RBC morphology RBC morphology

0.0(0)
studied byStudied by 0 people
0.0(0)
full-widthCall with Kai
GameKnowt Play
New
learnLearn
examPractice Test
spaced repetitionSpaced Repetition
heart puzzleMatch
flashcardsFlashcards
Card Sorting

1/5

encourage image

There's no tags or description

Looks like no tags are added yet.

Study Analytics
Name
Mastery
Learn
Test
Matching
Spaced

No study sessions yet.

6 Terms

1
New cards
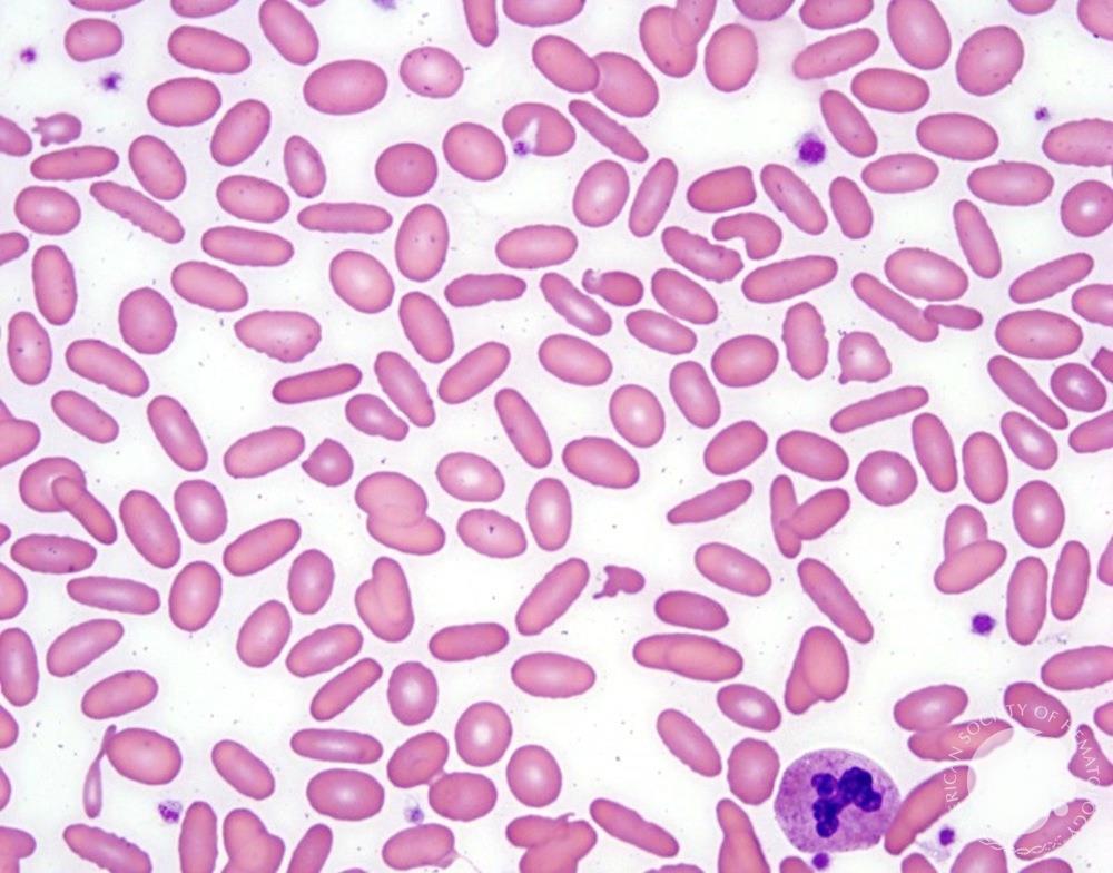
<p>Ovalocyte/elliptocyte</p>

Ovalocyte/elliptocyte

Altered membrane

2
New cards
<p>Sickle cell</p>

Sickle cell

Abnormal globin chain structure caused by 1 single amino acid rearrangement

3
New cards
<p>Acanthocyte</p>

Acanthocyte

Increased cholesterol

4
New cards
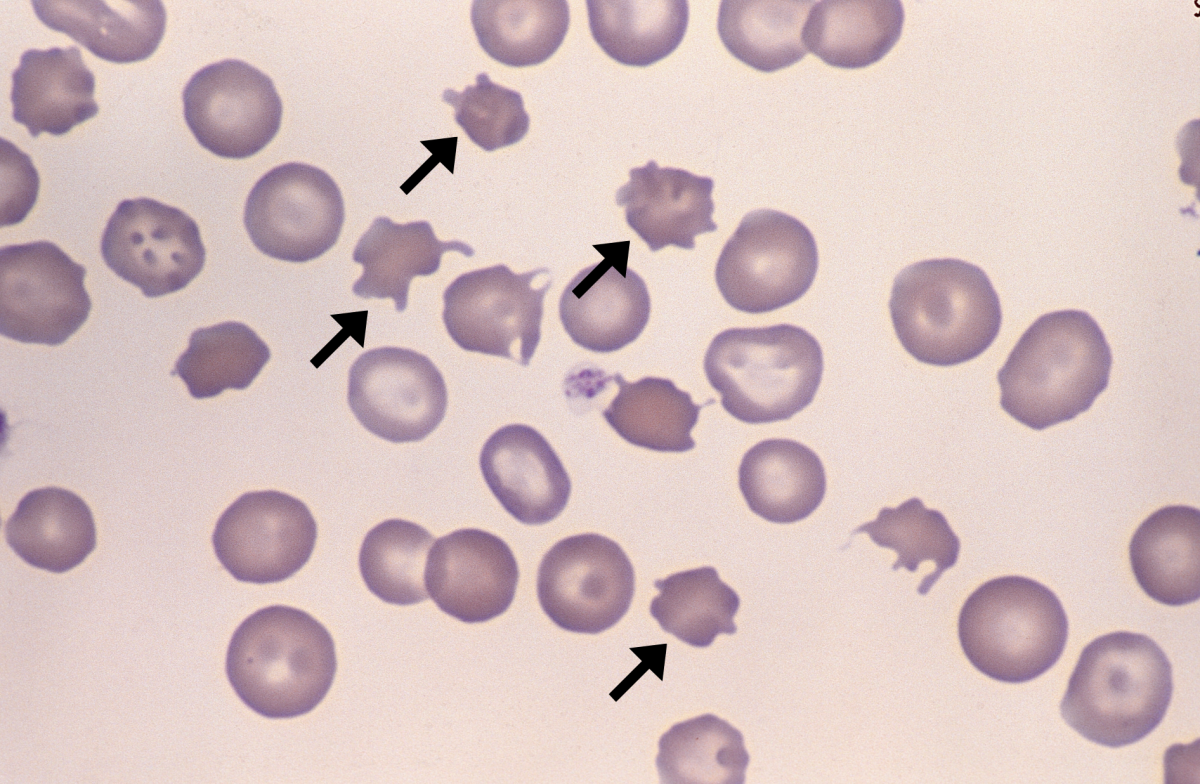
<p>Echinocyte</p>

Echinocyte

Cation imbalance; change in tonicity

5
New cards
<p>Schistocyte</p>

Schistocyte

Fragmented by fibrin

6
New cards
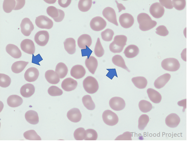
<p>Tear drop</p>

Tear drop

Enlarged spleen