1/20
Looks like no tags are added yet.
Name | Mastery | Learn | Test | Matching | Spaced |
|---|
No study sessions yet.
Kimzey splint
What is the best method to stabilize this fracture for transportation?

B & C
What joint need to be stabilized?

Lag screw fixation
How should this fracture be treated?

Lag screw fixation
What is this?

Plantar
If you do NOT have a kimsey splint, what side of the limb does a half limb splint need to go on the PELVIC limb?
Contralateral limb to the fractue
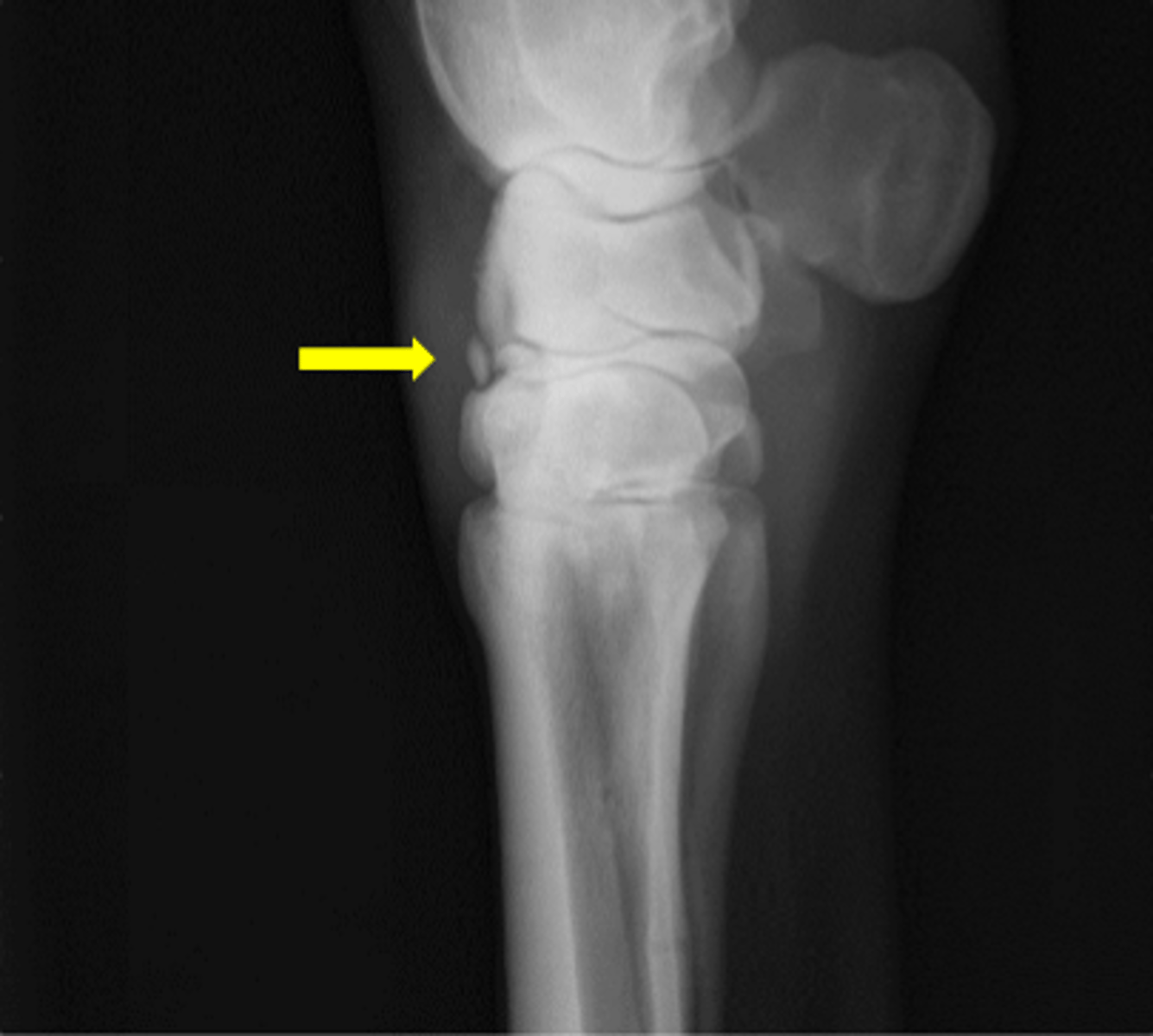
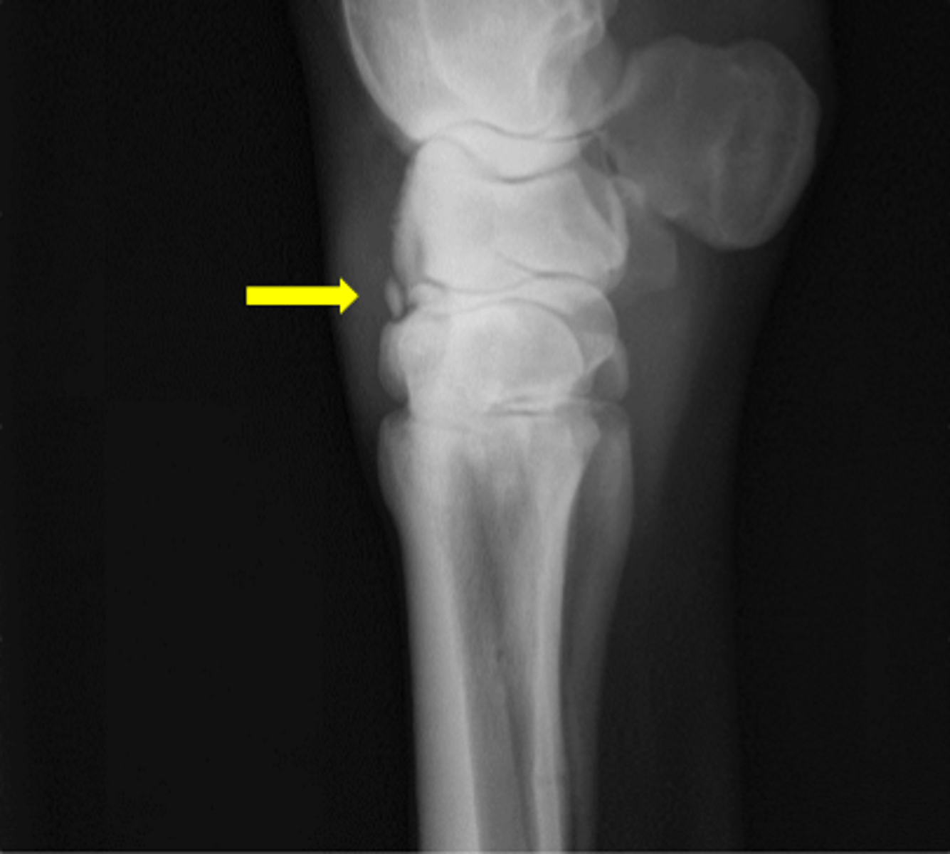
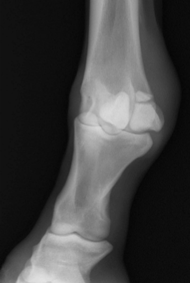
In which limb does this typically occur?

