Parasitology Lab Exam 1

0.0(0)
studied byStudied by 0 people
full-widthCall with Kai
GameKnowt Play
learnLearn
examPractice Test
spaced repetitionSpaced Repetition
heart puzzleMatch
flashcardsFlashcards
Card Sorting

1/32

encourage image

There's no tags or description

Looks like no tags are added yet.

Study Analytics
Name
Mastery
Learn
Test
Matching
Spaced

No study sessions yet.

33 Terms

1
New cards

Trypanosoma Brucei species (brucei, gambiense, rhodesiene)

Name the species

<p>Name the species</p>
2
New cards

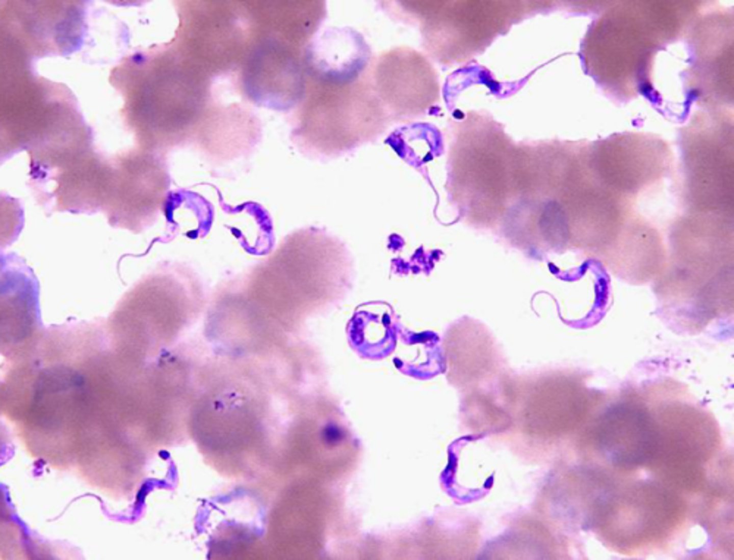
Trypanosoma Brucei - Trypomastigote

Name the stage and species

<p>Name the stage and species</p>
3
New cards

Tsetse fly (Glossina species)

T. Brucei species insect host

<p>T. Brucei species insect host</p>
4
New cards

Trypanosoma cruzi - Trypomastigote

Name the stage and species

<p>Name the stage and species</p>
5
New cards

Trypanosoma cruzi - Amastigote

Name the stage and species

<p>Name the stage and species</p>
6
New cards

Reduviid Kissing bug

T. Cruzi insect host

(Fam. Reduviidae Subfam. Triatomiane)

<p>T. Cruzi insect host</p><p> (Fam. Reduviidae Subfam. Triatomiane)</p>
7
New cards

Leishmania donovani - Amastigote

Name the stage and species

<p>Name the stage and species</p>
8
New cards

Leishmania donovani - Promastigote

elongated, mobile, and extracellular form of the Leishmania parasite found in the sand fly vector's midgut, characterized by a flagellum for motility, a nucleus, and a kinetoplast

<p><span>elongated, mobile, and extracellular form of the Leishmania parasite found in the sand fly vector's midgut, characterized by a flagellum for motility, a nucleus, and a kinetoplast</span></p>
9
New cards

Sandfly (Phlebotomus)

Vector of leishmania donovani

<p>Vector of leishmania donovani</p>
10
New cards

Chilomastix mesnili - Trophozoite

Name the stage and species

<p>Name the stage and species</p>
11
New cards

Chilomastix mesnili - Cyst

Name the stage and species

<p>Name the stage and species</p>
12
New cards

Giardia lamblia- Trophozoite

Name the stage and species

<p>Name the stage and species</p>
13
New cards

Giardia lamblia- Cyst

Name the stage and species

<p>Name the stage and species</p>
14
New cards

Trichomonas vaginalis - Trophozoite

Name the species and stage

<p>Name the species and stage</p>
15
New cards

Entamoeba histolytica - Trophozoite

Name the stage and species. NOTE: Nucleus with large central endosome with fine peripheral ring of chromatin. Also, note the large cytoplasmic vacuoles.

