1/156
Looks like no tags are added yet.
Name | Mastery | Learn | Test | Matching | Spaced |
|---|
No study sessions yet.

Part A?
nasopharynx

Part B?
hard palate

Part C?
soft palate

Part D?
oral cavity proper

Part E?
TEETH

PART F?
tongue

Part G?
pharynx

Part H?
oropharynx

Part I?
epiglottis

PART J?
laryngopharynx

Part K?
larynx

Part L?
Esophagus

Part M?
Trachea

Part A?
parotid gland

Part B?
parotid duct

Part C?
submandibular gland

Part D?
sublingual gland

Part A?
trachea

Part B?
thoracic part of esophagus

Part C?
Esophagus

Part D?
Diaphragm

Part E?
Abdominal aorta

Part F?
abdominal part of esophagus

Part G?
Stomach

Part A?
diaphragm

Part B?
Liver

Part C?
Gallbladder

Part D?
lesser omentum

Part E?
Stomach

Part F?
Transverse colon

Part G?
greater omentum

Part A?
stomach

Part B?
left colic flexure

Part C?
Descending colon

Part D?
transverse colon

Part E?
right colic flexure

Part F?
Ascending colon

Part G?
Small intestine

Part H?
mesentery of small intestine

Part A?
liver

Part B?
gallbladder

Part C?
Common hepatic duct

Part D?
cystic duct

Part E?
Hepatic portal vein

Part F?
