BRACE YOURSELF!!! Its about to get rocky!! (Extracellular accumulations)

0.0(0)
studied byStudied by 0 people
0.0(0)
full-widthCall with Kai
GameKnowt Play
New
learnLearn
examPractice Test
spaced repetitionSpaced Repetition
heart puzzleMatch
flashcardsFlashcards
Card Sorting

1/79

encourage image

There's no tags or description

Looks like no tags are added yet.

Study Analytics
Name
Mastery
Learn
Test
Matching
Spaced

No study sessions yet.

80 Terms

1
New cards

extracellular accumulations

what are all of these?: Hyaline Substances, Amyloid, Fibrinoid Necrosis/Change, Collagen/Fibrosis, Fatty Infiltration, Gout/Pseudogout, Cholesterol, Calcification, Heterotopic Ossification

2
New cards

hyaline substances

homogenous, eosinophilic, and translucent appearance to a cellular or extracellular substance

3
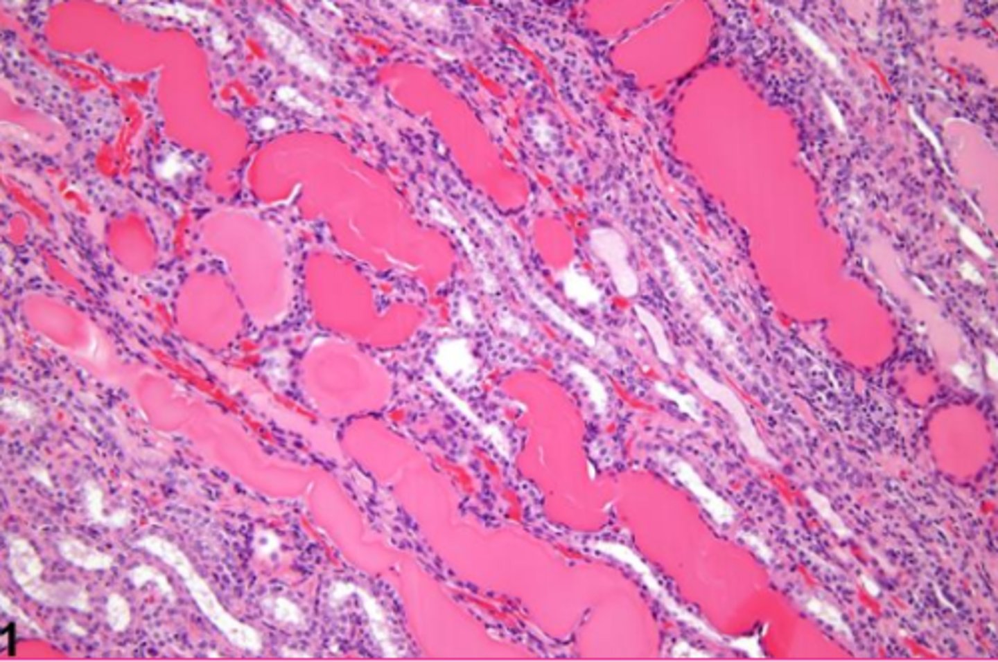
New cards

EOSINOPHILIC

Proteins are stained _________ in hyaline substances?

4
New cards

True

true/false: Hyaline is an ADJECTIVE to describe a substance, but often means theres protein somewhere

