1/163
Looks like no tags are added yet.
Name | Mastery | Learn | Test | Matching | Spaced | Call with Kai |
|---|
No analytics yet
Send a link to your students to track their progress
Xylem vs Phloem image

Xylem includes
vessel elements and tracheids and fibers

Phloem includes
sieve tubes and companion cells

Translocation mnemonic
phloem flows food to feet
Translocation transport type
active from source to companion cell,
passive diffusion everywhere else
Micrometer magnification conversion
measurement presumes 100 X, convert to this
Water absorption and feces formation
large intestine
feeces elimination
anus
Chemical processing and absorption of nutrients and water (digestion of proteins, fats & carbohydrates
small intestine
Mechanical and chemical processing (digestion of proteins)
pancreas
Transports food
esophagus
Mechanical and chemical processing (chewing reduces the size of food & saliva digests carbohydrates)
mouth
Secretes enzymes and other materials into small intestine
stomach
Stores secretions from liver; empties into small intestine
gallbladder
Secretes molecules required for digestion of fats
liver
Secretes enzymes that digest carbohydrates; supply lubricating mucus
salivary glands
Auxin
produced in roots, grows shoots, prevents absiccion
Holds feeces
rectum
Renal corpuscle
filtration of blood (glomerulus and
Bowman's capsule)
Proximal tubule
active reabsorption of Na+, glucose,
and other solutes (water follows)
Descending loop of Henle:
passive reabsorption of water
Ascending loop of Henle:
reabsorbs Na+
Distal tubule and collecting duct:
reabsorption of
water
prediction
if-then statement
null hypothesis
simple- nothing happens
alt hypothesis
there is a difference
monocot stem cross section
scattered vascular bundles
monocot root cross section
in circles/rings
monocot leaves
parallel veins
monocot root shape
thin shallow roots
dicot stem cross section
vascular bundles are in a ring
dicot root cross section
X in middle
dicot leaves
branched veins
dicot root shape
tap root
Palmatley compound

