FOM Week 15 LEC 131-137

5.0(1)
studied byStudied by 33 people
full-widthCall with Kai
GameKnowt Play
learnLearn
examPractice Test
spaced repetitionSpaced Repetition
heart puzzleMatch
flashcardsFlashcards
Card Sorting

1/131

flashcard set

Earn XP

Description and Tags

Each question labeled with lecture # (E.g. 131). Check out Amaya's Knowt Deck for Cranial Nerve facts: https://knowt.com/flashcards/77dd97c7-875d-42b1-84ab-8d05714e18a6

Study Analytics
Name
Mastery
Learn
Test
Matching
Spaced

No study sessions yet.

132 Terms

1
New cards

(131) The Iliac Crest is at the level of:

L4-L5

2
New cards

(131) The PSIS is at the level of:

S2

3
New cards

(132) A positive Murphy’s Sign is suggestive of:

acute cholecysitis

4
New cards

(132) A positive McBurney’s Point test is suggestive of:

acute appendicitis

5
New cards

(132) A positive Rebound Tenderness test is suggestive of:

peritonitis or appendicitis

6
New cards

(132) A positive Referred Rebound Tenderness test is suggestive of:

peritonitis

7
New cards

(132) A positive Rovsing’s Sign is suggestive of:

appendicitis

8
New cards

(132) A positive Obturator Sign is suggestive of:

peritoneal inflammation and appendicitis

9
New cards

(132) A positive Psoas Sign is suggestive of:

appendicitis

10
New cards

(132) Murphy’s Sign Setup:

Hook the left thumb or fingers from right hand in the right upper quadrant. Then ask patient to breathe deeply during palpation. A sharp increase in tenderness with a sudden stop of inspiratory effort constitutes a positive test

11
New cards

(132) McBurney’s Point Setup:

Located 1/3 from the ASIS and 2/3 from the umbilicus in the right lower quadrant

12
New cards

(132) Rebound Tenderness test Setup:

Palpate the abdomen by pressing deeply with pads of fingertips. After a moment, quickly release the pressure. Notice any signs of pain. Test is positive if there is more pain with releasing the pressure

13
New cards

(132) Referred Rebound Tenderness test Setup:

Examiner palpates by pressing deeply any one of the quadrants and quickly releases. Patient feels pain in another quadrant with release of pressure

14
New cards

(132) Rovsing’s Sign Setup:

Palpation of the left lower quadrant produces pain in the right lower quadrant

15
New cards

(132) Obturator Sign Test Setup:

With the patient supine, flex the patient’s right thigh at the hip with the knee bent. Internally rotate at the hip (bring ankle outward). Assess for pain at the right lower quadrant.

16
New cards

(132) Psoas Sign Test Setup:

With the patient supine, place the hand just above right knee, and ask patient to raise the thigh against your resistance.

17
New cards

(133) First-generation Cephalosporins have a _____ spectrum of activity:

Narrow

18
New cards

(133) Second-generation Cephalosporins have a _____ spectrum of activity:

Moderate

19
New cards

(133) Third-generation Cephalosporins have a _____ spectrum of activity:

Extended

20
New cards

(133) Fourth-generation Cephalosporins have a _____ spectrum of activity:

Broad

21
New cards

(133) Cefazolin is a:

First-gen Cephalosporin

22
New cards

(133) Cephalexin is a:

First-gen Cephalosporin

23
New cards

(133) Cefuroxime is a:

Second-gen Cephalosporin

24
New cards

(133) Cefoxitin is a:

Second-gen Cephalosporin

25
New cards

(133) Ceftriaxone is a:

Third-gen Cephalosporin

26
New cards

(133) Cefotaxime is a:

Third-gen Cephalosporin

27
New cards

(133) Cefdinir is a:

Third-gen Cephalosporin

28
New cards

(133) Ceftazidime is a:

Third-gen Cephalosporin

29
New cards

(133) Cefepime is a:

Fourth-gen Cephalosporin

30
New cards

(133) Ceftaroline is a:

Advanced-gen Cephalosporin

31
New cards

(133) This type of Cephalosporin is the most prescribed gen:

Third-gen Cephalosporin

32
New cards

(133) Cefazolin is commonly used for:

surgical prophylaxis

33
New cards

(133) Cephalexin is commonly used for:

oral for uncomplicated infections

34
New cards

(133) Ceftriaxone is commonly used for:

Serious infections, including meningitis, gonorrhea, Lyme disease (disseminated)

35
New cards

(133) Cefotaxime is commonly used for:

Serious infections, including meningitis, gonorrhea, Lyme disease (disseminated)

36
New cards

(133) Cefepime is commonly used for:

the treatment of severe infections

37
New cards

(133) Ceftriaxone is special in that it:

is only CDC recommended treatment of uncomplicated gonorrhea

38
New cards

(133) Amoxicillin is special in that it:

can be given during pregnancy

39
New cards

(133) Oral Vancomycin is special in that it:

can treat C. difficile infection in the gut

40
New cards

(133) Ceftriaxone excretion:

eliminated via the biliary system

41
New cards

(133) Cefotaxime excretion:

excreted in urine

42
New cards

(133) Ceftriaxone Renal Considerations:

does not need dose adjustment in patients with
renal impairment

43
New cards

(133) Cefotaxime Renal Considerations:

dose should be reduced in patients with severe renal impairment

44
New cards

(133) Ceftriaxone Half life:

longer half-life, allows 1x daily dosing

45
New cards

(133) Cefotaxime Half life:

short half-life requires frequent dosing (every 6
to 8 hours)

46
New cards

(133) Ceftriaxone and Neonates:

highly bound to plasma proteins and can displace unconjugated bilirubin, which can lead to kernicterus (encephalopathy) in the newborn

47
New cards

(133) Cefotaxime and Neonates:

preferred in neonates, does not cause kernicterus

48
New cards

(133) Ertapenem is special in that it:

is ineffective against Pseudomonas

49
New cards

(133) Relebactam and Vaborbactam are special in that they:

Beta-lactamase inhibitors, reversible

50
New cards

(133) Beta-Lactams Mechanism of Action

Inhibit bacterial cell wall synthesis by binding to penicillin-binding proteins (PBPs), preventing peptidoglycan cross-linking

51
New cards

(133) Vancomycin Mechanism of Action

Inhibit bacterial cell wall synthesis by binding to D-Ala-D-Ala terminus of peptidoglycan precursors, preventing cross-binding

52
New cards

(133) Daptomycin Mechanism of Action

Binds to bacterial cell membranes and causes depolarization, leading to potassium efflux and cell death

53
New cards

(133) Penicillin Antibacterial Spectrum

Gram-positive bacteria

54
New cards

(133) Carbapenem Antibacterial Spectrum

Very Broad Spectrum

55
New cards

(133) Vancomycin Antibacterial Spectrum

Gram-Positive Bacteria, especially MRSA and MRSE

56
New cards

(133) Daptomycin Antibacterial Spectrum

Gram-Positive Bacteria

57
New cards

(133) Beta-Lactams Mechanism of Resistance

Beta-Lactamase production, PBP mutations, efflux pumps

58
New cards

(133) Vancomycin Mechanism of Resistance

VanA/VanB genes

59
New cards

(133) Function of VanA/VanB genes

Modify D-Ala-D-Ala terminus to D-Ala-D-Lac to reduce Vancomycin binding

60
New cards

(133) Daptomycin Mechanism of Resistance

Membrane alteration, increased production of surface charge molecules

61
New cards

(133) Aztreonam is special in that it:

targets only gram-negative aerobic cocci and bacilli

62
New cards

(133) Carbapenem is special in that it:

resistant to beta-lactamase degradation

63
New cards

(133) Red Man Syndrome

Medical condition in which flushing on face, neck and trunk occur due to high concentration or rapid IV vancomycin infusion

64
New cards

(134) Aminoglycosides Mechanism of Action

Bind the bacterial polysomes at the 16S rRNA on the 30S ribosome, causing miscoding of amino acids in the emerging
peptide chain

65
New cards

(134) Aminoglycosides Antibacterial Spectrum

Gram-negative bacteria and some Gram-Positive bacteria

66
New cards

(134) Aminoglycosides Mechanism of Resistance

transferase enzymes that inactivate the drugs by phosphorylation, adenylation, or acetylation