5
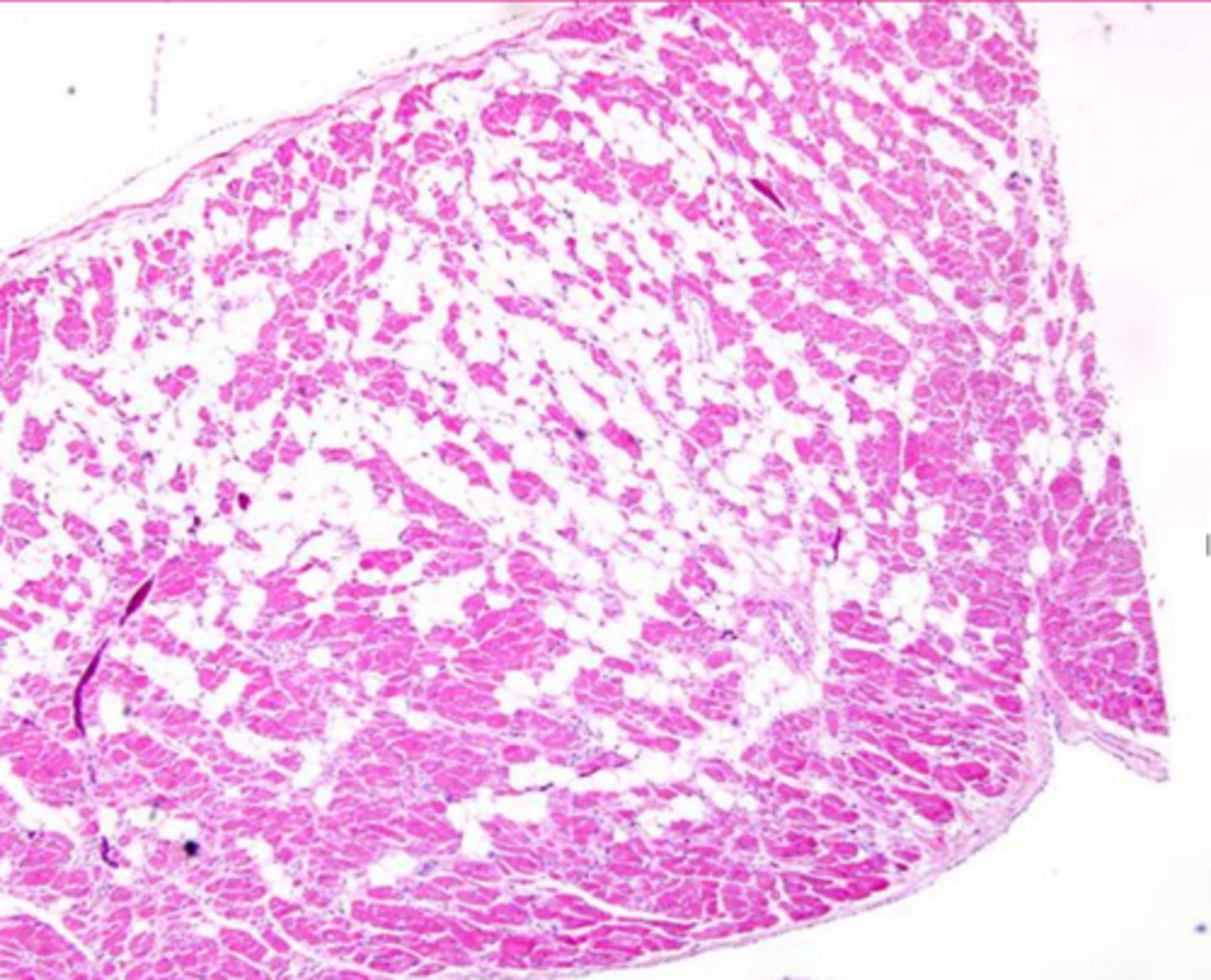
New cards

protein in renal tubules, serum/plasma in vessels, collagen fibers, thickened basement membranes, corpora amylacea

What are some examples of hyaline substances?