<p>Name the stage and species. NOTE: Nucleus with large central endosome with fine peripheral ring of chromatin. Also, note the large cytoplasmic vacuoles.</p>
16
New cards

Entamoeba histolytica - Cyst

Name the stage and species. NOTE: There are FOUR nuclei (not all are shown here) and the dark spot is chormatoidal bars with rounded ends.

<p>Name the stage and species. NOTE: There are FOUR nuclei (not all are shown here) and the dark spot is chormatoidal bars with rounded ends.</p>
17
New cards

Entamoeba coli - Trophozoite

Name the stage and species.

NOTE: Endosome eccentric and larger granules in the ring of peripheral chromatin. Also note how many more medium cytoplasmic vacuoles are present.

<p>Name the stage and species.</p><p>NOTE: Endosome eccentric and larger granules in the ring of peripheral chromatin. Also note how many more medium cytoplasmic vacuoles are present.</p>
18
New cards

Entamoeba coli - Cyst

Name the stage and species.

NOTE: Note chromatoidal bars present in immature cyst with splintered ends (not shown here). And the presence of EIGHT nuclei.

<p>Name the stage and species.</p><p>NOTE: Note chromatoidal bars present in immature cyst with splintered ends (not shown here). And the presence of EIGHT nuclei.</p>
19
New cards

Plasmodium species - Sporozoites

Name the stage and species

<p>Name the stage and species</p>
20
New cards

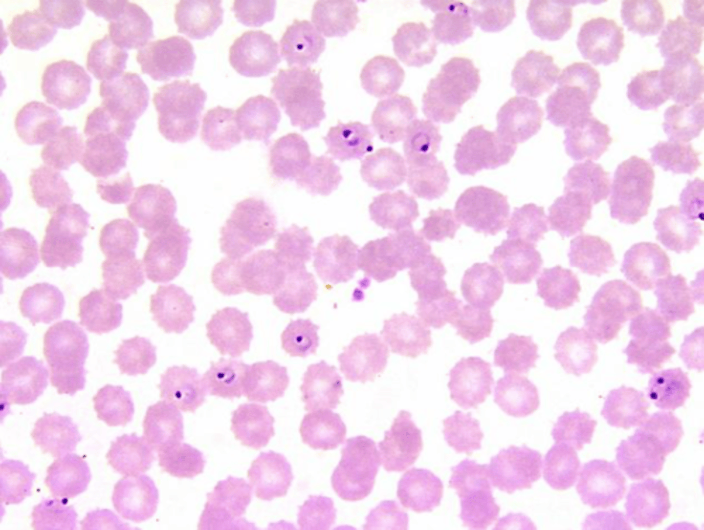
Plasmodium vivax - Trophozoite

Name the stage and species.