celiac artery and branches

Part G?
bile duct

Part H?
Stomach

Part I?
ascending colon

Part J?
small intestine

Part K?
ileocecal junction

Part L?
Cecum

Part M?
vermiform appendix

Part N?
sigmoid colon

Part A?
stomach

Part B?
Spleen

Part C?
Splenic artery

Part D?
splenic artery

Part E?
body of pancreas

part F?
Duodenum

Part G?
inferior mesenteric vein and tributaries

Part H?
ascending colon

Part I?
abdominal aorta

Part J?
inferior mesenteric artery and branches

Part K?
descending colon

Part L?
lleum

Part M?
taeniae coli

Part N?
sigmoid colon

Part O?
cecum

Part P?
urinary bladder with peritoneum

Part A?
Liver


Part B?
gallbladder

Part C?
hepatic portal vein

Part D?
Pancreatic duct

Part E?
spleen

Part F?
Pancreas

Part G?
bile duct

Part H?
duodenum

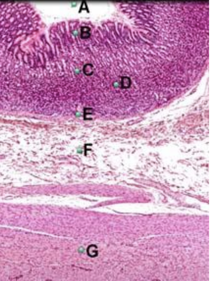
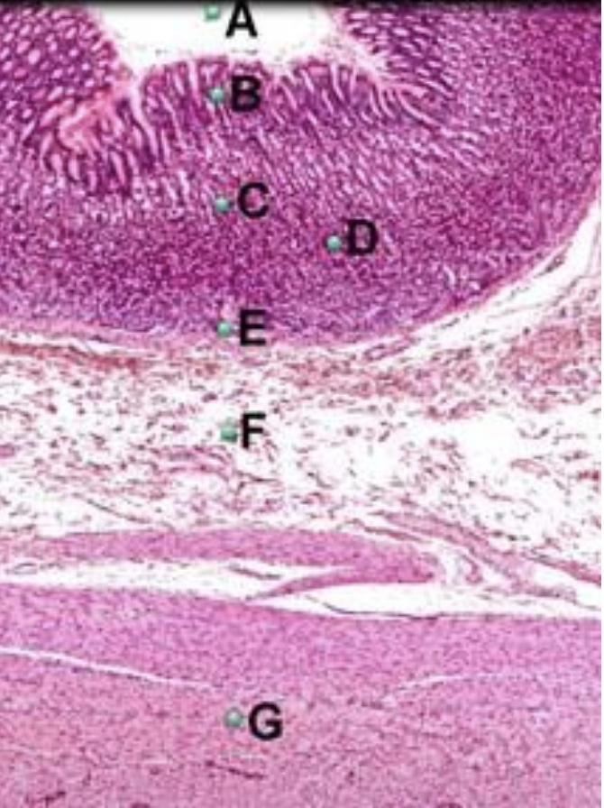
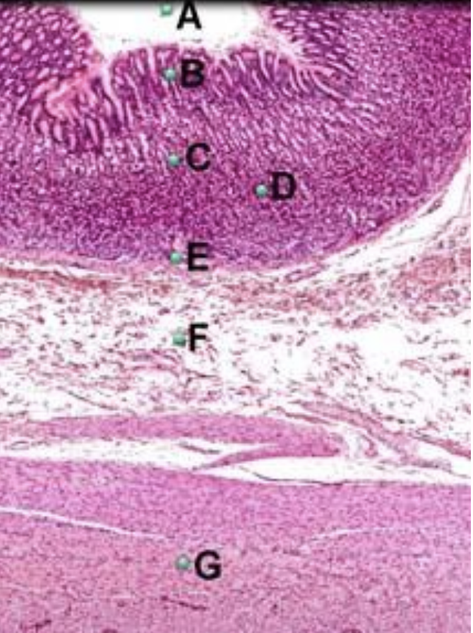
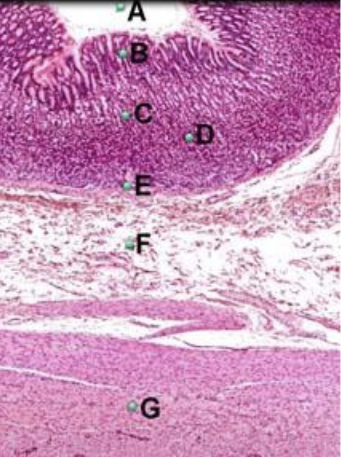
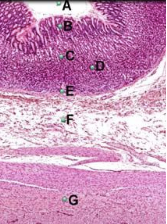
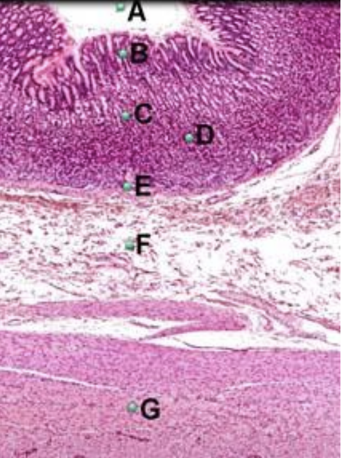
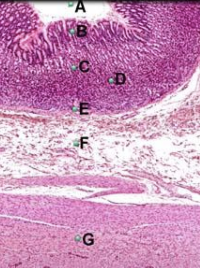
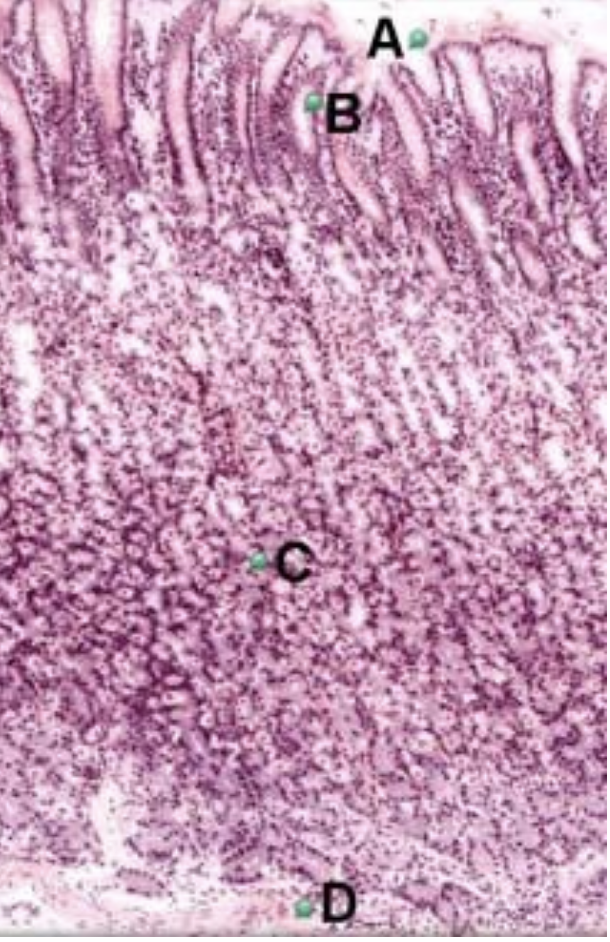
Part A?
mucosa of esophagus