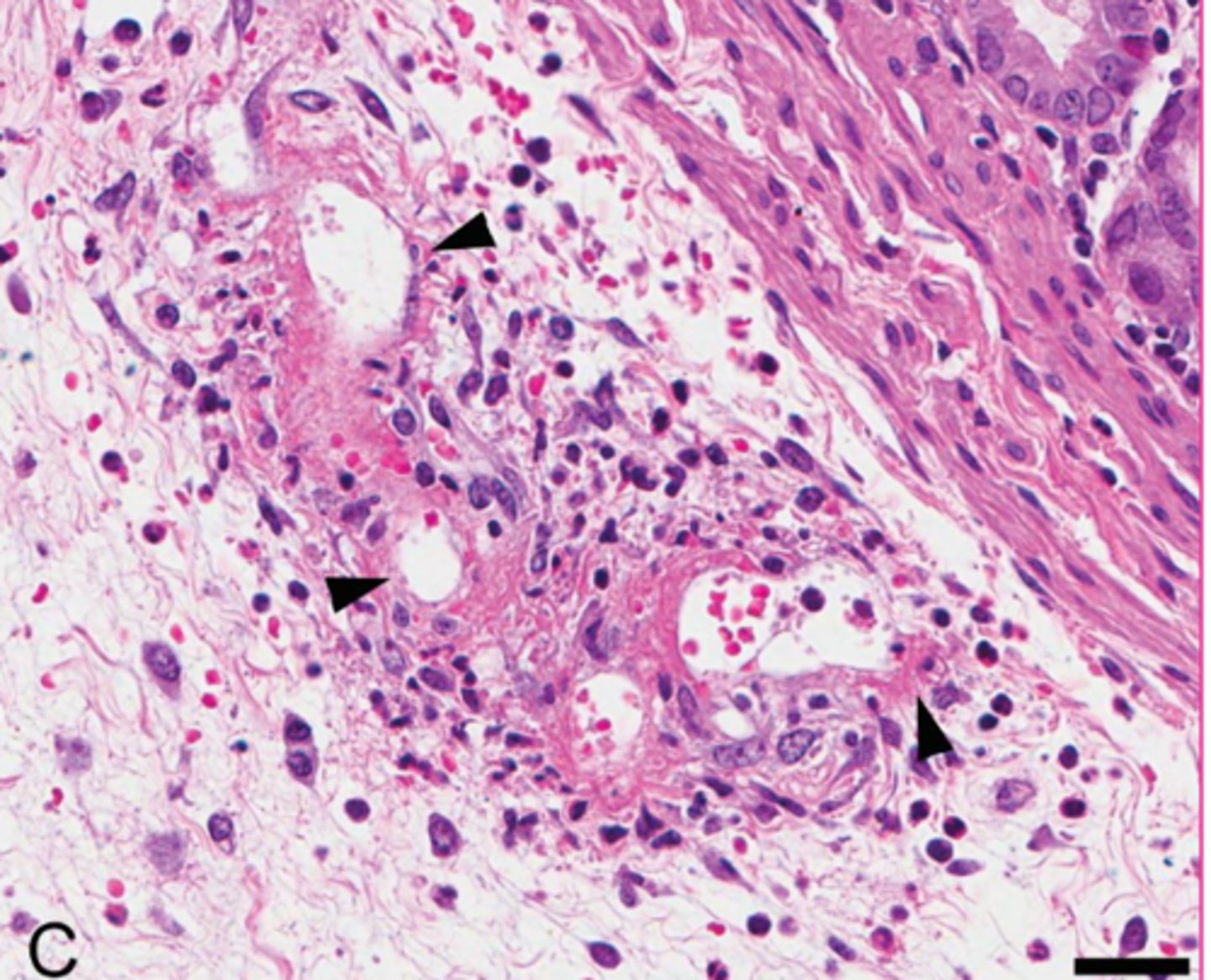
6
New cards

Concentric layers of glycoprotein in glands or CNS

Corpora amylacea? Wtf? Define:

7
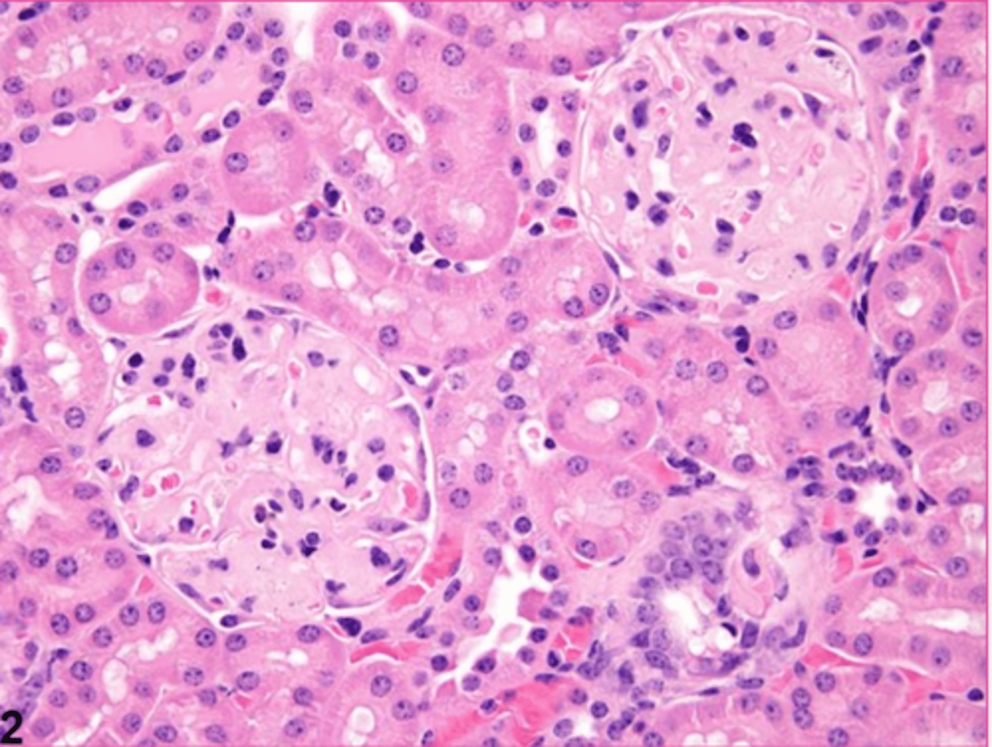
New cards

hyaline casts

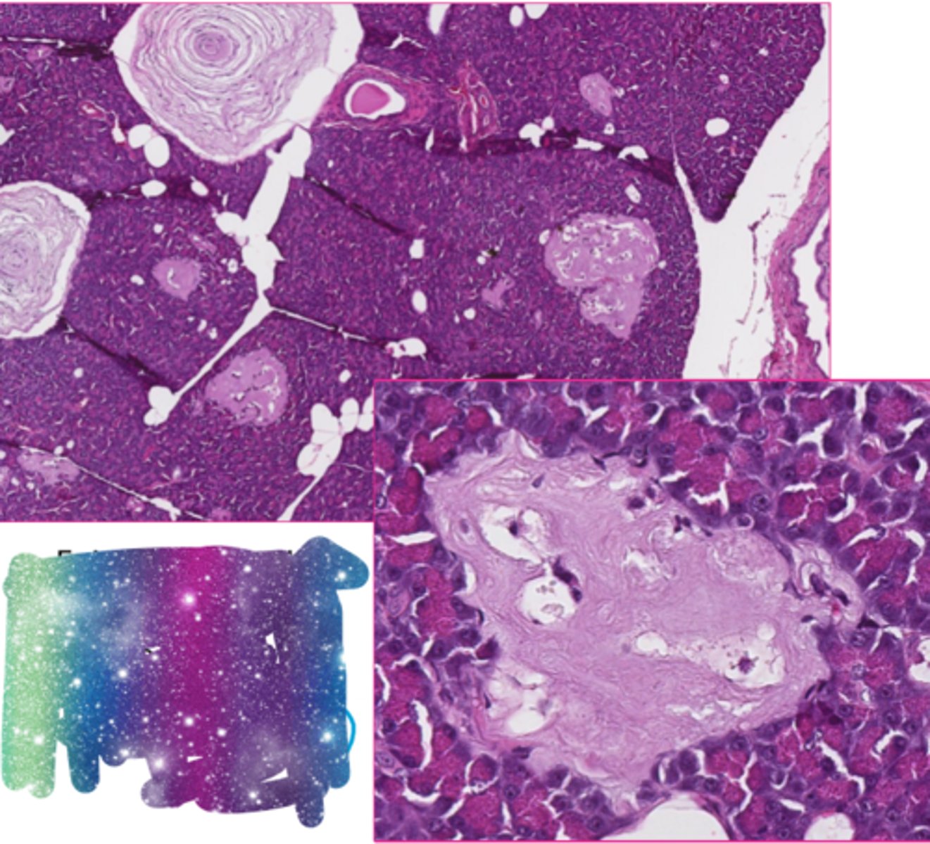
What extracellular inclusion?

<p>What extracellular inclusion?</p>
8
New cards

corpora amylacea

What extracellular inclusion?

<p>What extracellular inclusion?</p>
9
New cards

FALSE; named for it's ability to stain with iodine

true/false: amyloid is named for its "starch like" qualities

10
New cards

mis-folded proteins

What is amyloid?

11
New cards

highly ordered, fibrillar polypeptide chains, cross beta sheets, pathogenesis, morphological appearance