Osteochondral fragment
What is the radiology term for this lesion?

Arthroscopy
What is the preferred treatment for this lesion?

Enlarged dorsal aspect of the pastern
An owner sends a picture of this horse's leg. Describe the abnormality.

High ringbone
What is the layman's term for this lesion?

Arthodesis
What is the preferred treatment for this problem?

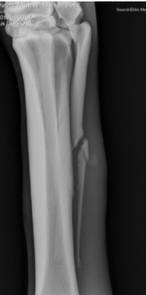
Long bone fracture
What is your top differential for this colt?

Tibia
Which bone is fractured?

Tarsus and stifle
Which joints require immobilization?

Robert jones bandage, lateral splint from the ground to the hip
What is the correct type of coaptation for this tibial fracture?

Internal fixation
How might you treat this fracture?

Transfixation pin cast
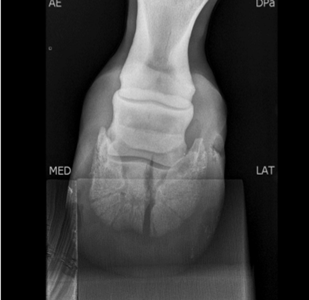
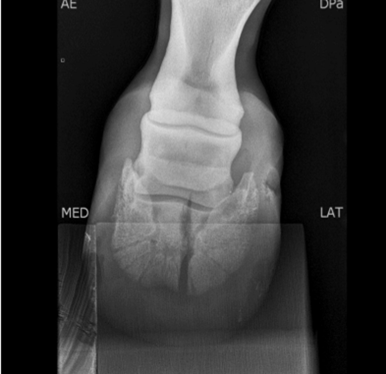
What is this radiograph depicting?

P3
What bone is fractured?

Foot cast
What type of coaptation would you apply for healing?

Suspensory ligament
What structure caused the avulsion?

Remove the middle section of the bone to remove the fracture
How is this fracture treated?