<p>Name the stage and species.</p>
21
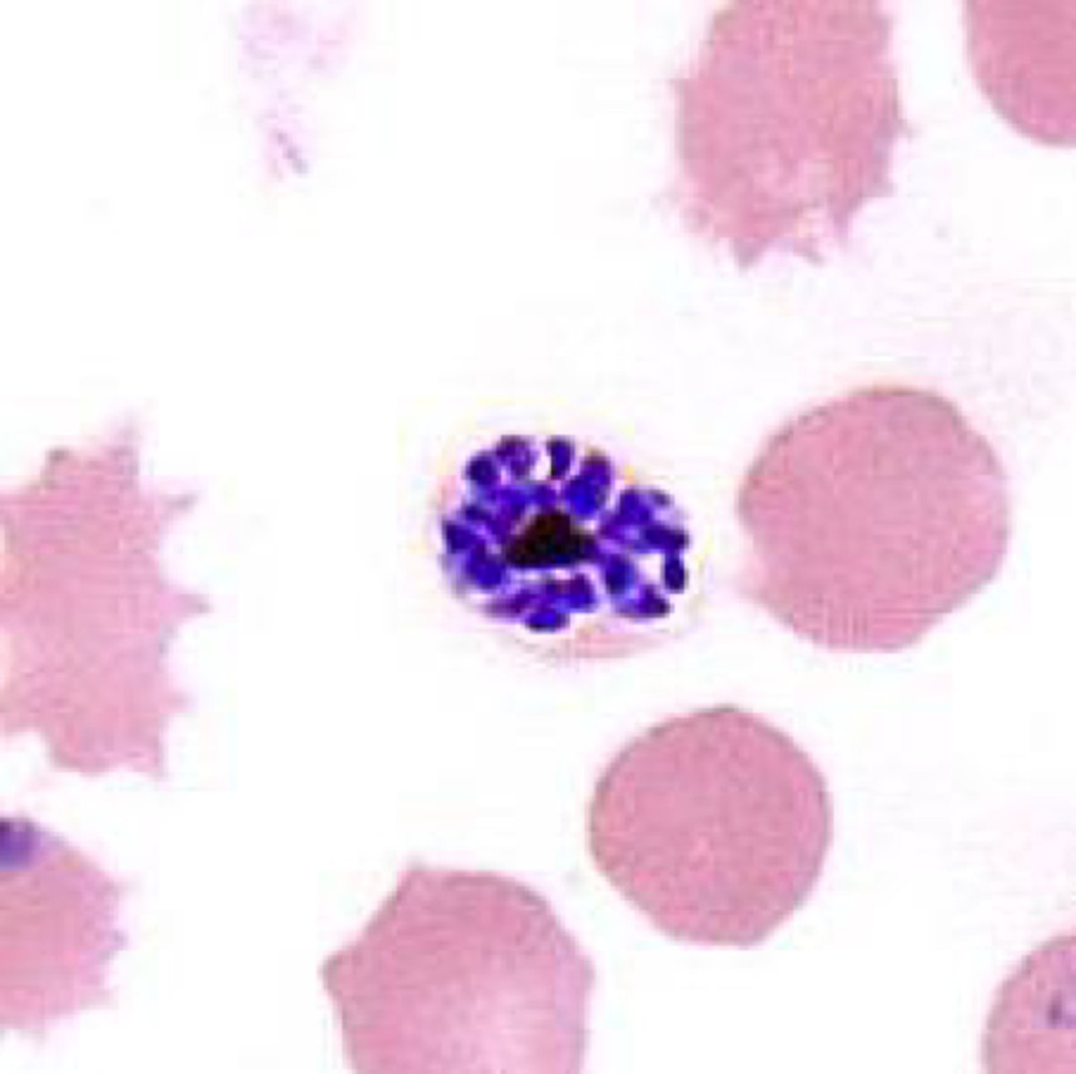
New cards

Plasmodium vivax - Schizont

Name the stage and species.

NOTE: 12-24 merozoites

<p>Name the stage and species.</p><p>NOTE: 12-24 merozoites</p>
22
New cards

Plasmodium falciparum - Trophozoite

Name the stage and species.

<p>Name the stage and species.</p>
23
New cards

Plasmodium falciparum - Schizont

Name the stage and species.