67
New cards

(134) Plazomicin is special in that it:

is used for treatment of complicated urinary tract infections not responsive to other antibiotics

68
New cards

(134) Streptomycin is special in that it:

is used for treatment of tularemia and plague (zoonotic infections) and drug-resistant tuberculosis

69
New cards

(134) Gentamicin and tobramycin are special in that they:

most frequently used aminoglycosides

70
New cards

(134) Aminoglycosides Adverse Drug Effects

nephrotoxicity, ototoxicity, and neuromuscular blockade (high doses)

71
New cards

(134) Examples of Aminoglycosides

Gentamicin, Neomycin, Amikacin, Tobramycin, Streptomycin

72
New cards

(134) Concentration-dependent killing

↑ [Drug] → ↑ rate and ↑ extent of bacterial killing

73
New cards

(134) Post-antibiotic effect

Suppression of bacterial growth persists beyond the time during which measurable drug is present

74
New cards
<p>(134) Identify the condition:</p>

(134) Identify the condition:

Scotomas

75
New cards

(134) Scotomas

Medical condition of blind spots caused by Streptomycin, due to optic nerve toxicity.

76
New cards

(135) Tetracyclines Mechanism of Action

prevent protein synthesis by binding reversibly to the A site of the 30S ribosomal subunit, which prevents addition of amino acids to the growing peptide chain

77
New cards

(135) Tetracyclines Antibacterial Spectrum

aerobic gram-positive and gram-negative bacteria, some anaerobes, spirochetes, atypical bacteria, rickettsia and protozoa

78
New cards

(135) Tetracyclines Mechanism of Resistance

increased efflux or impaired influx, or ribosomal protection proteins

79
New cards
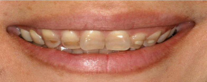
<p>(135) Stained Teeth</p>

(135) Stained Teeth

Medical condition caused by binding of tetracyclines to Calcium. Doxycycline has lower affinity to Calcium

80
New cards

(135) Semisynthetic Tetracyclines

Tetracycline, Doxycycline, Minocycline, Demeclocycline

81
New cards

(135) Synthetic Tetracyclines

Tigecycline

82
New cards

(135) Doxycycline is special in that it:

is excreted in feces instead of urine

83
New cards

(135) Ribosomal protection proteins (RPPs)

Tetracycline mechanism of resistance, Production of proteins that interfere with tetracycline binding to the ribosome

84
New cards

(135) Tet(K) efflux pump

Tetracycline mechanism of resistance, found on Staphylococcus, confers resistance to tetracycline but not to the others

85
New cards

(135) Tet(AE) efflux pump:

Tetracycline mechanism of resistance, found on Gram negative bacteria

86
New cards

(135) Bacteriostatic

prevents the growth of bacteria

87
New cards

(135) Bactericidal

kills bacteria

88
New cards

(135) Examples of Zoonotic infections

Lyme disease, Plague, Rocky Mountain spotted fever, Tularemia “rabbit fever”

89
New cards

(135) Lyme disease is caused by:

Borrelia spp (spirochete")

90
New cards

(135) Plague is caused by:

Yersinia pestis

91
New cards

(135) Rocky Mountain spotted fever is caused by:

Rickettsia ricketsii

92
New cards

(135) Tularemia is caused by:

Fransicella tularensis

93
New cards

(135) Examples of Respiratory pathogens

H. influenzae, M. catarrhalis, Mycoplasma pneumoniae, C. pneumoniae

94
New cards

(135) Examples of mild, localized infection pathogens

MSSA, MRSA

95
New cards

(135) Examples of Sexually transmitted pathogens

Chlamydia trachomatis, Treponema pallidum

96
New cards

(135) Examples of Macrolides

Azithromycin, Clarithromycin, Erythromycin

97
New cards

(135) Function of CYP3A4 enzyme

Found in the liver, metabolizes drugs through Phase I reactions and reducing drug bioavailability

98
New cards

(135) mrsA efflux gene is found in:

staphylococci

99
New cards

(135) mefA efflux gene is found in:

GAS

100
New cards

(135) mefE efflux gene is found in:

S. pneumoniae