simple pinnate

simple palmate

pinnatley compound

bipinnatley compound

hydrophytes limiting factor
soil saturated/underwater
hydrophytes overabundance factor
water
Hydrophytes characteristics
flat leaves, air sacs high in stomata
mesophytes limiting factor
water not limited
mesophytes over abundance
high temp
mesophytes chacteristics
air sacs, high stomata, well developed roots
xerophytes limiting factor
water isnt limited
xerophytes over abundance factor
high temps
Xerophytes characteristics
flat/large leaves vertical photosynthetic stems
xylem
transports water + minerals from roots to leaves
Phloem
Living vascular tissue that carries sugar and organic substances throughout a plant
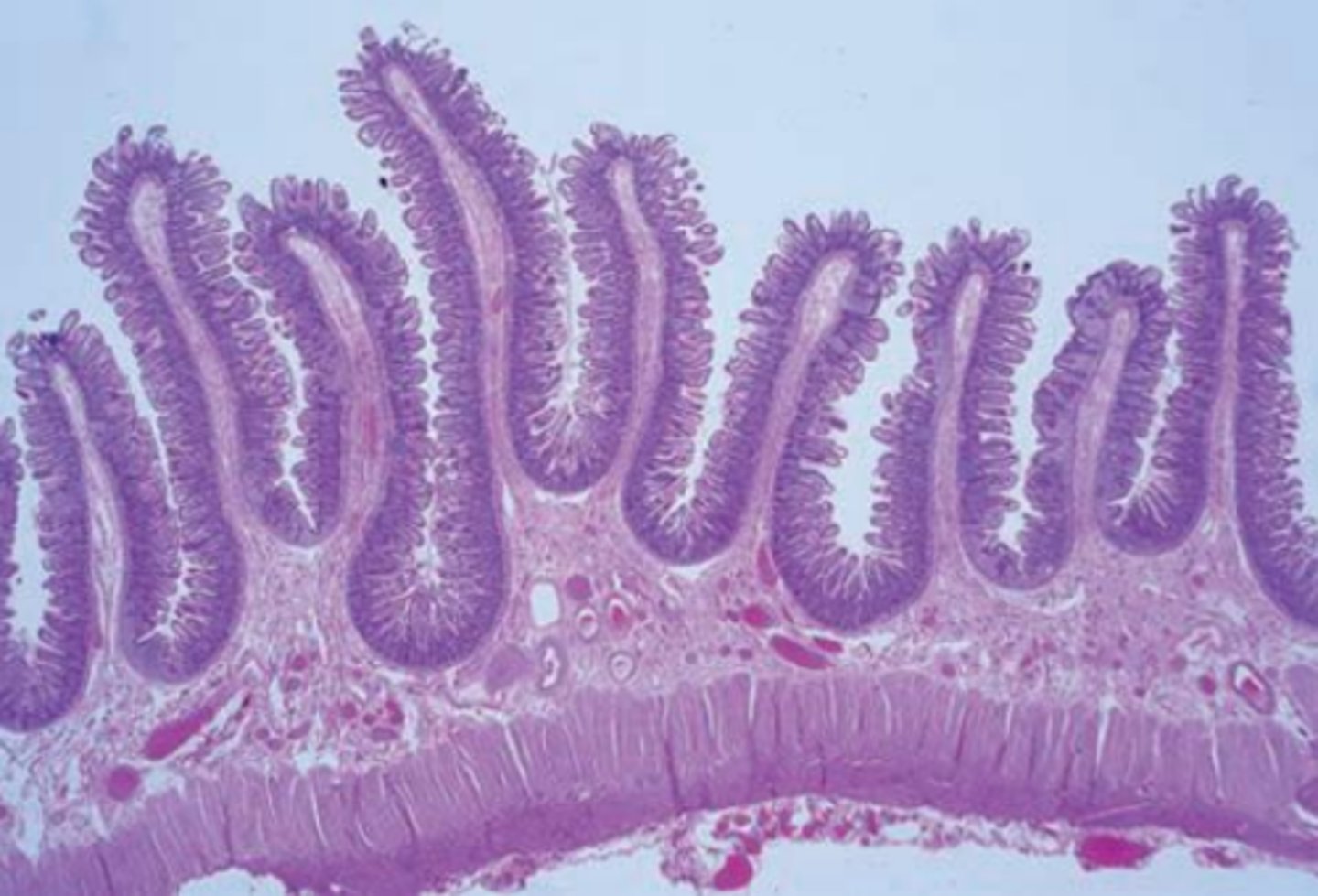
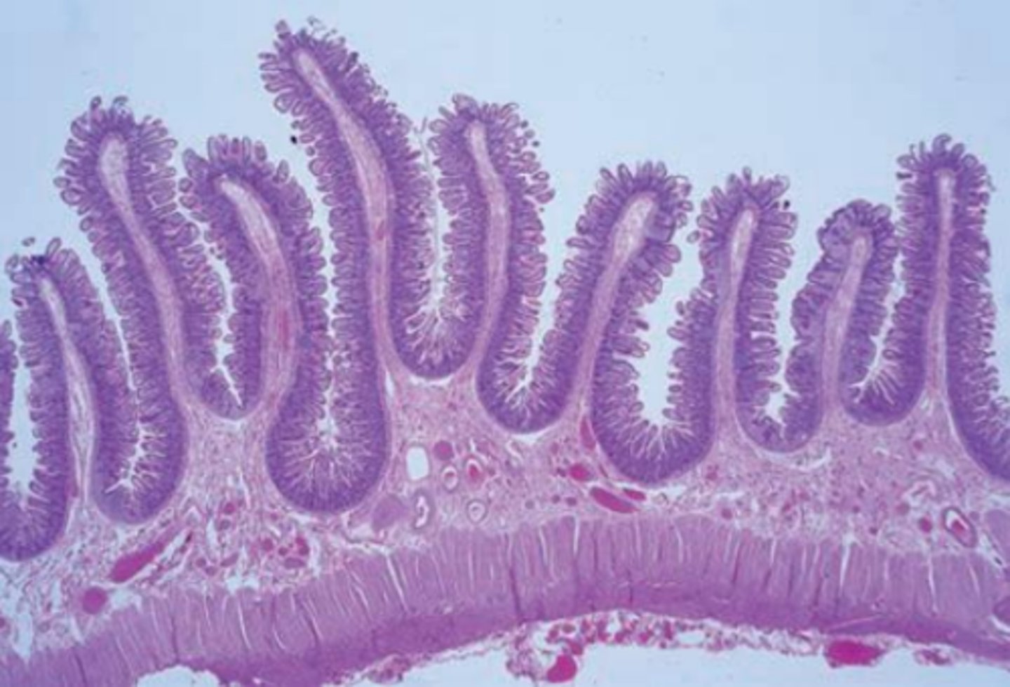
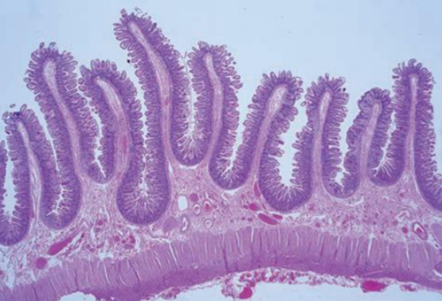
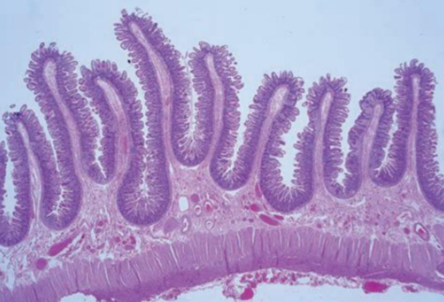
bundle cap