NOTE: 20-24 merozoites

<p>Name the stage and species.</p><p>NOTE: 20-24 merozoites</p>
24
New cards

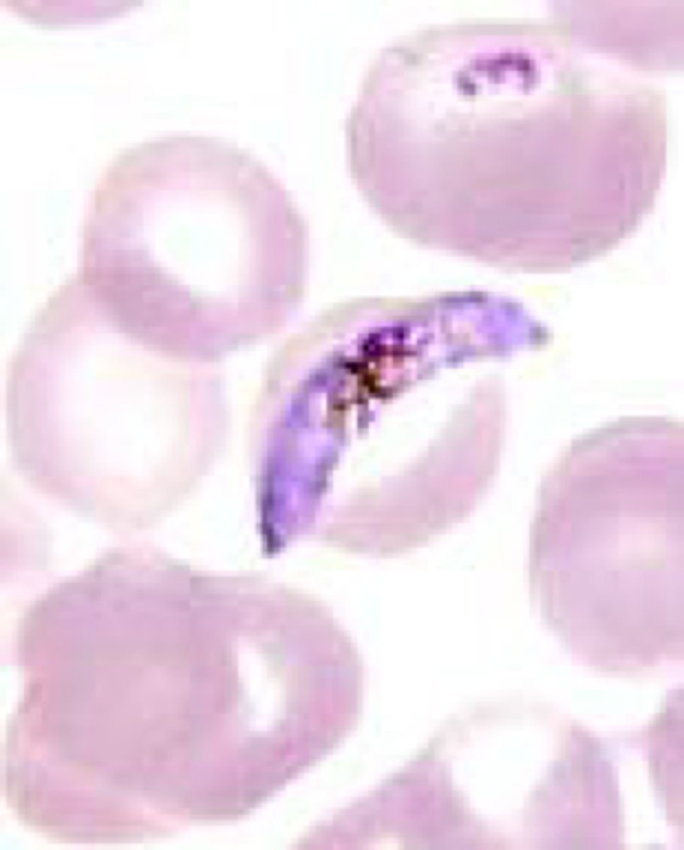
Plasmodium falciparum - gametes

Name the stage and species

<p>Name the stage and species</p>
25
New cards

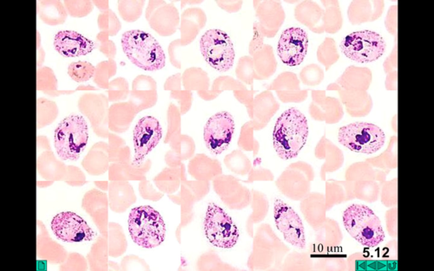
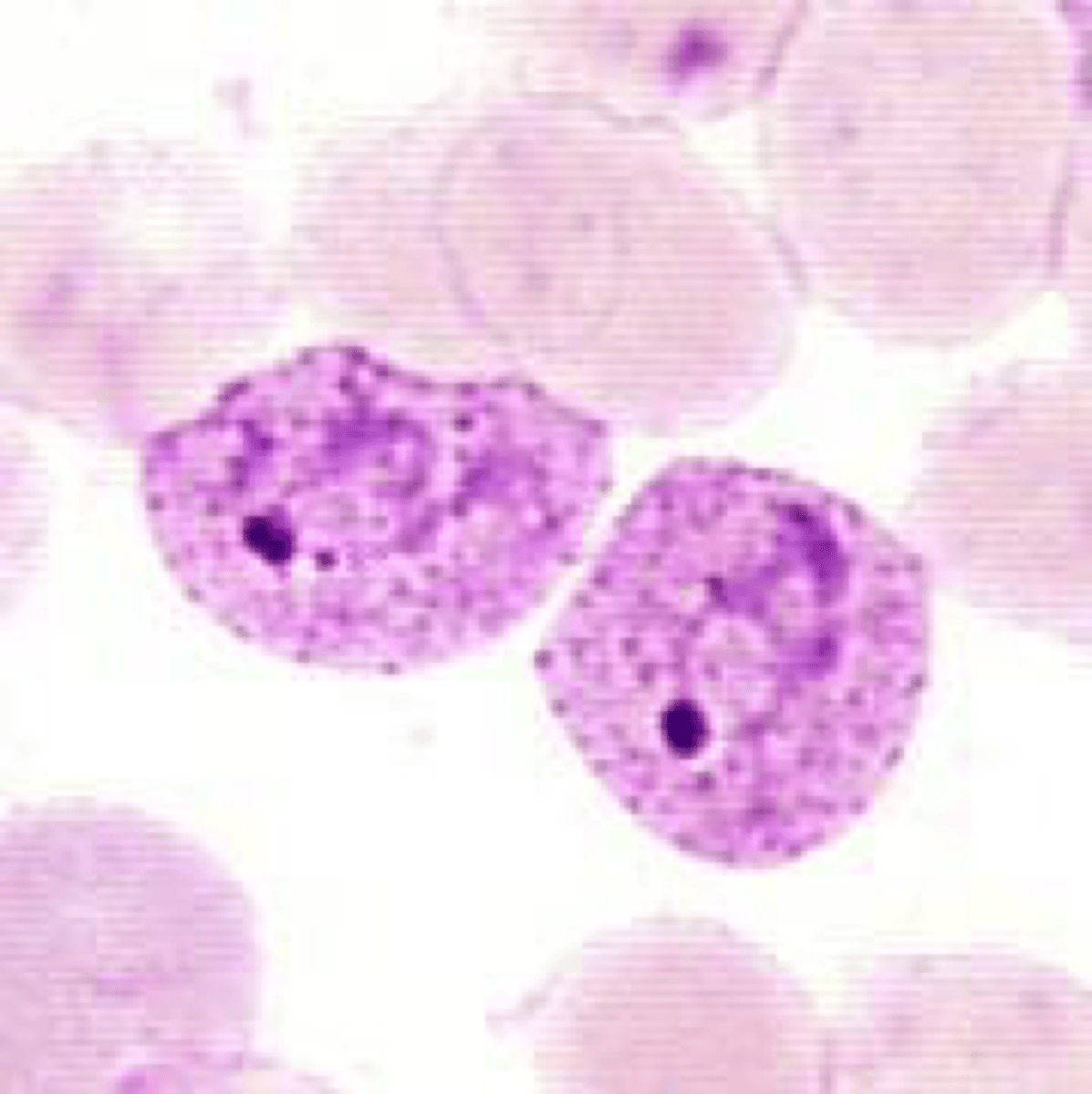
Plasmodium ovale - Trophozoite