Part B?
epithelium of esophagus

Part C?
muscularis mucosae of esophagus

Part D?
submucosa of esophagus

Part E?
muscularis externa of esophagus

Part F?
adventitia of esophagus

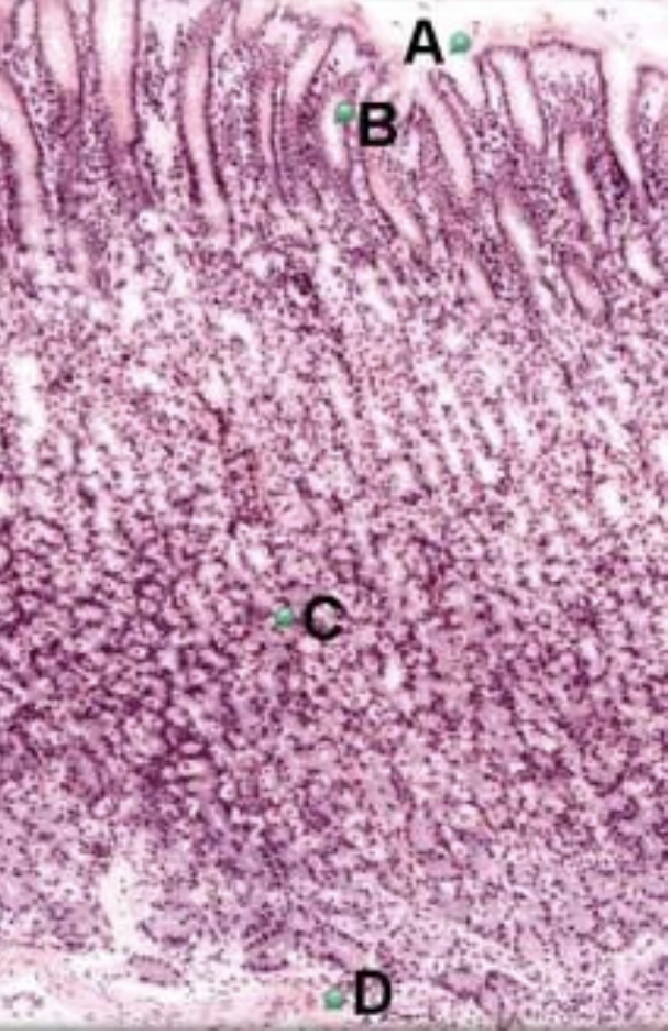
Part A?
lumen of stomach

Part B?
epithelium of stomach

Part C?
mucosa of stomach

Part D?
lamina propria of stomach

Part E?
Muscularis mucosae of stomach

Part F?
submucosa of stomach

Part G?
muscularis externa of stomach

Part A?
opening of gastric pit

Part B?
gastric pit

Part C?
gastric gland

Part D?
muscularis mucosae of stomach

Part A?
esophagus

Part B?
cardia of stomach

Part C?
Bile duct

Part D?
pancreas

Part E?
lesser curvature of stomach

Part F?
greater curvature of stomach