Amyloid is: Unfolded or partially unfolded proteins or peptide fragments

They are ___________, generic structure of ________________________

Rich in ______________________

Biochemically diverse with common __________ and ____________________

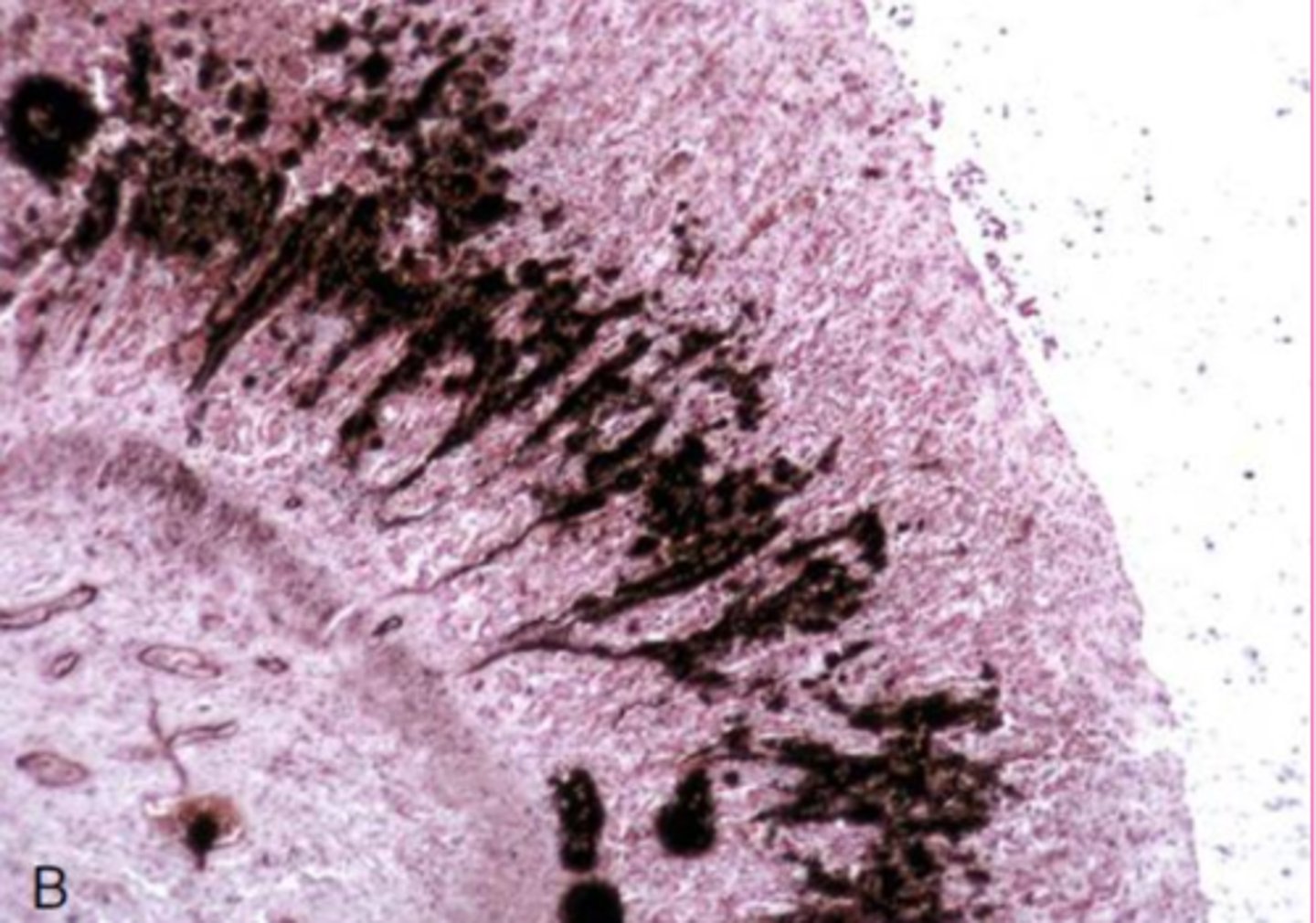
12
New cards

true

true/aflse: myloid proteins can self replicate

13
New cards

self-replicaiting template, failure to degrade, genetic mutations, overproduction from abnormality in synthesizing cell, loss of chaperone molecules in assembly process

There are 5 "causes" of amyloid on slide 10. Read if you want but they're all ways the body screws up proteins; listed VERY generally here:

14
New cards

precursor peptide/protein

Amyloid types are classified based on the biochemical identity of their _______________________

15
New cards

immunoglobulin light chains, plasma cells

AL type Amyloid is from __________________ derived from __________

16
New cards

Primary

is type AL amyloid primary or secondary?

17
New cards

dyscrasia, neoplasia, light chain fragments

AL is produced by plasma cell _________ or _______________. Where the abnormal plasma cells secrete the _________________ into circulation

18
New cards

serum amyloid A protein, hepatocytes, high-density lipoproteins

Type AA amylase, is a ________________________ produced by ________________ and bound to ____________________ in circulation

19
New cards

secondary; associated with other proteins

is Amyloid type AA primary or secondary?

20
New cards

Chronic inflamation!!! (AL is typically more localized)

Type AA amyloid is more associated with ________________

21
New cards

true

true/false: Amyloid type AA can have Hereditary or familial forms also recognized like in Shar-Pei dogs and Abyssinian cats

22
New cards

renal glomeruli, liver, spleen

AA amyloid is classically where?