Name the stage and species.

NOTE: Oval shape

<p>Name the stage and species.</p><p>NOTE: Oval shape</p>
26
New cards

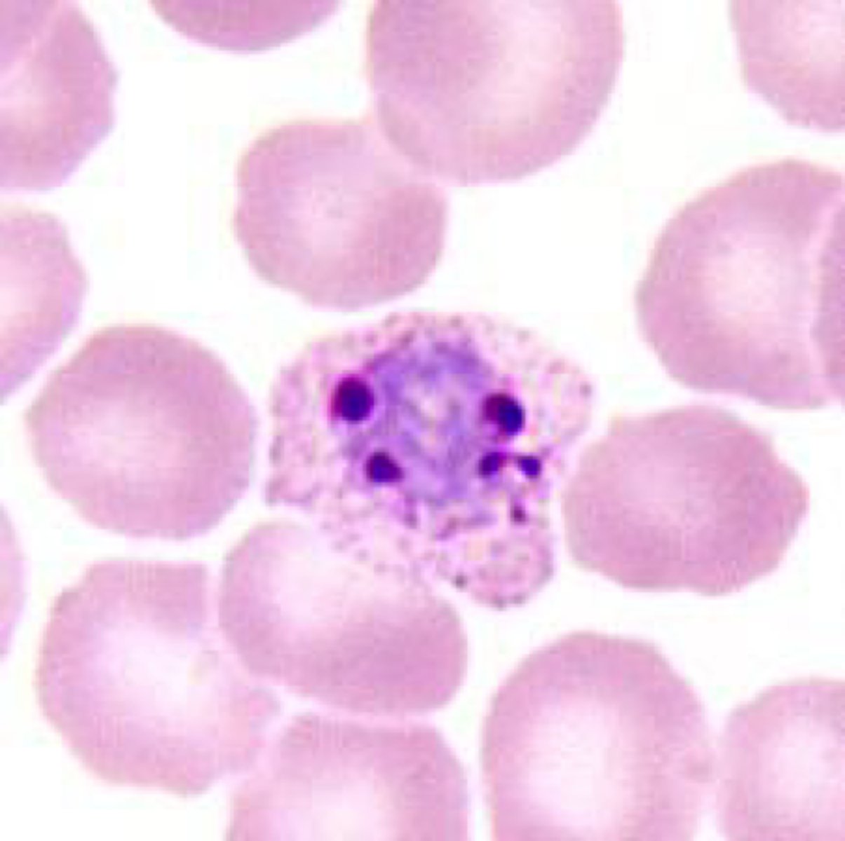
Plasmodium ovale - Schizont

Name the stage and species.