top of small intestine
villi

just below stop of small intestine structure
intestinal crypt and mucosa

small intestine structure under mucosa
submucosa

small band below the submucosa intestine structure
muscular externa

outline of the small intestine
sersoa
kidney digram(STUDY WHEN IT COMES UP)

1
bowmans capsul

4
glomerulus

2
renal corpuscle

mouse dissection

big branches
bronchus

smaller branches
bronchioles

tips of bronchioles
avoli

healthy lung tissue
more alveoli

Emphysema tissue
less alveoli

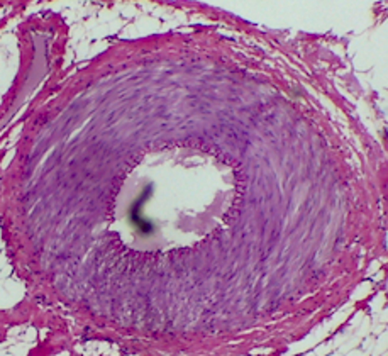
artery slide

vein slide

nerve slide

healthy artery

arterisclerosis
clogging of the arteries

blood pumps first through
superior vena cava
superior vena cava pumps to
right atrium
Triscupsid valve pumps to
right ventricle
right atrium pumps through
tricuspid valvue
right ventricle pumps to
pulmonary valve
pulmonary valve pumps out
pulmonary artery
pulmonary artery pumps in
pulmonary vein
pulmonary vein pump blood to
left atrium
from left atrium blood goes through
bicuspid valve
bicuspid valve pumps blood to
left ventricle
left ventricle pumps blood to
out the aorta
right ventricle
pumps deoxygenated blood to the lungs
does right ventricle have higher or lower pressure
lower
RV triangular or round
triangular
RV smooth or not
not smooth
left ventricle
Pumps oxygenated blood into the aorta
left ventricle has higher or lower pressure
higher
LV is round or triangular
round
LV smaller or larger
larger
RV smaller or larger
smaller
LV smooth or not
is smooth
Measuring Hemocrit
RBC/All blood x 100
Most strong human tastes
Bitter Sour
cornea- B
clear area of sclera that helps bend light onto retina

iris- H
colored sheet of muscle controls how much light enters eye

pupil - F
Hole in iris which light lets in the eye

lens- H
lear disk which focuses, gives fine focus

fovea
responsible for high accuracy vision

retina
senses light and sends signals to the optic nerve