23
New cards

read.

Read pls: (sorry) AA amyloid process:

taken up by cells and converted from alpha-helical confirmation to beta-sheets → forms oligomers that disrupt cell membranes and leave the cell → oligomers form fibrils that aggregate in deposits → disrupt tissue function

24
New cards

disrupts and damages

Deposition of amyloid ______- and ______________ tissues

25
New cards

systemic

what type of amyloid is Amyloid deposited around the body in multiple organs

26
New cards

localized

what type of amyloid is amyloid deposition restricted to tissues which produce the precursor protein or peptide

27
New cards

systemic

is systemic or localized amyloid more likely to be life threatening?

28
New cards

localized

These are both examples of what type of amyloid?

Islet amyloid peptide secreted by beta cells in pancreatic islets in cats

Beta-amyloid in cerebral cortex of aged dog with canine cognitive dysfunction

29
New cards

amyloid

describe the extracellular inclusion

<p>describe the extracellular inclusion</p>
30
New cards

amyloid

describe the extracellular inclusion

<p>describe the extracellular inclusion</p>
31
New cards

Congo red stain

what stain is uniquely associate with Amyloid inclusions?

32
New cards

apple green biferingence under polarized light

Congo red is orange-red on origional staining... but then you do something special to it. What does it look like and in what special conditions?

33
New cards

Firm, yellow, waxy, coalescing nodular or amorphous deposits

describe amyloid grossly

34
New cards

iodine, sulfuric acid

you pan amyloid lesions with ______ to get a yellow color, add _______ to get blue violet

35
New cards

conjunctival amyloidosis

Describe this lesion

<p>Describe this lesion</p>
36
New cards

AA

Which type of amyloid?

<p>Which type of amyloid?</p>
37
New cards

Fibrinoid necrosis

Type of extracellular change from the leakage of plasma proteins into the vessel wall

38
New cards

true

true/false: fibrinoid necrosis is related to inflammation, infection, trauma, or other injury

39
New cards

fibrinoid necrosis change

describe the extracellular accumulation

<p>describe the extracellular accumulation</p>
40
New cards

fibrosis

_________: excess in fibrous collagen (type I collagen) in the interstitium

41
New cards

fibroblasts, injury or inflammation

collagen/fibrosis is typically produced by __________________ after _________________ or ____________

42
New cards

scarring

collagen/fibrosis can also be present in ____________ that may compromise organ function