NOTE: 6-14 merozoites.

<p>Name the stage and species.</p><p>NOTE: 6-14 merozoites.</p>
27
New cards

Plasmodium malariae - Trophozoite

Name the stage and species.

<p>Name the stage and species.</p>
28
New cards

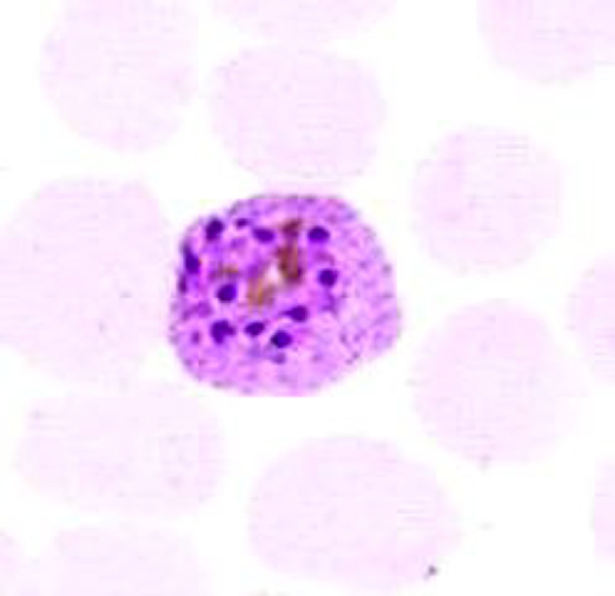
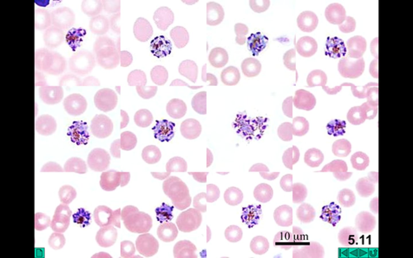
Plasmodium malariae - Schizont

Name the stage and species.

NOTE: Note 6-12 merozoites around the cell.

<p>Name the stage and species.</p><p>NOTE: Note 6-12 merozoites around the cell.</p>
29
New cards

Anopheles Mosquito

vectors of the parasite Plasmodium, a genus of protozoans that cause malaria in birds, reptiles, and mammals, including humans

<p><span>vectors of the parasite Plasmodium, a genus of protozoans that cause malaria in birds, reptiles, and mammals, including humans</span></p>
30
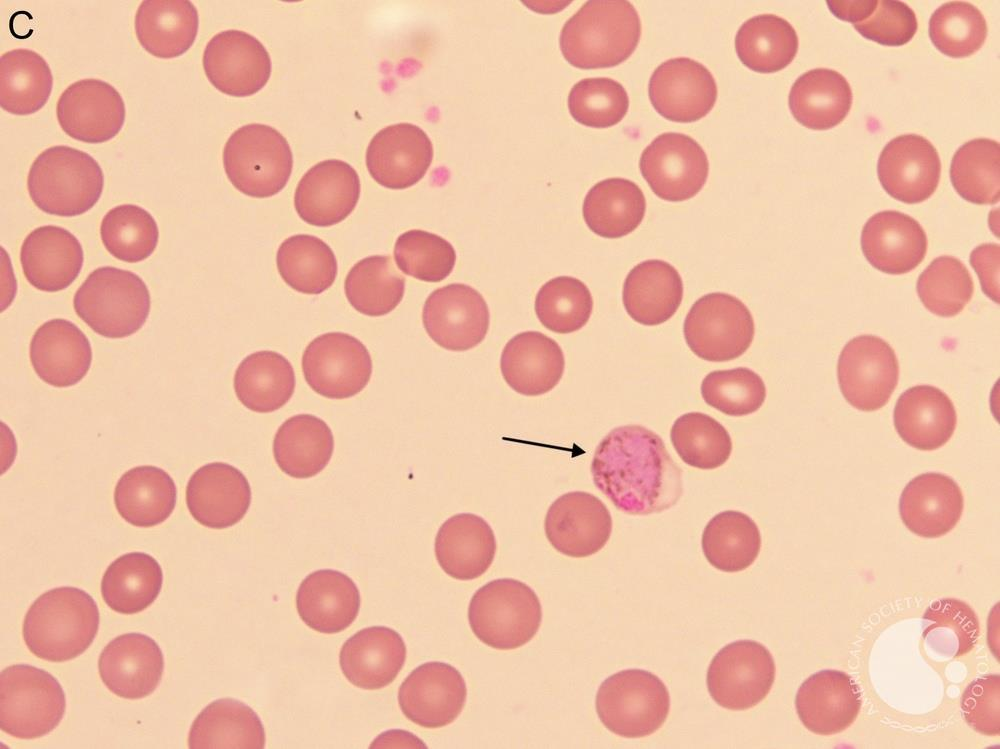
New cards

