Learn
Test
Matching
Spaced

No study sessions yet.

21 Terms

1
New cards

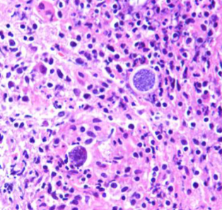
Endemic Mycoses Immune Response

PRRs on phagocytes bind fungal PAMPs → Phagocytosis & induction of immune responses

Tissue form survives and replicates inside of phagocytes – are facultative intracellular pathogens of phagocytes

Infection can lead to granulomatous inflammation

Activation of T cells:

Effector Th1 cytokines stimulate a strong CMI response → Resolution in healthy hosts

Th17 cytokines will recruit neutrophils and promote epithelial repair

Antibodies produced participate in clearance

2
New cards
term image

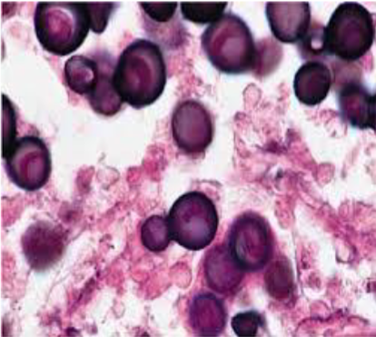
Coccidioides

3
New cards
term image

Histoplasma

4
New cards
term image

Blastomyces

5
New cards
term image

Paracoccidioides

6
New cards

Coccidioidomycosis

Valley Fever

Coccidioides immitis (CA) and Coccidioides posadasii (outside CA)

Dimorphic fungi:

Mold in the environment; hyphae with arthroconidia and mycelia in culture at room temperature

Spherules in the host, containing endospores

Found in lungs; can disseminate to other tissues

7
New cards
term image

Coccidioides

8
New cards
term image

Coccidioides

9
New cards

Erythema Nodosum

Can be triggered by infection with Coccidioides

Often involves lower extremities

Type IV hypersensitivity response to fungal antigens; appears 1-3 weeks after initial respiratory symptoms

Red, tender subcutaneous nodules

Serves as a good prognostic indicator – patient is exhibiting a strong CMI response

Organisms are not present in the lesions

10
New cards

Erythema Multiforme

Can be triggered by infection with Coccidioides

Likely a combination of hypersensitivity responses: Type III = immune complex-mediated & Type IV = delayed-type

Epithelial damage is often due to CMI responses, with a predominance of CD8 T cells and macrophages

Deposits of complement C3, IgM, and fibrin around dermal blood vessels

Red, target-like lesions

Lesions often appear within ~48 hours after initial respiratory symptoms

11
New cards

Higher risk for Coccidioidomycosis Dissemination

Immunocompromising condition, pregnancy, and African-American race or Filipino ethnicity

12
New cards
term image

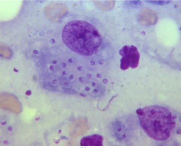
Histoplasmosis

13
New cards

Histoplasmosis

Histoplasma capsulatum var. capsulatum

Ohio, Missouri, & Mississippi River Valleys

Soil-based fungus with bird or bat droppings

Mold in the environment and in

culture at room temperature; hyphae with microconidia & tuberculate macroconidia

Yeast form in the host and

culture at 37C

Narrow-based budding yeast often within phagocytes

14
New cards
term image

Blastomycosis

15
New cards
term image

Blastomycosis

16
New cards

Blastomycosis

Blastomyces dermatitidis

Midwestern, south-central, and southeastern states

Soil-based fungus

Fungus resides in moist soil & decomposing organic material

Mold in the environment and in culture at room temperature; branching hyphae with conidia on slender terminal or lateral conidiophores

Yeast form in the host & culture at 37 C

Thick-walled, broad-based budding yeast

17
New cards
term image

Paracoccidioidomycosis

18
New cards

Paracoccidioidomycosis

Paracoccidioides brasiliensis complex and P. lutzii

Central and South America (esp Brazil)

Infects lungs & skin

Likely soil-based fungi; agricultural areas

Mold in the environment & in culture at room temperature; hyphae with conidia

Yeast form in the host and culture at 37 C

Large, multiple budding yeast cells; buds attached by a narrow connection – “mariner’s or ship-captain’s wheel” appearance

19
New cards

Triazoles

Inhibit ergosterol synthesis

20
New cards

Amphotericin B

Aggregates with ergosterol, forming membrane pores

21
New cards