43
New cards

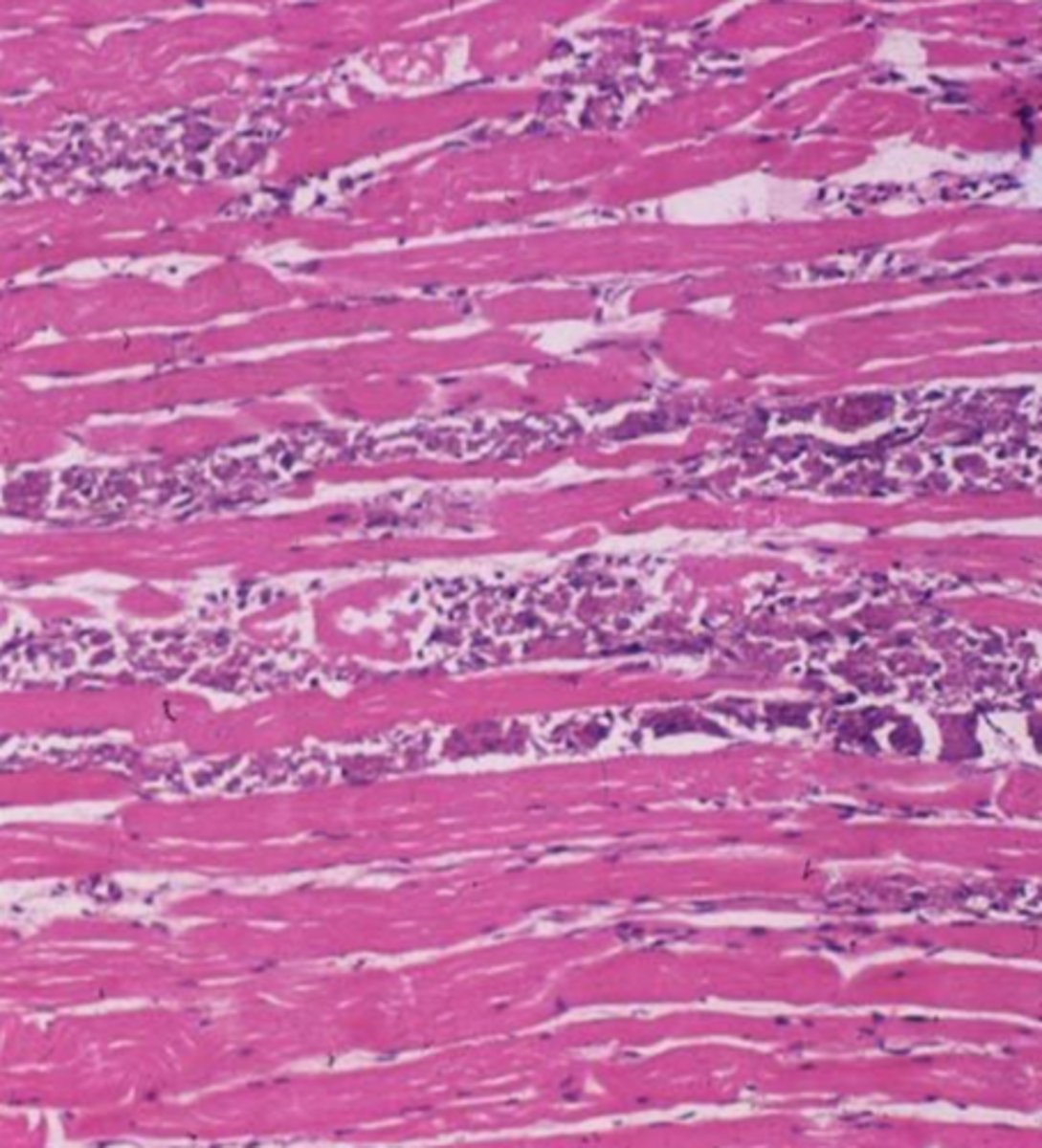
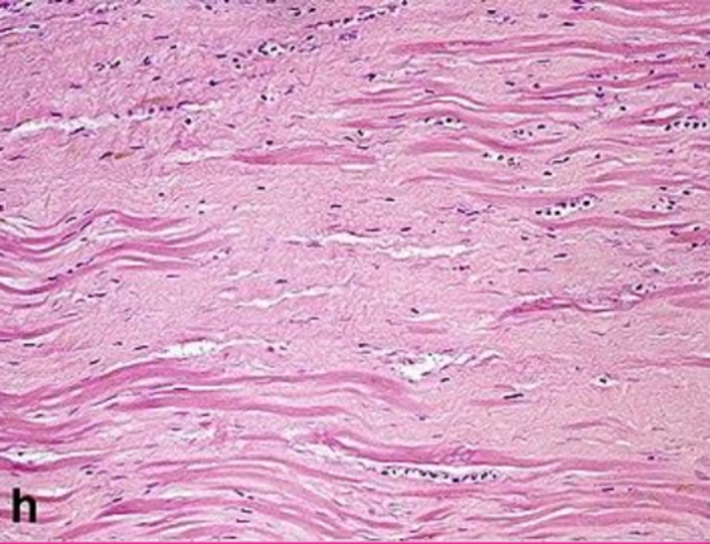
myocardial fibrosis

Describe this extracellular inclusion (heart muscle)

<p>Describe this extracellular inclusion (heart muscle)</p>
44
New cards

fatty infiltration

_______________: Increase in the number and/or volume of adipocytes in the interstitium of an organ or tissue due to obesity, cardio- or skeletal myopathies, or atrophied tissue

45
New cards

fatty infiltration

Describe the extracellular accumulation (this is a heart muscle)

<p>Describe the extracellular accumulation (this is a heart muscle)</p>
46
New cards

gout

________: deposition of sodium urate crystals (urates) in tissues

47
New cards

birds, reptiles

gout is most commonly seen in animals in _______ and _______

48
New cards

pseudogout

___________________: deposition of calcium pyrophosphate crystals in tissues

49
New cards

tophi

What is the specific term for the inflammatory response ellicited from neutrophils/heterophils and macrophages by gout

50
New cards

articular, visceral

What are the two types of gout?