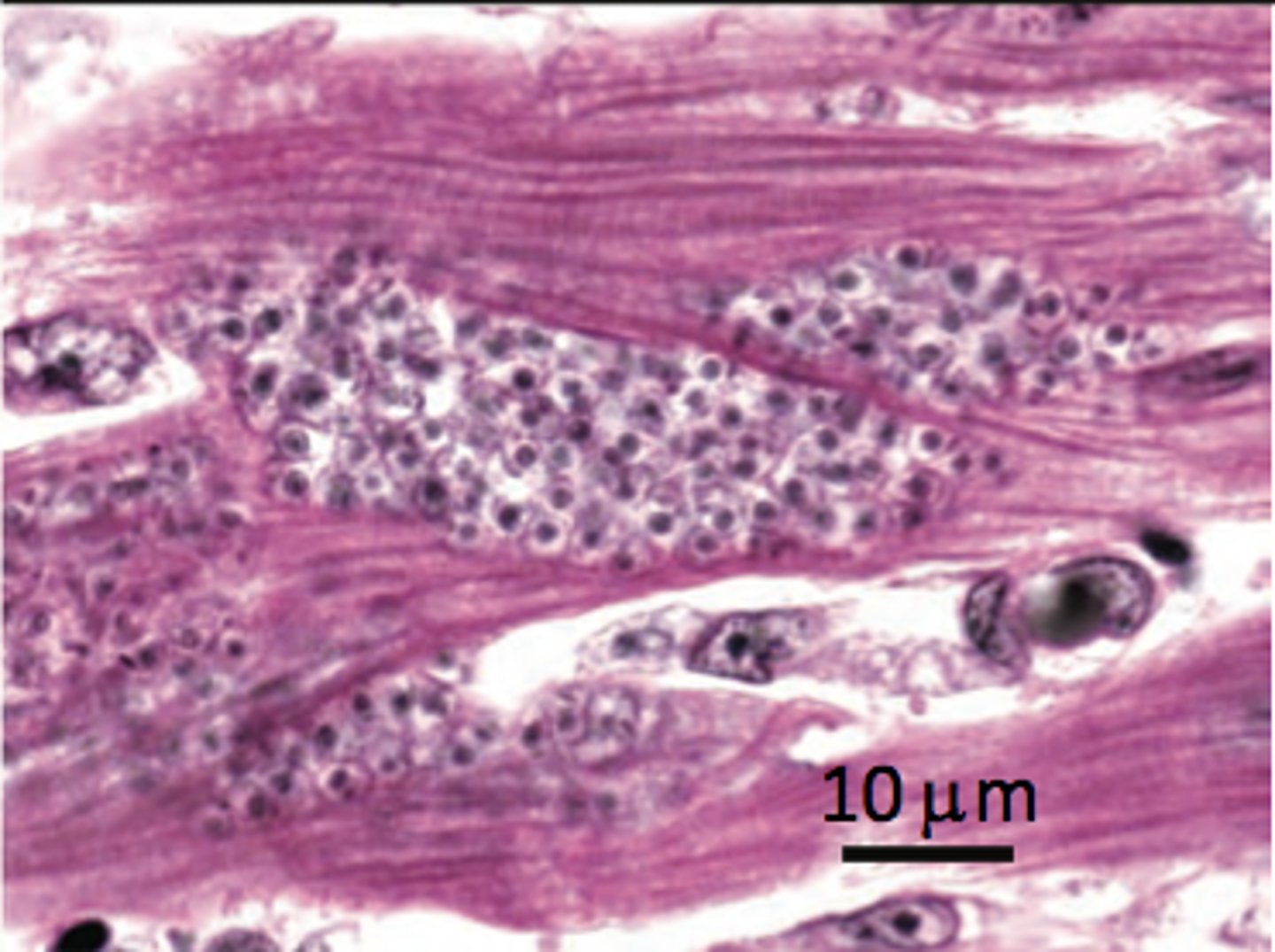
Plasmodium pathology

knowt flashcard image
31
New cards

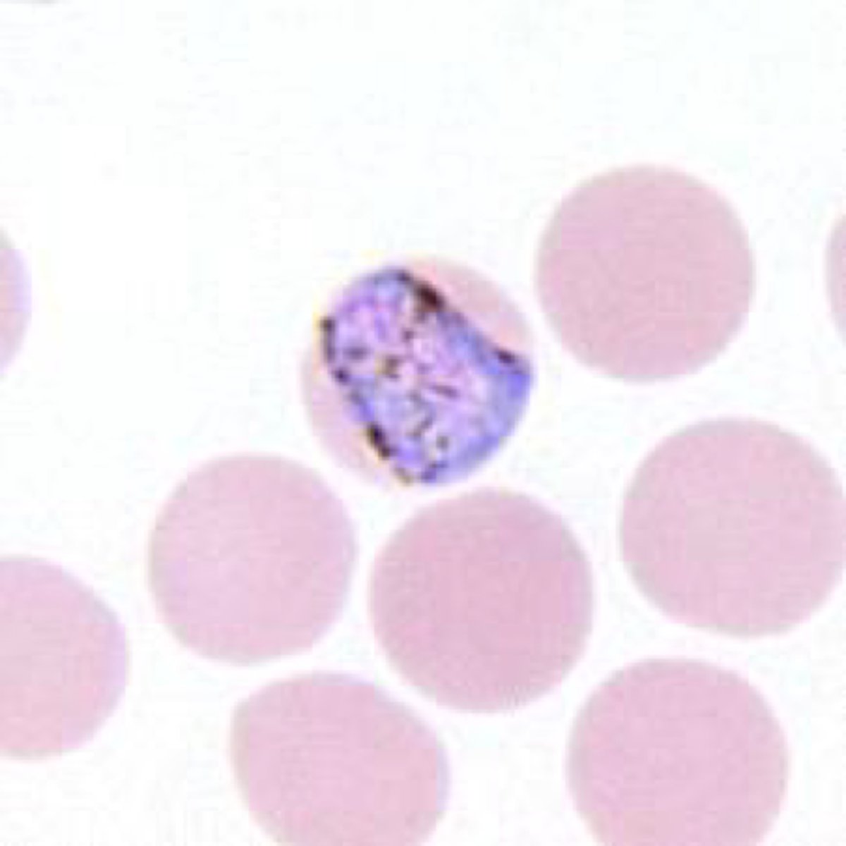
Plasmodium vivax macrogametocyte

knowt flashcard image
32
New cards

Plasmodium malariae macrogametocyte

knowt flashcard image
33
New cards

plasmodium ovale macrogametocyte

knowt flashcard image