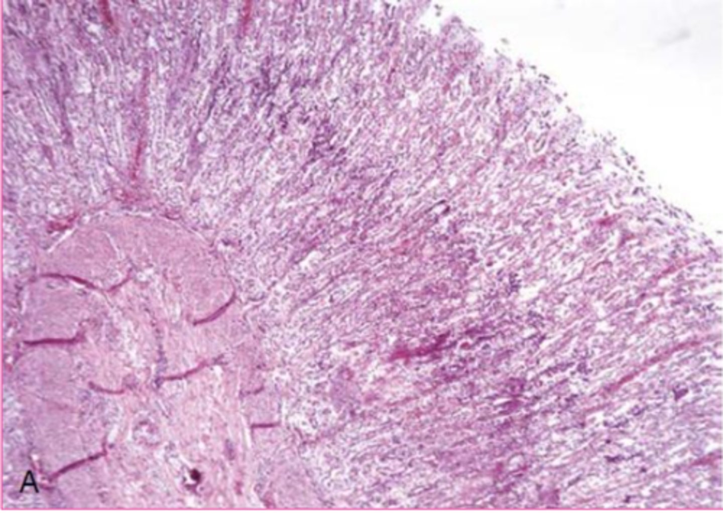
51
New cards

renal gout tophi

Describe this extracellular inclusion in the kidney

<p>Describe this extracellular inclusion in the kidney</p>
52
New cards

cholesterol

_______________ crystals can form at sites of hemorrhage or necrosis but dissolve during processing, forming acicular clefts seen in histologic sections

53
New cards

macrophages

what do cholesterol crystals attract?

54
New cards

cholesterol

what is this extracellular inclusion?

<p>what is this extracellular inclusion?</p>
55
New cards

pathological calcification

____________________: deposition of calcium salts in soft tissues

56
New cards

metastatic calcification

type of calcification as the result of hypercalcemia

57
New cards

calcium and phosphorus

Metastatic calcification occurs as the result of an imbalance of _______ and _________

58
New cards

Primary hyperparathyroidism, Renal secondary hyperparathyroidism, Hypervitaminosis D (plant toxicosis, rodenticides), Paraneoplastic syndromes

What are some causes of metastatic calcification

59
New cards

intima, tunica media, basophilic stippling

Microscopically, metastatic calcification looks like deposits in the _______ and _________ of vessels, with a subtle ________________

60
New cards

von kossa, the silver in it stains the calcium salts black

What is the specific stain associated with calcium? How does it work?

61
New cards

gastric calcification

Describe this extracellular inclusions?

<p>Describe this extracellular inclusions?</p>
62
New cards

Von kossa staining

this is calcification... why does it look like that?

<p>this is calcification... why does it look like that?</p>
63
New cards

gritty white ish granules or streaks

Describe mestastatic calcification grossly

64
New cards

Metastatic calcification

what would make this aorta look like that?

<p>what would make this aorta look like that?</p>
65
New cards

dystrophic calcification

type of calcification of dead tissue as part of necrosis

66
New cards

loss of Ca balance during cell injury

What is the machanism for dystrophic calcification?

67
New cards

mitochondria, ER, cytosol

where is caclium sequestered in a healthy cell

68
New cards

white muscle disease

what is dystrophic calcification in striated muscle called? (from vitamin E/Se deficiency

69
New cards

necrosis, repetitive trauma

what are the main causes of dystrophic calcification?

70
New cards

basophilic stippling, mitochondria, basophilia

Dystrophic calcification is initially visible as _________ most profoundly in the [what organelle]. But then progresses to the whole cell and extracellular tissue as widespread intense ______________

71
New cards

dystrophic calcification

this is actually a caseous necrosis, but how would you describe the extracellular inclusions?

<p>this is actually a caseous necrosis, but how would you describe the extracellular inclusions?</p>
72
New cards

gritty white ish granules or streaks

describe dystrophic calcification grossly

73
New cards

dystrophic calcification

describe what extracellular inclusion you would expect to see with this lesion

<p>describe what extracellular inclusion you would expect to see with this lesion</p>
74
New cards

dystrophic

is this dystrophic or metastatic?

<p>is this dystrophic or metastatic?</p>
75
New cards

heterotropic ossification

______________: formation of bony tissue at an extra-skeletal site

76
New cards

in chronic lesions of soft tissue calcification

Where do you find Heterotropic ossification?

77
New cards

False; does not always ossify

true/false: Pathological calcification, given enough time, will always calcify

78
New cards

hard spicules or nodules

What does heterotropic ossification look like grossly?

79
New cards

in lungs and dura of old dogs

Heterotrophic ossification can be an incidental finding on necropsy... for example, in:...

80
New cards

Dural ossification

What is this extracellular inclusion of the dura mater?

<p>What is this extracellular inclusion of the dura mater?</p>